1/18
Looks like no tags are added yet.
Name | Mastery | Learn | Test | Matching | Spaced | Call with Kai |
|---|
No analytics yet
Send a link to your students to track their progress
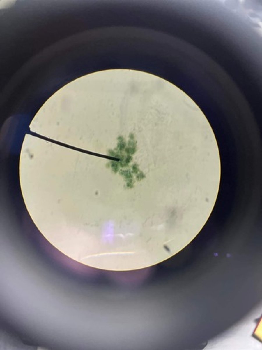
Division: Cyanophyta
Class: Cyanophyceae
Order: Nostocales
Scientific Name: Anabaena sp.

Division: Cyanophyta
Class: Cyanophyceae
Order: Chroococcales
Scientific Name: Gloecapsa sp.

Division: Chlorophyta
Class: Ulvophyceae
Order: Ulotrichales
Scientific Name: Ulothrix sp.

Division: Chlorophyta
Class: Ulvophyceae
Order: Bryopsidales
Scientific Name: Caulerpa racemosa

Division: Charophyta
Class: Zygnematophyceae
Order: Desmidiales
Scientific Name: Staurastrum sp. /
Xanthidium sp.

Division: Charophyta
Class: Charophyceae
Order: Charales
Scientific Name: Chara sp.

Division: Phaeophyta
Class: Phaeophyceae
Order: Fucales
Scientific Name: Sargassum sp.

Division: Phaeophyta
Class: Phaeophyceae
Order: Dictyotales
Scientific Name: Padina sp.

Division: Rhodophyta
Class: Florideophyceae
Order: Corallinales
Scientific Name: Mastophora sp.

Division: Rhodophyta
Class: Florideophyceae
Order: Nemaliales
Scientific Name: Galaxaura oblongata

Division Cyanophyta (Blue-green algae)

Division Chlorophyta (Green algae)

Division Charophyta (Stoneworts)

Division Phaeophyta (Brown algae)

Division Rhodophyta (Red algae)

red = stigma/eyespots
tail = flagellum
ano yung (a) red, (b) yung parang tail

Chlamydomonas

cup, star, band
anong shapes to dapat sunod sunod

spiral, net (reticulate), disc
anong shapes to dapat sunod sunod
