1/72
Looks like no tags are added yet.
Name | Mastery | Learn | Test | Matching | Spaced | Call with Kai |
|---|
No analytics yet
Send a link to your students to track their progress
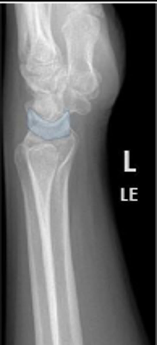
Medial oblique of the left wrist
What is the name of the radiographic view?

Left lateral wrist
What is the name of the radiographic view?

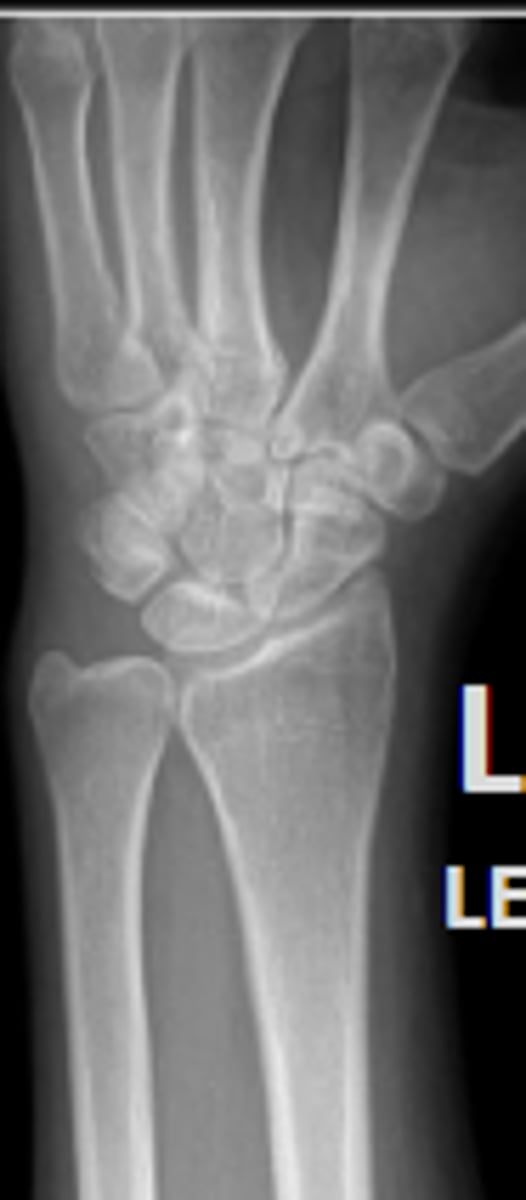
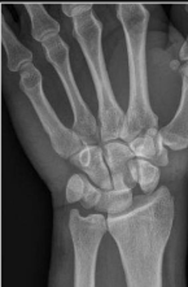
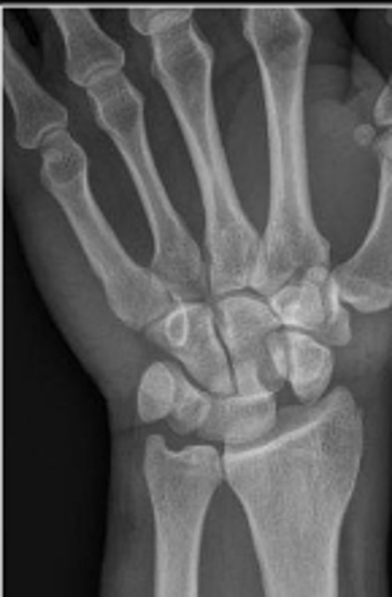
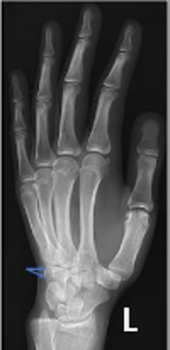
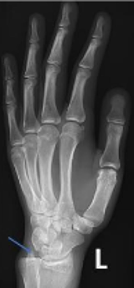
PA of the left wrist
What is the name of the radiographic view?

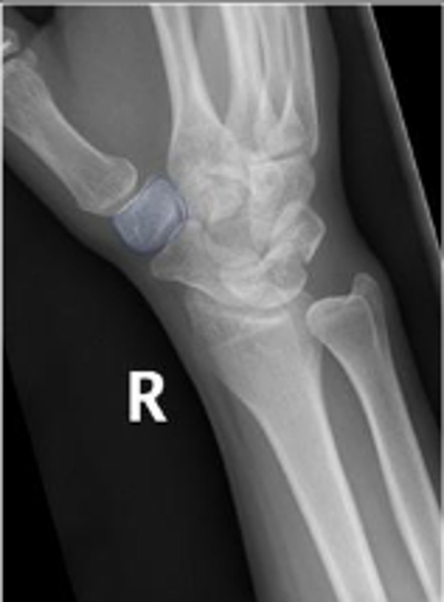
Medial oblique of the right wrist
What is the name of the radiographic view?

