1/70
Looks like no tags are added yet.
Name  | Mastery  | Learn  | Test  | Matching  | Spaced  | 
|---|
No study sessions yet.
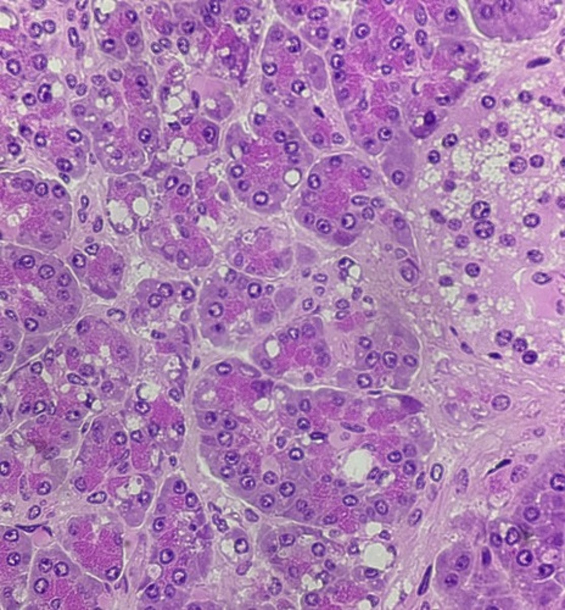
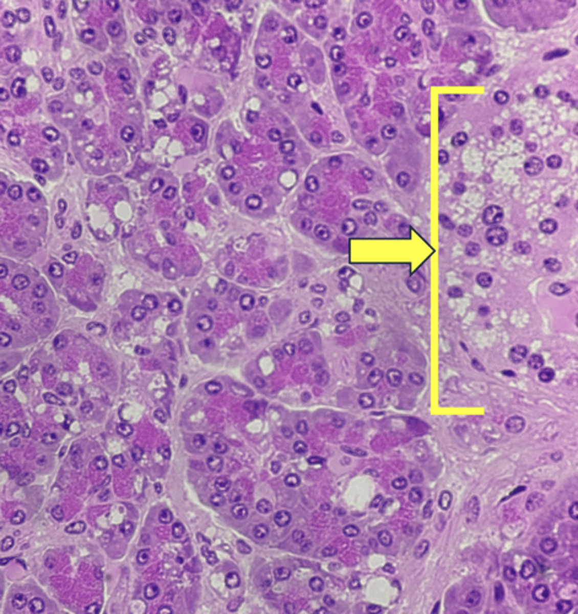
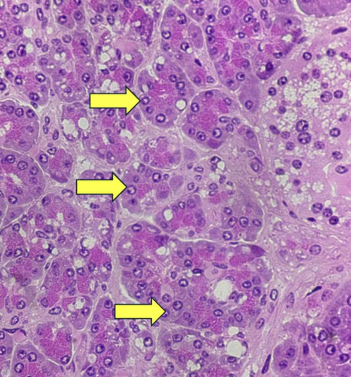
Pancreas
name the tissue

pancreatic islets

Acinar cells- digestive enzymes, amylase, lipase, & proteases
(pancreas)
type of cell & what it secretes?

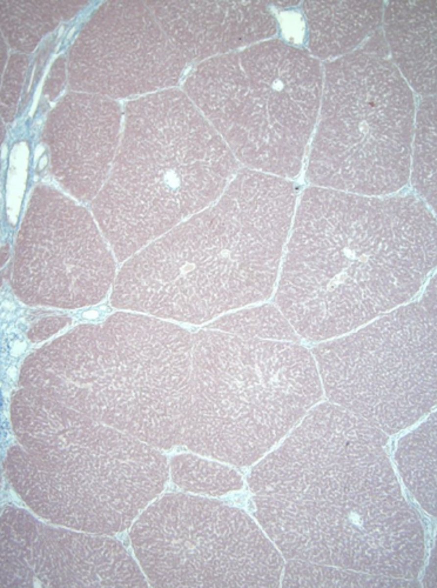
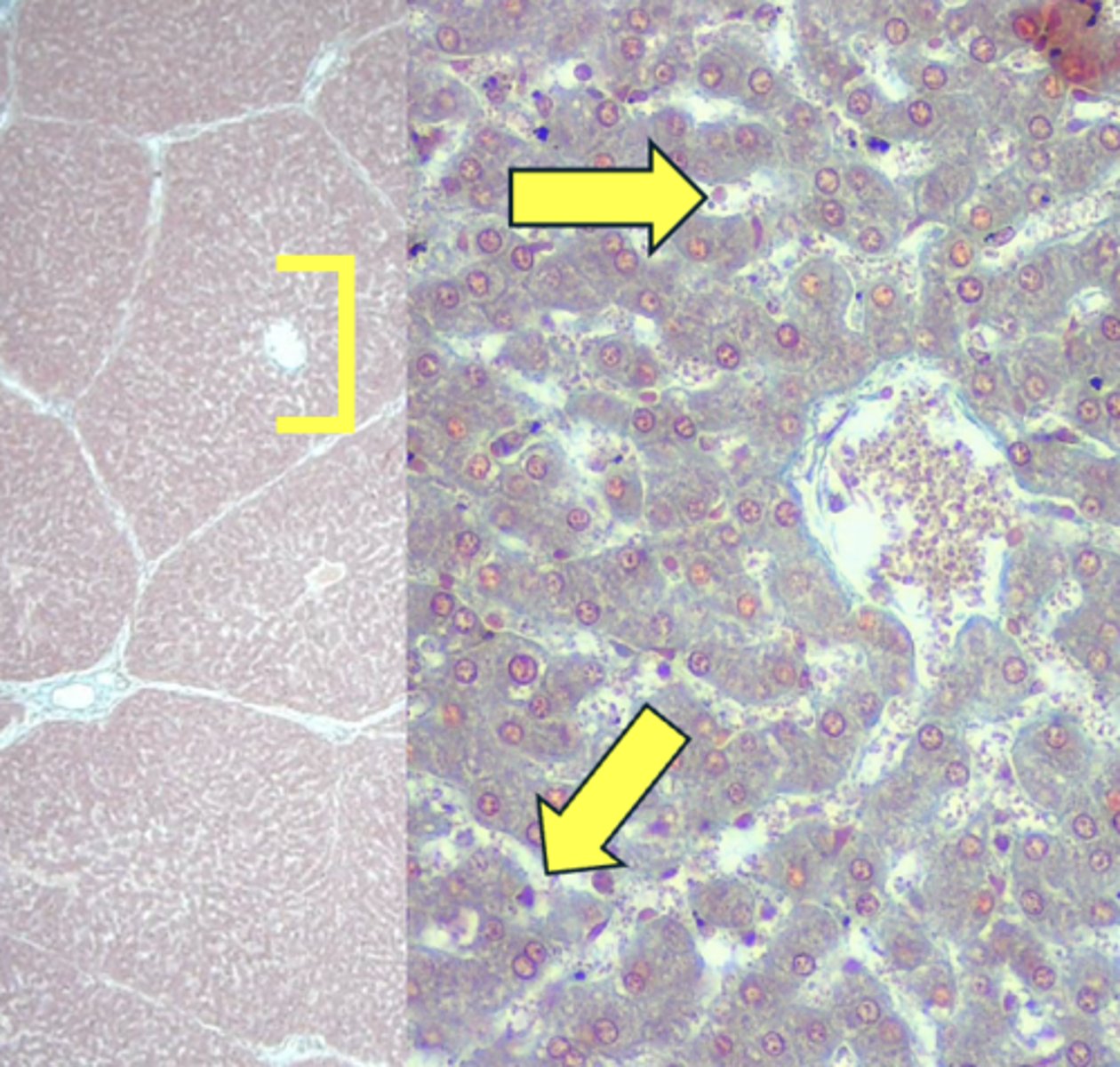
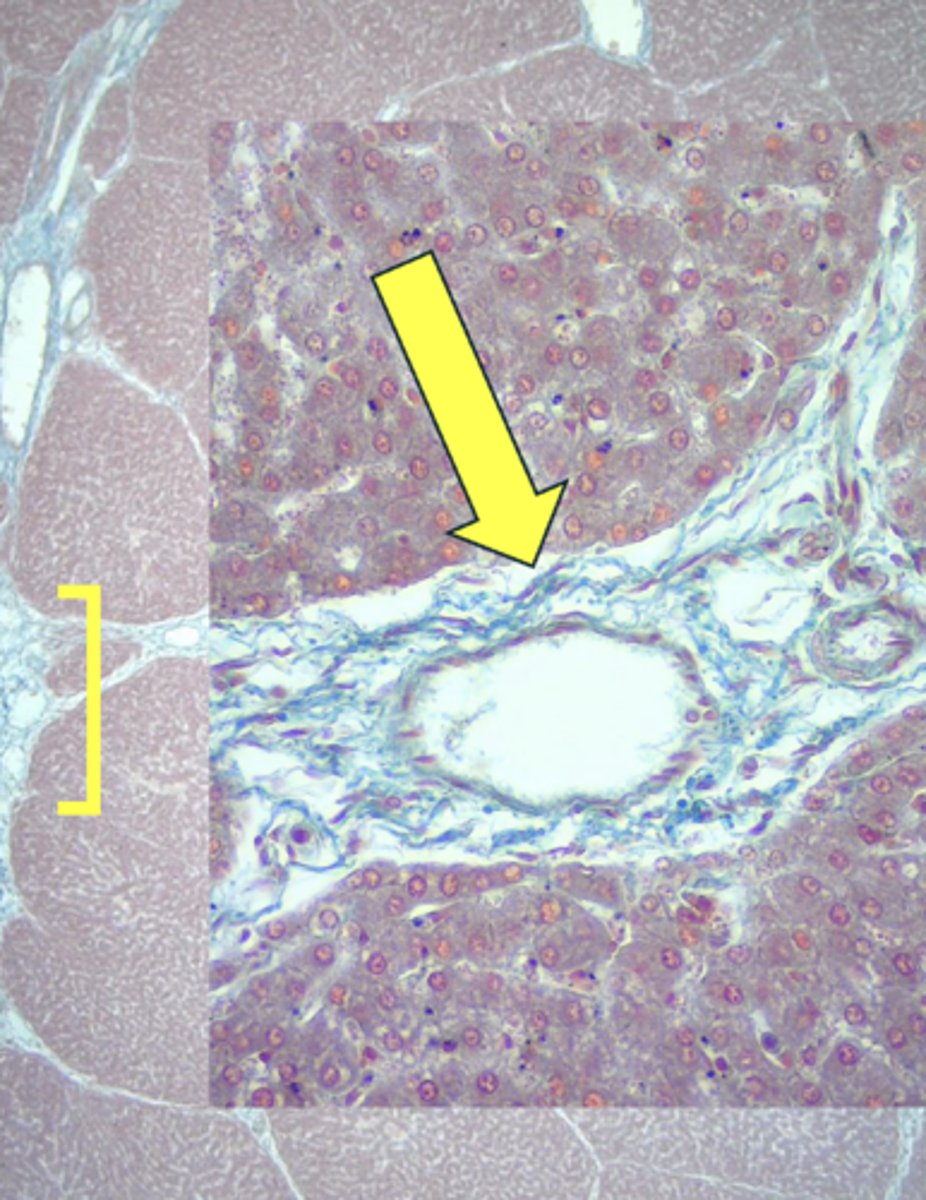
liver
name the tissue

