1/41
Looks like no tags are added yet.
Name | Mastery | Learn | Test | Matching | Spaced | Call with Kai |
|---|
No analytics yet
Send a link to your students to track their progress
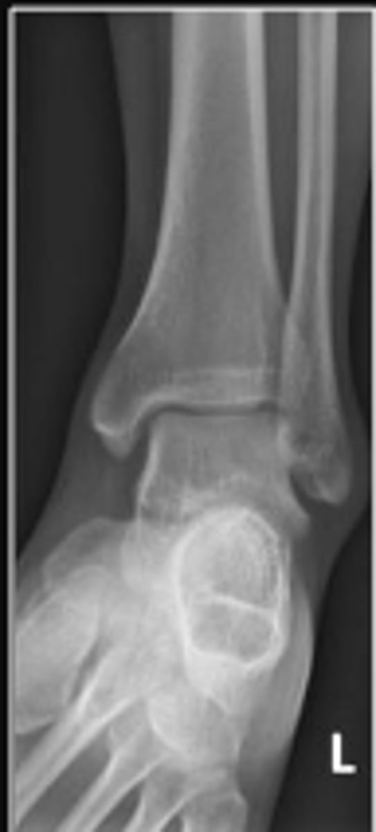
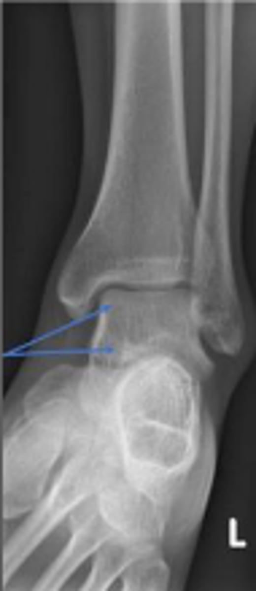
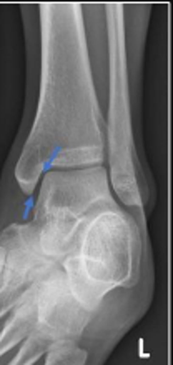
Left AP ankle
What is the name of the radiographic view?

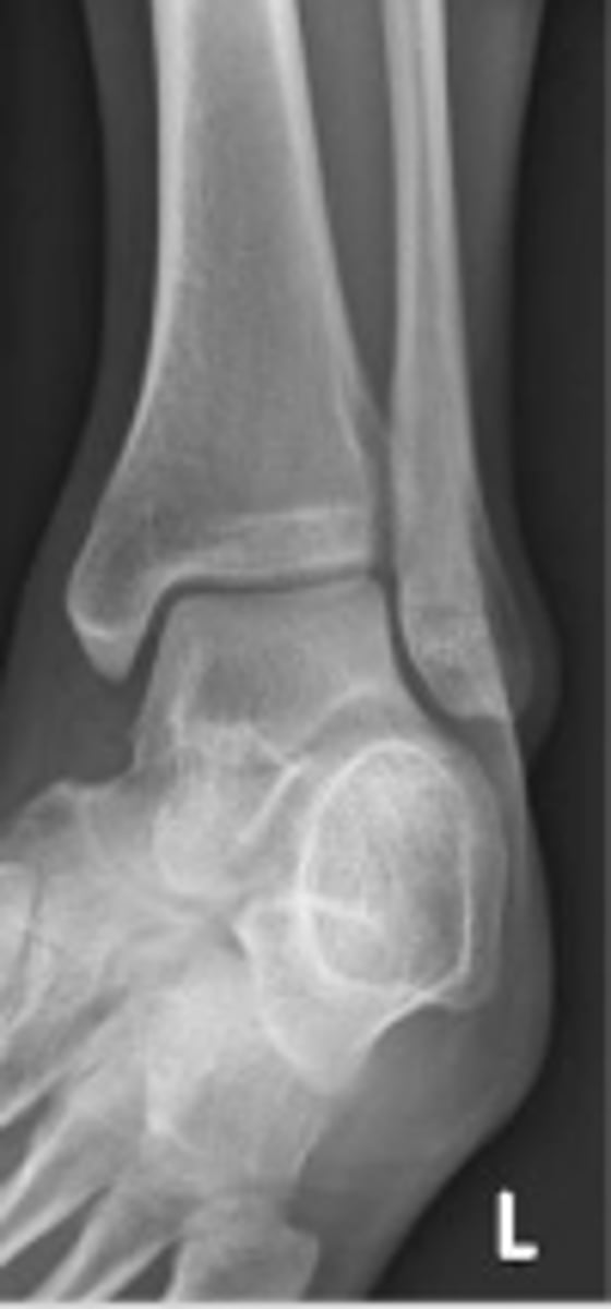
Left internal oblique ankle
What is the name of the radiographic view?