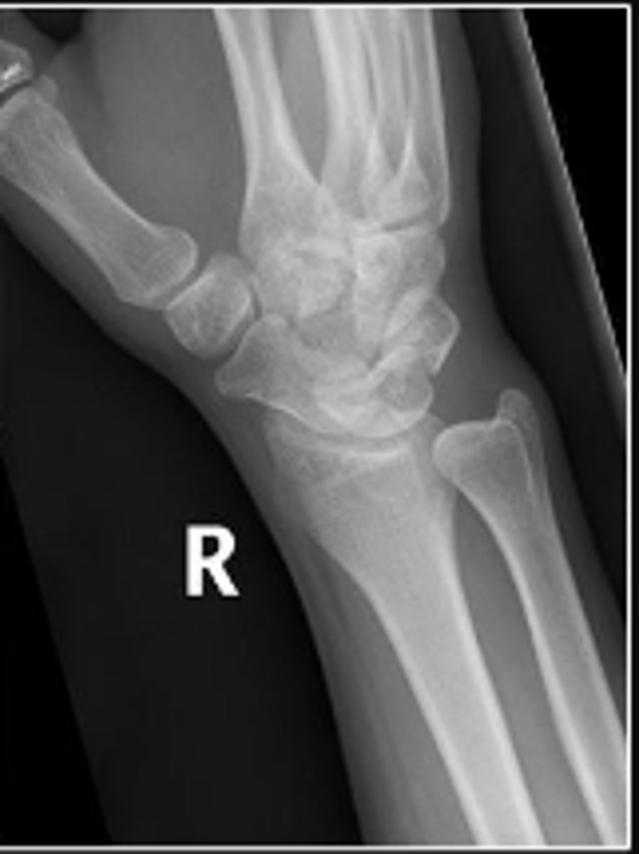
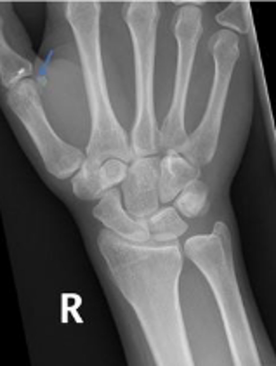
PA right wrist
What is the name of the radiographic view?

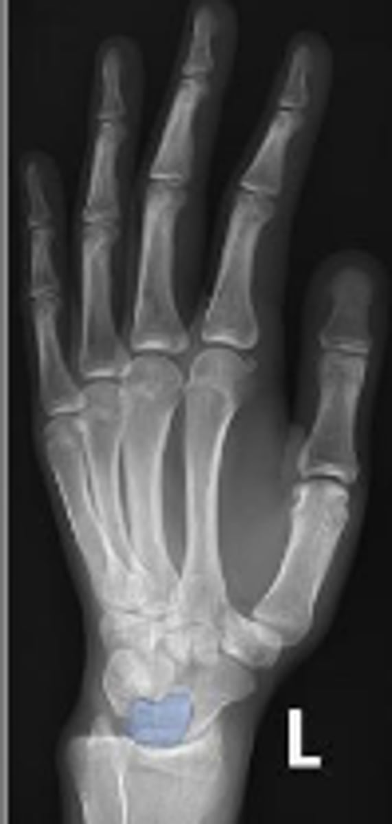
Left scaphoid
What is outlined?

Left scaphoid
What is outlined?

Hook of the left hamate
What is outlined?

Left hamate
What is outlined?

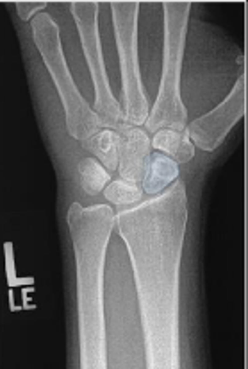
Left lunate
What is outlined?

Left lunate
What is outlined?

Right scaphoid
What is outlined?

Right scaphoid
What is the arrow pointing to?

Sesamoid bone
What is the arrow pointing to?

Right trapezium
What is outlined?

Right triquetrum
What is outlined?

Right pisiform
What is the arow pointing to?

