1/24
Looks like no tags are added yet.
Name | Mastery | Learn | Test | Matching | Spaced |
|---|
No study sessions yet.

What are the structures indicated by the leftmost box & arrows?
*Hint: These structures are comprised of an oocyte and a single layer of squamous (flat) granulosa cells.
Primordial follicles

What are the structures indicated by the rightmost box & arrows?
*Hint: At this stage of follicular development, follicles will be grouped together near the ovarian free surface/germinal epithelium in clusters.
Primary follicles

What are the structures indicated by the letter A?
*Hint:
Zona pellucidia

What are the structures indicated by the letter B?
*Hint:
Multiple layers of granulosa cells

What are the structures indicated by the letter C?
*Hint:
Basal lamina

What are the structures indicated by the black arrow?
Granulosa cells

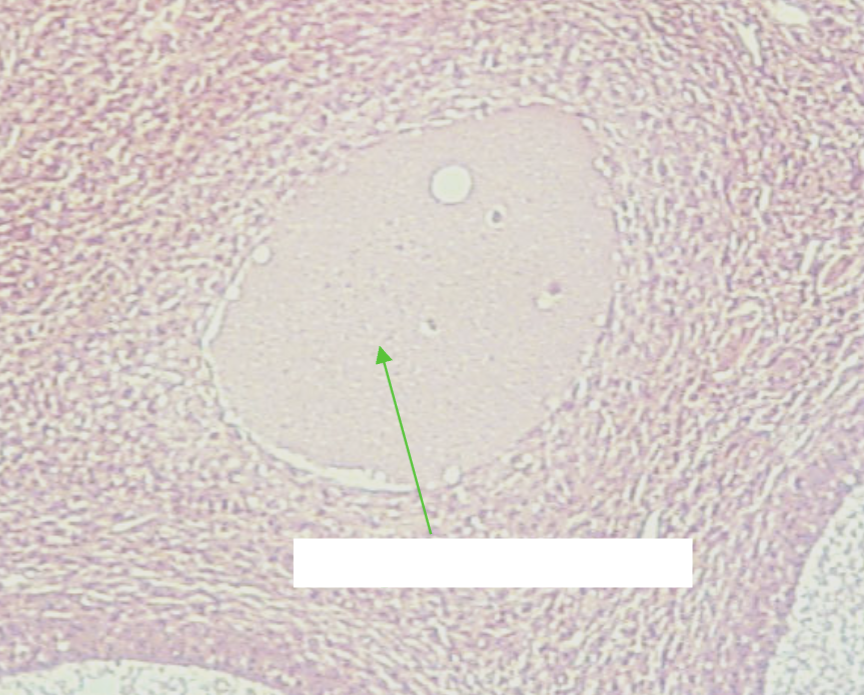
What structure is being indicated by the white box?
Follicular antrum

What structure is being indicated by arrow #1?
Stratum granulosa

What structure is being indicated by arrow #2?
Basal lamina
What structure is being indicated by arrow #3?
Theca interna
What structure is being indicated by arrow #4?
Theca externa
What structure is being indicated by arrow #5?
Tunica albuginea
What structure is being indicated by arrow #6?
Germinal epithelium

What is the structure being shown in this image?
*Hint: The ovulated follicle is transformed rapidly into this new, highly vascularized, glandular structure.
Corpus luteum

What is the structure being shown in this image?
*Hint: With time, a hyaline intercellular material accumulates, and the former corpus luteum assumes the appearance of an irregular white, hyaline scar.
Corpus albicans

