1/93
Looks like no tags are added yet.
Name | Mastery | Learn | Test | Matching | Spaced | Call with Kai |
|---|
No study sessions yet.

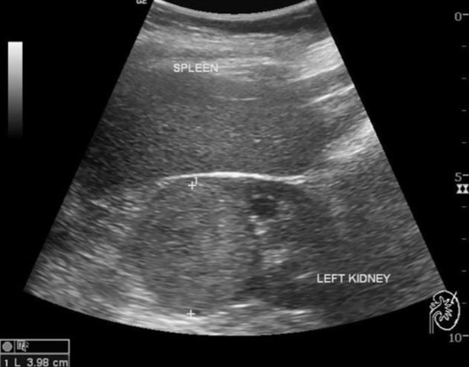
Prominent columns of Bertin

Prominent columns of Bertin

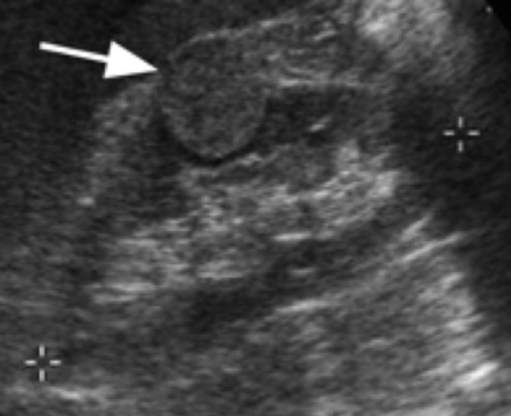
Dromedary Hump

Junctional Parenchymal Defect

Junctional Parenchymal Defect

Fetal lobulation

Sinus Lipomatosis

Sinus Lipomatosis

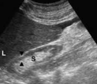
Extrarenal Pelvis

Extrarenal Pelvis

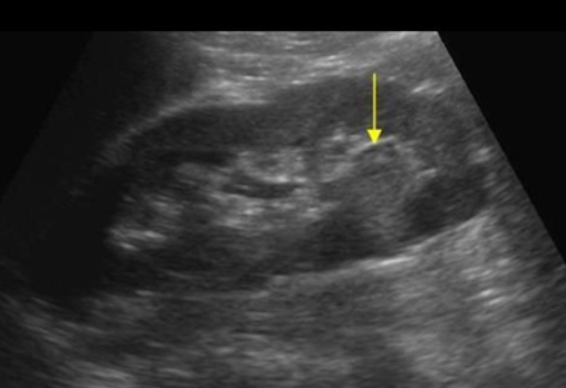
Renal hypoplasia

requires background info to diagnose
Unilateral renal agenesis

Horseshoe kidney

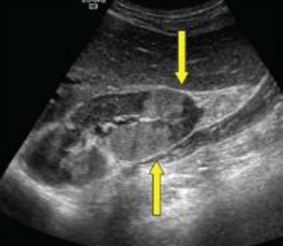
Duplicated collecting system

Pelvic kidney

Cake kidney

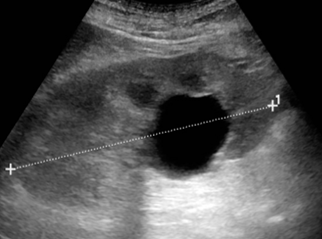
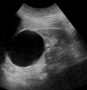
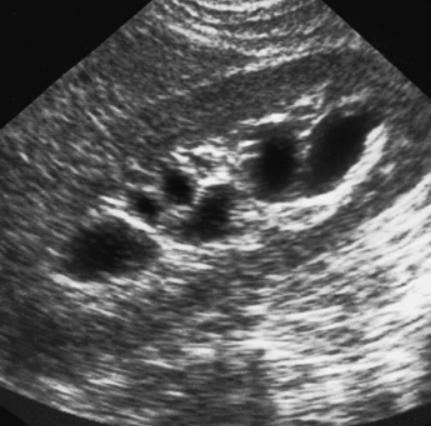
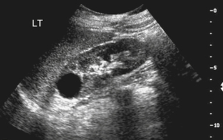
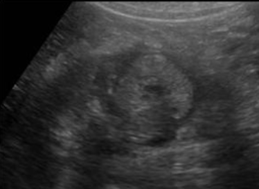
Simple renal cyst