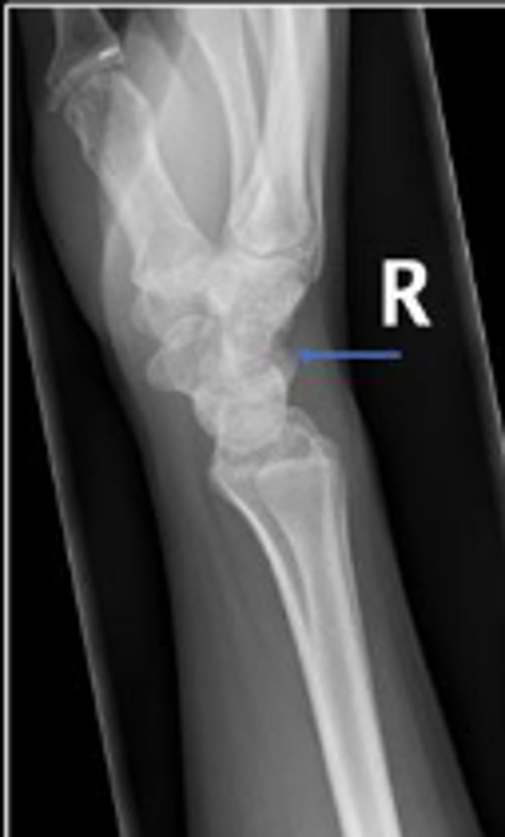
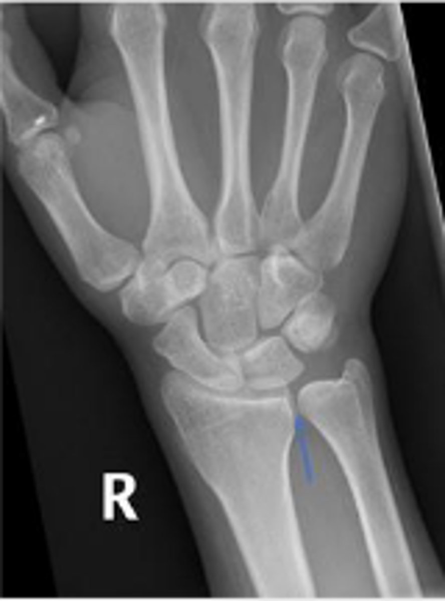
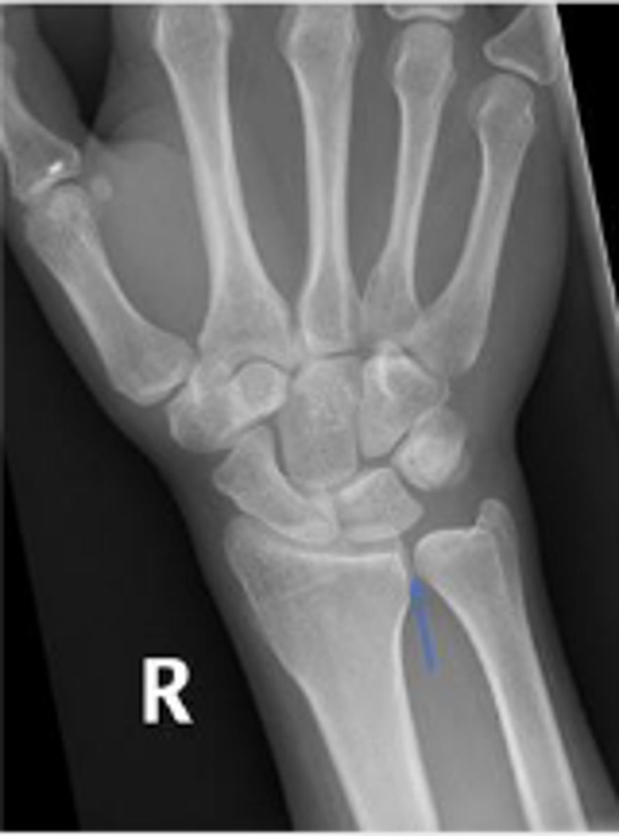
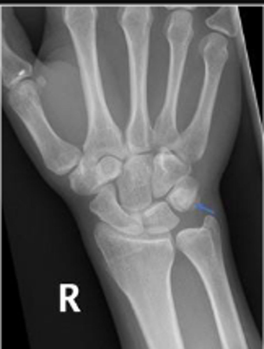
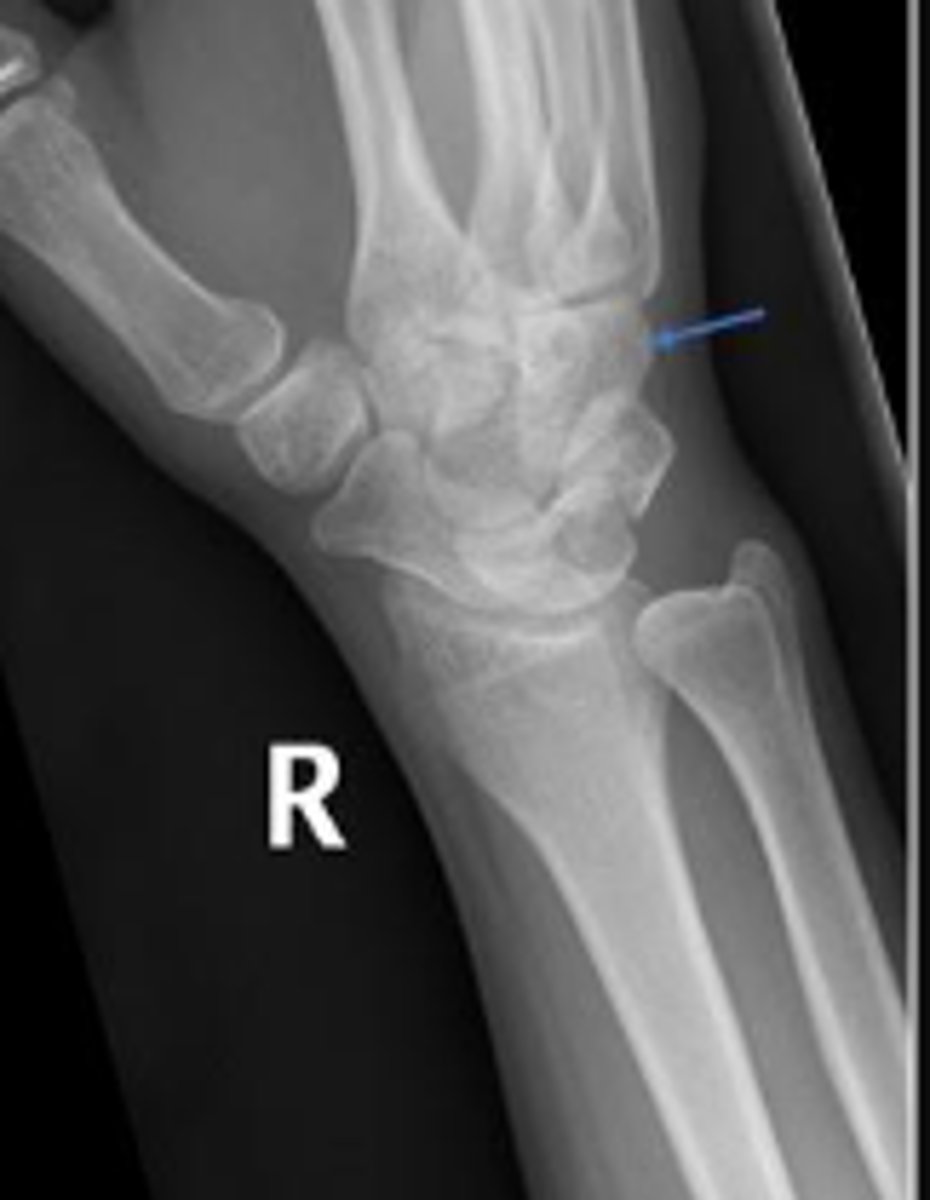
DRUJ
What is the arrow pointing to?

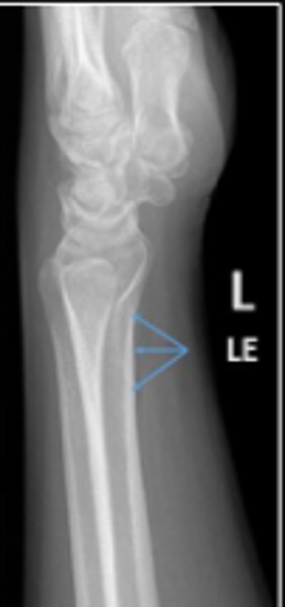
< and equal to 2mm
What is the normal measurement of this space?

