1/92
Looks like no tags are added yet.
Name | Mastery | Learn | Test | Matching | Spaced | Call with Kai |
|---|
No analytics yet
Send a link to your students to track their progress
wzór na ciśnienie tętnicze
średnie ciśnienie tętnicze = objętość minutowa * całkowity naczyniowy opór obwodowy

regulacja hormonalna naczyniowego oporu obwodowego

krótkoterminowa regulacja ciśnienia krwi
odruch z baroreceptorów (szyjnych, aortalnych, sercowo-płucnych)
przy wstaniu z leżenie » wyrzut amin katecholowych, obkurczenie naczyń (głównie impulsy przez nerw błędny do ośrodka sercowo-naczyniowego)
jeżeli zaburzony mechanizm omdlenia ortostatyczne

w jakim sensie odruch z baroreceptorów jest niesymetryczny
baroreceptory bardziej reagują na SPADEK ciśnienia
przy podwyższeniu ciśnienia adaptują się

regulacja długoterminowa ciśnienia krwi
głowny mechanizm to mechanizm natriurezy ciśnieniowej

natriureza ciśnieniowa
to zjawisko zwiększonego wydalania sodu z moczem w odpowiedzi na wzrost ciśnienia tętniczego krwi. Jest to fizjologiczny mechanizm samoregulacji objętości płynów ustrojowych i ciśnienia tętniczego, niezależny w dużej mierze od układów hormonalnych.
Istota zjawiska
Gdy ciśnienie tętnicze wzrasta, dochodzi do:
zwiększenia ciśnienia hydrostatycznego w naczyniach nerkowych,
wzrostu filtracji kłębuszkowej (GFR),
ale przede wszystkim — zmniejszenia resorpcji sodu w kanalikach nerkowych.
W efekcie:
➡ więcej sodu (Na⁺) zostaje wydalone z moczem,
➡ wraz z sodem tracona jest woda (zjawisko diurezy ciśnieniowej),
➡ objętość płynów pozakomórkowych maleje,
➡ a ciśnienie tętnicze powraca do normy.
zmiany hemodynamiczne układu krążenia w NT

izolowane nadciśnienie skurczowe
ciśnienie skurczowe > 140 mmHg
prawidłowe rozkurczowe < 90 mmHg
najczęściej osoby starsze (wzrost sztywności naczyn lub choorby ze zwiększonym rzutem serca (np. niedomykalność zastawki aortalnej)

nadciśnienie pierwotne jest najczęściej rozpoznawane u
nastolatków i młodych dorosłych, wieloczynnikowe, obejmuje nadciśnienie związane z otyłością

klasyfikacja nadciśnienia tętniczego

mechanizm nerkowy nadciśnienia pierwotnego
zaburzona równowaga wutwarzania hormonów naczynioskurczowych (angiotensyna II, endotelina 1, neuropeptyd Y) i naczyniorozkurczowymi (NO, peptydy natriuretyczne, bradykinina) » miejscowe zaburzenie ukrwienia nerek
pobudzenie receptorow B2-adrenergicznych w komórkach aparatu przykłębuszkowego przez NA uwalnianą z zakończeń współczulnych » wzrost wydzielania reniny
wzrost wydzielania reniny w wyinku obniżenia ciśnienia w tętniczce doprowadzającej krew do kłębuszka nerkowego & zmniejszenia zawartości sodu w moczy napływającym do kanalika dalszego nefronu
zaburzone wydalanie sodu - natriureteza ciśnieniowa (wydalenie określonej ilości sodu wymaga wyższych wartości ciśnienia tętniczego ) - oporność nerek na czynniki natriuretyczne

mechanizm naczyniowy nadciśnienia pierwotnego
upośledzenie syntezy śródbłonkowych substancji naczyniorozszerzających (NO, prostacyklina, bradykinia) przy prawidłowej lub nasilonej syntezie hormonów naczynioskurczowych (endotelina 1, angiotensyna II)
nadmierne wytwarzanie amin katecholowych i wzrost wrażliwości na katecholaminy
przebudowa i usztywnienie ściany naczyniowej ze zwężenie jego światła
stymulowane przez lokalne układy renina-angiotensyna, endotelina 1, insulinę (hiperinsulinizm wtórny w stosunku do insulinooporości)
hamowany przez NO, naczyniowe czynniki natriutetyczne i bradyknine