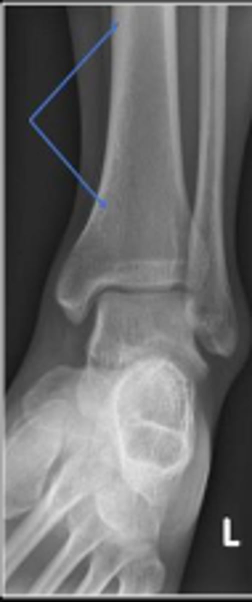
Left distal tibia
What bone are the arrows pointing to?

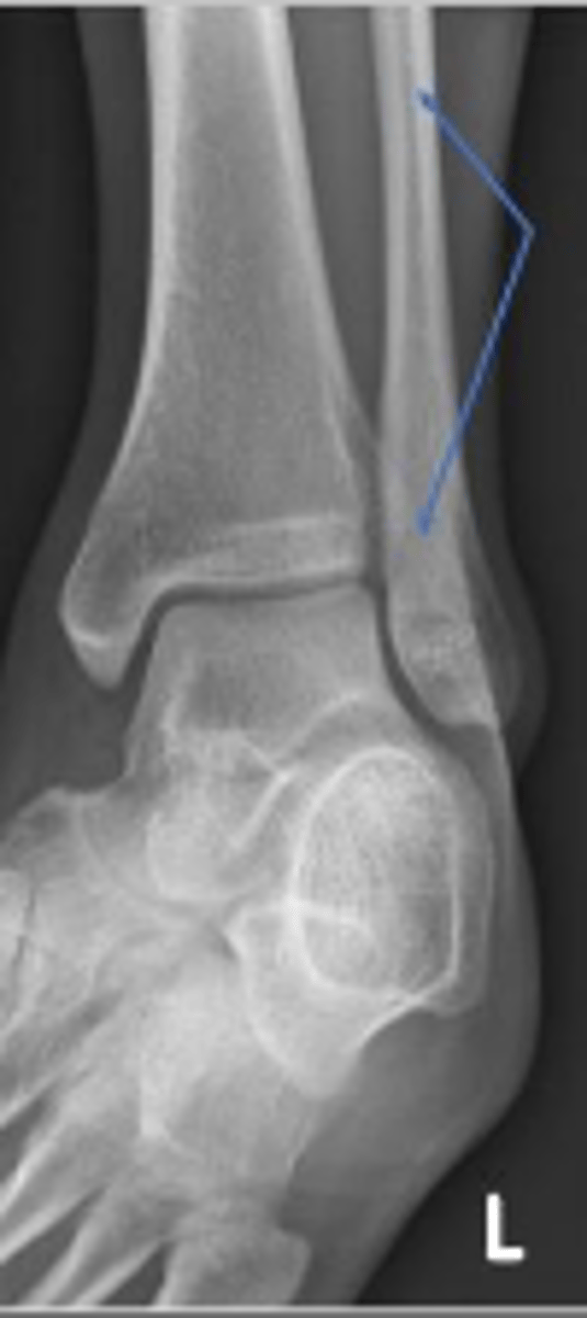
Left distal fibula
What bone are the arrows pointing to?

Achille's tendon of the left ankle
What are the arrows pointing to?

Talus of the left ankle
What space are the arrows pointing to?

Cuboid of the left ankle
What is the arrow pointing to?

Kager's fat pad of the left ankle
What is outlined?

Left fibula
What bone are the arrows pointing t

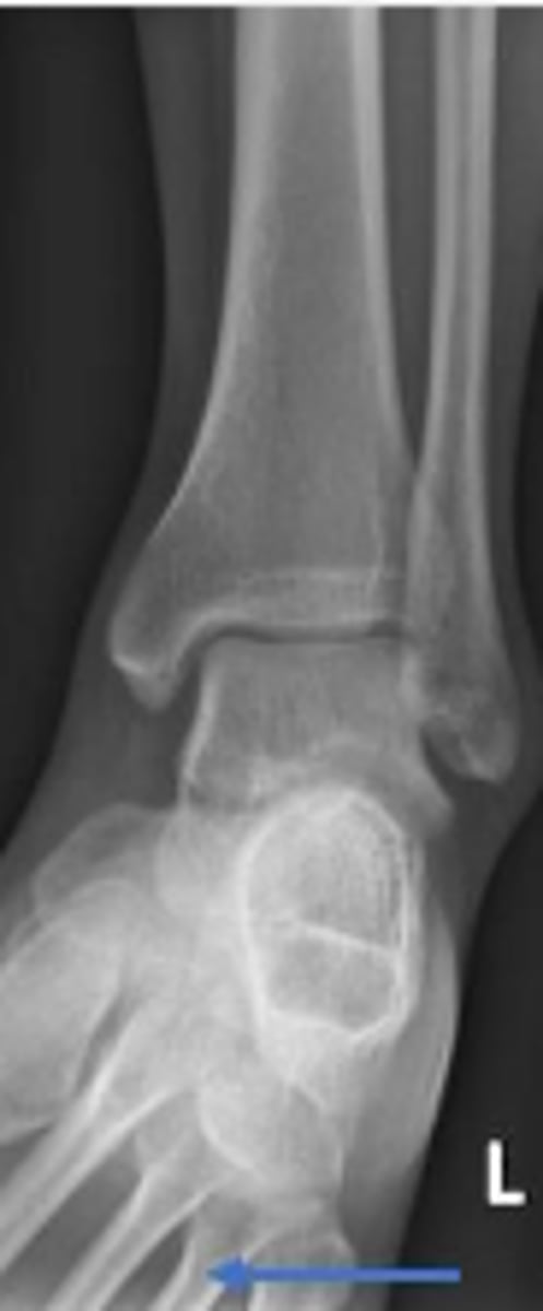
4th metatarsal
What bone are the arrows pointing t

