1/85
Looks like no tags are added yet.
Name | Mastery | Learn | Test | Matching | Spaced |
|---|
No study sessions yet.

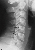
Q what is the name of this measurement? and what is the average + range?
A: Atlantodental Interspace (ADI)
assesses the integrity of the transverse ligament. Average and range for Adults: 1-3 mm. Average and range for Children: 1-5 mm

Q what is the name of this measurement? and what is the average + range?
A: Method of Bull
assesses an angle formed by two lines
Chamberlain; from posterior hard palate to posterior foramen magnus
Atlas plane line; second line through midpoints of ANT/POST atlas tubercles
The average angle is 13° and any angle greater than 13° is considered abnormal.

Q what is the name of this measurement? and what is the average + range?
A: George's Line
assesses the posterior surfaces of the vertebral bodies for a smooth vertical alignment. No average or range is specified.

Q what is the name of this measurement? and what is the average + range?
A: Posterior Cervical Line
assesses for a smooth, arc-like curve of the spinolaminar junctions. No average or range is specified, but significance in children notes the C2 junction should not be more than 2 mm anterior to the line.

Q what is the name of this measurement? and what is the average + range?
A: Sagittal Dimension of the Cervical Spinal Canal
assesses the diameter of the cervical spinal canal. The range is C1: 16-31 mm, C2: 14-27 mm, C3: 13-23 mm, and C4-C7: 12-22 mm.

Q what is the name of this measurement? and what is the average + range?
A: Atlantoaxial Alignment
assesses the alignment of the lateral masses of the atlas and the axis. No average or range is specified.

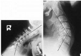
Q what is the name of this measurement? and what is the average + range?
A: Cervical Gravity Line
assesses the alignment of the odontoid process with the C7 body. line should pass through C7 body.

Q what is the name of this measurement? and what is the average + range?
A: Depth of Cervical Curve
from the superior posterior aspect of the odontoid to the posterior inferior corner of C7
assesses the depth of cervical lordosis. The average is 12 mm, with a range of 7-17 mm.

Q what is the name of this measurement? and what is the average + range?
A: Method of Jochumsen
line is drawn from the anterior border of the ANT tubercle of the atlas to the anterosuperior corner of the C7 body. The distance from this line to the anterior border of the C5 body is measured
assesses cervical lordosis. The range is 3-8 mm.

Q what is the name of this measurement? and what is the average + range?
A: Angle of Cervical Curve
assesses the angle of cervical lordosis. The average is 40°, with a range of 35-45°.

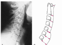
Q what is the name of this measurement? and what is the average + range?
A: Stress Lines of the Cervical Spine
assesses cervical spine stability on flexion and extension
flexion should intercept with line of C5 or C6 disc or facet joints
Extension should intercept with C4 or C5 disc or facet joints

Q what is the name of this measurement? and what is the average + range?
A: Prevertebral Soft Tissues
assesses the soft tissue space in front of the cervical vertebrae. This measurement has three different names depending on location:
Retropharyngeal interspace (RPI) at C2-C3 =
Retrolaryngeal interspace (RLI) at C4-C5 =
Retrotracheal interspace (RTI) at C5-C7 =
In a neutral Spine:
10mm
5mm
7mm
7mm
20mm
20mm
20mm

Q what is the name of this measurement? and what is the average + range?
A: Humeral angle (HA)
assesses the angle formed by the humeral shaft and head lines. The average is 60° for males and 62° for females.

Q what is the name of this measurement? and what is the average + range?
A: Glenohumeral Joint Space
assesses the space between the humeral head and the glenoid. The average is 4-5 mm.

Q what is the name of this measurement? and what is the average + range?
A: Acromiohumeral Distance (AH gap)
assesses the distance between the acromion and the humeral head. The average is 9 mm, with a range of 7-11 mm.

Q what is the name of this measurement? and what is the average + range?
A: Acromioclavicular Joint Space (A/C Joint Space)
assesses the joint space between the acromion and the clavicle. The average is 3.3 mm for males (range 2.5-4.1 mm) and 2.9 mm for females (range 2.1-3.7 mm).

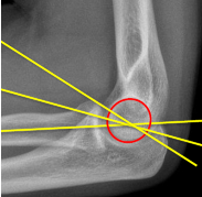
Q what is the name of these lines?
A:
Humeral shaft line : A line drawn through and parallel to the humeral shaft. The yellow line
Ulnar shaft line: A line drawn through and parallel to the ulnar shaft. Blue line
Humeral articular line: A transverse line drawn through the most distal surfaces of the trochlea and capitulum. Humeral Articular line

Q what is the name of this measurement? and what is the average + range?
A: Carrying angle (CA)
assesses the angle between the humeral and ulnar shaft lines. The average is 169°, with a range of 154-178°.