niedobór ANP i BNP w patogenezie NT

jak poziom reniny u chorego wskazuje na genezę NT
Poziom reniny jest odbiciem udziału skurczu naczyń w NT.
Wysoki poziom PRA - wzrost TPR.
Niski poziom PRA - wzrost BV

działanie angiotensyny II zależne od receptora
pobudzenie AT1 przyczynia się do NT

mechanizm nerwowy nadciśnienia pierwotnego
wzmożone napięcie układu współczulnego (wzrost pojemności minutowej serca, wzrost oporu obwodowego i aktywności RAA)
nieprawidłowa rekacja na bodźce z baroreceptorów i receptorów objętościowych

sodowrażliwość

sodowrażliwość w NT

co to natriureteza ciśnieniowa
Zwiększenie wydalania sodu i wody z
moczem przy wzroście średniego
ciśnienia tętniczego MAP
Wzrost RR zwiększa wydalanie sodu z moczem
(Feedback system stabilizujący RR & objętość płynów
ustrojowych)
Jest to mechanizm długoterminowej regulacji ciśnienia
tętniczego przez dostosowanie objętości krwi do potrzeb organizmu
W natriurezie ciśnieniowej dochodzi do podniesienia ciśnienia
perfuzyjnego nerek (renal perfusion pressure - RPP) i
zwiększenia wydalania Na+ zależnego od hamowania resorpcji
kanalikowej bez zmian RBF & GFR
W nadciśnieniu pierwotnym dochodzi do przesunięcie punktu
równowagi w kierunku wyższego ciśnienia tętniczego. Do wydalenia tego samego ładunku konieczne jest wyższe
ciśnienie tt. Ta cecha nerki /nadciśnienie/ przenosi się wraz z
przeszczepioną nerką

znaczenie rdzeniowego przepływu krwi w natriurezie

dysfunkcje nerek powodujące zaburzenie mechanizmów ciśnienie-natriureteza
Wzrost oporu przedkłębkowego spowodowany
skurczem naczyń vas afferens (miażdżyca,
pobudzenie współczulne) --> znoszą blokery
kanałów wapniowych
2. Zwiększenie kanalikowej reabsorpcji Na występuje w
nadciśnieniu sodozależnym i w nadprodukcji
mineralokortykoidów, Ang II
(Sodozależne: przyjmowanie soli)
3. Spadek współczynnika filtracji kłębuszkowej
(glomerular capillary filtration coefficient, Kf)
spowodowanym nawet niewielką dysfunkcją
błony podstawnej kłębuszków –
glomerulonephritis, kłębkowe zapalenie nerek
KZN
4. Zmniejszenie ilości funkcjonujących
nefronów.
Hiperfiltracja --> stwardnienie kłębuszków
(glomerulosclerosis) patomechanizm
postępującego uszkodzenia nerek PNN

hiperinsulinemia a NT

insulina jak wpływa na naczynia
normalnie insulina powoduje wazodilatację i pobudzenie wspólczulne
przy hiperinuslinemi wzrasta pobudzenie współczulne, ale down-regulation wazdodylatacji » zwiększenie RR