Right trapezoid
What is outlined?

Right capitate
What is outlined?

Left pisiform
What is the arrow pointing to?

Left capitate
What is the arrow pointing to?

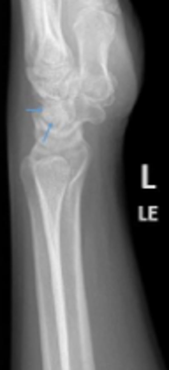
Volar margin of the left radius
What is the arrow pointing to?

Dorsal margin of the left ulna
What is the arrow pointing to?

Right trapezoid
What is outlined?

Right 1st metacarpal bone
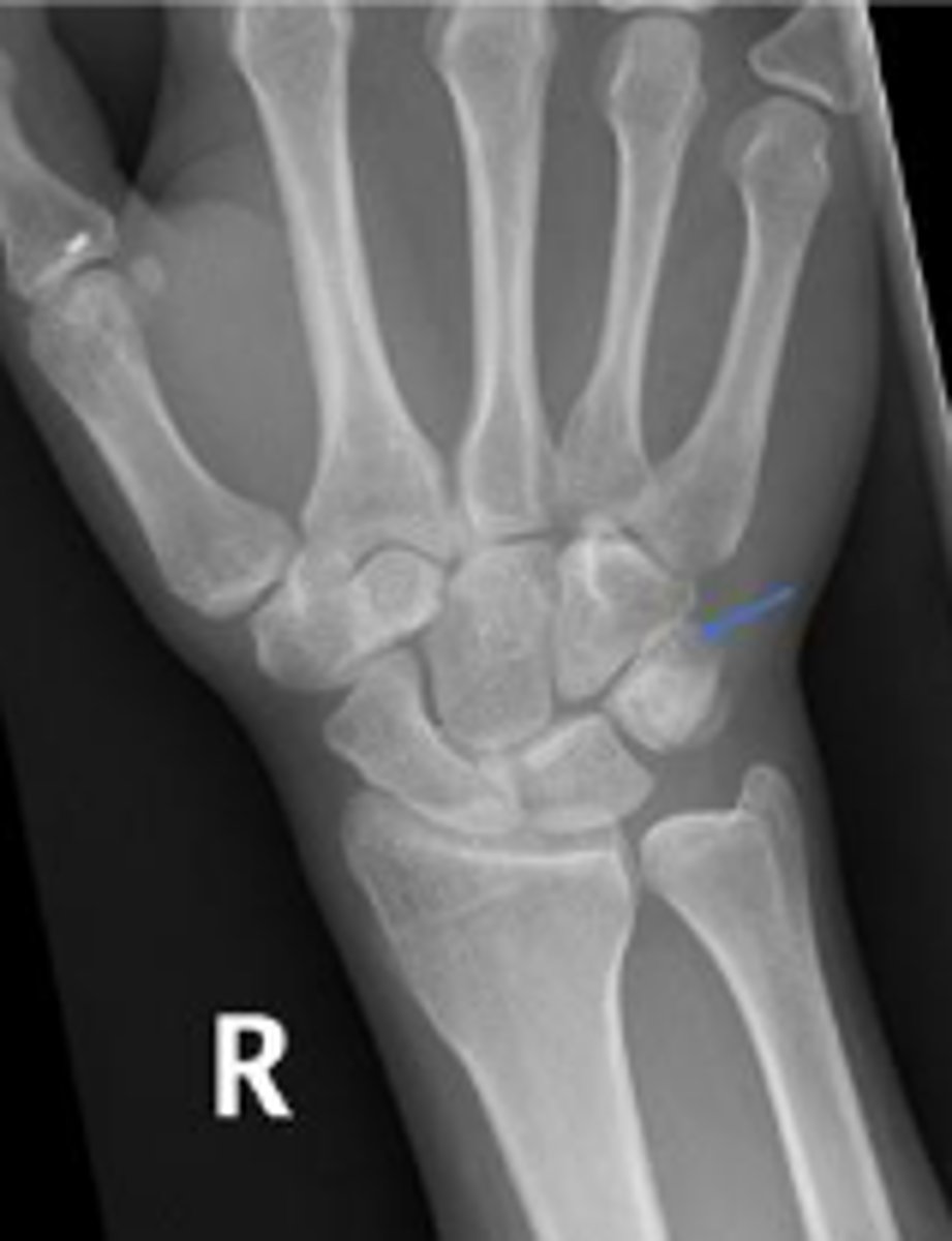
What joint space is the arrow pointing to?

Right triquetrum
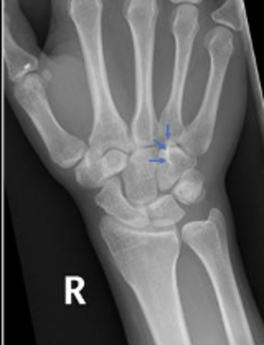
What are the arrows pointing to?

Right 1st metacarpal bone
What is outlined?

Right pisiform
What are the arrows pointing to?

Right triquetrum
What are the arrows pointing to?