What structure is being depicted in this cross section?
Oviduct

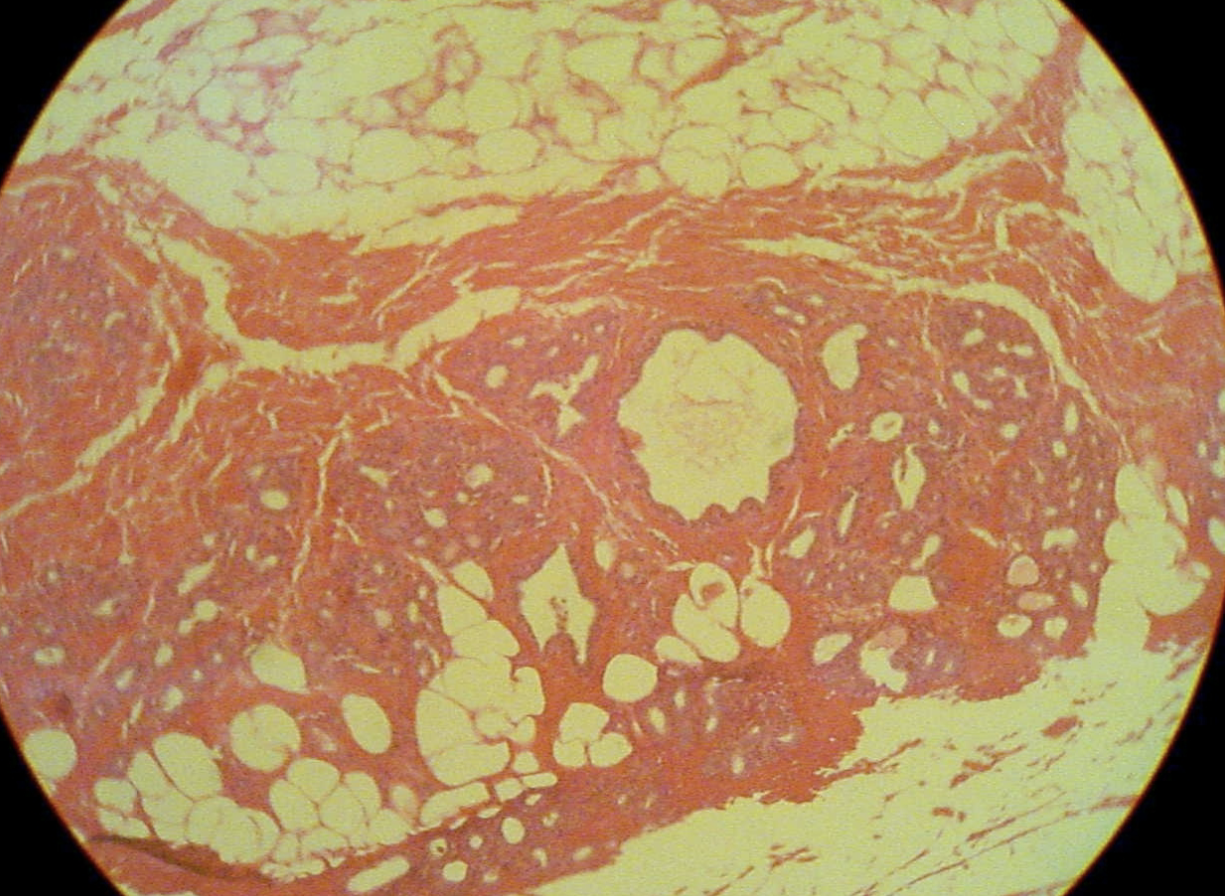
Which phase of estrus is this ovary experiencing?
Estrus

Which phase of estrus is this ovary experiencing?
Diestrus

What is the structure being indicated by the arrow?
Mesosalpinx

What structures are being indicated by the arrows?
*Hint: These uterine secretory units are extremely sensitive to the effects of estrogen and progesterone.
Uterine or tubular glands

What structures are being indicated by the arrows?
*Hint: Goblet cells, along with ciliated columnar epithelial cells, are sequestered to deep furrows in the cervical mucosa.
Cervical crypts

What phase is this mammary tissue undergoing?
Resting

What phase is this mammary tissue undergoing?
First trimester

What phase is this mammary tissue undergoing?
Lactating