synovial fluid

0.0(0)
studied byStudied by 0 people
0.0(0)
full-widthCall with Kai
GameKnowt Play
New
learnLearn
examPractice Test
spaced repetitionSpaced Repetition
heart puzzleMatch
flashcardsFlashcards
Card Sorting

1/31

encourage image

There's no tags or description

Looks like no tags are added yet.

Study Analytics
Name
Mastery
Learn
Test
Matching
Spaced

No study sessions yet.

32 Terms

1
New cards

synovivla fluid is

an ultra filtrate of plasma- Meaning no high MW molecules

therfore G and uric acid levels are equal to that of plasma, while protein is still < that of plasma

2
New cards

From blank, synovial membrane cellls secrete blank, making the fluid blank

From synonviocytes, they secrete hyaluronic acid, making the fluid thick and stringy

3
New cards

Functions of synovial fluid

Lubricates the joints

lessens shock

transport medium for delivery of O2 and nutrients and removal of CO2 and cellular waste

4
New cards

What are the categoried of joint effusion

Non-inflammatory

inflammatory

septic

hemorrhagic

5
New cards

Non-inflammatory artirtis pathologic significance

Degenerative joint dz

6
New cards

Inflammatory arthritis pathologic significance

  • Crystal-induced arthritis (gout & pseudogout

  • Rheumatoid arthritis (RA), reactive arthritis,
    psoriatic arthritis, Lyme arthritis

  • Lupus erythematosus (SLE),

7
New cards

septic arthiritis pathologic significance

microbial infection

8
New cards

joint effusion is collected into 3 different tubes via

arthrocentesis

must collect in liquid additive bc it would interfere with crystal studies

9
New cards

What is the order of the tubes for synovial fluid

CHem and sero

Hemat and cyto

Microbio

10
New cards

what si the RR for synovial fluid volume

<3.5

>3.5 = effusion

11
New cards

what does the synovial fluid color say about the condition

non-inflammatory- yellow, clear

inflammatory- cloudy, turbid

crystals- milky, cloudy

sepsis- yellow- green, cloudy

hemorrhagic or traumatic tap - pinl-red brown, cloudy

12
New cards

where does the viscosity of synvoial fluid come from

due to the polymerization of hyaluronic acid

string test- 4-6 cm long

low visc- indicates inflammatory or septic process

13
New cards

what are the three different inclusions

lipid droplete- crush injuries

ochronotic shards- black debris from joint prosthesis- pigmented cartilage from alkaptonuria

Rice bodies- collagen and fibrin- RA

14
New cards

Hematology in synovial fluid

most common test

may need to thin w/ hyaluronidase

wbc differential- from smear prepared by cytocentrifuge

15
New cards

An increase in neutrophils indicates

bacterial septic

16
New cards

An increase in lymphocytes indicates

non-septic inflammatory and viral

17
New cards

An increase in eosinophils indicate

allergies, lyme dz, parasitic infection

18
New cards

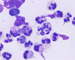
what are LE cells

neutrophils or macrophages w/phagocytosed nucleus of another cell, indicates lupus

<p>neutrophils or macrophages w/phagocytosed nucleus of another cell, indicates lupus</p><p></p>
19
New cards

What are Tart cells

monocytes or macrophages that have engulfed some nuclear material, not significant

<p>monocytes or macrophages that have engulfed some nuclear material, not significant </p>
20
New cards

what are ragocytes

Neutrophils w/ precipiated RF, indicates RA

<p>Neutrophils w/ precipiated RF, indicates RA</p>
21
New cards

What are reiter cells/neutrophages

vacuolated macrophages w/ ingested neutrophils, indicates autoimmine DZ

<p>vacuolated macrophages w/ ingested neutrophils, indicates autoimmine DZ</p>
22
New cards

1st birefringent crystals are screens w

polarized light microscopy

if positive- they use red compensator filter

23
New cards

if a crystal appears yellow when parallel to this arrow

it is negatively birefrigence

if blue, its positive

24
New cards

what is monosodium urate

needle shaped and yellow when parallel to arrow- strong( - ) BR

indicates gout

25
New cards

What is calcium pyrophosphate

rhombic shaped and blue when parallel to arrow- weak ( + ) BR

indicates pseudogout

26
New cards

total protein is increased in

inflammatory and hemorrhagic D/Os

27
New cards

a decrease in G levels indicate

septic (bacterial)artirtis

28
New cards

an increase in lactic acid indicates

septic

29
New cards

an increase in uric acid indicates

gout

30
New cards

RF indicates

RA`

31
New cards

What are the most common autoimmune cases of arthritis

RA and SLE

test for RF and ANA

32
New cards

Lyme disease

Arthritis is a frequent complication, test serum for borrelia burgdorferi antibodies