lobule
(liver)

central vein
(liver)

sinusoids
(liver)

hepatocytes
(liver)
type of cell

portal triad
(she said she won't show this on the microscope)

salivary glands
name the tissue

ducts
(salivary gland)

mucous cells
(salivary gland)

serous cells
(salivary gland)

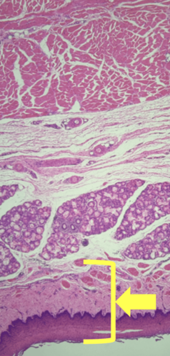
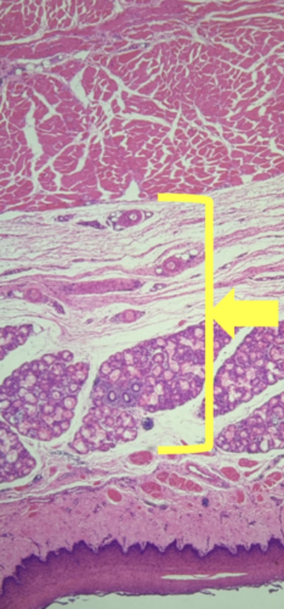
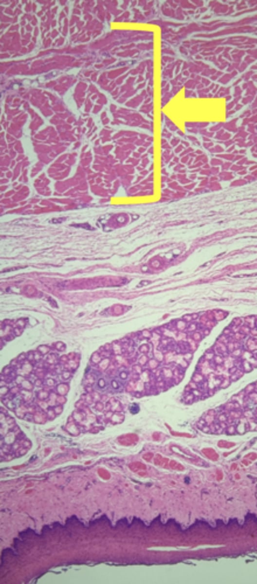
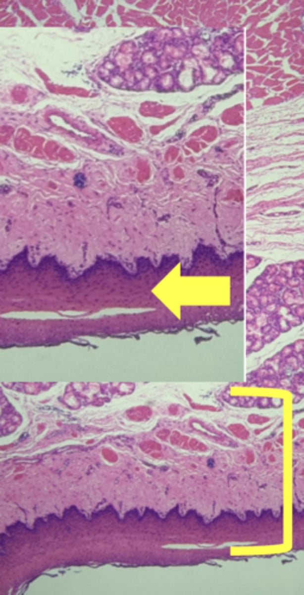
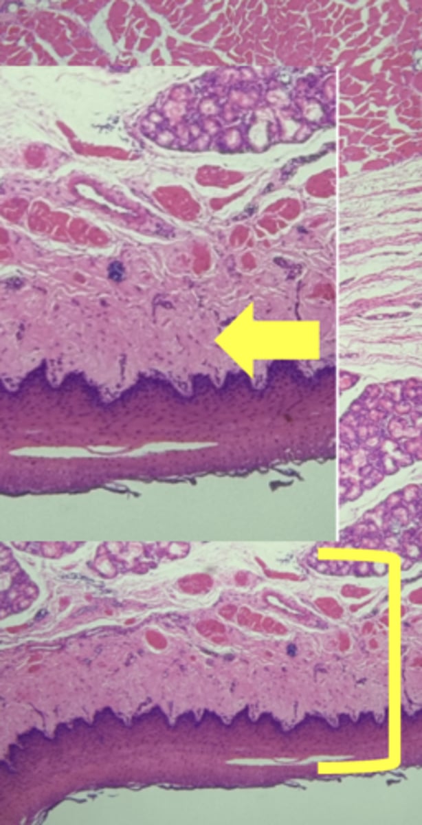
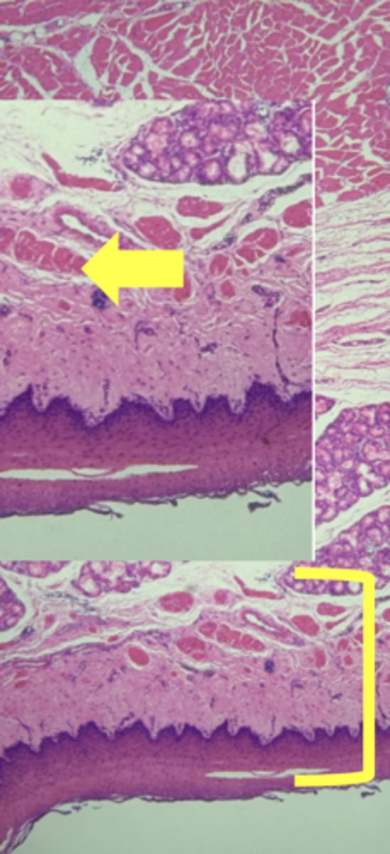
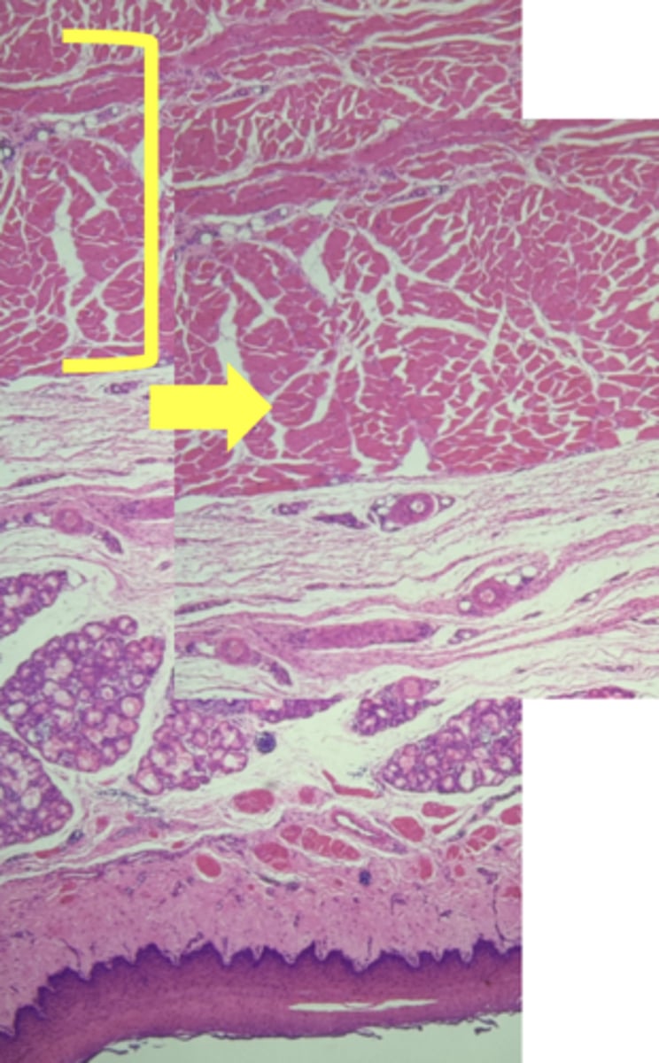
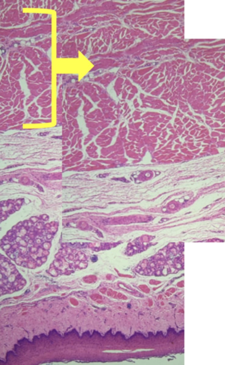
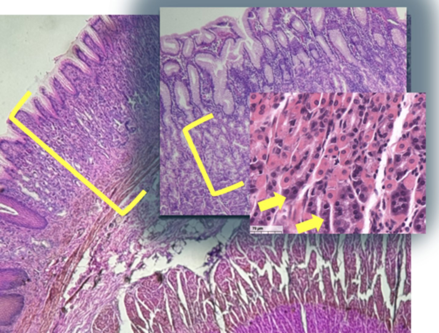
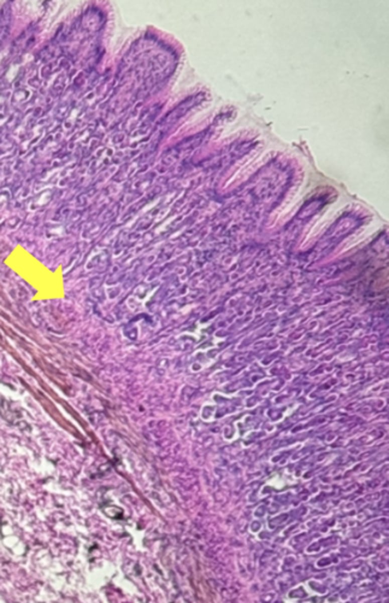
Esophagus
name the tissue

Mucosa
(esophagus)

Submucosa
(esophagus)

muscularis externa
(esophagus)

stratified squamous epithilium (KEY CHARACTERISTIC)
(esophagus)

lamina propria
(esophagus)

muscularis mucosae
(esophagus)

circular layer
(esophagus)

longitudinal layer
(esophagus)