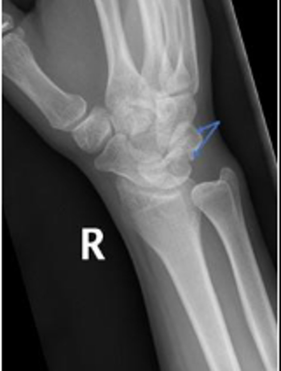
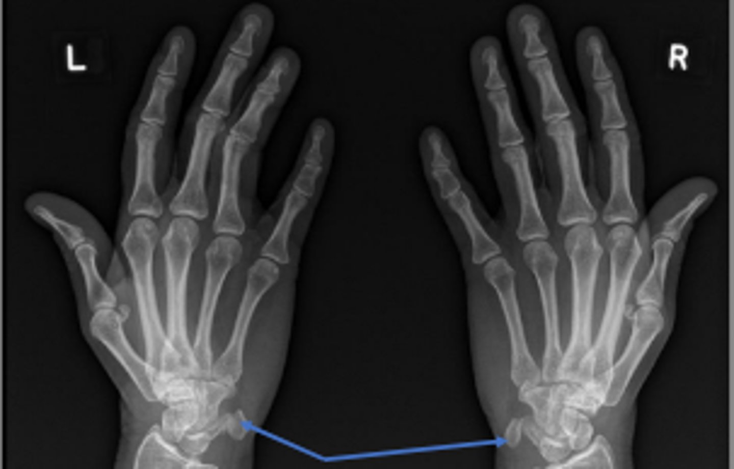
Right radiocarpal joint
What joint space are the arrows pointing to?

Right 1st metacarpophalangeal joint
What joint space are the arrows pointing to

Hook of the right hamate
What are the arrows pointing to?

Right lunate
What is outlined?

Right hamate
What is outlined?

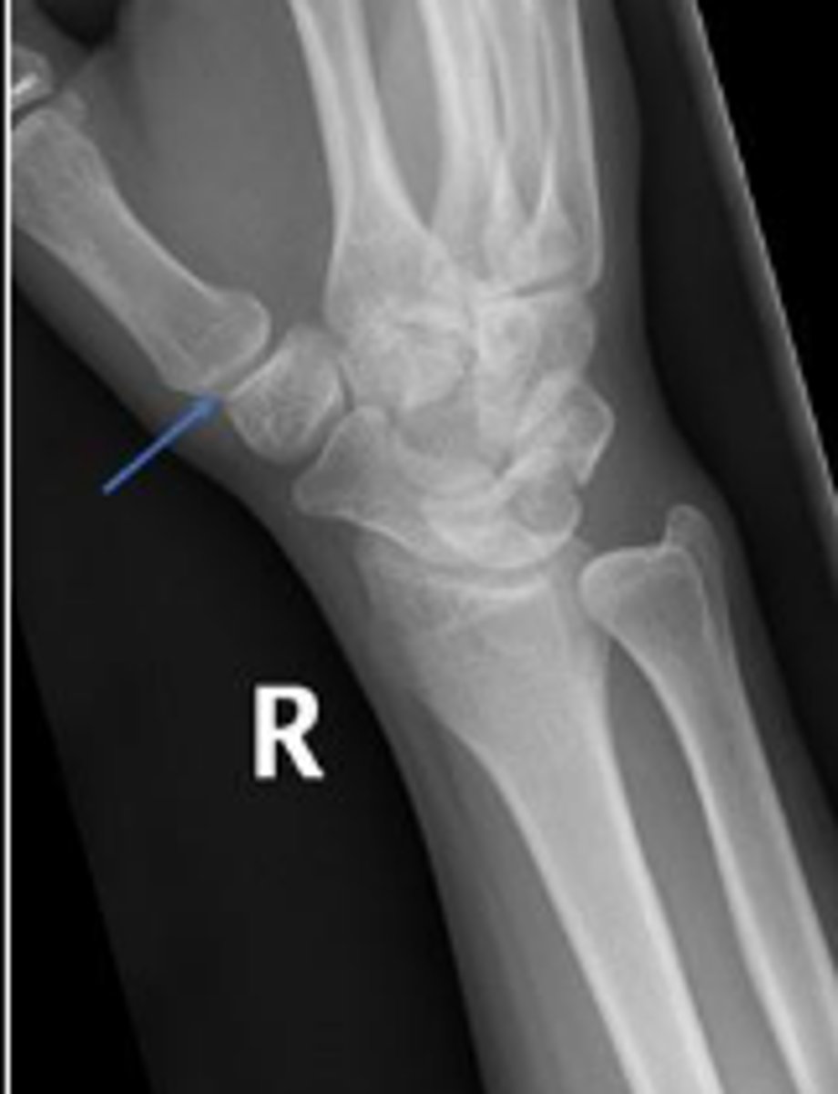
Base of the 2nd right metacarpal bone
What is the arrow pointing to?