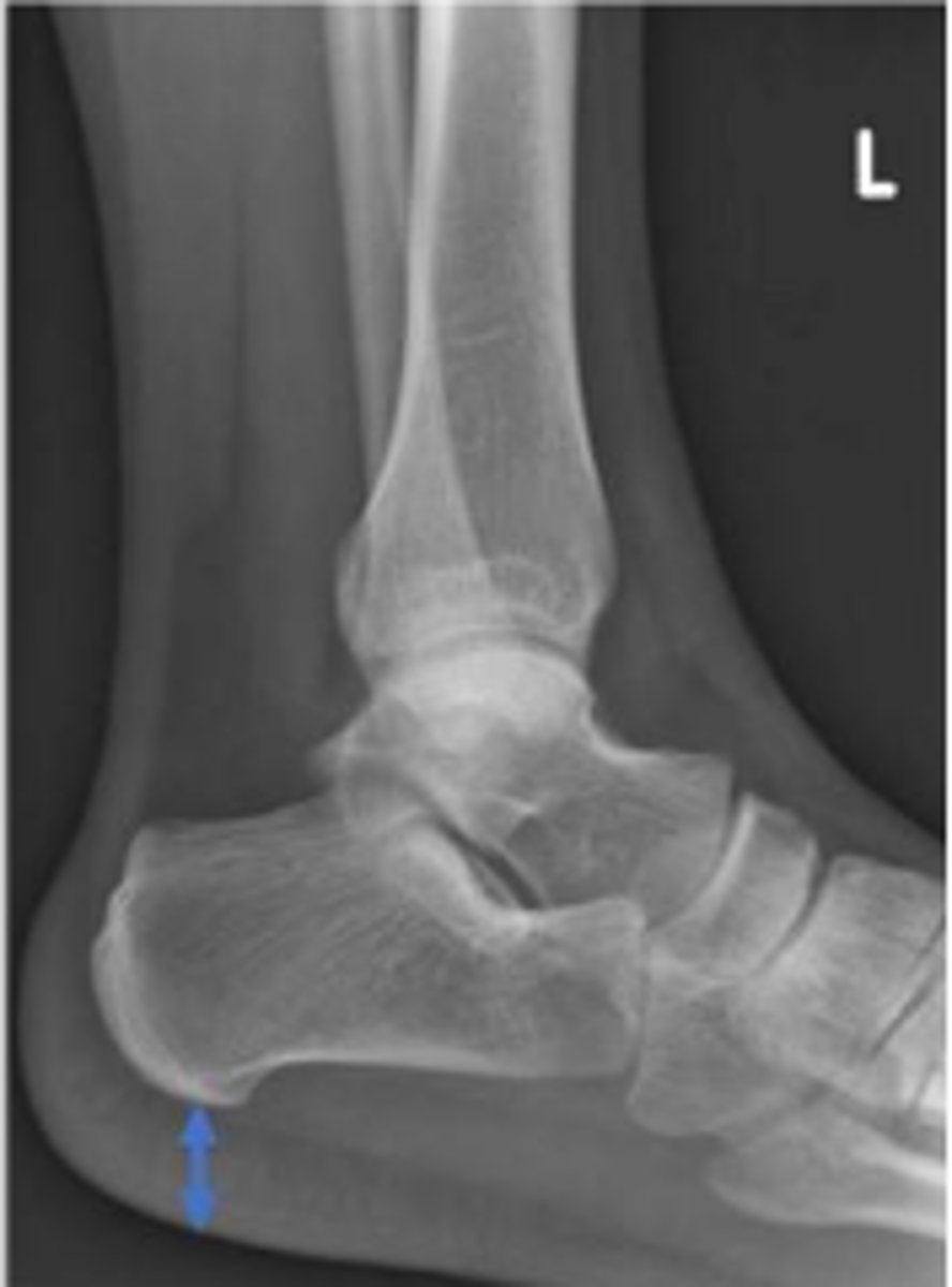
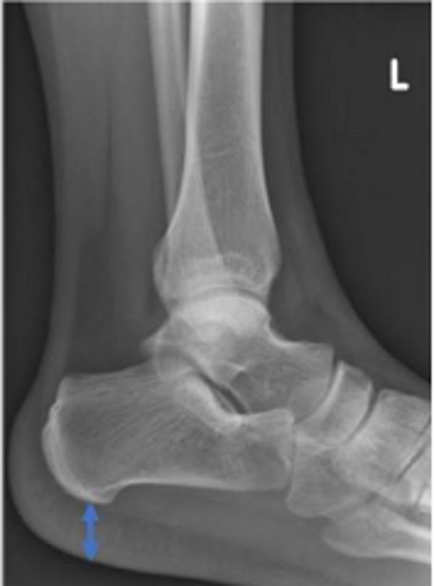
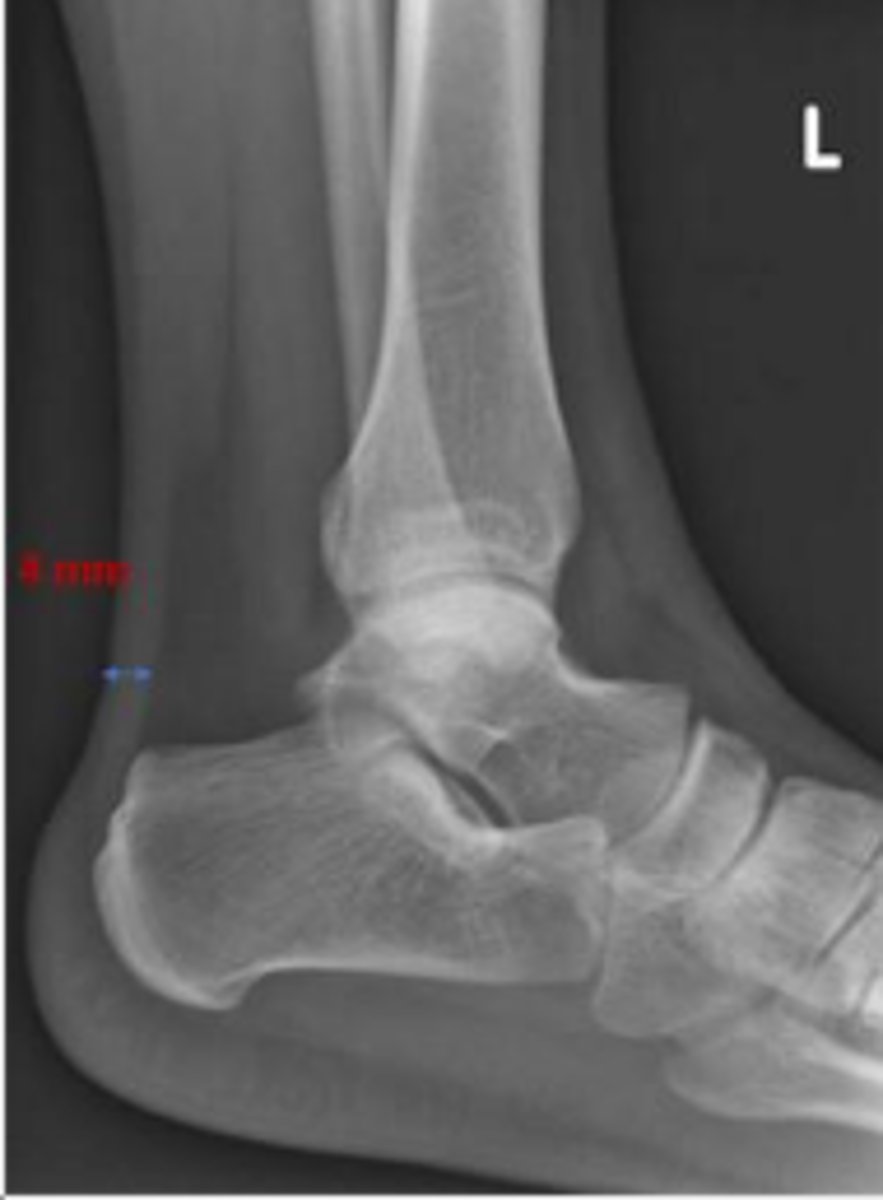