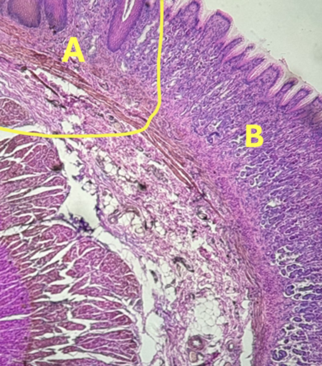
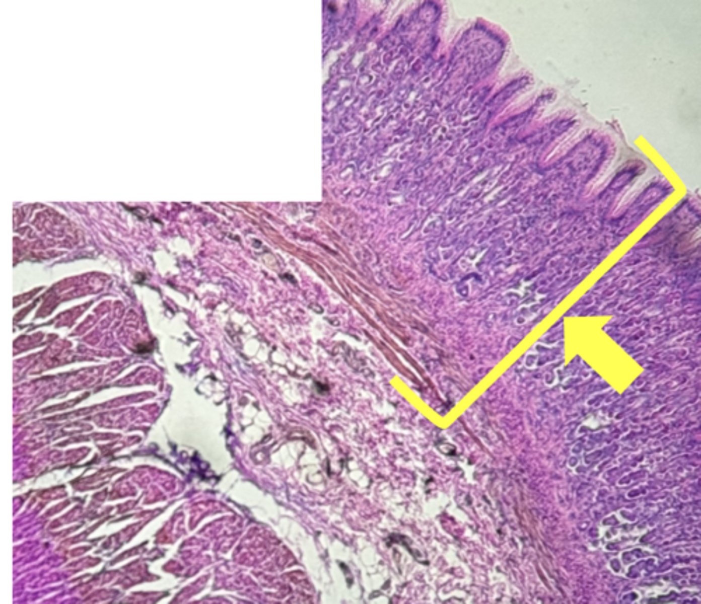
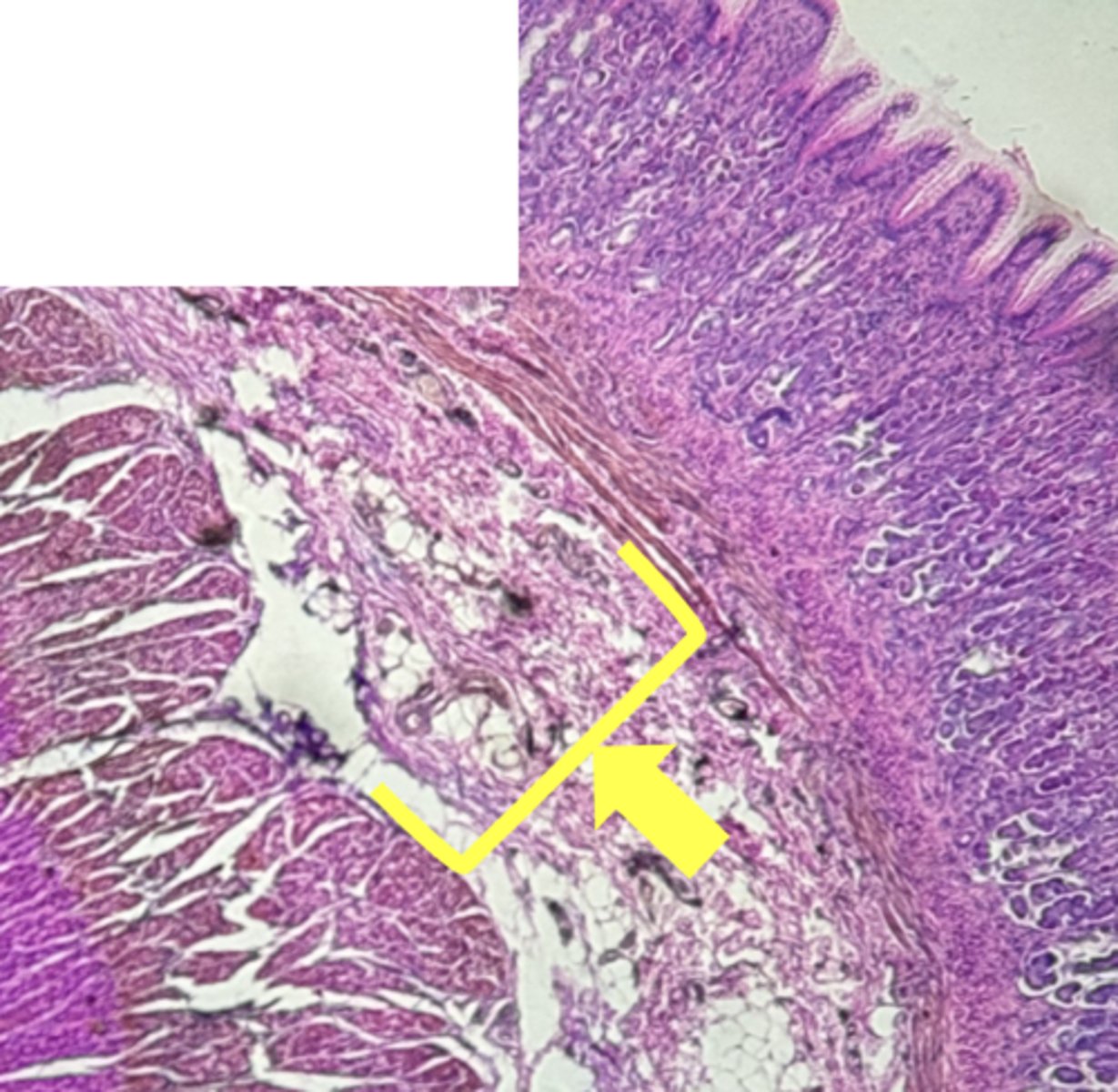
A- Esophagus
B- Stomach
Name the Tissue A & B

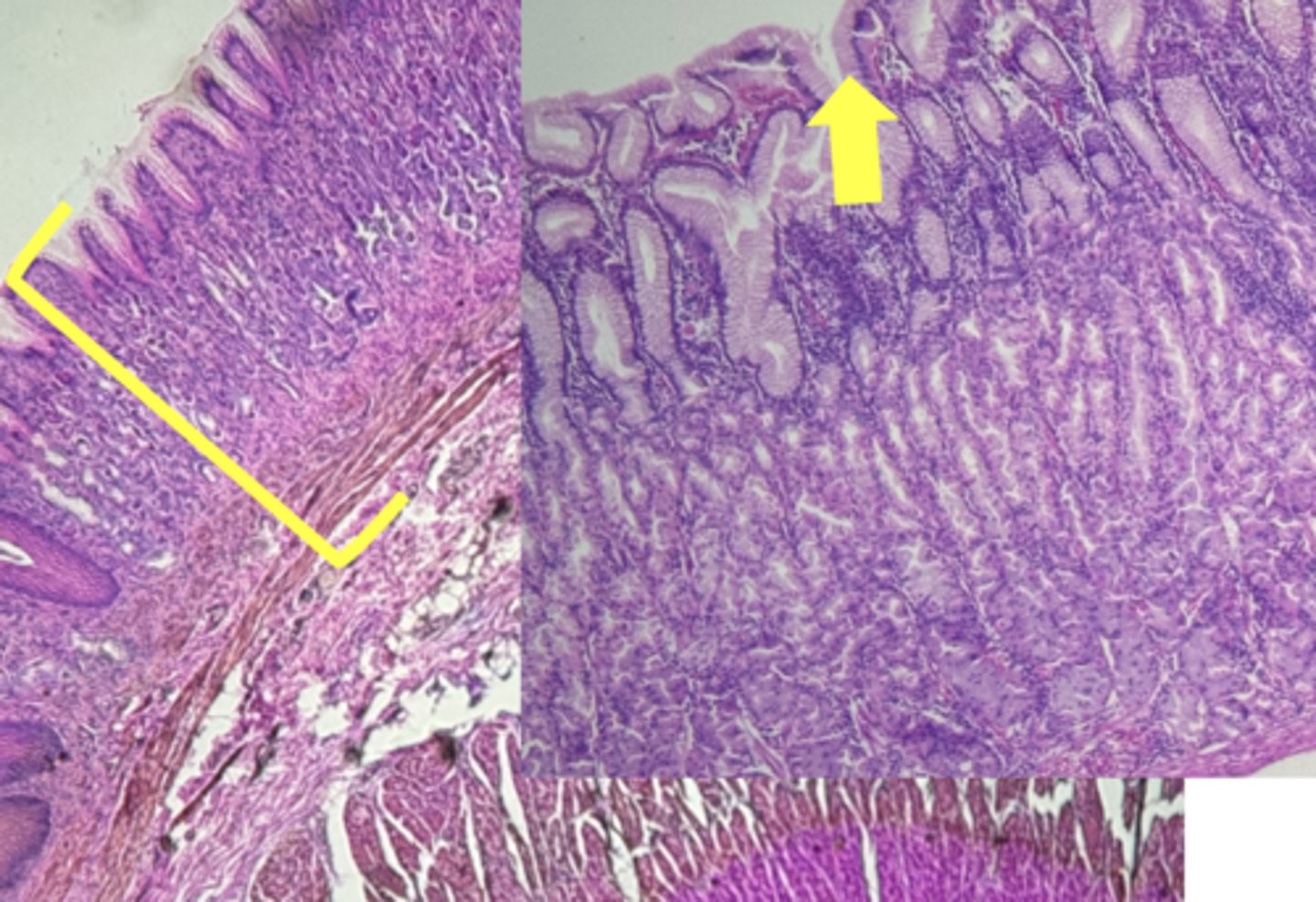
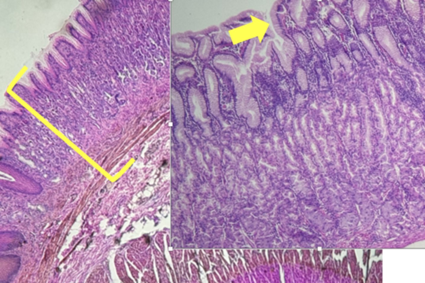
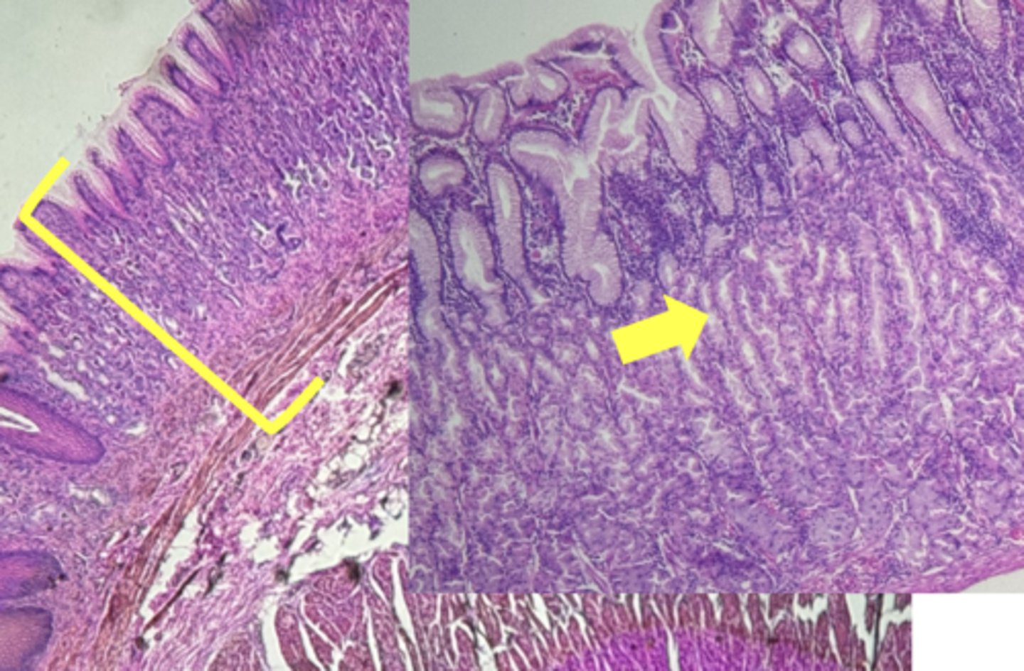
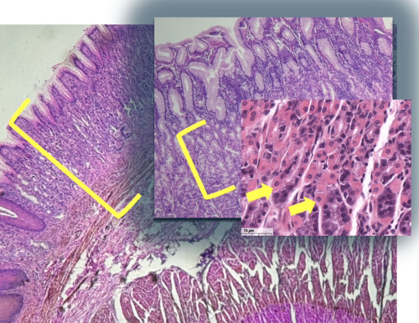
stomach
name the tissue