czynniki środowiskowe w nadciśnieniu pierwotnych
• Spozycie soli - wyróznia sie osoby reaguja-ce istotnym wzrostem cisnienia tetniczego na wieksze spozycie soli („sodowrazliwe") oraz inne, u których ta zaleznosé jest stabo zaznaczona. „Sodowrazliwose" jest zwia-zana z nadcisnieniem niskoreninowym,
starszym wiekiem, insulinoopornoscia, cu-krzyca,
wzmozona aktywnoscia uktadu
wspótczulnego i niewydolnoscia nerek.
Aktywnosé fizyczna.
Otytosé (obecnie uwazana za najwazniejszy czynnik srodowiskowy).
Stres psychiczny.
charakter nadciśnienia pierwotnego zależnie od wieku
Charakter nadcisnienia rózni sie jednak w za-leznosci od wieku chorego.
U mtodszych chorych jest to gtównie nadcisnie-nie hiperkinetyczne warunkowane zwiekszona objetoscia minutowa serca (CO), przy prawidto-wym oporze obwodowym (SVR).
Wraz z wiekiem objetosé minutowa sie zmniej-sza, a opór naczyniowy rosnie. Ta zmiana wynika nie tylko z wieku chorych i procesów starze-nia. Istotne bowiem zmniejszenie kurczliwosci przy wzroscie oporu jest takze konsekwencja nad-cisnienia. Nadcisnienie tetnicze jest wiec wyktad-nikiem podwyiszonego obciazenia nastepczego, co u chorych z wieloletnim wywiadem nadcisnie-niowym jest przyczyna kompensacyjnego przerostu miesniówki serca. Przerost miesniówki wiaze sie ze wzrostem jej sztywnosci i uposledzeniem napehniania komór i w ten sposób zmniejsza obje-tosé minutowa, a takze zwieksza zapotrzebowanie tlenowe, co po pewnym czasie moze doprowadzié do choroby niedokrwiennej serca i zaburzen kur-czliwosci.
cechy sugerujące WTÓRNE nadciśnienie tętnicze
Wiek wystąpienia < 20 lub > 50 lat
Wartości ciśnienia tętniczego > 180/110 mmHg
Obecność powikłań narządowych
⚫ Umiarkowana i ciężka retinopatia stwierdzana
w badaniu dna oka
⚫ Stężenie kreatyniny w osoczu > 1,5 mg/dl
(choroby nerek)
⚫ Powiększenie jam serca lub przerost mięśnia
lewej komory stwierdzany w badaniu
echokardiograficznym
Obecność innych cech wskazujących na
wtórny charakter nadciśnienia
⚫ Samoistna hipokaliemia (hiperaldosteronizm) » bo aldosteron zatrzymuje sód (wyrównanie tego przez wydalanie potasu i jonów wodorowych z moczem)
⚫ Szmery naczyniowe słyszalne nad jamą
brzuszną (zwężenie tętnicy nerkowej)
⚫ Zmienne wartości ciśnienia tętniczego ze
współistniejącą tachykardią, drżeniem
mięśniowym i nadmierną potliwością (guz
chromochłonny)
Słaba odpowiedź na skuteczne zazwyczaj
leczenie hipotensyjne

działanie różnych hormonów z guza chromochłonnego na NT
NA – wzrasta RR rozkurczowe – pobudz. rec. alfa-adr. w łożysku
naczyniowym
A – pobudz. rec. beta w sercu – dominuje nadciśnienie z tachykardią
D - naczyniorozszerzającej – RR prawidłowe
w jaki sposób hiperaldosteronizm wywołuje samoistną hipokaliemię
Samoistna hipokaliemia (hiperaldosteronizm) » bo aldosteron zatrzymuje sód (wyrównanie tego przez wydalanie potasu i jonów wodorowych z moczem
» wywołuje też często alkalozę

koarktacja aorty jak dprowadza do wtórnego NT

nadciśnienie indukowane ciążą
Nadciśnienie indukowane ciążą (pojawiające się dopiero
po 20. tyg. ciąży (!) i z reguły ustępujące po porodzie.
• występuje u ok. 10% kobiet w pierwszej ciąży i u 8%
wszystkich ciężarnych
•Stan przedrzucawkowy definiowany jako wystąpienie de
novo nadciśnienia tętniczego z białkomoczem.
•W stanie przedrzucawkowym większość fizjologicznie
zmienionych parametrów w czasie ciąży jest zaburzona:
uprzednio zwiększona pojemność minutowa serca maleje,
obniżony TPR znacząco wzrasta, podobnie jak sztywność
aorty.
Zmiany adaptacyjne serca do podwyższonego ciśnienia
tętniczego prowadzą do zwiększenia masy lewej komory serca
i objętości końcowo-skurczowej i końcowo-rozkurczowej, z
jednoczesnym obniżeniem frakcji wyrzutowej lewej komory.
•Przyczyną jest hipoperfuzja maciczno-łożyskowa.
W patogenezie hipoperfuzji maciczno-łożyskowej istotne są:
• zaburzenie unaczynienia łożyska,
• zbyt małe łożysko w stosunku do zapotrzebowania,
• stres oksydacyjny,
• zwiększona ekspresja śródbłonkowego czynnika wzrostu,
• czynniki upośledzające funkcje bariery śródbłonkowej,
• zwiększone wytwarzaniu kwasu moczowego

