1/23
Looks like no tags are added yet.
Name | Mastery | Learn | Test | Matching | Spaced | Call with Kai |
|---|
No analytics yet
Send a link to your students to track their progress
Breast Mets spread TO:
lymph nodes
bone
liver
brain
Breast Mets spreads from:
melanoma
non hodgkins
sarcoma
lung
ovary
What does CESM stand for?
contrast enhanced mammography
What does MRI stand for?
magnetic resonance imaging
What does CT stand for?
computerized tomography
What does NM stand for?
nuclear medicine
What does contrast-enhanced mammography do?
gets rid of noise in the breast to target lesions
-just because it enhances doesnt mean it is malignant

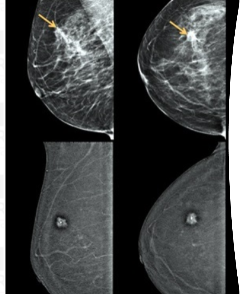
What is this image showing?
contrast enhanced mammography
What is sentinel node procedure?
inject contrast into the nippler
What is the technique of sentinel node procedure
follow path to sentinel node
Color/Power Doppler:
increase PRF
low flow settings
correct gain
minimal pressure
What does vascularity mean?
increase the indication of malignancy
decrease indicative of benign lesion
Color Power/Angio Imaging:
-highly sensitive imaging mode
-less angle dependent
-not dependent speed or direction
-lack of low does not rule out malignancy
What uses sound like humming to determine the true size of a mass?
fremitus

What is this image showing?
fremitus
What is elastography?
additional sonographic information in the role of lesion assessment
Benign
soft
same size or smaller than 2D sonography
Malignant
stiff
larger than 2D sonography
What are diagnostic considerations for a single malignant characteristic excludes a lesion from being classified as benign?
-vascularity
-echogenicity
-pseudo mass
-growth compared to tissue planes
Ductal Ectasia nipple discharge appearance:
bilateral
greenish color
Milky discharge
bilateral
normal- pregnancy or lactation
abnormal- hormone imbalance/pituitary adenoma
Worrisome
unilateral
straw colored
bloody
US Interventional Procedures
cyst aspiration
fine needle aspiration cytology (FNA)
drainage procedure
preoperative needle wire localization
large core needle biopsy
vacuum assisted needle biopsy
sentinel node biopsy
What are breast procedures?
wire localization
core biopsy
stereo biopsy
MRI biopsy
lymph node biopsy
savi placement