mucosa
(stomach)

submucosa
(stomach)

muscularis externa (3 LAYERS-KEY CHARACTERISTIC)
(stomach)

oblique layer
(stomach)

circular layer
(stomach)

longitudinal layer
(stomach)

simple columnar epithelium
(stomach)

gastric pits (KEY CHARACTERISTIC)
(stomach)

gastric glands (KEY CHARACTERISTIC)
(stomach)

Parietal cells- HCl (hydrochloric acid)
(stomach)
name the cell & what it secretes

Chief Cells- pepsinogen/pepsin
(stomach)
name the cell & what it secretes

Lamina propria
(stomach)

muscularis mucosae
(stomach)

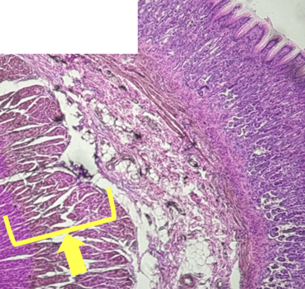
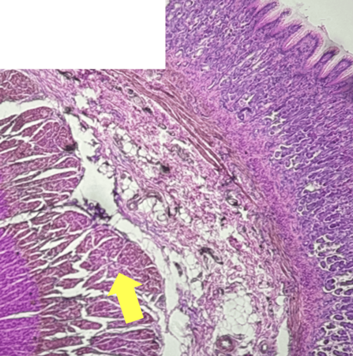
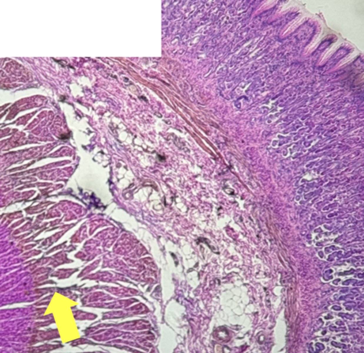
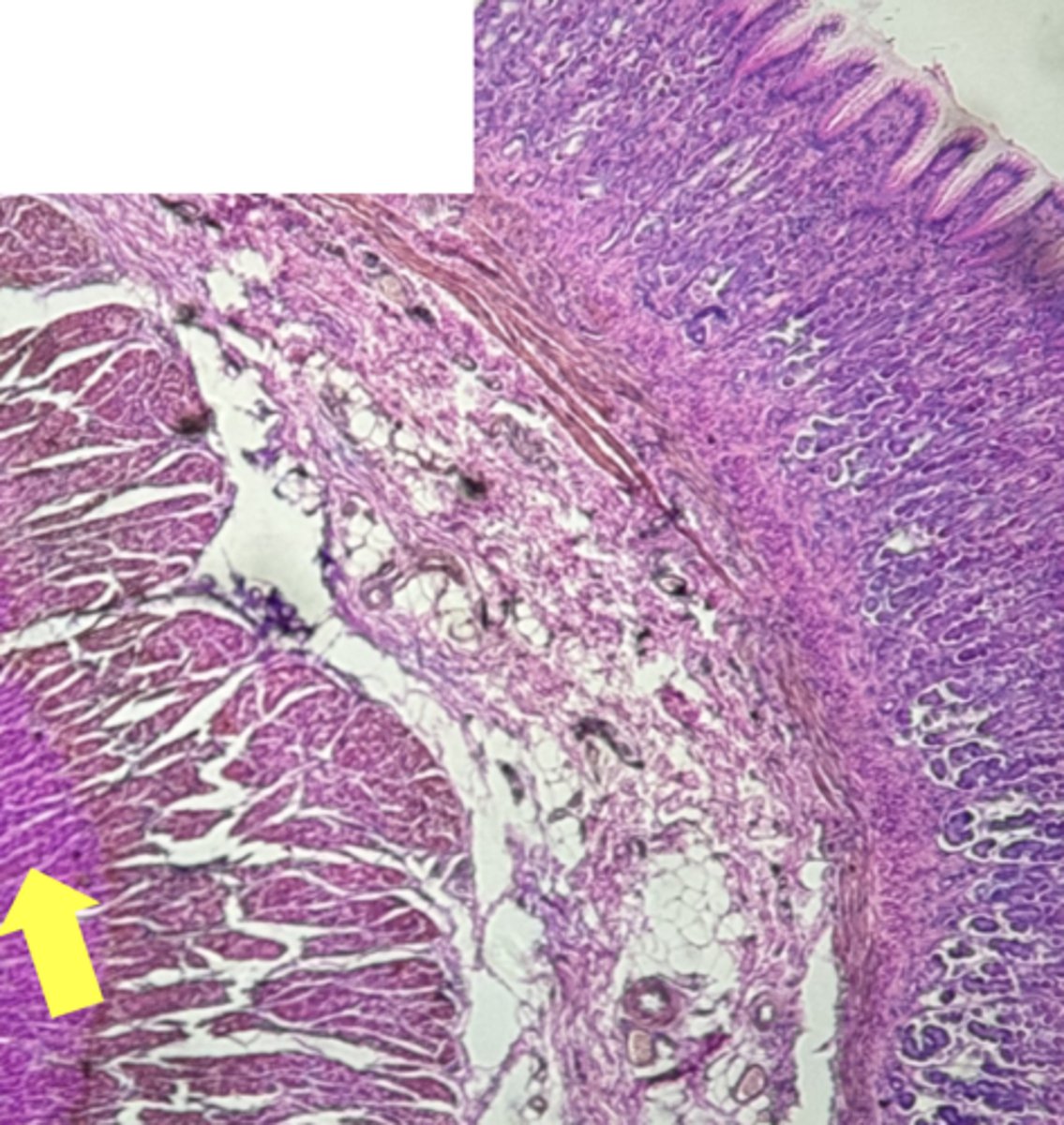
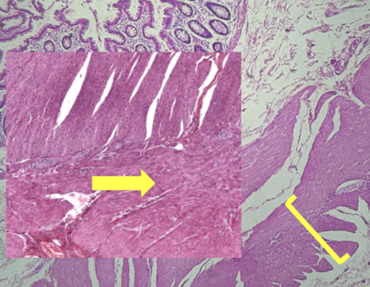
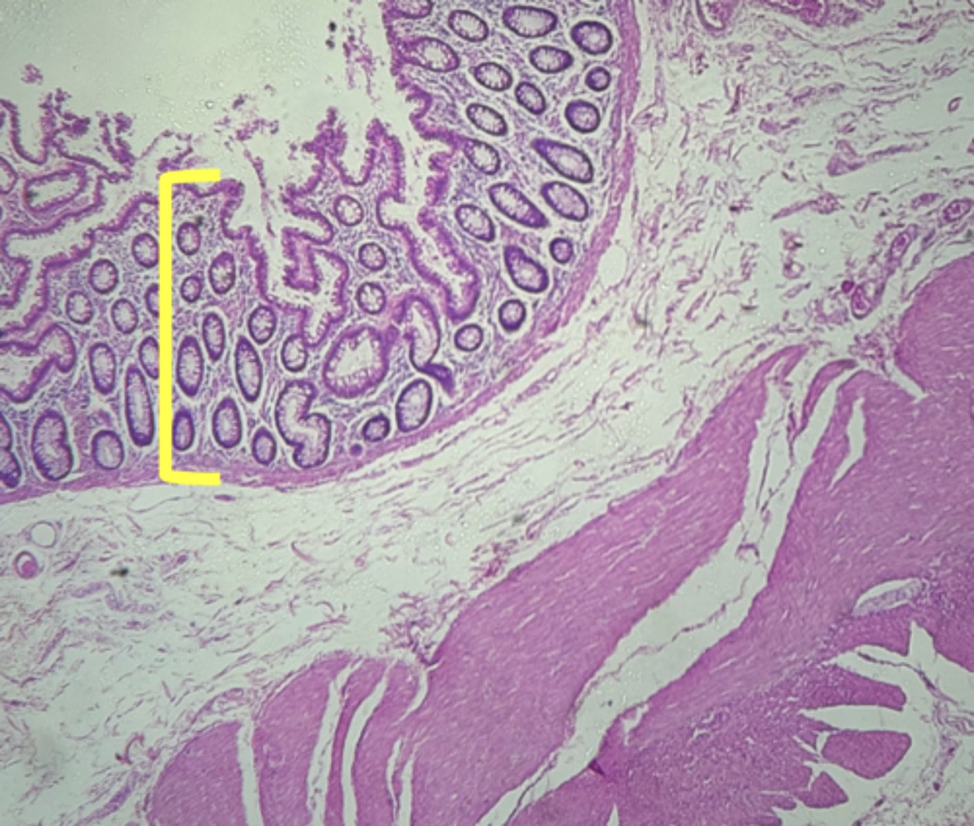
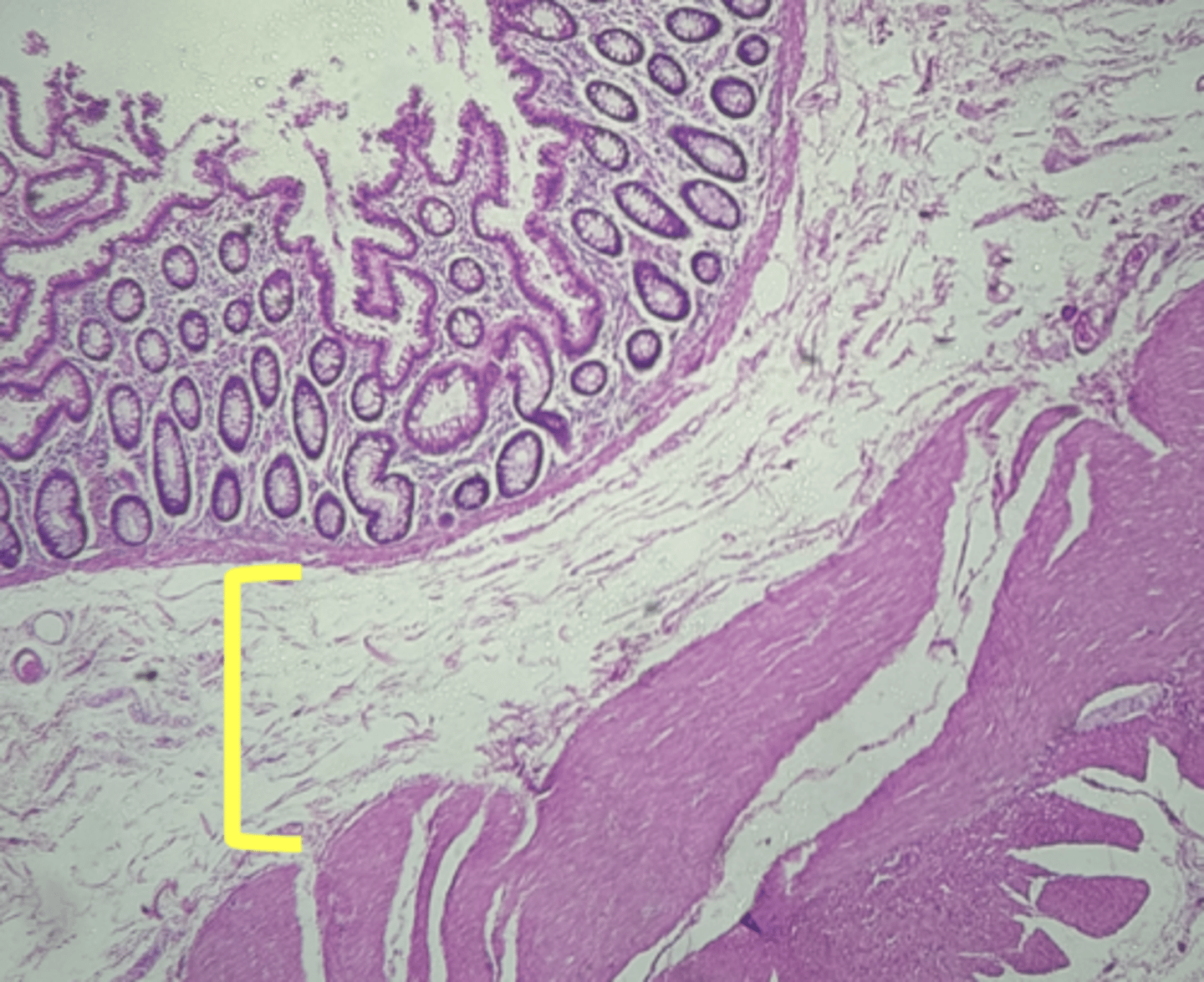
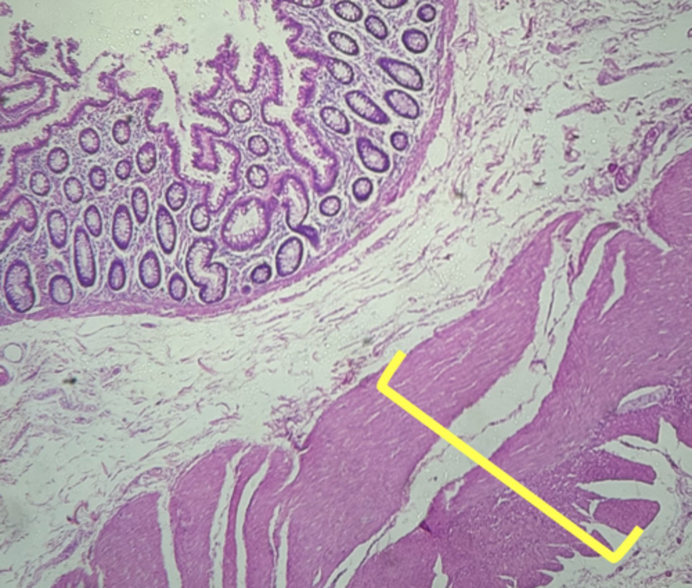
Duodenum (small intestine-cross section)
name the tissue

mucosa
(duodenum)

myscularis externa
(duodenum)

Submucosa
(duodenum)

Brunner's glands (KEY CHARACTERISTIC)
(duodenum)

circular layer
(duodenum)

longitudinal layer
(duodenum)

Villi (KEY CHARACTERISTIC)
(duodenum)

simple columnar epithelium
(duodenum)
type of cell

intestinal crypts
(duodenum)

lamina propria
(duodenum)

muscularis mucosa
(duodenum)