Q what is the name of this measurement? and what is the average + range?
A: Humeral angle (HA) [Elbow]
assesses the angle formed by the humeral shaft and articular lines. The average is 85°, with a range of 72-95°.

Q what is the name of this measurement? and what is the average + range?
A: Ulnar angle (UA)
assesses the angle formed by the ulnar shaft and humeral articular lines. The average is 84°, with a range of 72-99°.

Q what is the name of this measurement? and what is the average + range?
A: Radiocapitellar Line
assesses the alignment of the radius and capitellum. No average or range is specified.

Q what is the name of this measurement? and what is the average + range?
A: Anterior Humeral Line
assesses the alignment of the distal humerus. No average or range is specified.

Q what is the name of this measurement? and what is the average + range?
A: Radioulnar angle (RUA)
assesses the angle between the radioulnar and radial shaft lines. The average is 83°, with a range of 72-95°.

Q what is the name of this measurement? and what is the average + range?
A: Radius angle (RA)
assesses the palmar angle between the radius articular line and radial shaft line. The average is 86°, with a range of 79-94°.

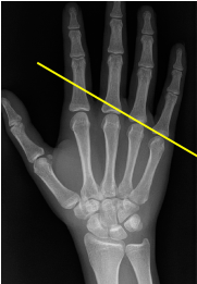
Q what is the name of this measurement? and what is the average + range?
A: Metacarpal Sign
assesses the alignment of the metacarpal heads. No average or range is specified.

Q what is the name of this measurement? and what is the average + range?
A: Cobb's Method/ Cobb-Lippman method
assesses the degree of a spinal curvature (scoliosis). No average or range is specified as it is used to measure a pathology.

Q what is the name of this measurement? and what is the average + range?
A: Risser-Ferguson Method
assesses the degree of a spinal curvature (scoliosis). No average or range is specified as it is used to measure a pathology.

Q what is the name of this measurement? and what is the average + range?
A: Thoracic Kyphosis
assesses the natural curvature of the thoracic spine. The normal values vary with age and sex.
The mean for individuals aged 20-29 is 26° for males and 27° for females.

Q what is the name of this measurement? and what is the average + range?
A: Thoracic Cage Dimension
sagittal distance between the posterior aspect of the sternum and the anterior surface of the T8 body.
The average is 14 cm for males (range 11-18 cm) and 12 cm for females (range 9-15 cm).

Q what is the name of this measurement? and what is the average + range?
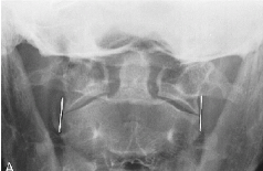
A: Interpediculate distance
assesses the distance between the medial aspects of the pedicles. The range is 1.4-2.0 cm.

Q what is the name of this measurement? and what is the average + range?
A: Cardiothoracic Ratio
assesses the ratio of the transverse diameter of the heart to the internal diameter of the thoracic cage. The average is 45%, with a range of 39-50%.

Q what is the name of this measurement? and what is the average + range?
A: Lumbar Lordosis
assesses the curvature of the lumbar spine. The normal range is 50-60°.

Q what is the name of this measurement? and what is the average + range?
A: Lumbosacral lordosis angle
assesses the angle between the lumbar and sacral spine. The average is 146°, with a range of 124-162°.

Q what is the name of this measurement? and what is the average + range?
A: Lumbosacral Angle
assesses the angle of the sacrum relative to a horizontal line. The average is 41°, with a range of 26-57°.

Q what is the name of this measurement? and what is the average + range?
A: Sacral Inclination
assesses the angle of the sacrum relative to a vertical line. The average is 46°, with a range of 30-72°.

Q what is the name of this measurement? and what is the average + range?
A: Lumbar IVD angle
assesses the angle between opposing lumbar vertebral endplates. The normal ranges are L1: 8°, L2: 10°, L3: 12°, and L4/L5: 14°.

Q what is the name of this measurement? and what is the average + range?
A: Lumbosacral Disc Angle
assesses the angle of the disc space between L5 and S1. The normal range is 10-15°.

Q what is the name of this measurement? and what is the average + range?
A: retrolisthesis
Posterior displacement of superior vertebrae on the inferior vertebrae.

Q what is the name of this measurement? and what is the average + range?
A: Lateriolisthesis:
Sideways displacement of the SUP vertebrae on the INF.

Q what is the name of this measurement?
A: Anteriolisthesis:
Anterior displacement of superior vertebrae on the inferior vertebrae.

Q what is the name of this measurement? and what is the average + range?
A: Lumbar Gravity Line
assesses the alignment of the L3 vertebral body with the sacrum. The line should intercept the sacral base

Q what position is the spine in here?
Extension Static Malposition
Opposing endplates converge more posteriorly than normal.

