Master Spoteksamen Anatomi Juli 2021

5.0(1)
studied byStudied by 1 person
call kaiCall Kai
learnLearn
examPractice Test
spaced repetitionSpaced Repetition
heart puzzleMatch
flashcardsFlashcards
GameKnowt Play
Card Sorting

1/38

flashcard set

Earn XP

Description and Tags

Pictures of real organs, beware.

Last updated 1:43 PM on 6/22/23
Name
Mastery
Learn
Test
Matching
Spaced
Call with Kai

No analytics yet

Send a link to your students to track their progress

39 Terms

1
New cards
**Post 1.**

**Orientering af organsæt og muskler samt topografi i katten. Kat positioneret på ryggen/højre side. Abdomen åbnet, tarmkanal, ventrikel og lever fjernet. Dorsale peritoneum fjernes. Begge nyrer tages ud kapslerne fjernes og hilus blottes. Venstre bag afhudes og beneet abduceres og roteres udad, så M. gracilis er synlig.**

\
**Spørgsmål 1:** Placér højre nyre topografisk korrekt i dyret.
**Post 1.**

**Orientering af organsæt og muskler samt topografi i katten. Kat positioneret på ryggen/højre side. Abdomen åbnet, tarmkanal, ventrikel og lever fjernet. Dorsale peritoneum fjernes. Begge nyrer tages ud kapslerne fjernes og hilus blottes. Venstre bag afhudes og beneet abduceres og roteres udad, så M. gracilis er synlig.**

\
**Spørgsmål 1:** Placér højre nyre topografisk korrekt i dyret.
knowt flashcard image
2
New cards
**Post 1.**

**Spørgsmål 2:** Placer en pind i foramen v. cava caudalis diaphragmatis.
**Post 1.**

**Spørgsmål 2:** Placer en pind i foramen v. cava caudalis diaphragmatis.
knowt flashcard image
3
New cards
**Post 1.**

**Spørgsmål 3:** Placer den grønne snor topografisk korrekt i bughulen, så den følger/viser forløbet af colon transversus og descendens.
**Post 1.**

**Spørgsmål 3:** Placer den grønne snor topografisk korrekt i bughulen, så den følger/viser forløbet af colon transversus og descendens.
knowt flashcard image
4
New cards
**Post 4.**

**Spørgsmål 4:** Placér pilen ”Mm. psoas major et minor” korrekt
**Post 4.**

**Spørgsmål 4:** Placér pilen ”Mm. psoas major et minor” korrekt
knowt flashcard image
5
New cards
**Post 1.**

**Spørgsmål 5:** Placér pilen ”Vesica urinaria” korrekt.
**Post 1.**

**Spørgsmål 5:** Placér pilen ”Vesica urinaria” korrekt.
knowt flashcard image
6
New cards
**Post 1.**

**Spørgsmål 6:** Placèr pilen ”M. gracilis” korrekt.
**Post 1.**

**Spørgsmål 6:** Placèr pilen ”M. gracilis” korrekt.
knowt flashcard image
7
New cards
**Post 1.** ***Teori/essay.***

**Spørgsmål 7:** Hvilken embryologisk struktur udvikles til gonaderrne/danner grundlaget for gonaderne?
**Post 1.** ***Teori/essay.***

**Spørgsmål 7:** Hvilken embryologisk struktur udvikles til gonaderrne/danner grundlaget for gonaderne?
Mesonephros
8
New cards
**Post 1.** ***Teori/essay.***

**Spørgsmål 8:** Hvad hedder den struktur, som guider/baner vejen for testes ved descensus testis?
Gubernaculum testis
9
New cards
**Post 2.** ***Spot.***

**Spørgsmål 1:** Benævn strukturen A
**Post 2.** ***Spot.***

**Spørgsmål 1:** Benævn strukturen A
Auricula sinister
Auricula sinister
10
New cards
**Post 2.** ***Spot.***

**Spørgsmål 2:** Benævn furen B
**Post 2.** ***Spot.***

**Spørgsmål 2:** Benævn furen B
Sulcus interventricularis paraconalis
Sulcus interventricularis paraconalis
11
New cards
**Post 2.** ***Spot.***