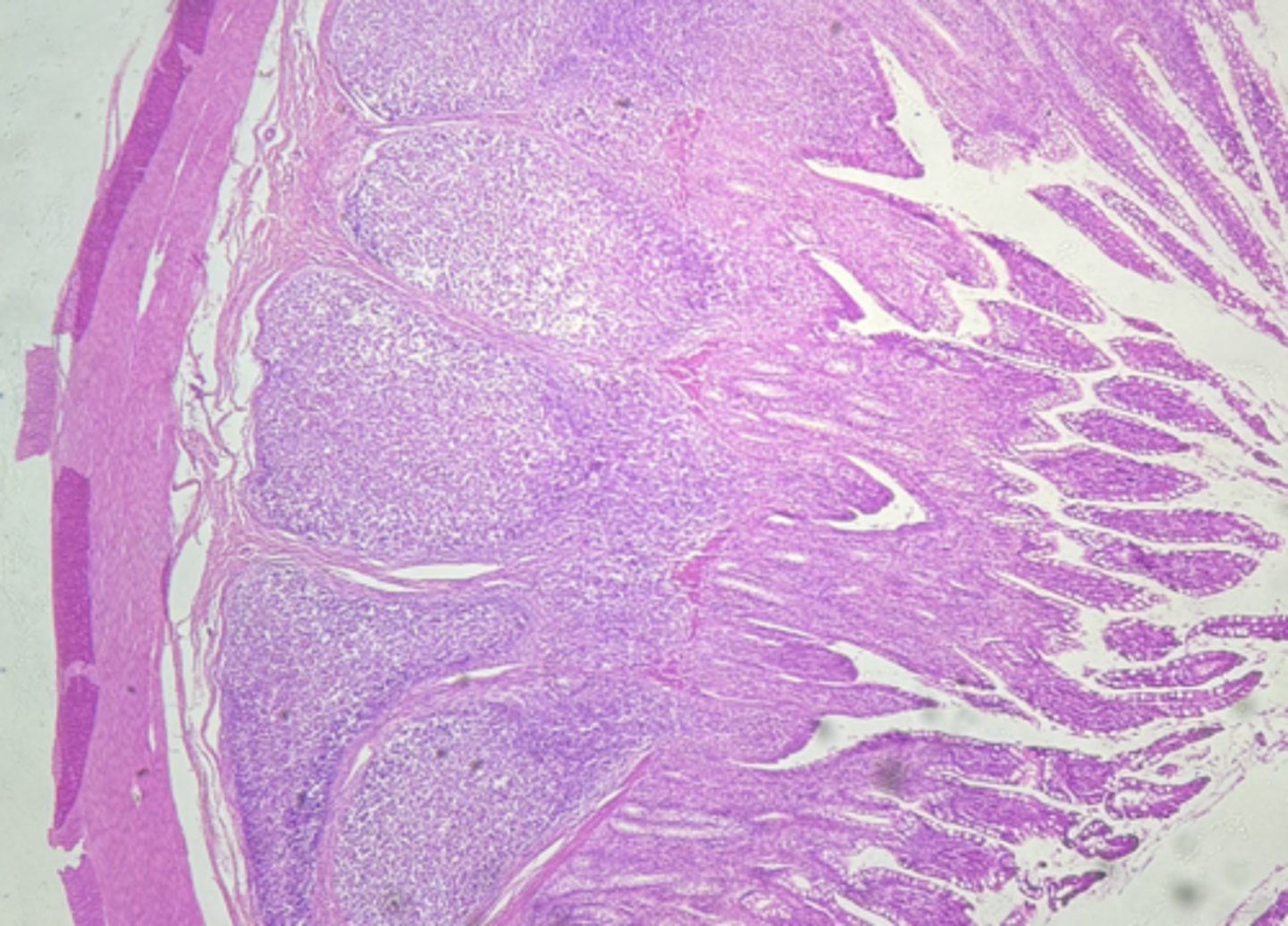
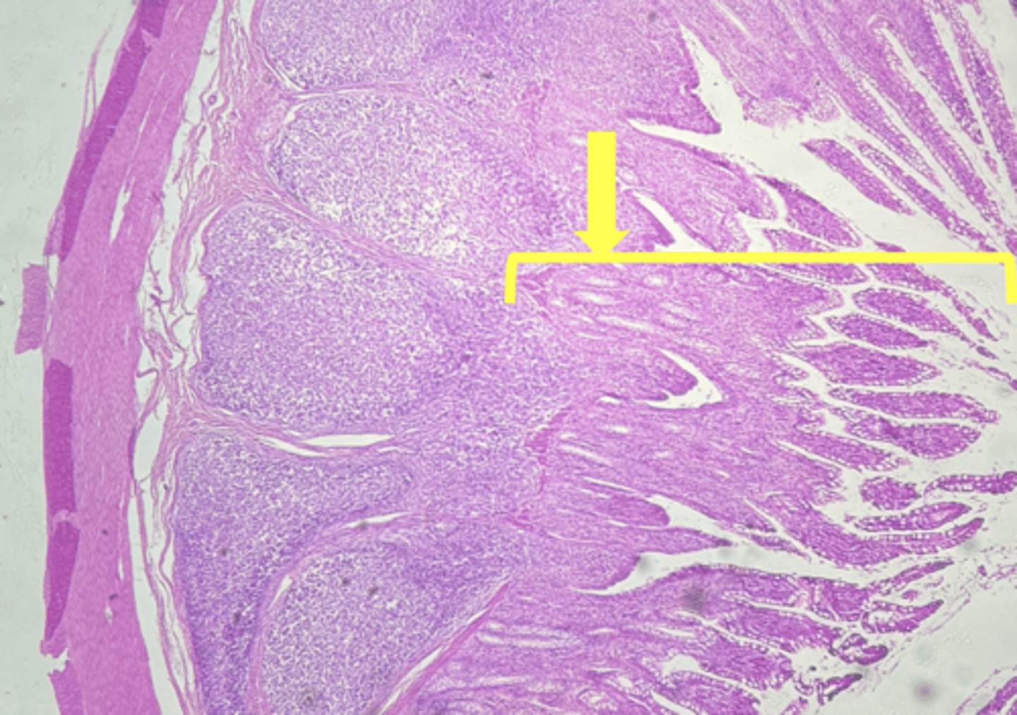
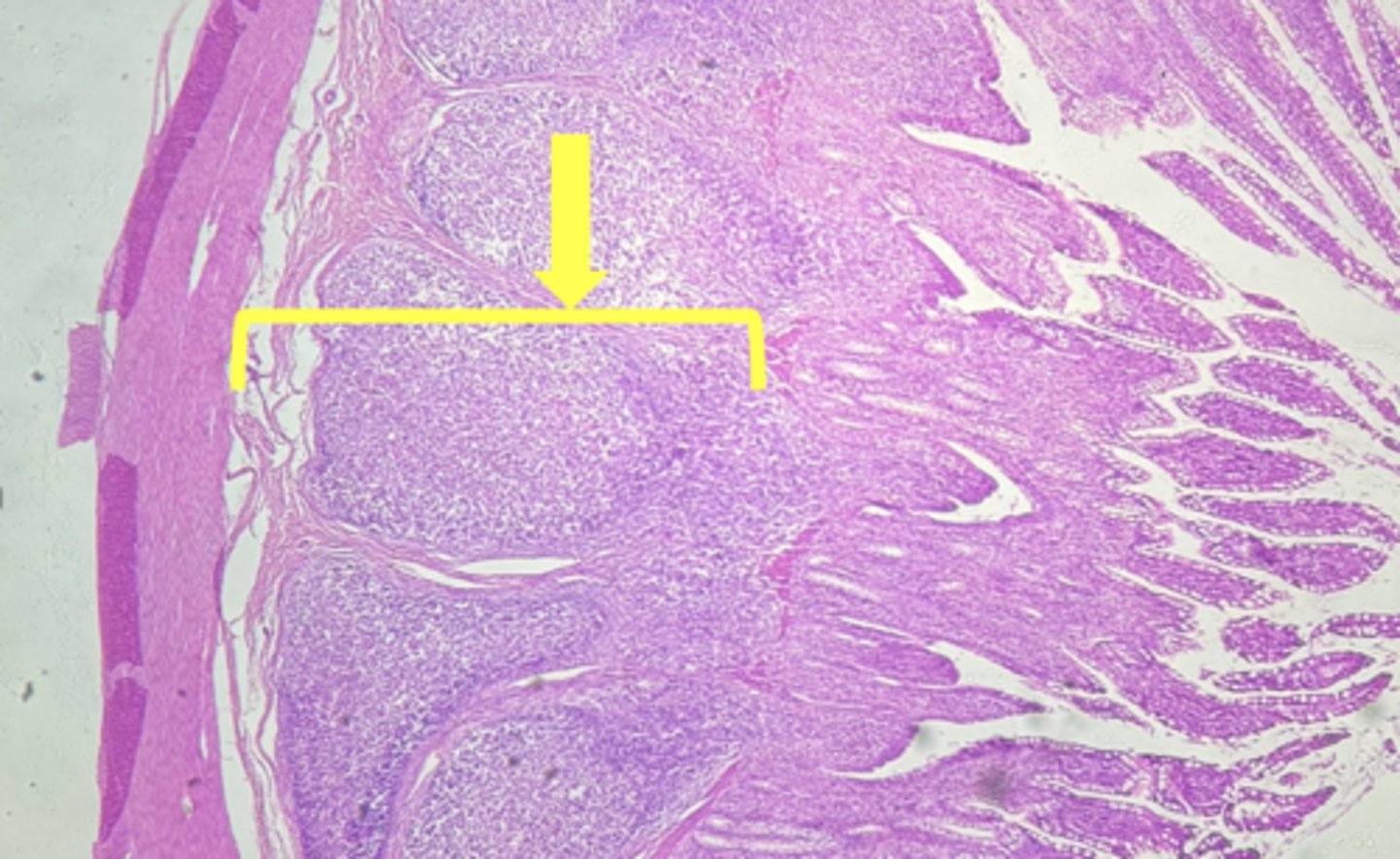