Q what position is the spine in here?
Flexion Static Malposition
Opposing endplates converge more anteriorly than normal.

Q what position is the spine in here?
Lateral Flexion (SB) Static Malposition
Endplates of opposed segments narrow on one side and open on the other.

Q what position is the spine in here?
Rotation Static Malposition
Pedicles are asymmetric in shape, SP may be deviated too.

Q what is the name of this measurement? and what is the average + range?
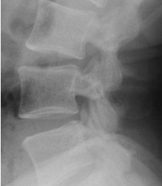
A: Hadley's S Curve
assesses for subluxation by looking for a smooth, continuous curvilinear line. No average or range is specified.

Q what is the name of this measurement? and what is the average + range?
A: Macnab's Line
assesses for impingement by a line drawn parallel to the inferior endplate.
This line should not intersect the SUP artic process below it.

Q what is the name of this measurement? and what is the average + range?
A: Meyerding's Grading Method
assesses the degree of spondylolisthesis.
The superior surface of the sacrum is divided into four equal parts to quantify the degree of forward slippage of the Posteroinferior corner of L5.

Q what is the name of this measurement? and what is the average + range?
A: Ullmann's Line
assesses for spondylolisthesis by evaluating the position of L5 relative to a perpendicular line. No average or range is specified.

Q what is the name of this measurement? and what is the average + range?
A: Van Akkerveekans measurement of Lumbar instability
assesses lumbar instability by measuring horizontal displacement. There should be less than 1.5 mm of displacement.

Q what is the name of this measurement? and what is the average + range?
Lateral Bending Sign
assesses segmental convergence toward the bending side during lateral flexion/side-bending (SB).
Each transverse line should increasingly converge toward the bending side from the lumbosacral (LS) junction upward. No average or range is specified.

Q what are the names for these measurements? and what is the average + range?
A: Intervertebral Disc Height
assesses the height of the lumbar discs. There are two methods mentioned:
Hurxthal's Method (Right pic.) measures mid-point of body and
Farfan's Method (Left pic.) Uses ratio of anterior (A), Posterior (P) disc heights, and Disc diameter (D).
A/D = Anterior Height Ratio (AHR)
P/D = Posterior Height Ratio (PHR)
Disk height= AHR/PHR.

Q what is the name of this measurement? and what is the average + range?
A: Sagittal Canal Measurement (Eisenstein's Method)
assesses the sagittal dimension of the spinal canal. No average or range is specified.

Q what is the name of this measurement? and what is the average + range?
A: Interpediculate Distance
assesses the shortest distance between the inner surfaces of the pedicles. 1.5-2mm

Q what is the name of this measurement? and what is the average + range?
A: Canal to Body Ratio
Interpediculate distance × Sagittal canal dimension (Eisenteins method) ← identifies canal dimensions
Divided by ( ÷ )
(Transverse body width (width of vertebral body at midpoint between endplates on AP film) × Sagittal body length (length of the vertebral body at the midpoint on a lateral film).
Normal ranges are
L3: 1:3.0-1:6.0
L4: 1:3.0-1:6.0
L5: 1:3.2-1:6.5

Q what is the name of this measurement? and what is the average + range?
A: Intercrestal Line
assesses the alignment of the L4 body relative to the iliac crests. No average or range is specified.

Q what is the name of this measurement? and what is the average + range?
A: Length of Lx Transverse Processes
assesses the length of the lumbar transverse processes from a line drawn through the tips of the L3 TPs. L5 should sit between these lines

Q what is the name of this measurement? and what is the average + range?
A: Teardrop Distance
assesses the distance from the femoral head to the pelvic teardrop. The average is 9 mm, with a range of 6-11 mm.

Q what is the name of this measurement? and what is the average + range?
A: Hip Joint Space Width
assesses the width of the hip joint space. The average is 4 mm, with ranges of 3-6 mm (superior), 3-7 mm (axial), and 4-13 mm (medial). The average for the medial joint space (teardrop distance) is 8 mm.

Q what is the name of this measurement? and what is the average + range?
A: Acetabular Depth
assesses the depth of the acetabulum. The average is 13 mm for males (range 7-18 mm) and 12 mm for females (range 9-18 mm).

Q what is the name of this measurement? and what is the average + range?
A: Centre-Edge Angle
assesses the coverage of the femoral head by the acetabulum. The average is 36°, with a range of 20-40°.

Q what is the name of this measurement? and what is the average + range?
A: Symphysis Pubis Width
assesses the width of the symphysis pubis joint. The average is 6 mm for males (range 4.8-7.2 mm) and 5 mm for females (range 3.8-6.0 mm).

Q what is the name of this measurement? and what is the average + range?
A: Pre-sacral Space
assesses the soft tissue space in front of the sacrum. The average is 7 mm for adults (range 2-20 mm) and 3 mm for children (range 1-5 mm).