**Spørgsmål 3:** Benævn hulrummet C
**Post 2.** ***Spot.***

**Spørgsmål 3:** Benævn hulrummet C
Ventriculus dexter
Ventriculus dexter
12
New cards
**Post 2.** ***Spot.***

**Spørgsmål 4:** Benævn strukturen D
**Post 2.** ***Spot.***

**Spørgsmål 4:** Benævn strukturen D
Cordae tendinae
Cordae tendinae
13
New cards
**Post 2.** ***Spot.***

**Spørgsmål 5:** Benævn strukturen E
**Post 2.** ***Spot.***

**Spørgsmål 5:** Benævn strukturen E
Valva aortae(semilunaris)
Valva aortae(semilunaris)
14
New cards
**Post 2.** ***Teori/essay*** *(Kredsløb)****.***

**Spørgsmål 6:** Benævn de 3 store uparrede arterier, der afspaltes ventralt fra Aorta abdominalis og angiv hvilke organer/organsystemer de hver især forsyner.
* **Arteria coeliaca** – forsyner ventriklen, den proksimale del af duodenum, lever, milt og pancreas.
* **Arteria mesenterica cranialis** – forsyner den distale del af duodenum, jejunum, ileum, caecum, colon ascendens (et transversus).
* **Arteria mesenterica caudalis** – forsyner colon descendens og den kraniale del af rectum.
15
New cards
**Post 3.**

**Spørgsmål 1:** Benævn gangen A.
**Post 3.**

**Spørgsmål 1:** Benævn gangen A.
Ductus papillaris
Ductus papillaris
16
New cards
**Post 3.**

**Spørgsmål 2:** Benævn vævet B.
**Post 3.**

**Spørgsmål 2:** Benævn vævet B.
Gl. mammaria
Gl. mammaria
17
New cards
**Post 3.**

**Spørgsmål 3:** Benævn karet C.
**Post 3.**

**Spørgsmål 3:** Benævn karet C.
A. pudenda externa
A. pudenda externa
18
New cards
**Post 3.**

**Spørgsmål 4:** Benævn hulrummet D.
**Post 3.**

**Spørgsmål 4:** Benævn hulrummet D.
Sinus lactiferi pars pappilaris
Sinus lactiferi pars pappilaris
19
New cards
**Post 3.**

**Spørgsmål 5:** Benævn struktur E.
**Post 3.**

**Spørgsmål 5:** Benævn struktur E.
Lymphonodi mammarii
Lymphonodi mammarii
20
New cards
**Post 3.** ***Teori/essay.*** *(Nervesystem, medulla spinalis)*

**Spørgsmål 6.a.:** Tegn en skitse af medulla spinalis samt meninges spinales ved Th 10.

(Svaret indeholder skitse med termer btw)
\
\
21
New cards
**Post 3.** ***Teori/essay.*** *(Nervesystem, medulla spinalis)*

**Spørgsmål 6.b:** Benævn så mange strukturer som muligt på både medulla spinalis og meninges.
OBS husk Medulla: Dorsalrods ganglie, lateral horn/cornu laterale (– sympaticus), fissura mediana, septum mediana dorsale, commisura grisea ligger både dorsalt og ventralt for canalis centralis.

\
Meninges/medulla: lig. denticulata
OBS husk Medulla: Dorsalrods ganglie, lateral horn/cornu laterale (– sympaticus), fissura mediana, septum mediana dorsale, commisura grisea ligger både dorsalt og ventralt for canalis centralis.

\
Meninges/medulla: lig. denticulata
22
New cards
**Post 4.**

**Spørgsmål 1:** Benævn den del af formaven, der er markeret med A.
**Post 4.**

**Spørgsmål 1:** Benævn den del af formaven, der er markeret med A.
Rumen’s saccus dorsalis
Rumen’s saccus dorsalis
23
New cards
**Post 4.**