choroby neurologiczne prowadzące do NT wtórnego

objawy kliniczne nadciśnienia tętniczego
Do niecharakterystycznych objawów nadcisnie-nia tetniczego naleza: bóle glowy, gtównie okolicy potylicznej, zawroty glowy, bezsennosé, po-budliwosc, objawy naczynioruchowe (napadowe zaczerwienienie twarzy, szyi), krwawienia z nosa.
Odchylenia w badaniu fizykalnym (wzmozona akcentacja Il tonu nad tetnica gtówna, rozlane, uno-szace uderzenie koniuszkowe), oprócz pomiaru ci-énienia tetniczego, nie maja istotnego znaczenia.
Nadcisnienie tetnicze czesto jest bezobjawo-we, a rozpoznaje sie je przypadkowo lub dopiero po wystapieniu powiktan narzadowych.
Symptomatologia nadcisnienia wtórnego jest bogatsza, a objawy wówczas stwierdzane moga byc pomocne w rozpoznaniu.

jaki przerost serca w nadciśnieniu
przerost dośrodkowy/koncentryczny

stadia NT wg WHO

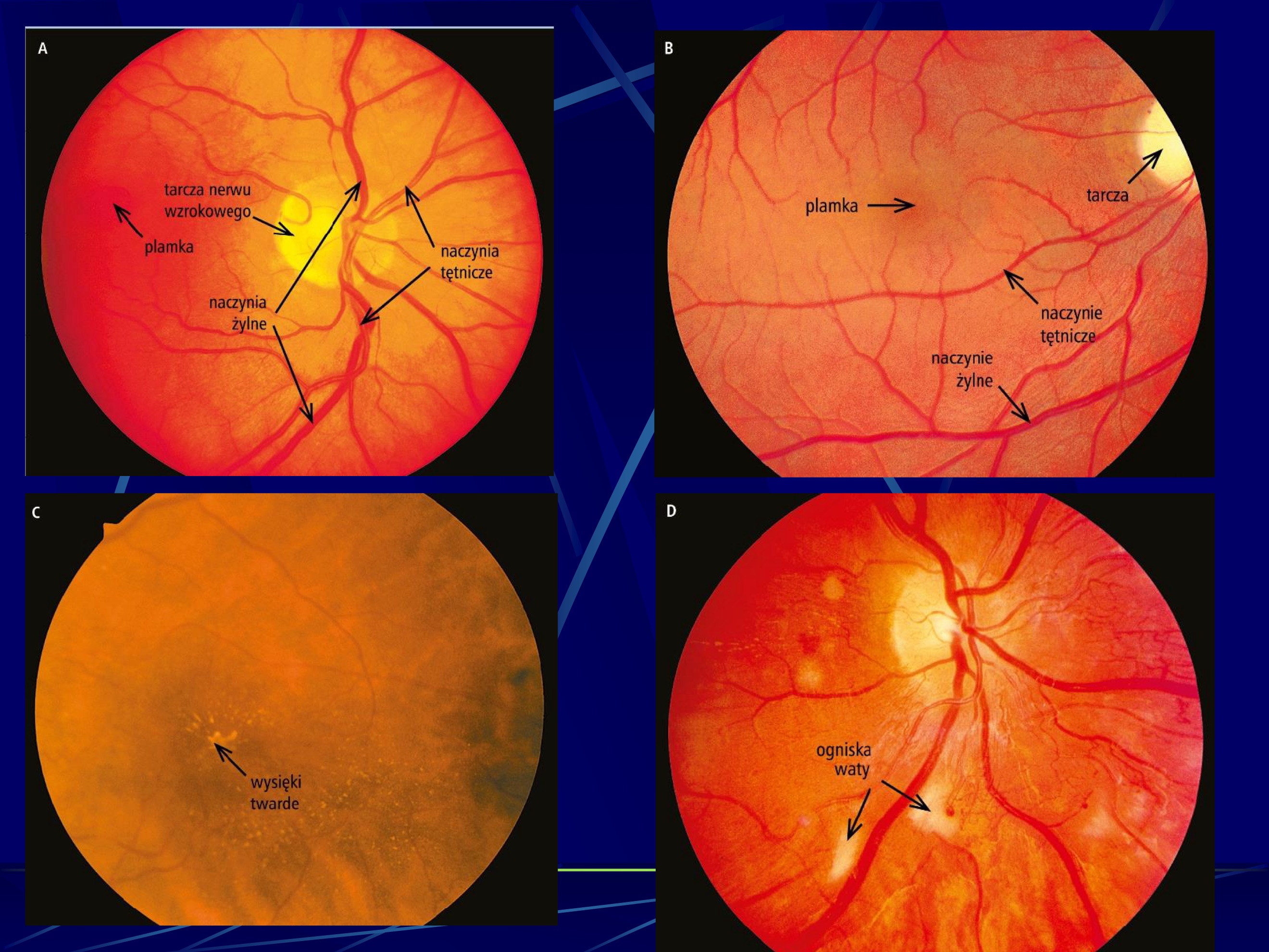
zmiany w dnie oka w NT
Klasyfikacja zmian w siatkówce wg.
Keitha i Wegenera
Stopień I – Zmiany minimalne bez ognisk
krwotocznych
Stopień II - Stwardnienie tętniczek +/-
ogniska krwotoczne
Stopień III – Wysięki +/- ogniska
krwotoczne
Stopień IV - Obrzęk tarczy nerwu
wzrokowego