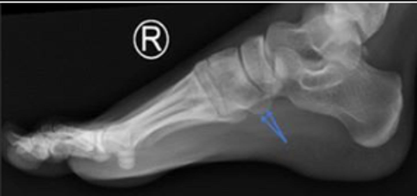
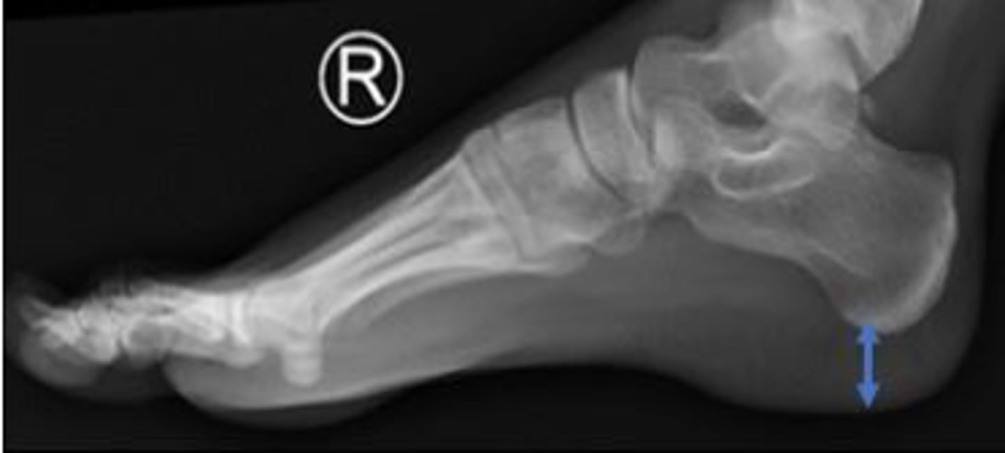
Heel pad measurement
What is the name of the assessment?