**Spørgsmål 2:** Benævn formaven markeret med B.
**Post 4.**

**Spørgsmål 2:** Benævn formaven markeret med B.
Reticulum/Netmaven
Reticulum/Netmaven
24
New cards
**Post 4.**

**Spørgsmål 3:** Benævn furen C.
**Post 4.**

**Spørgsmål 3:** Benævn furen C.
Sulcus coronarius ventralis
Sulcus coronarius ventralis
25
New cards
**Post 4.**

**Spørgsmål 4:** Benævn strukturen D.
**Post 4.**

**Spørgsmål 4:** Benævn strukturen D.
Omentum majus
Omentum majus
26
New cards
**Post 4.**

**Spørgsmål 5:** Benævn de to pudeformede forhøjninger E.
**Post 4.**

**Spørgsmål 5:** Benævn de to pudeformede forhøjninger E.
Torus pyloricus
Torus pyloricus
27
New cards
**Post 4.** ***Teori/Essay.***

**Spørgsmål 6:** Benævn og beskriv lagene i hulorganet på planche I.
**Post 4.** ***Teori/Essay.***

**Spørgsmål 6:** Benævn og beskriv lagene i hulorganet på planche I.
* **Tunica mucosa** (Lamina epithelialis, enlaget cylinder epithel, Lamina propria – irregulært bindevæv med blodog lymfekar/chylus ampul, postgangl nervefibre, glatte muskelceller, lamina muscularis mucosae, circulært orienteret lag af glat muskulatur),
* **Tela submucosa** (irregulært bindevæv med blod og lymfekar, præ- og post ganglionære nerve fibre, ganglion – plexus submucosus) ,
* **Tunica muscularis** (Fibrae oblique, Stratum circulare, Stratum longitudinale), lag af glat muskulatur samt ganglion/plexus myentericus imellem stratum circulare og long.,
* **Tunica serosa**, enlaget pladeepithel, tela subserosa, bindevæv, kar, nerver
* **Tunica mucosa** (Lamina epithelialis, enlaget cylinder epithel, Lamina propria – irregulært bindevæv med blodog lymfekar/chylus ampul, postgangl nervefibre, glatte muskelceller, lamina muscularis mucosae, circulært orienteret lag af glat muskulatur),
* **Tela submucosa** (irregulært bindevæv med blod og lymfekar, præ- og post ganglionære nerve fibre, ganglion – plexus submucosus) ,
* **Tunica muscularis** (Fibrae oblique, Stratum circulare, Stratum longitudinale), lag af glat muskulatur samt ganglion/plexus myentericus imellem stratum circulare og long.,
* **Tunica serosa**, enlaget pladeepithel, tela subserosa, bindevæv, kar, nerver
28
New cards
**Post 5.**

__PLANCHE I.__

\
**Spørgsmål 1:** Hvilket organ er præsenteret på planche I?
**Post 5.**

__PLANCHE I.__

\
**Spørgsmål 1:** Hvilket organ er præsenteret på planche I?
Lymfenodus
Lymfenodus
29
New cards
**Post 5.**

__PLANCHE I.__

\
**Spørgsmål 2:** Benævn området A
**Post 5.**

__PLANCHE I.__

\
**Spørgsmål 2:** Benævn området A
Hilus
Hilus
30
New cards
**Post 5.**

__PLANCHE I.__

\
**Spørgsmål 3:** Hvilke kar ses i området A?
**Post 5.**

__PLANCHE I.__

\
**Spørgsmål 3:** Hvilke kar ses i området A?
Arterier, vener, Vasa lymphatica efferentia/efferente lymfeka
Arterier, vener, Vasa lymphatica efferentia/efferente lymfeka
31
New cards
**Post 5.**

__PLANCHE I.__

\
**Spørgsmål 4:** Benævn B
**Post 5.**

__PLANCHE I.__

\
**Spørgsmål 4:** Benævn B
Capsula lymphonodus
Capsula lymphonodus
32
New cards
**Post 5.**

__PLANCHE II.__

\
**Spørgsmål 5:** Benævn strukturen i afmærkningen C
**Post 5.**

__PLANCHE II.__

\
**Spørgsmål 5:** Benævn strukturen i afmærkningen C
Tonsilla palatina
Tonsilla palatina
33
New cards
**Post 5.** ***Essay.***

