1/21
Looks like no tags are added yet.
Name | Mastery | Learn | Test | Matching | Spaced | Call with Kai |
|---|
No analytics yet
Send a link to your students to track their progress

Ascaris lumbricoides (human roundworms)
Class Chomadorea
Phylum Nematoda

Which is male and female
Female (left) and Male (right)

Enteroblus vermicularis (human pinworm)
Class Chomadorea, Phylum Nematoda

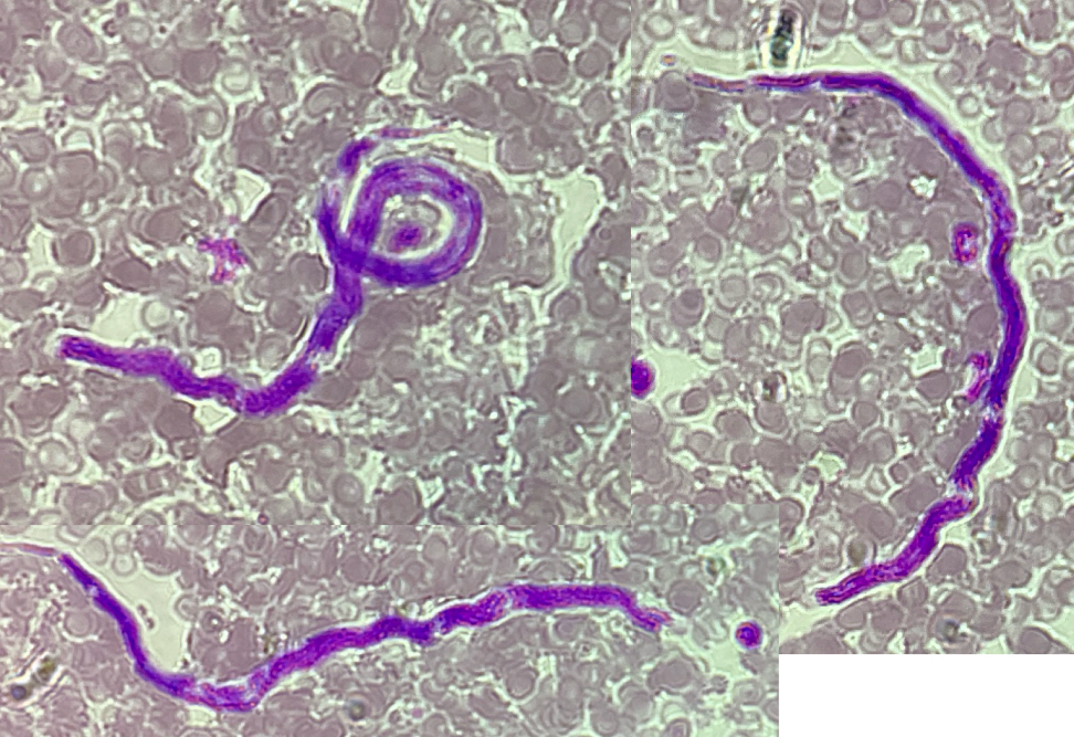
Loa Loa (human eye worm)
Class Chomadorea, Phylum Nematoda
What are microfilariae?
Larval stage of the parasitic worm

Trichuris trichuria (human whipworm)
Class Enoplea, Phylum Nematoda

Trichinella (pork worm)
Class Enoplea, Phylum Nematoda

Macrobiotus macronyx
Clade Panarthropoda, Phylum Tardigrada

Peripatopsis sedgwicki (Velvet worm)
Phylum Onychophora

Colossendeis (giant deep-sea spider)
Class Pycnogonida
Subphylum Chelicerata, Phylum Arthropoda

Limulus (Horseshoe crabs)
Order Xiphosura
Subclass Merostomata, Class Euchelicerata
Subphylum Chelicerata, Phylum Arthropoda
What is the Prosoma/Cephalothorax
The largest body section of the horseshoe crab, a rigid helmet-shaped front part of its exoskeleton

Argiope aurantia (yellow garden spider)
Order Araneae
Subclass Arachnida, Class Euchelicerata
Subphylum Chelicerata, Phylum Arthropoda

Nephila clavipes (Golden silk orb-weaver)
Order Araneae
Subclass Arachnida, Class Euchelicerata
Subphylum Chelicerata, Phylum Arthropoda

Scorpion
Order Scorpiones
Subclass Arachnida, Class Euchelicerata
Subphylum Chelicerata, Phylum Arthropoda

Ticks
Order Acari
Subclass Arachnida, Class Euchelicerata
Subphylum Chelicerata, Phylum Arthropoda

Demodex mites (dust mites)
Order Acari
Subclass Arachnida, Class Euchelicerata
Subphylum Chelicerata, Phylum Arthropoda

Millipedes
Class Diplopoda, Clade Mandibulata
Subphylum Myriapoda, Phylum Arthropoda

Centipedes
Class Chilopoda, Clade Mandibulata
Subphylum Myriapoda, Phylum Arthropoda
Pectines can best be described
comb-like chemosensory organs
The arthropod brain is composed of regions known as
Deutocerebrum: processes sensory information from the antennae
Protocerebrum: optic center
Tritocerebrum: coordinating the mouthparts and the stomatogastric nervous system
What is the Malpighian tubules?
excretory organs that arise from the junction of midgut and hindgut in Chelicerata