zmiany w obrębie serca w nadciśnieniu
W obrebie serca podwyzszone cisnienie tetni-cze oraz podwyzszony opór naczyn obwodowych (obciazenie nastepcze) doprowadzaja do koncentrycznego przerostu migsniówki lewej komory.
Przerost ten utrudnia rozkurcz i napemianie lewej komory (dysfunkcja rozkurczowa i niewydol-nosc rozkurczowa lewej komory). Zwiekszenie zapotrzebowania tlenowego miokardium prowadzi z czasem do przekroczenia mozliwosci wyrów-nawczych, rozwoju choroby niedokrwiennej serca i dysfunkcji skurczowej.
Powiklania nadcisnienia ze strony osrodko-wego uktadu nerwowego
Powiklania nadcisnienia ze strony osrodko-wego uktadu nerwowego maja równiez charakter naczyniowy. Sa to przede wszystkim udary krwotoczne (pekniecie naczyn mózgo-wych) lub niedokrwienne (skutek powiktan zakrzepowych lub zakrzepowo-zatorowych).
U starszych osób gtównie w przypadku nag.łego obnizania sie cisnienia moga wystepowac napady TIA (transient ischaemic attack) - brak skutecznych
mechanizmów
zapewniajacych
state cisnienie perfuzji mózgowej. Ciezkie nieleczone nadcisnienie tetnicze prowadzi do encefalopatii nadcisnieniowej (objawy niecharak-terystyczne: zaburzenia widzenia, zaburzenia mowy, parestezje, dezorientacja, sennosé, utrata przytomnosci).
encefalopatia nadciśneiniowa
(objawy niecharak-terystyczne: zaburzenia widzenia, zaburzenia mowy, parestezje, dezorientacja, sennosć, utrata przytomnosci).