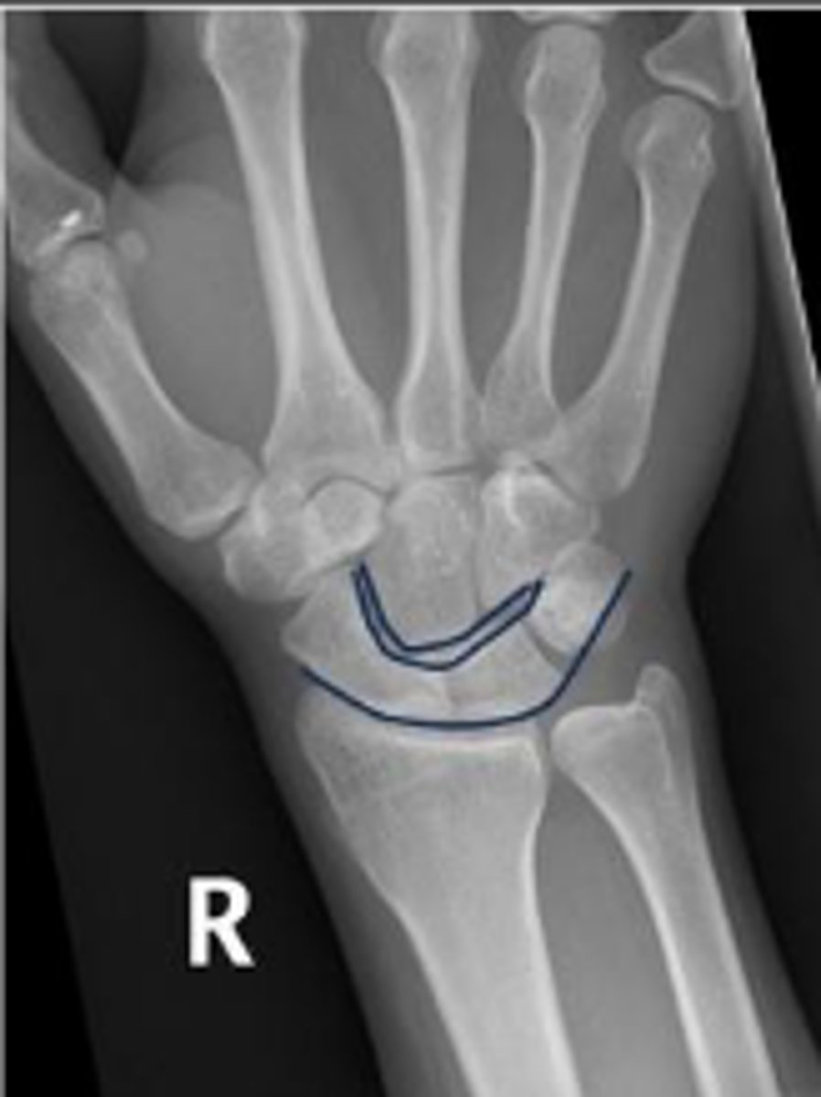
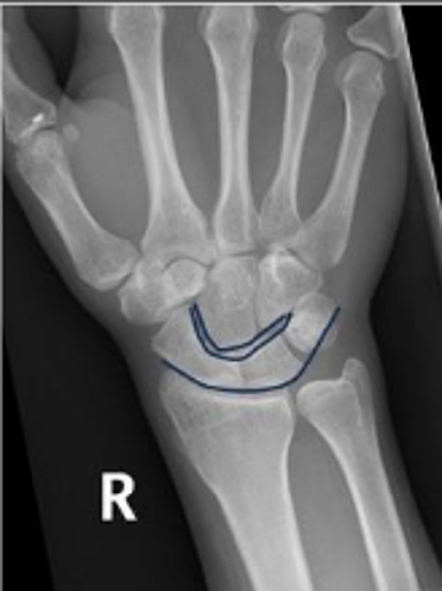
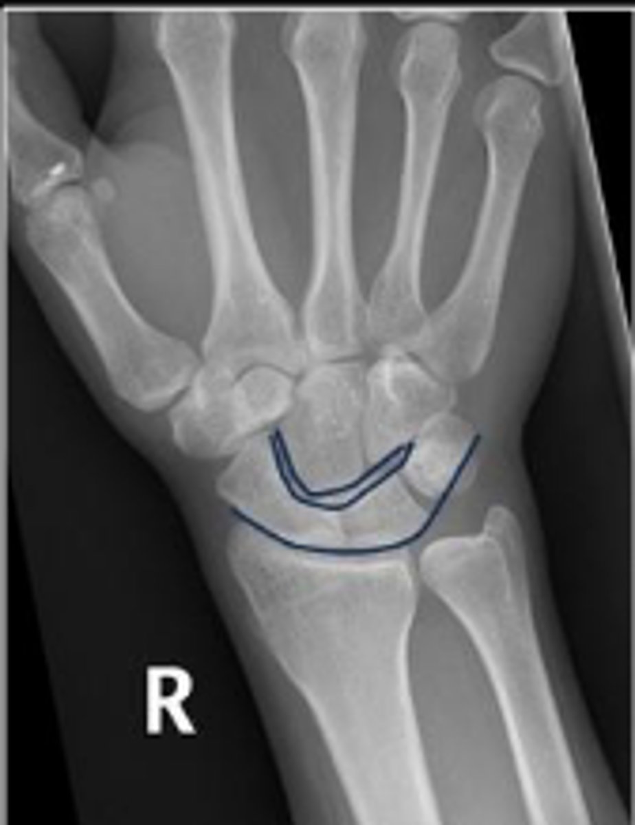
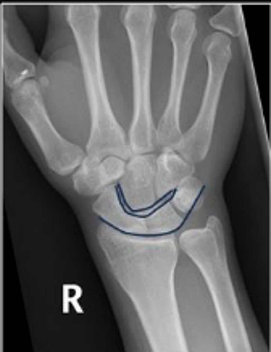
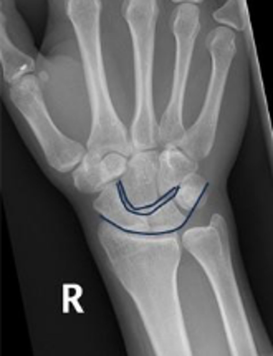
3 arcs of carpal alignment
What is the name of the assessment

Proximal cortical aspect of the first (proximal)
carpal row (ARC 1)
What are the landmarks for the most proximal line in the assessment?

Distal cortical aspect of the first (proximal) carpal
row (ARC 2)
What are the landmarks for the most middle line in the assessment?

Proximal cortical aspect of the second (distal)
carpal row (ARC 3)
What are the landmarks for the most distal line in the assessment?

SLAC wrist; carpal dislocation, carpal fracture
Name 2 conditions that will result in an alteration of the assessment?

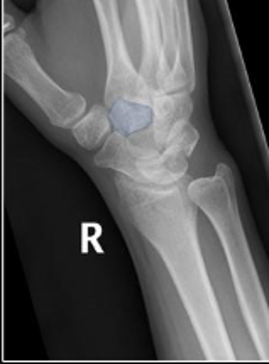
Right lunate
What is outlined?

