1/35
Looks like no tags are added yet.
Name | Mastery | Learn | Test | Matching | Spaced | Call with Kai |
|---|
No analytics yet
Send a link to your students to track their progress
czym jest chromosom
jest to najbardziej skondensowana forma chromatyny jądrowej
czym jest chromatyna
jest to kompleks tworzony z kwasów nukleinowych i DNA
kiedy widoczne są chromosomy
widoczne są WYŁĄCZNIE w momencie podziałów komórkowych
w momencie interfazy (stadia między podziałami) są one niewidoczne
z czego złożony jest chromosom
helisa DNA → nukleosom (oktomer histonowy - osiem białek histonowych, na które nawinięta jest helisa) → nukleofilament → solenoid → system spętlonych domen // domeny → chromatyda → chromosom
czym jest centromer
inaczej przewężenie wtórne
miejsce przyczepu wrzeciona podziałowego (białka kinetochoru)
utrzymuje duplikowany DNA
czym jest wrzeciono podziałowe
struktura zbudowana z białek - mikrotubul, umożliwia “wędrówkę” chromosomów
jak centromer dzieli chromosom
na dwa ramiona:
ramie p - górne, krótkie
ramie q - dłuższe, dolne
czym są telomery
wyspecjalizowane zakończenia chromosomów
u człowieka występują 92 telomery
sekwencja powtarzająca: TTAGGG
z czego zbudowane są telomery
z heksametrycznych tandemowych powtórzeń DNA (bogate w tyminę i guaninę sekwencje nukleotydowe)
oraz białek ochronnych
jaka jest funkcja telomerów
zapobiegają sklejaniu się chromosomów
chronią przed nieprawidłową rekombinacją i degradacją
umożliwiają kompletne powielanie materiału genetycznego
telomer skraca się podczas każdego podziału komórki - znajdują się tu sekwencje niekodujące → nie kodują żądnych genów → nie są związane z kodowaniem białek
ile jest telomerów w komórkach człowieka
92 (46×2)
jakie rodzaje chromosomów wyróżniamy
metacentryczne - ramie górne jest tej samej długości co ramie dolne, a centromer jest ułożony idealnie w połowie; przeważają w pierwszej parze chromosomów
submetacentryczne - centromer znajduje się bliżej jednego końca chromosomu, ramie górne jest krótsze od dolnego; np. druga para chromosomów
akrocentryczny - centromer jest dużo bliżej jednego końca chromosomu, ramie górne dużo krótsze od ramiona dolnego, na górnym ramieniu występuje przewężenie wtórne
telocentryczne - nie występują u człowieka, nie ma ramienia górnego, centromer na górze chromosomu

czym jest zegar biologiczny komórki
czas, w którym dochodzi do redukcji długości telomerów
w chwili narodzenia człowiek ma około 6-10 tyś telomerów (5 kpz)
punktem krytycznym jest skrócenie telomerów do ok. 3 kbp
długość telomeru jest wyznacznikiem wieku komórki
dlaczego skrócone telomery nie chronią chromosomów
skrócenie telomerów poniżej krytycznej wartości uniemożliwia utrzymanie właściwej struktury przestrzenne telomeru oraz powoduje brak możliwości wiązania się białek ochronnych do telomerów
takie zmiany wiążą się z apoptoza i starzeniem się komórki
czym jest telomeraza i za co jest odpowiedzialna
enzym, zbudowany z RNA i białek - dyskeryn
składa się z katalitycznej podjednostki o aktywności odwrotnej transkryptazy TERT, która jest matryca na podstawie której dobudowywane są brakujące fragmenty telomerów
odpowiedzialna za otrzymywanie stałej długości telomerów
jej obecność zapewnię komórkom możliwość odnowy i nieograniczonego podziału
w jakich komórkach aktywność telomerazy jest wysoka
komórkach macierzystych, embrionalne
komórki układu immunologicznego - aktywowane limfocyty t i b
komórki włosów
komórki nabłonka jelitowego
komórki jąder i jajników płodów, noworodków i dorosłych
blastocysty
komórki krwi obwodowej noworodków
komórki tkanki napletka
komórki nowotworowe
komórki te zapewniają sobie odbudowę telomerów - są nieśmiertelne, ciągle się dzielą
jakie komórki nie wykazują aktywności telomerazowej
dojrzałe plemniki
niezapłodnione komórki jajowe
komórki somatyczne
łożysko
amniocyty - komórki płodu
w jakich komórkach długość telomerów się nie zmniejsza
płciowe
szpiku kostnego
macierzyste
czy może dojść do sytuacji, w której komórka somatyczna organizmu zaczyna mieć aktywność telomerazy i ma nieograniczone zdolności do podziałów komórkowych
tak, taka zdolność mają komórki nowotworowe, czyli komórki somatyczne, w których doszło do mutacji
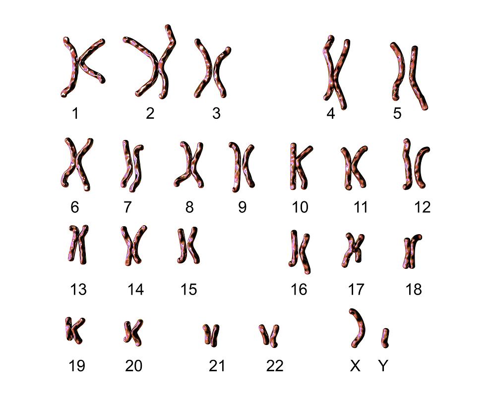
czym jest kariotyp
jest to charakterystyczny dla gatunku zestaw chromosomów
czym jest kariogram (kariotyp)
zestaw chromosomów pojedynczej komórki przedstawiony zgodnie z podstawowymi zasadami klasyfikacji i identyfikacji