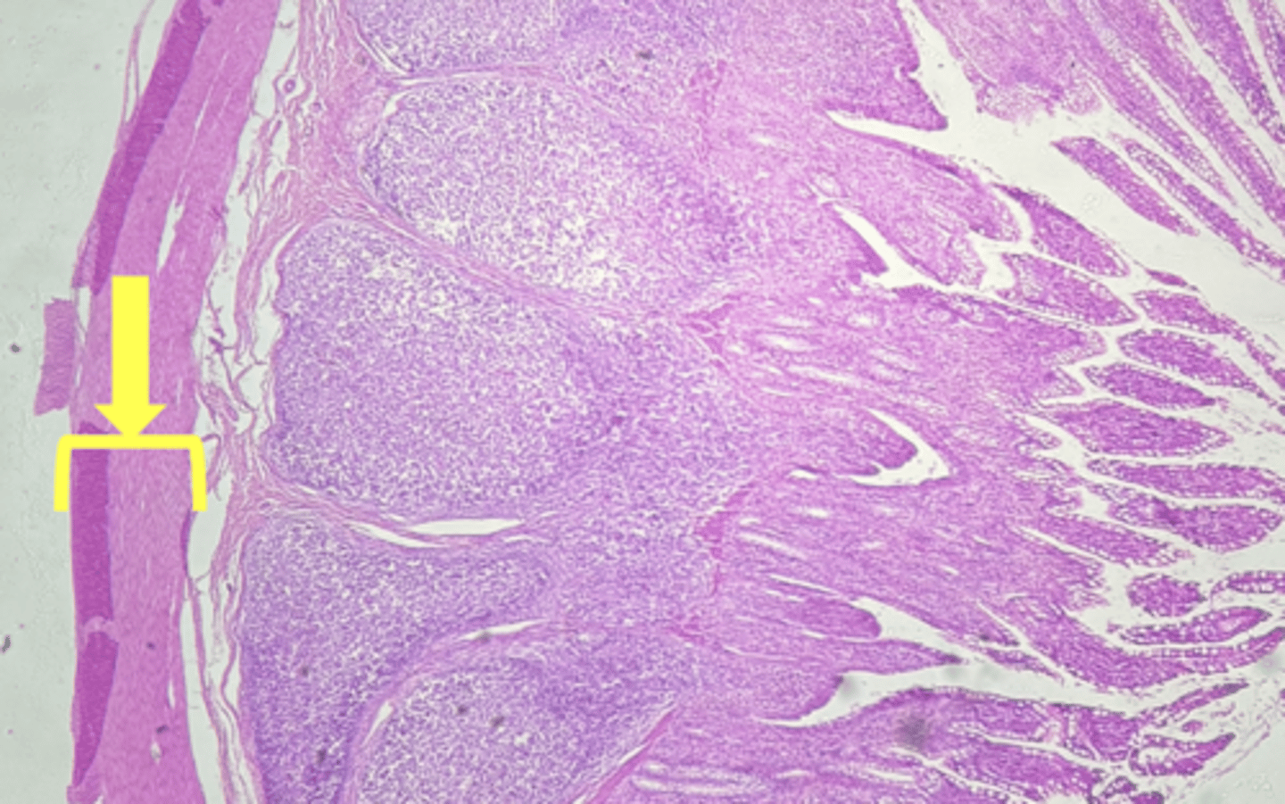
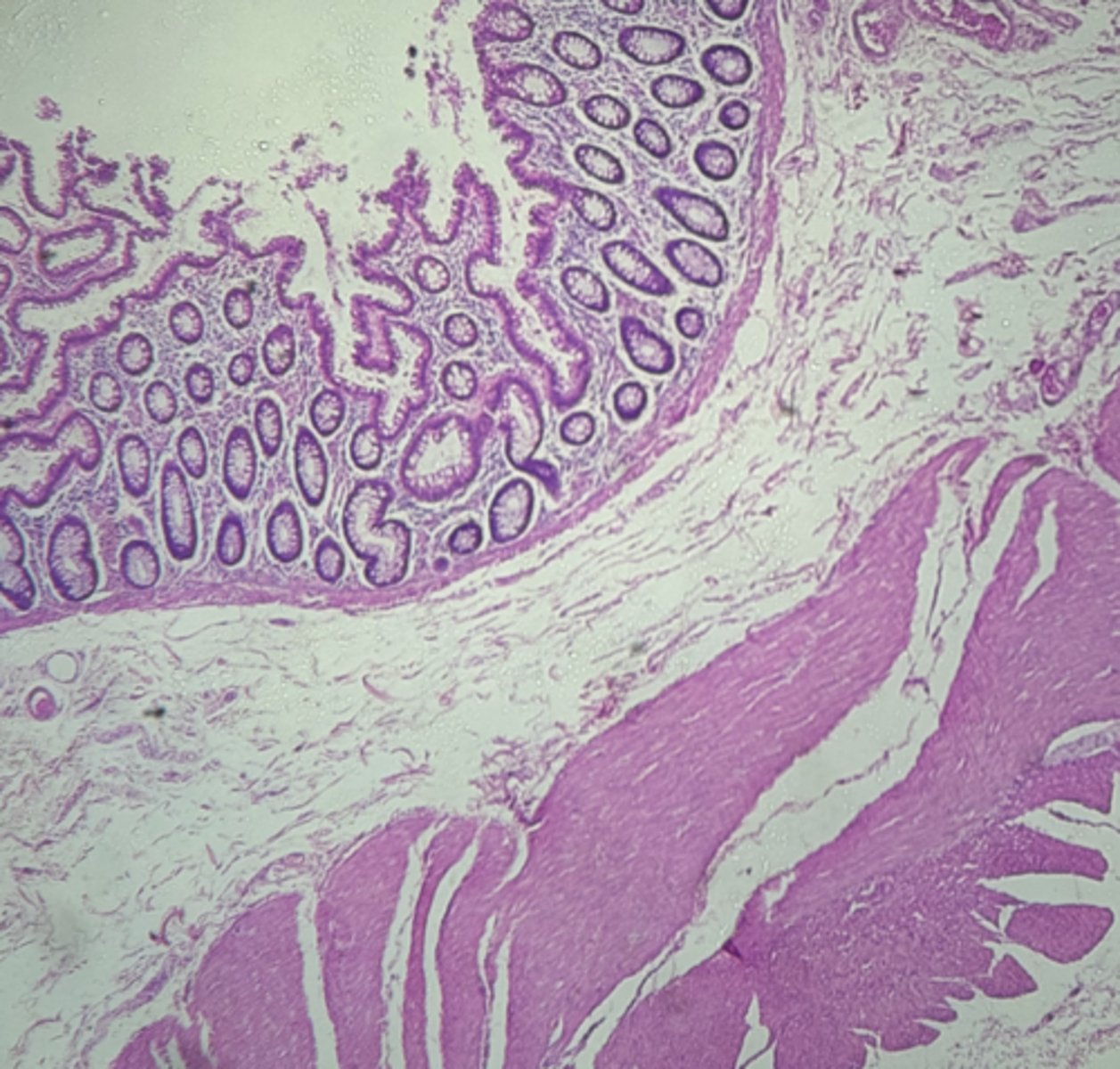
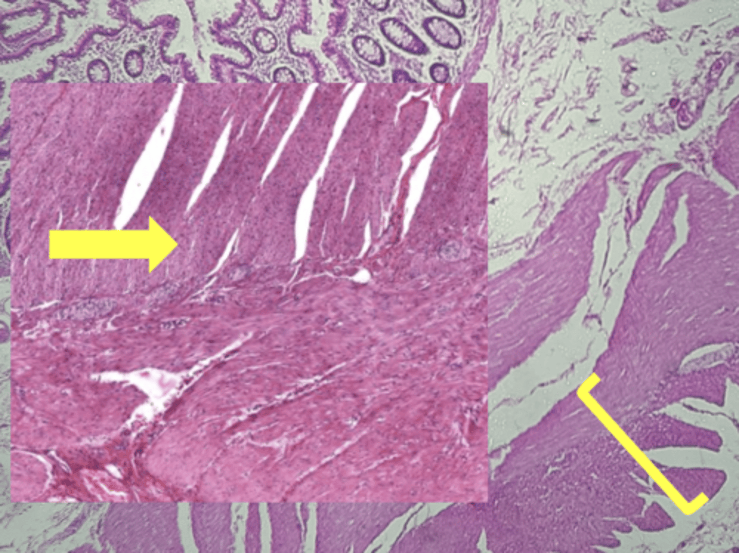
ileum-small intestine
type of tissue