nefropatia nadciśnieniowa
Nefropatia nadcisnieniowa wynika takze ze zmian naczyniowych i jest jedna z przyczyn przewlektej choroby nerek. Przyczyna tej nefropatii jest lagodne stwardnienie tetniczek nerkowych (gtównie tetniczek doprowadzajacych krew do ktebuszka nerkowego i tetniczek miedzyptacikowych) zwiazane z przerostem mie-Sniówki, a w krancowych stadiach martwica wtóknikowata.
Zmiany te prowadza do nie-
dokrwienia ktebuszków nerkowych, na której podtozu rozwija sie ogniskowe stwardnienie ktebuszków nerkowych.
Wezesnym objawem uszkodzenia ktebuszków nerkowych w przebiegu nadcisnienia tetnicze-go jest albuminuria. Pózniej zmniejszeniu ulega filtracja ktebuszkowa.
wczesnym objawem uszkodzenia kłębuszków nerkowych w przebiegu nadciśnienia tętniczego jest
albuminuria, później zmniejszenie filtraci kłębuszkowej
zmiany nadciśnieniowe w obrębie naczyń siatkówki
Zmiany nadcisnieniowe w obrebie naczyn siatkówki sa dostepne badaniu bezposrednie-mu (badanie dna oka). Na tej podstawie wy-rózniono cztery stopnie zaawansowania zmian nadcisnieniowych:
I okres - zmiany czynnosciowe naczyn, dyskretne zwezenie drobnych tetnic odcinkowe lub na catym ich przebiegu;
Il okres - znaczne stwardnienie tetnic, zwiekszony odblask, objawy ucisku zyt w miejscu ich skrzyzowania z tetnicami (objaw Gun-na), ogniska wysieków wokót plamki (tzw. figura gwiazdy);
III okres - ogniska niedokrwienia (ogniska waty), wysieki i krwotoki do siatkówki;
IV okres - obrzek tarczy nerwu wzrokowego.
Nadcisnienie w fazie akceleracji
Nadcisnienie w fazie akceleracji (przelom nadcisnieniowy) stanowi stan zagrozenia zycia.
Jest faza nadciénienia charakteryzujaca sie naglym wzrostem cisnienia (ponad 180/120 mm Hg), czemu towarzysza zmiany narzadowe (retinopatia nadcisnieniowa st. III/IV, encefalopatia nadcisnie-niowa, objawy dusznicy lub obrzek pluc). Gwat-towny wzrost cisnienia najczesciej doprowadza do uszkodzenia naczyn tetniczych pod postacia martwicy wtóknikowatei, co jest gtówna przyczyna wymienionych zmian narzadowych.

treopnoe
duszność po położeniu się na boku

platypnoe
duszność w pozycji stojącej

duszność wdechowa a wydechowa
duszność wdechowa » z reguły z powodu obstrukcji górnych dróg oddechowych
wydechowa » z reguły. powodu obstrukcji dolnych dróg oddechowych
oraz wdechowo-wydechowa (mieszana)

odczuwanie wysiłku oddechowego
Odczuwanie wysitku oddechowego zalezy od proporcji pomiedzy aktualnym na-pieciem miesni oddechowych, a maksymalnym napieciem miesni oddechowych.
jak hiperkapnia wpływa na uczucie duszności
Ostatnie badania wykazuja jednak, ze hiperkapnia jest jedna z waznych sktadowych zjawiska dusznosci, natomiast dominujacym mechanizmem jej dzia-tania jest powodowanie kwasicy i to poprzez che-moreceptory zlokalizowane CSN wplywa na po-
wstawanie dusznosci.
receotory górnych dróg oddechowych w duszności
receptory z lokalizowane w okolicy twarzy oraz w górnych drogach oddechowych modyfikuja odczuwanie dusznosci (np. zmniejszenie dusznosci, gdy pacjent siedzi przy otwartym oknie lub obok wiatraczka, a zwiekszenie odczuwania dusznosci, gdy pacjent oddycha np. przez ustnik przy spiro-metrii). Mechanizm tych reakcji pozostaje jednak niewyjasniony, chociaz wiadomo, ze bierze w nich udziat nerw trójdzielny oraz receptory wrazliwe na zmiany temperatury oraz przeplyw powietrza.