Q what is the name of this measurement? and what is the average + range?
A: Y-Y Line (Hilgenreiner’s Line)
assesses the hip for Developmental Dysplasia of the Hip (DDH). No average or range is specified as it is a baseline for other measurements.

Q what is the name of this measurement? and what is the average + range?
A: Perkin’s Line
assesses the location of the femoral epiphysis relative to the acetabulum for DDH. No average or range is specified.

Q what is the name of this measurement? and what is the average + range?
A: Acetabular Angle
assesses the acetabular roof for DDH. The average for a 1-year-old is 20°.

Q what is the name of this measurement? and what is the average + range?
A: Iliac Angle
assesses the iliac wing for DDH. The average is 20° for 0-3 months (range 12-29°) and 55° for 3-12 months (range 43-67°).
Q what is the iliac index and what are its measurements?
A: Iliac Index
Sum of both acetabular and iliac angles, divided by 2.((Rt A+Lt A) + (Rt I + Lt I)) / 2
assesses for Down's syndrome.
The average is 60° for 0-3 months (range 48-87°) and
81° for 3-12 months (range 68-97°).
An index <60 suggests Down's syndrome, while an index >68 suggests it is unlikely.

Q what is the name of this measurement? and what is the average + range?
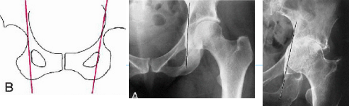
A: Kohler’s line
assesses for protrusio acetabuli. No average or range is specified.

Q what is the name of this measurement? and what is the average + range?
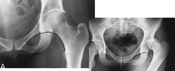
A: Shenton's Line
assesses the alignment of the femoral neck and superior pubic ramus. congruency is normal

Q what is the name of this measurement? and what is the average + range?
A: Iliofemoral Line
assesses the alignment of the ilium, hip joint, and femoral neck. No average or range is specified.

Q what is the name of this measurement? and what is the average + range?
A: Femoral Angle (Mikulicz’s Angle)
assesses the angle between the femoral shaft and neck. The normal range is 120-130°.

Q what is the name of this measurement? and what is the average + range?
A: Skinner's Line
assesses the position of the femoral head relative to the greater trochanter.
Normal Finding: The fovea capitis should lie at or above the trochanteric line.

Q what is the name of this measurement? and what is the average + range?
A: Klein's Line
assesses the alignment of the femoral neck and head, particularly for slipped capital femoral epiphysis (SCFE). No average or range is specified.

Q what is the top measurement? and what is the average + range?
A: Femoral Angle (Knee)
assesses the lateral angle between the femoral shaft and condyle lines. The average is 81°, with a range of 75-85°.

Q what is the name of the bottom measurement? and what is the average + range?
A: Tibial Angle
assesses the lateral angle between the tibial shaft and plateau lines. The average is 93°, with a range of 85-100°.

Q what is the name of this measurement? and what is the average + range?
A: Patellar Position
assesses the position of the patella using a ratio of patellar length (PL) to patellar tendon length (PT). The ratio is normally 1:1, with a variation of up to 20%.

Q what is the name of this measurement? and what is the average + range?
A: Sulcus Angle
assesses the depth of the intercondylar groove. The average is 138°, with a range of 132-144°.

Q what is the name of this measurement? and what is the average + range?
A: Lateral Patellofemoral Joint index
assesses for chondromalacia patellae. The index is normally <1.

Q what is the name of this measurement? and what is the average + range?
A: Lateral Patellofemoral Angle
assesses for patellar subluxation. The angle should normally open laterally. No average or range is specified.

Q what is the name of this measurement? and what is the average + range?
A: Lateral Patellar Displacement
assesses for patellar subluxation. The patella should normally lie ≤ 1 mm medial to a perpendicular line from the medial edge of the femoral condyle.

Q what is the left angle of this radiograph? and what is the average + range?
A: Tibial Angle (Ankle)
assesses the medial angle between the medial malleolus and the talus lines. The average is 53°, with a range of 45-65°.

Q what is the right angle of this radiograph? and what is the average + range?
A: Fibular Angle
assesses the lateral angle between the lateral malleolus and the talus lines. The average is 52°, with a range of 43-63°.

Q what is the name of this measurement? and what is the average + range?
A: Tibiotalar Slant
assesses the alignment of the distal tibia and talus. The range is 0-6°.

Q what is the name of this measurement? and what is the average + range?
A: Böhler's Angle
assesses the calcaneus for fracture or deformity. The average is 30-35°, with a range of 28-40°. An angle <28° is considered abnormal.

Q what is the name of this measurement? and what is the average + range?
A: Heel Pad Measurement
assesses the thickness of the heel pad. The average is 19 mm, with a maximum of 25 mm for males and 23 mm for females