**Spørgsmål 6:** Beskriv og forklar forskellene på lymfeknuder og tonsiller
**Post 5.** ***Essay.***

**Spørgsmål 6:** Beskriv og forklar forskellene på lymfeknuder og tonsiller
**Lymfeknuder**: placeret i dyret, kapsel, trabeculae, cortex/bark-medulla/marv, trabeculae, vas lymphaticus afferentes et efferentes,

\
**Tonsilvæv**: Placeret ved slimhinde overflader, dækket af epithelet i området/ åbne” til mucosa overfladen, fossulae tonsillaris, ingen capsula, (der afgrænser hele vejen rundt), ingen vas lymph aff
34
New cards
**Post 5.**

__PLANCHE III.__

\
**Spørgsmål 7:** Benævn røret D
**Post 5.**

__PLANCHE III.__

\
**Spørgsmål 7:** Benævn røret D
Trachea
Trachea
35
New cards
**Post 5.**

__PLANCHE III.__

\
**Spørgsmål 8:** Benævn organet i det indrammede område E
**Post 5.**

__PLANCHE III.__

\
**Spørgsmål 8:** Benævn organet i det indrammede område E
Thymus
Thymus
36
New cards
**Post 5.**

__PLANCHE III.__

\
**Spørgsmål 9:** Benævn strukturerne F, som findes i organet E
**Post 5.**

__PLANCHE III.__

\
**Spørgsmål 9:** Benævn strukturerne F, som findes i organet E
Hassalske legemer
Hassalske legemer
37
New cards
**Post 5.**

__PLANCHE IV viser et histologisk snit af en milt.__

\
**Spørgsmål 10:** Benævn strukturen G
**Post 5.**

__PLANCHE IV viser et histologisk snit af en milt.__

\
**Spørgsmål 10:** Benævn strukturen G
Folliculus lymfonodi, kimcenter, lymfenodulus
Folliculus lymfonodi, kimcenter, lymfenodulus
38
New cards
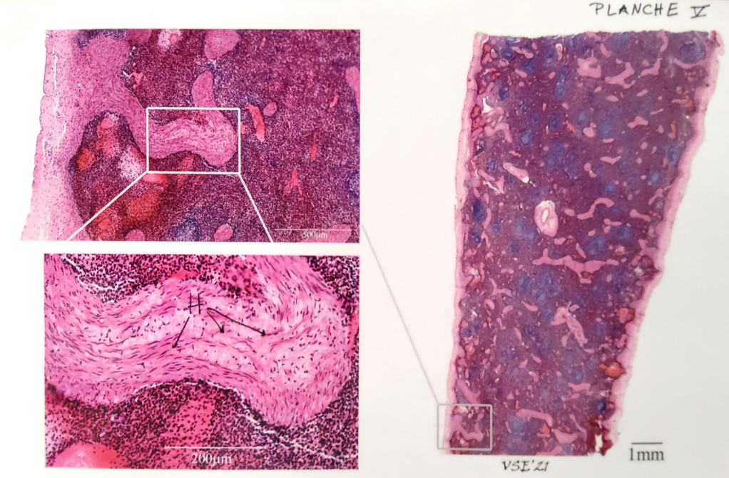
**Post 5.**

__PLANCHE V er et udsnit af en milt farvet med HE- farvning.__

\
**Spørgsmål 11:** Hvilken celletype er afmærket med H?
**Post 5.**

__PLANCHE V er et udsnit af en milt farvet med HE- farvning.__

\
**Spørgsmål 11:** Hvilken celletype er afmærket med H?
Glatte muskelceller
Glatte muskelceller
39
New cards
**Post 5.** ***Essay*****.**

**Spørgsmål 12:** Beskriv kort den histologiske opbygning af milten.
**Post 5.** ***Essay*****.**

**Spørgsmål 12:** Beskriv kort den histologiske opbygning af milten.
Bark, marv, hilus, rød (sinusoid)/hvid (lymphatisk) miltpulpa, lymfefollikler, marginal zone (overganszone mellem rød og hvid miltpulpa), trabeculær arterie, periarteriel lymfatisk skede (PALS), central arterie, pensel arterier, pulp arterioler, åbent/lukket system – eller begge - venesystem