receptory płucne w duszności
Receptory wrazliwe na roz-ciaganie (stretch receptors) reaguja na inflacje pluc oraz uczestnicza w zakonczeniu wdechu,
receptory podraznieniowe (irritant receptors) zlokalizowane w nablonku oddechowym reaguja na liczne bodzce chemiczne i mechaniczne oraz sa odpowiedzialne za skurcz oskrzeli,
wtókna C (niezmieli-nizowane zakonczenia nerwów) zlokalizowane w scianie pecherzyków plucnych oraz w naczyniach sa wrazliwe na zmiany w przestrzeni sródmiazszo-wej (obrzek).
odczuwanie duszności ma związek ze zwiększeniem napięcia ściany oskrzeli oraz ze zmienionym ciśnieniem transmuralnym w oskrzelach
jeden z mechanizmów odpowiedzilany » rozciągniecie dróg oddechowych podczas wydechy
Impulsy powstajace poprzez aktywacje receptorów w drogach oddechowych sa przewodzone do CNS przez nerw btedny, który odrywa wazna role w mechanizmach odczuwania dusznosci.
Aferentne informacje z receptorów podraznieniowych wywoluja zwiekszo-ne odczuwanie dusznosci, zas pobudzenie receptorów typu stretch ma raczej dziatanie hamujace.

informacje z receptorów płucnych w duszności - co zwiększa a co zmniejsza uczucie duszności
Aferentne informacje z receptorów podraznieniowych wywoluja zwiekszo-ne odczuwanie dusznosci, zas pobudzenie receptorów typu stretch ma raczej dziatanie hamujace.

receptory ścian klatki piersiowej - rola w duszności
Mózg odbiera bodzce z wielu struktur sciany klatki piersiowej - stawów, sciegien i miesni. Impulsy z tych tkanek wplywaja na odczuwanie dusznosci, szczególnie jej intensywnosci (np. wy-wotane wibracje miesni oddechowych u osób z hiperkapnia zmniejszaja odczuwanie duszno-sci). Wydaje sie, ze informacje dosrodkowe ze sciany klatki piersiowej pelnia istotna role w odczuwaniu dusznosci oraz w regulacji mechaniki oddychania u osób z dusznoscia.

afferent mismatch w duszności
Wg tej teorii dusznosé powstaje jako zaburzenie proporcji pomiedzy sita i napieciem miesni odde-chowych, a zmianami w dtugosci miesni oddechowych i objetosci oddechowych. Dusznosc jest spowodowana dysproporcja pomiedzy wycho-dzacymi - eferentnymi sygnatami motorycznymi do miesni oddechowych, a naptywajacymi - afe-rentnymi informacjami z pluc. Mózg w danej chwili posiada pewien standardowy „obraz" oddychania i porównuje z nim naptywajace z obwodu i pluc informacje, a w razie wystapienia nie-prawidtowosci powstaje uczucie dusznosci.

astma sercowa
duszność napadowa nocna - charakterystyczne dla osób z przewlekła niewydolnością lewej komory

patomechanizm astmy sercowej
charakterystyczne dla osób z przewlekłą niewydolnością lewej komory
2-3 godziny po zaśnięciu, towarzyszy kaszel, poty, uczucie strachu
poprawia poycja siedząca
powodowana najczęściej przez obrzęk płuc śródmiążdzowy, rzadko śródpęcherzykowy
pozycja leżąca » zwiększony powró† żylny » zwiększenie obciążenia wstępnego » zastój płucny
W pózniejszym okresie zwiekszony nieco przeplyw obwodowy oraz hiperwolemia powo-duja uruchomienie mechanizmów wyrównawczych (nasilenie diurezy) i w konsekwencji normalizacje wolemii z ustapieniem objawów.
krwioplucie
Krwiopluciem nazywamy wykrztuszanie krwi z uktadu oddechowego. W zaleznosci od nasilenia moze to byé czysta krew lub plwocina tylko podbarwiona krwia. Jezeli mamy do czynienia z masywnym krwawieniem, traktujemy to jako stan zagrożenia życia, bowiem krew zalewająca pęcherzyki płucne upośledza wymianę gazową i może prowadzić do asfiksji
krwioplucie - etiologia

krwioplucie mechaizmy

najczęstsze mechanizmy krwioplucia

palce pałeczkowate
Palce pateczkowate Hipokratesa (paleczki dobo-sza) sa objawem wystepujacym w przewleklych chorobach przebiegajacych z niedotlenieniem tkanek obwodowych. W schorzeniu tym dochodzi do przerostu i rozszerzenia plytek paznokcio-wych, a dystalne czesci palców powiekszaja sie.
uwaza sie, ze przewlekta hipoksja doprowadza do otwarcia glebokich poraczen tetniczo - zylnych w okolicy paliczków dystalnych i ich hipertrofie.