Females: average 19mm (maximum of 23mm)
Males: average 19mm (maximum of 25mm)
What is the normal range for the assessment?

Achille's tendon thickness
What is the name of the assessment?

4-8mm
What is the normal range for the assessment?

Yes
Is the assessment within normal limits?

Overuse, ill-fitting shoes, tendinosis/tendinitis,
rheumatological diseases, etc.,
Name 2 conditions that may result in an increase in the measurement beyond the upper limit of normal ?

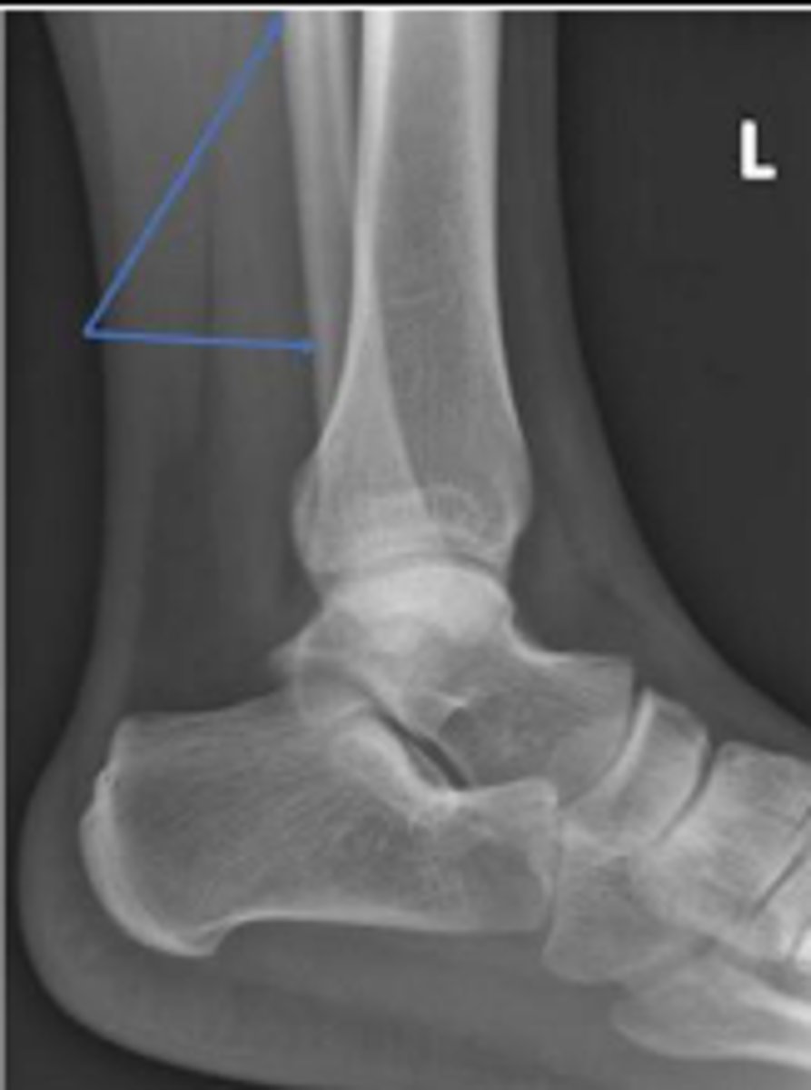
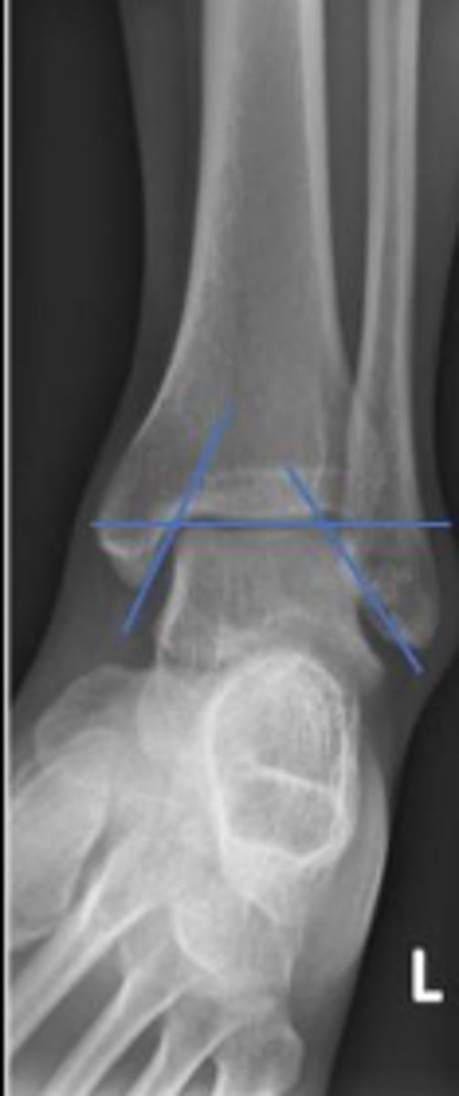
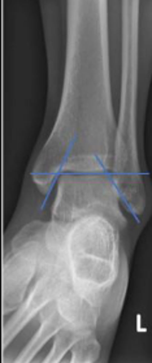
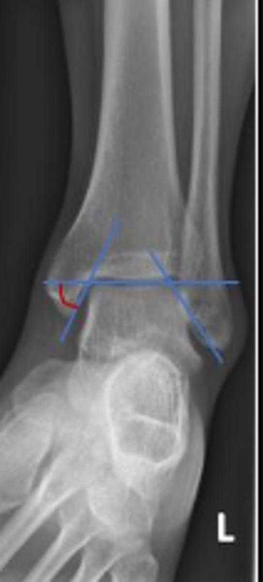
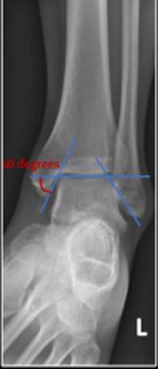
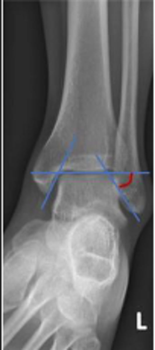
Axial relationship of the ankle
What is the overarching name of the assessment?