czym jest satelitarny DNA
cześć DNA, który różnią się od pozostałego DNA gęstością oraz udziałem procentowym par zasad azotowych (gc:at)
zbudowany z wielokrotnie powtarzajacych się krótkich sekwencji nukleotydów
charakterystyczny dla chromosomów akrocentrycznych
czym jest analiza prążkowa
każdy chromosom ma specyficzny wzór prążkowy i układ różniący się wielkością i intensywnością
obraz prążkowy umożliwi identyfikacje każdego chromosomu
3 podstawowe techniki barwienia: G, Q, R
jak zbudowane jest jąderko

gdzie znajdują się geny rRNA
na krótkich ramionach chromosomów akrocentrycznych
jakie istnieją metody mapowania chromosomów
fizyczna
genetyczna

czym jest mapowanie fizyczne
mapy fizyczne tworzy się na podstawie sklonowanych odcinków DNA
uwzględnione zostają eksony, introny, sekwencje regulatorowe…
jednostka - para zasad
powstają poprzez określenie dokładnej lokalizacji baranek sekwencji DNA w genomie
czym jest mapowanie genetyczne
pomiędzy genami leżącymi na tym samym chromosomie jest wykorzystywana analiza częstości rekombinacji
im bliżej siebie leżą geny, tym mniejsza szansa na podzielenie genów podczas rekombinacji - współczynnik rekombinacji jest wykorzystywany jako miernik odległości miedzy genami
pokazują rozmieszczenie gemów i odległości genetyczne pomiędzy genami
jednostka - 1cM=1% (1 crossing over na 100 mejoz)
czym jest genom jądrowy
całość DNA zawarta w haploidalnym zestawie chromosomów; mamy dwa genomy po jednym od rodziców
czym jest genom mitochondrialny
całość DNA zawarta w mitochondriach (mtDNA)
czym zajmuje się genomika
sekwencja genomów organizmów - badanie struktury i funkcjonowania genomów
strukturalna
funkcjonalna
porównawcza
czym jest proteomika
badanie białek
czym jest transkrypcja
przepisanie informacji genetycznej z dna na mRNA na zasadzie komplementarności
ATCGAT→UAGCUA
polimeraza RNA
produktem jest pre-mRNA
czym jest translacja
synteza białka na podstawie informacji zawartej w mRNA
UAGCUA→ala-try
czym jest splicing
usuwanie introny i sklejane eksony
jak zabezpieczany i przed czym jest mRNA w obróbce po transkrypcyjnej
dołączany ogon poli-A i czapeczka
proces transkrypcji i translacji u eukariota jest rozłożony w czasie, więc taka obudowa zabezpiecza mRNA przed działaniem enzymów w cytopzolu komórki