kaszel

odruch kaszlowy
Przyczyny kaszlu w chorobach układu krążenia

sinica

co wpływa na widoczność sinicy

przyczyny sinicy centralnej i obwodowej

mechanizmy dusznosci w xhorobach pluc

identyfikacja bólu wieńcowego

omdlenie / syncope

omdlenie przyczyny
1. Zaburzenia odruchów naczynioruchowych
- zaburzenia odruchu wazowagalnego
- hipotonia ortostatyczna
- pierwotna niewydolność autonomiczna
- sympatektomia farmakologiczna lub chirurgiczna
- choroby układu autonomicznego
- zaburzenia odruchu z zatoki szyjnej
2. Hipowolemia
3. Mechaniczne zaburzenia powrotu żylnego
- zabieg Valsalvy
- kaszel
- mikcja
- śluzak przedsionka
4. Zmniejszenie pojemności minutowej serca
- zwężenie lewego ujścia tętniczego (zwężenie zastawkowe
aorty)
- zwężenie prawego ujścia żylnego (zator tętnicy płucnej)
- choroby mięśnia sercowego (zawał z niewydolnością
krążenia)
- tamponada serca
5. Zaburzenia rytmu serca
- bradyarytmie
- tachyarytmie
6. Inne przyczyny powodujące krótkotrwałą utratę
świadomości:
- hipoksja
- niedokrwistość
- hiperwentylacja ze spadkiem stężenia dwutlenku węgla
- hipoglikemia
- zaburzenia emocjonalne (lęki , napady histeryczne)
- zaburzenia naczyń mózgowych
najczęstsze postacue omdlenia

omdlenie wazowagalne
- 50 % wszystkich przypadków omdleń
- często u osób młodych
- często nawraca
Często spowodowane przez:
- napięcia emocjonalne, lęki
- przebywanie w ciepłych, zatłoczonych pomieszczeniach
- czasami poprzez silny ból w obrębie jamy brzusznej

omdlenie ortostatyczne

zespól MAS

zahamowanie zatokowe

kołatania serca

Uczucie zmęczenia w chorobach serca -
podstawowe przyczyny
• jeden z najczęstszych objawów chorób serca
• niespecyficzny objaw
• u osób z niewydolnością krążenia spadek siły mięśniowej
spowodowany może być poprzez:
- spadek wyrzutu sercowego (cardiac output)
- niedokrwienie mózgu (komponenta centralna)
Uczucie zmęczenia w chorobach serca -
inne przyczyny
- użycie beta-blokerów
- gwałtowne obniżenie ciśnienia tętniczego
- przy niewydolności serca jako skutek nasilonej diurezy
- jako efekt hypokaliemii po diuretykach
- jako jeden z objawów poprzedzających lub
towarzyszących ostremu niedokrwieniu mięśnia
sercowego.
Rozmieszczenie krwi w krążeniu
systemowym

prawo starlinga w kapilarach

hipotezy powstawania obrzęków

przyczyny anasarca

kiedy w anasrca nie ma retencji sodu i wody
II. Wzrost przepuszczalności kapilar dla białka.- obrzęk
naczynioruchowy, alergiczny

Powstawanie obrzęków w niewydolności serca
1. Spadek CO
2. Spadek EABV
3. Zmiana stosunku CO/PR
4. Pobudzenie adrenergiczne
5. Skurcz naczyń
6. Hiponatremia

obrzęki miejscowe pochodzenia zapalnego

obrzęki miejscowe - pochodzenia żylnego

diagnostyka obrzęków

co to policytemia

policytemia wtórna

diuretyki mechanizm działania

Sympatykolityki

działanie beta blockerów

agoniści receptorów alfa2

blockery alfa 1

jak działają blokery kanałów wapniowych na naczynia