Tibial angle & fibular angle
What are the 2 components of the assessment?

Tibial angle
What is the name of the assessment?

Yes
Is the assessment within normal limits?

Fibular angle
What is the name of the assessment?

Yes
Is the assessment within normal limits?

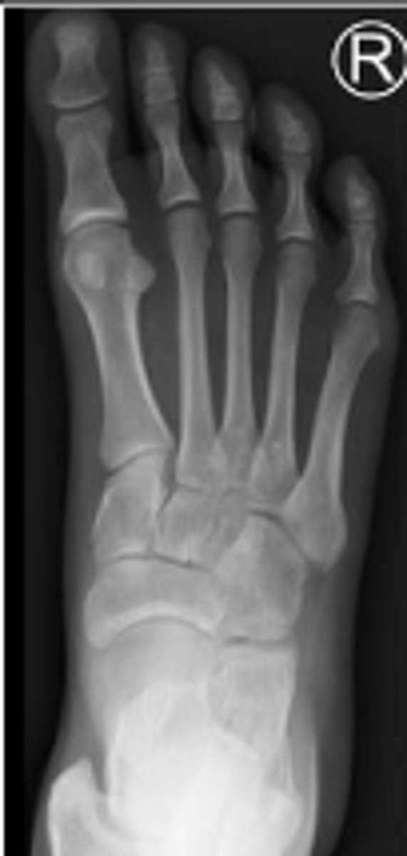
AP right foot
What is the name of the radiographic view?

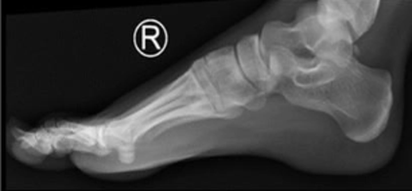
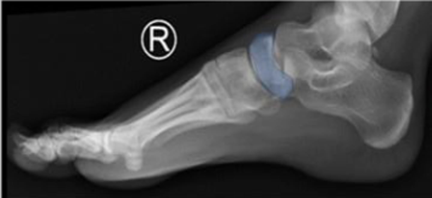
Right lateral foot
What is the name of the radiographic view?