PA wrist
What radiographic view are the
carpal joint spaces assessed?
1-2mm
What is the normal range for the carpal joint spacing?
No
The carpal joint space is measured to be 8mm. Is this considered within normal limits
No
The scapholunate joint space is measured to be 7mm. Is this considered within normal limits?
Injury to the scapholunate ligament
What is the most common cause of carpal instability?
An altered scapholunate angle and/or altered
capitolunate angle and/or altered lunate position
and/or an increased carpal joint space; DISI; VISI
What 2 radiographic signs would indicate carpal instability?
"Terry Thomas" sign
Mechanism of Injury: Fall onto an outstretched hand.
What is the named sign given to widening of the scapholunate spacing?

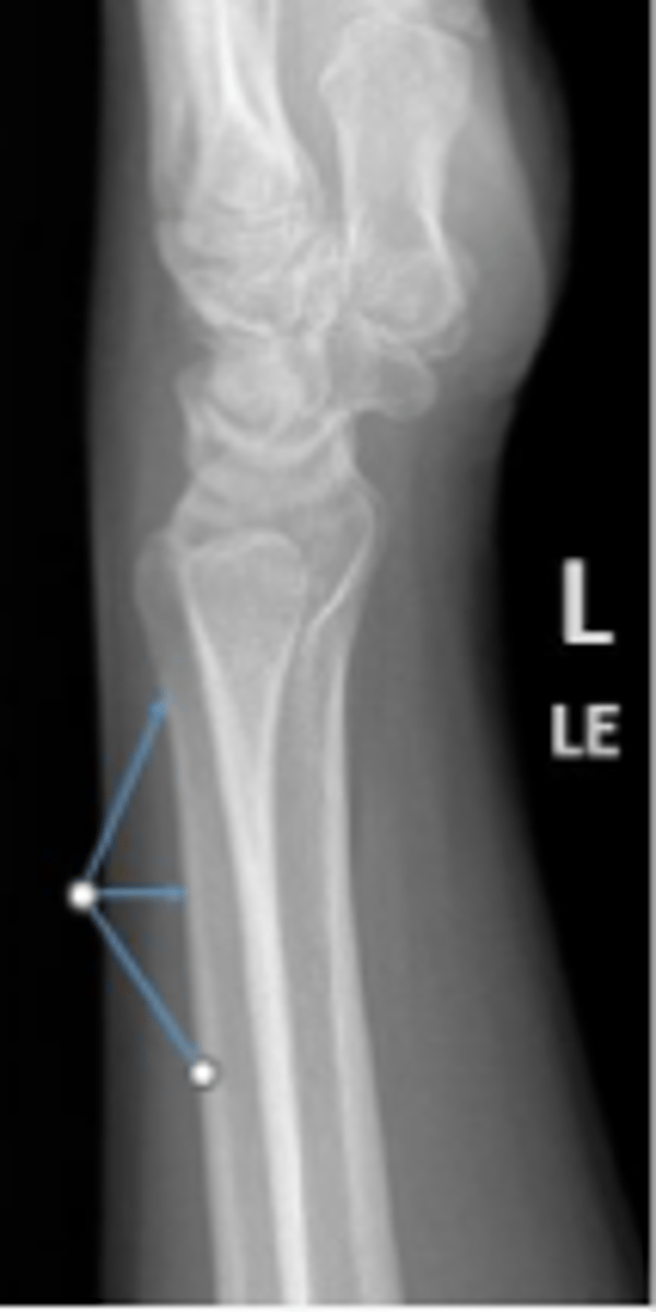
2mm
What is the upper limit of the normal measurement?

10-13mm
What is the normal range for the radial length?

To approximate the carpal bones to the casset
Why are the fingers flexed for the PA wrist?

Radial inclination
What is the name of the assessments

Yes
Is the given range within normal limits?

Scaphoid
What is the most common carpal fracture
Scaphoid
What is the most commonly fractured carpal bone in people between the ages of 15-40 years of age?
Lunate
What is the most commonly dislocated carpal bone
Scaphoid
What is the 2nd most commonly dislocated carpal bone?
Triquetral fracture
What is the most significant radiographic finding?
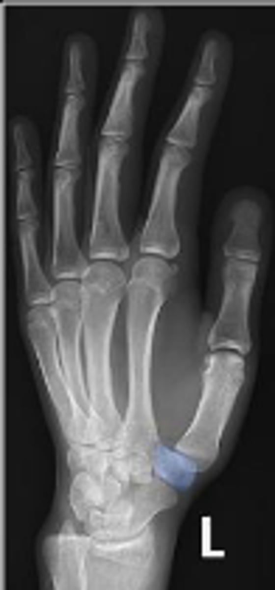
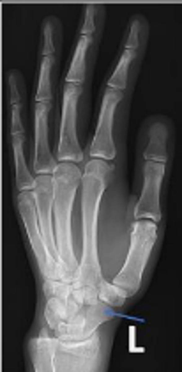
PA of the left hand
What is the name of the radiographic view?