Mucosa
(ilium)

submucosa
(ilium)

muscularis externa
(ilium)

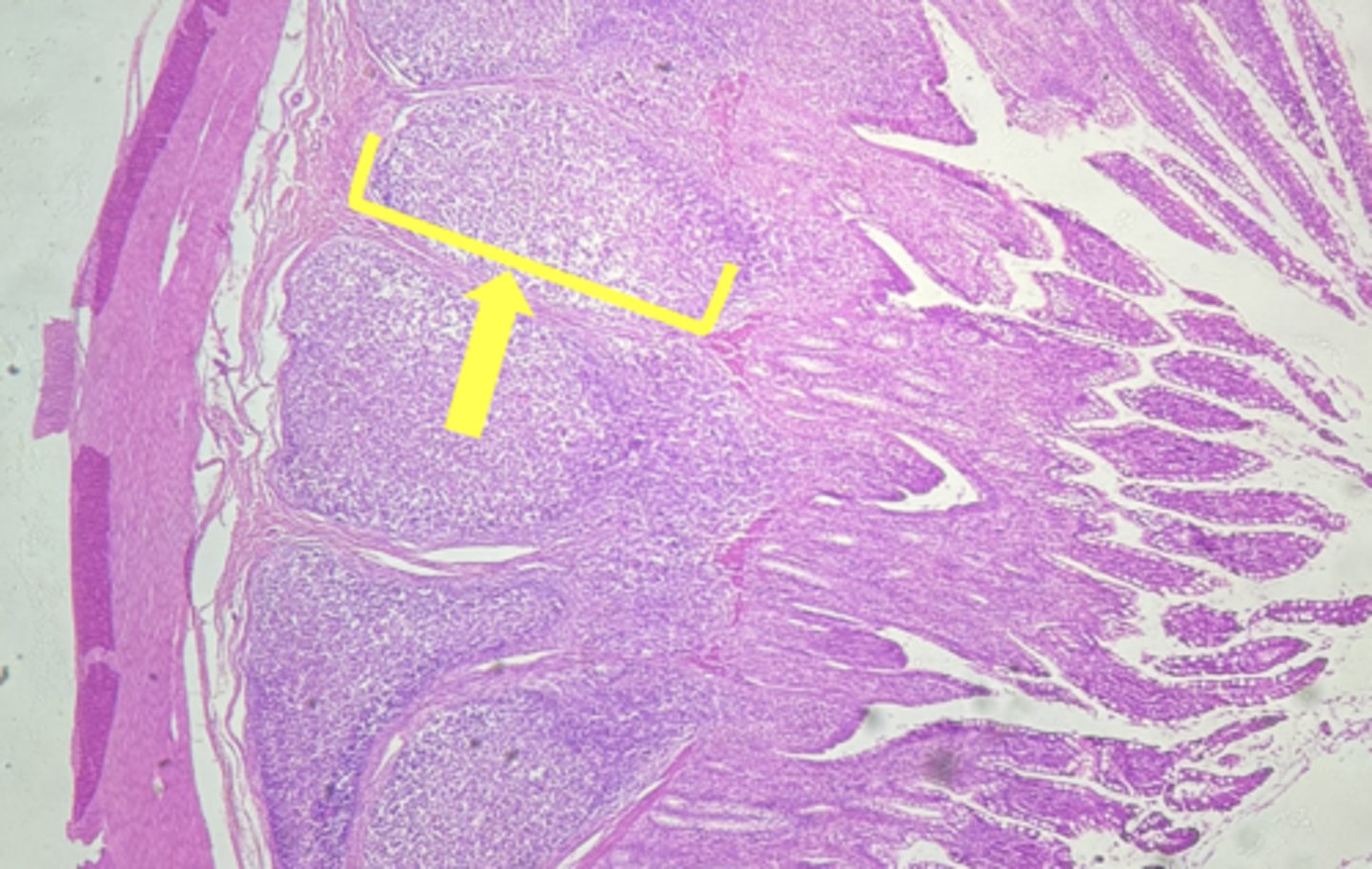
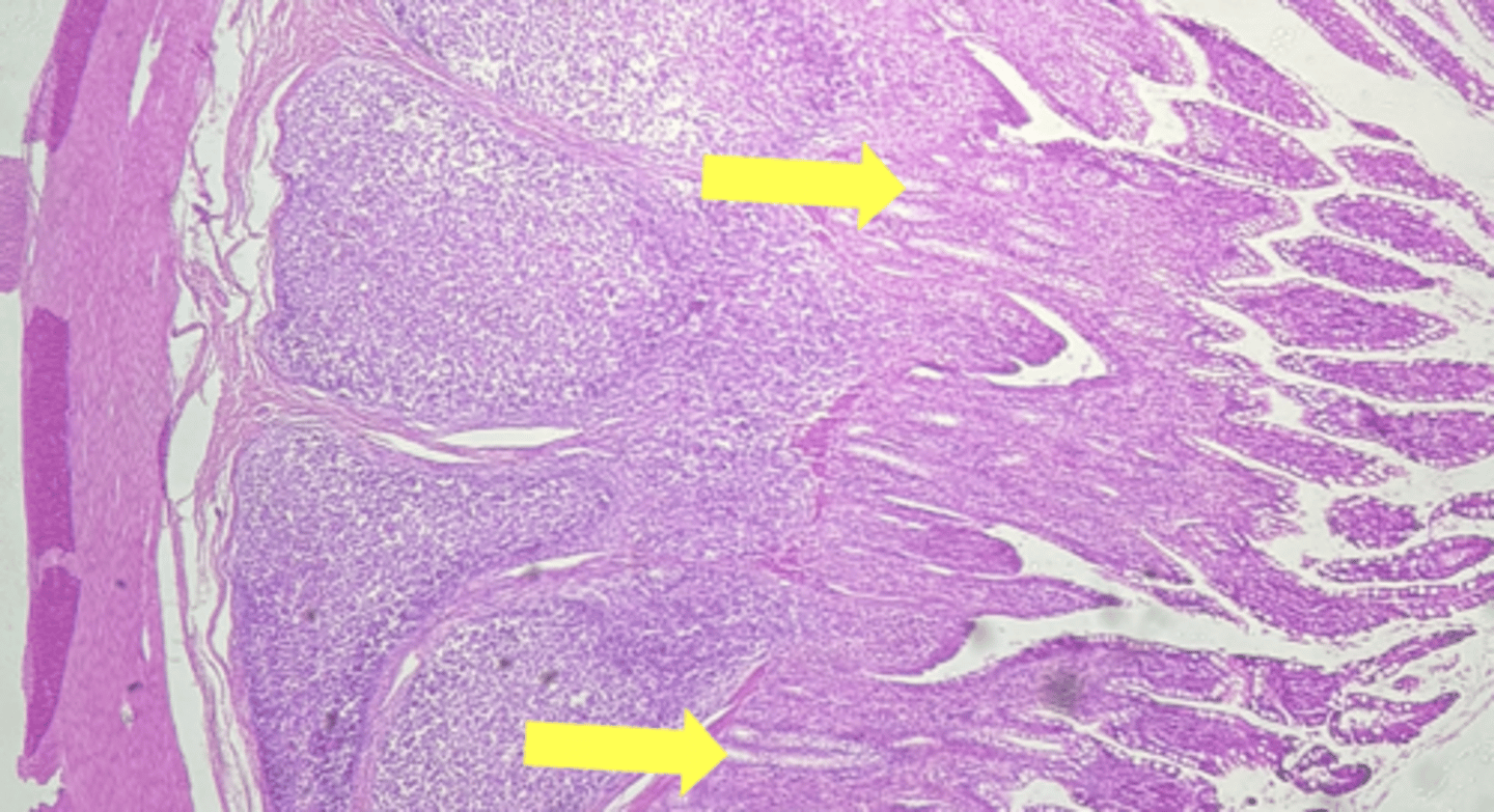
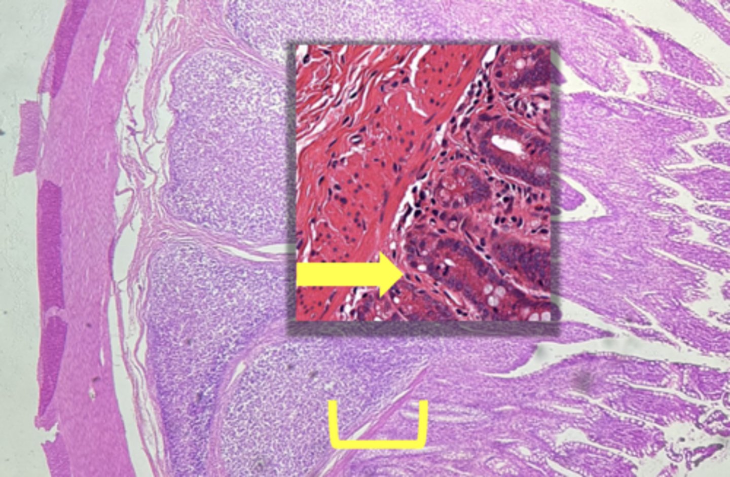
payers patch (KEY CHARACTERISTIC)
(ilium)

circular layer
(ileum)

longitudinal layer
(ilium)

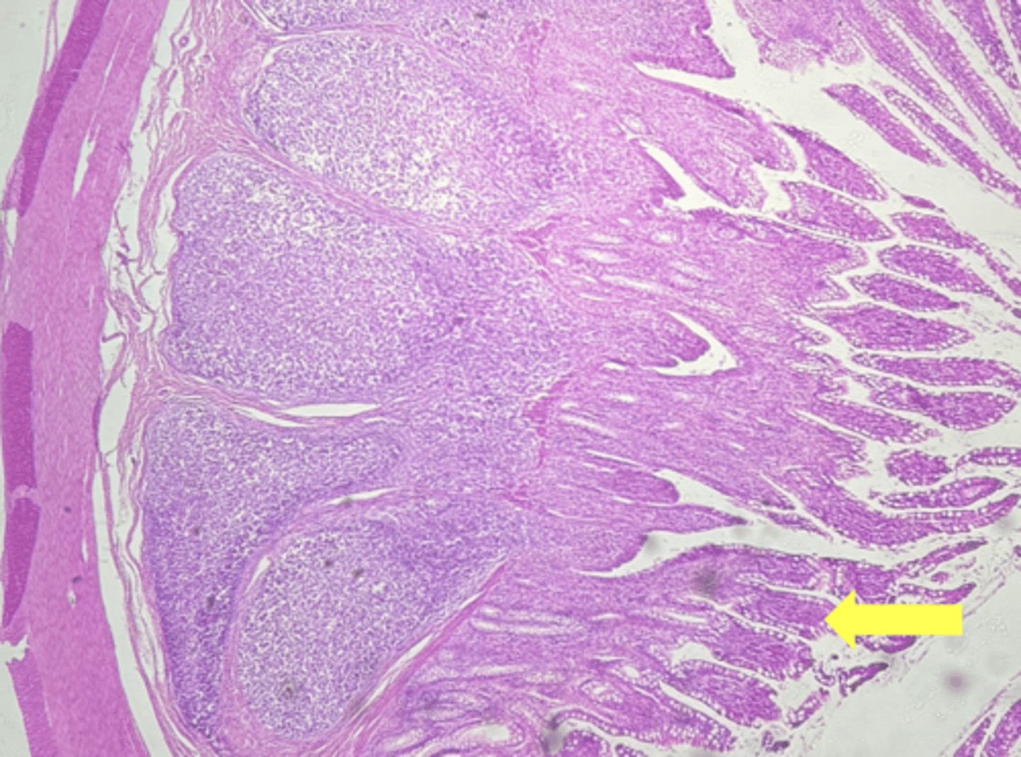
villi
(ileum)

simple columnar epithelium
(ileum)
type of cell

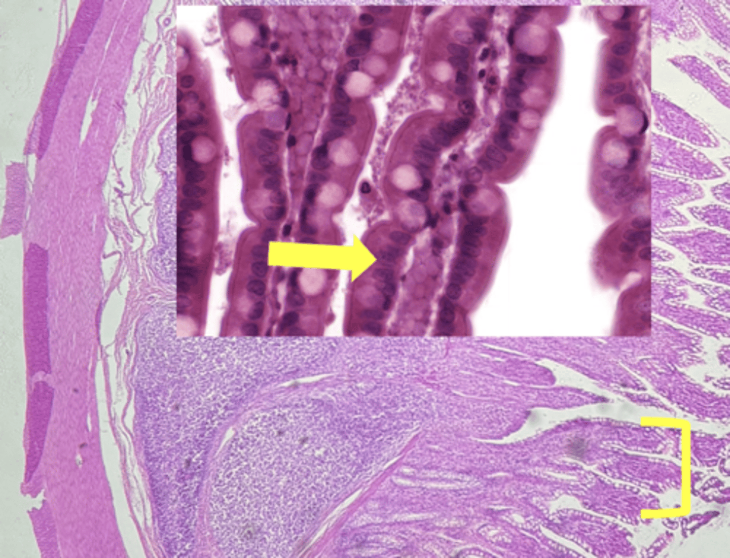
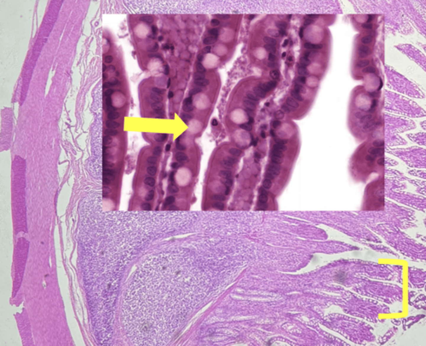
goblet cell- mucous (KEY CHARACTERISTIC)
(ileum-increased # seen here)
type of cell & what it secretes

intestinal crypts
(ileum)

lamina propria
(ileum)

muscularis mucosae
(ileum)

colon- large intestine
name the tissue

circular layer
(Lg. intestine)

longitudinal layer
(lg. intestine)

mucosa
(lg intestine)

Submucosa
(lg intestine)

muscularis externa
(lg. intestine)

goblet cells-mucus (LARGE # KEY CHARACTERISTIC)
(lg. intestine)
name the cell & what it secretes

intestinal crypts
(lg intestine)

muscularis mucosae
(lg intestine)