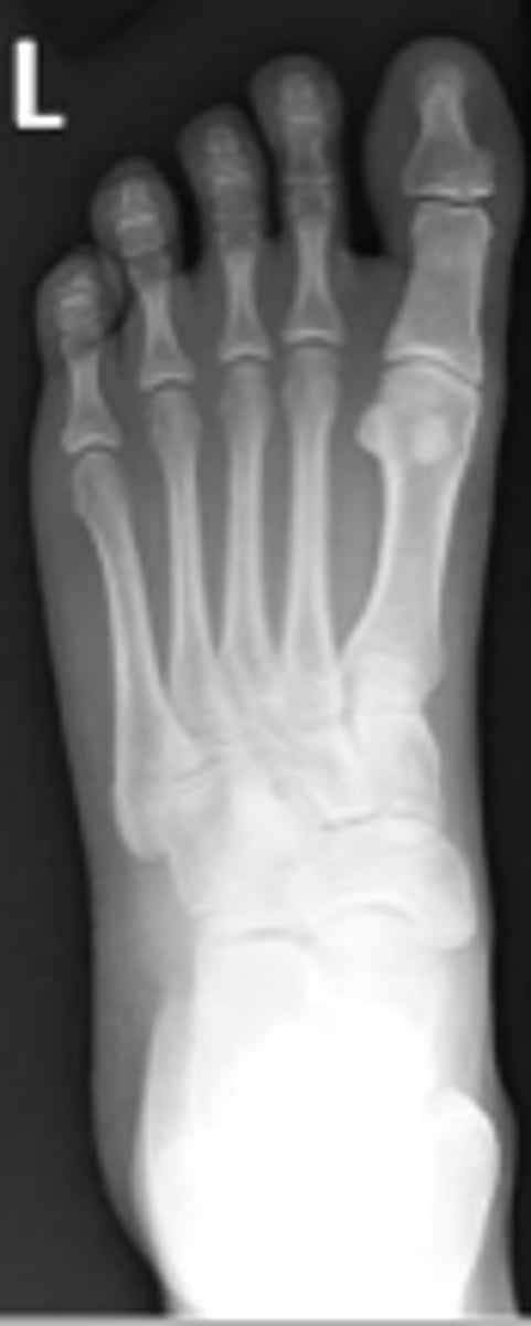
Medial oblique of the left foot
What is the name of the radiographic view?

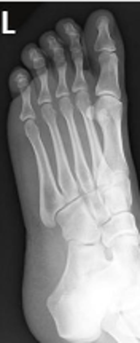
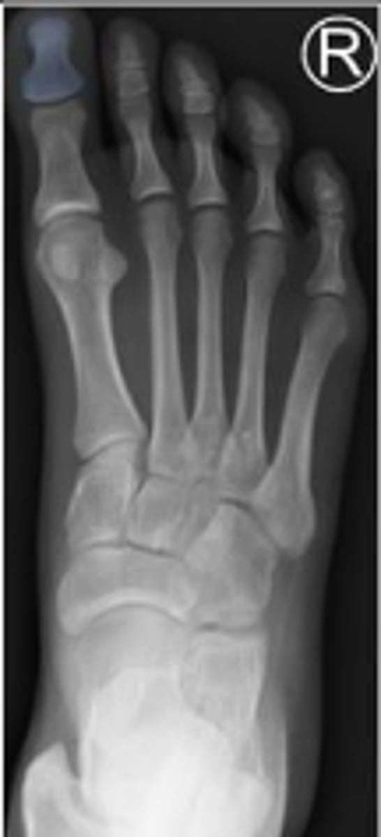
AP left foot
What is the name of the radiographic view?

Distal phalanx of the 1st digit of the right foot
What is outlined?

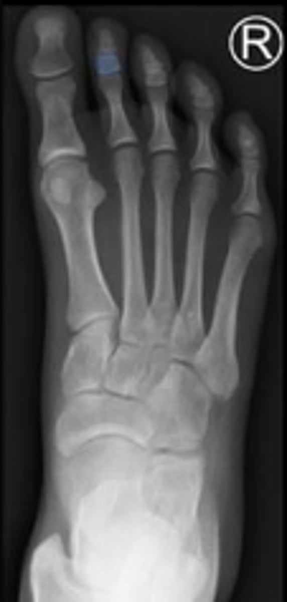
Middle phalanx of the 2nd digit of the right foot
What is outlined?

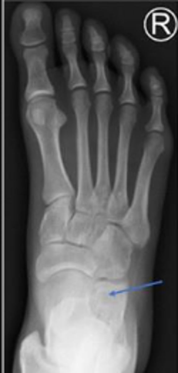
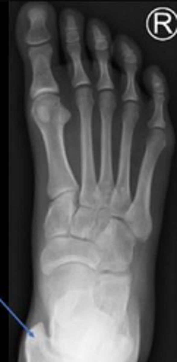
Cuboid of the right foot
What are the arrows pointing to?