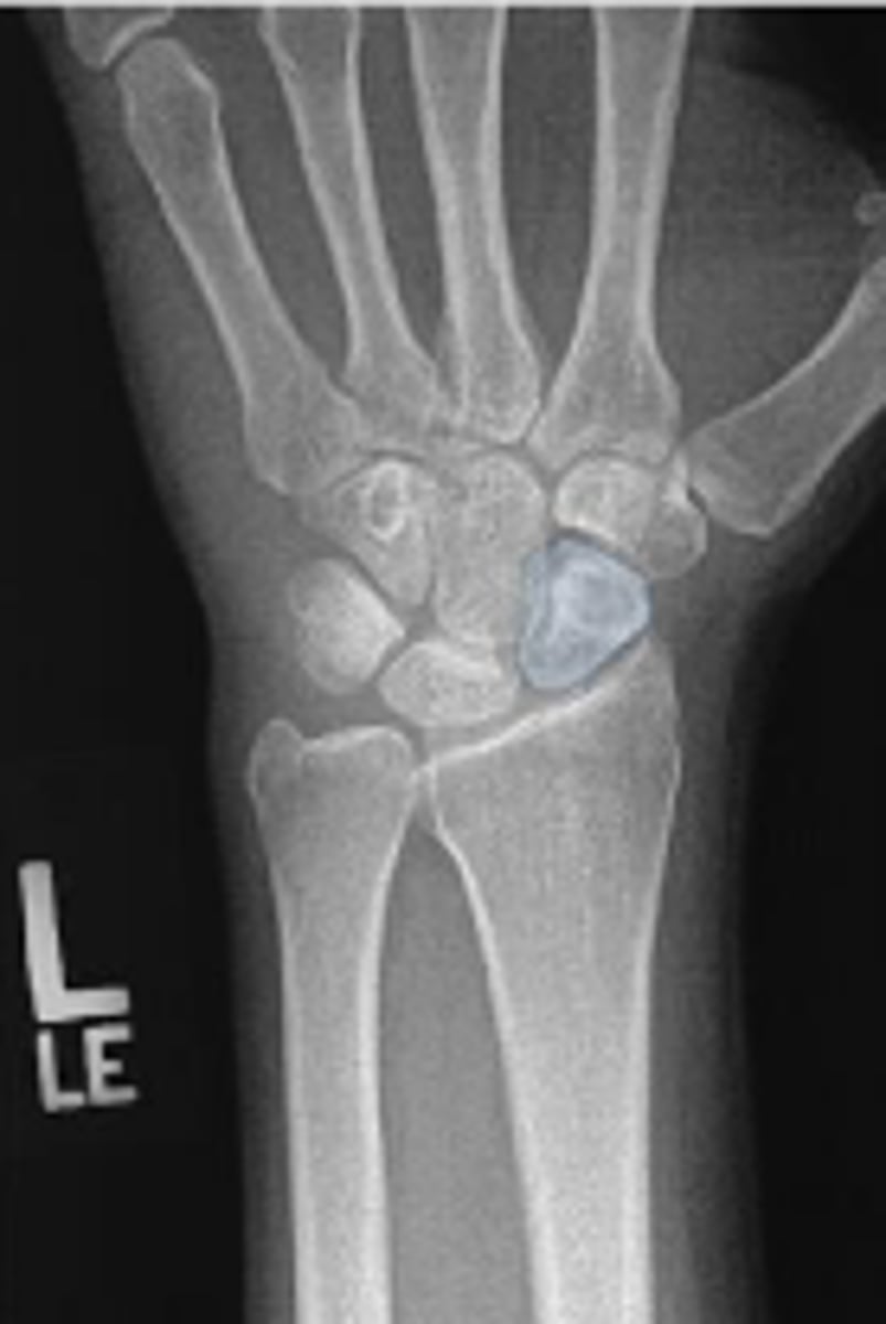
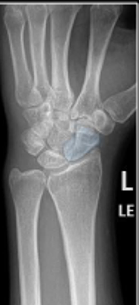
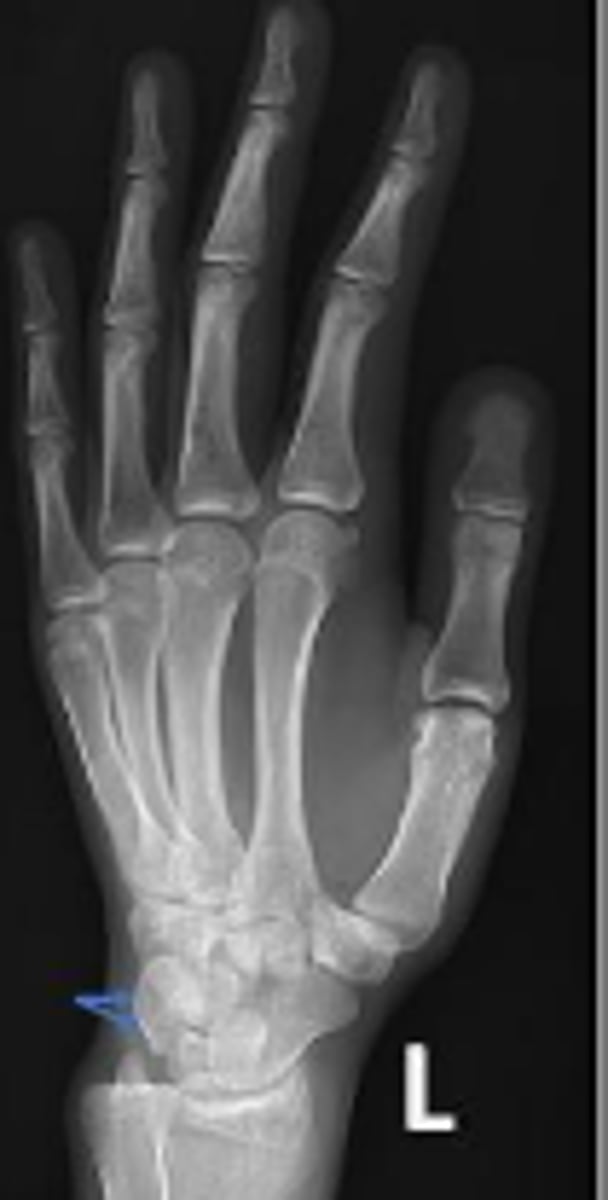
PA of the left wrist
What is the name of the radiographic view?

Left scaphoid
What is outlined?

Left scaphoid
What is outlined?

Left capitate
What is outlined?

Left hamate
What is outlined?

Left trapezium
What is outlined?

Left scaphoid
What is the arrow pointing to?

Left triquetrum
What is the arrow pointing to?

Left hamate
What is the arrow pointing to?

Styloid process of the left ulna
What is the arrow pointing to?

Left lunate
What is outlined?

Ball-catcher view
What is the name of the radiographic view?