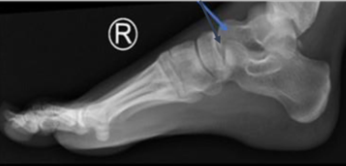
Interphalangeal joint of the 1st toe of the right
foot
What joint is the arrow pointing to?

Distal phalanx of the 3rd toe of the right foot
What is outlined?

Medial cuneiform of the right foot
What is outlined?

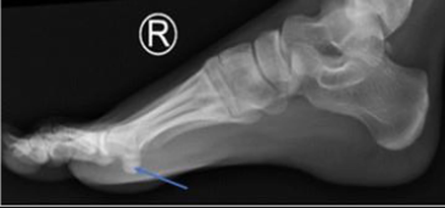
Heel pad of the right foot
What are the arrows pointing to?

2nd metatarsal of the right foot
What is outlined?

Sesamoid bones of the right foot within the tendon of the flexor hallicus brevis
What are the arrows pointing to?

Medial sesamoid of the right foot within the tendon of the flexor hallicus brevis
What is outlined?

Head of the talus of the right foot
What are the arrows pointing to?

Calcaneus of the right foot
What are the arrows pointing to?

Navicular of the right foo
What is outlined?

Medial malleolus of the right foot
What is the arrow pointing to?

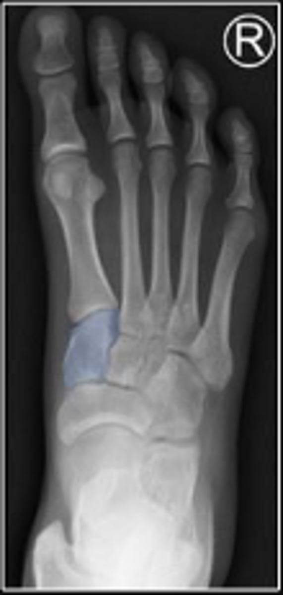
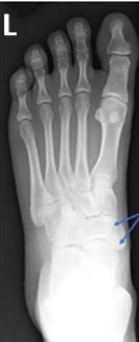
Navicular of the left foot
What are the arrows pointing to?

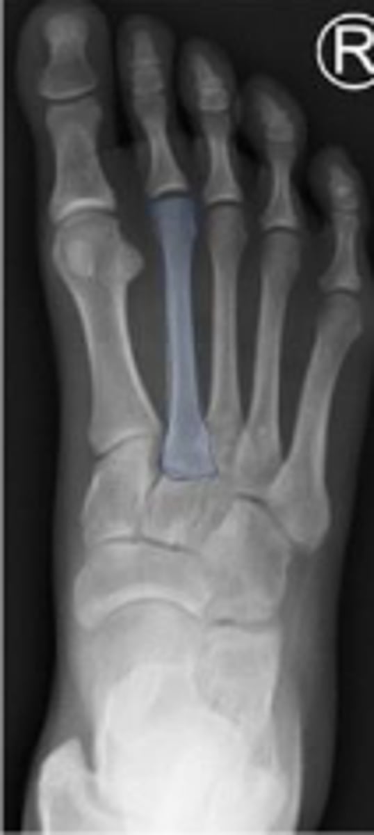
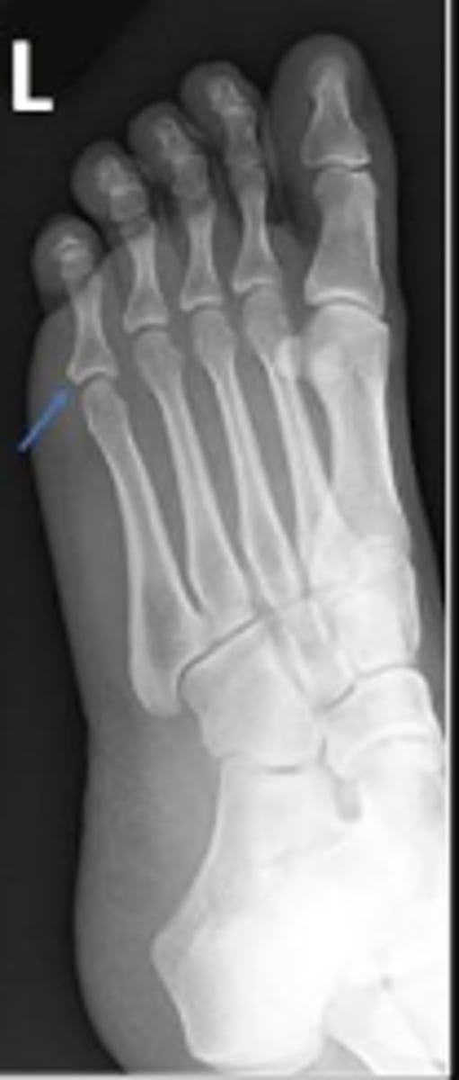
5th metatarsophalangeal joint of the left foot
What are the arrows pointing to?