Simple renal cyst

Solid renal mass

Complex renal mass

Complex renal mass

Ureterocele

Ureterocele

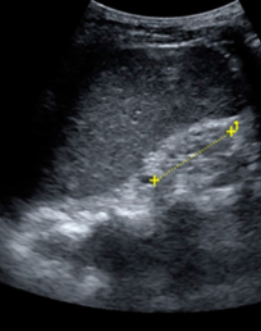
Peripelvic Renal Cyst

Parapelvic Renal cyst

Parapelvic Renal cyst

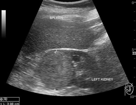
Cortical renal cyst

Cortical renal cyst

Exophytic renal cyst

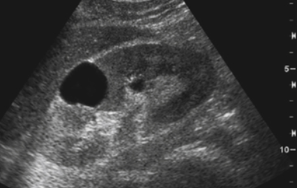
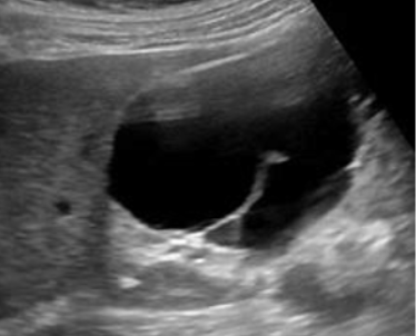
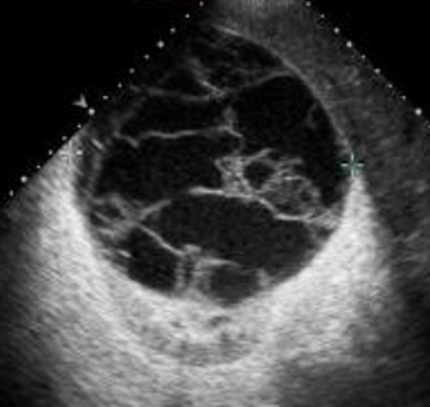
Complex cyst

Complex cyst

Complex cyst

Tuberous Sclerosis

Acquired Cystic Kidney Disease

requires background info
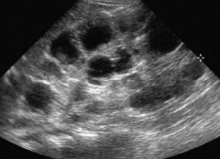
ADPKD

requires background info
ADPKD

requires background info
ARPKD

requires background info
ARPKD

Medullary Sponge Kidney

Cortical Nephrocalcinosis

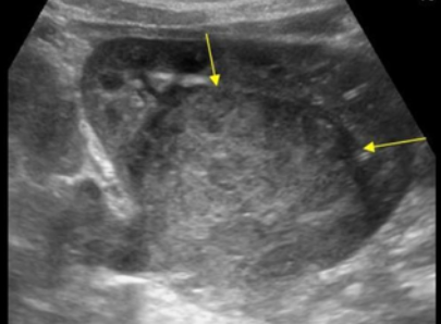
Solid renal mass

Renal cell carcinoma

Renal cell carcinoma

Renal Cell Carcinoma

Renal Cell Carcinoma

Transitional Cell Carcinoma

Renal Lymphoma

Nephroblastoma

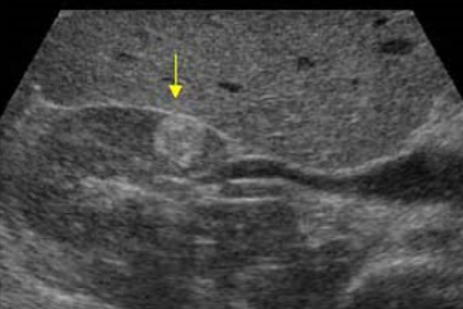
Renal Angiomyolipoma

Renal Angiomyolipoma

Renal Adenoma

Oncocytoma

Oncocytoma

Lipoma

Acute Glomerulonephritis

Acute interstitial nephritis

AIDS

Papillary Necrosis

Renal Atrophy

Renal Atrophy

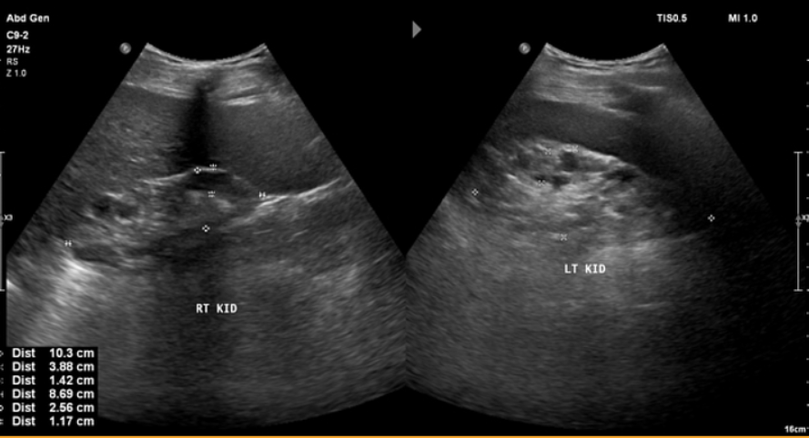
Chronic Renal Failure

Chronic Renal Failure

Chronic Renal Failure

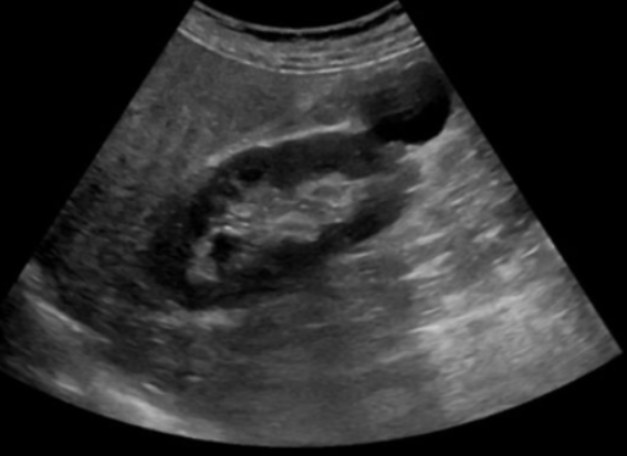
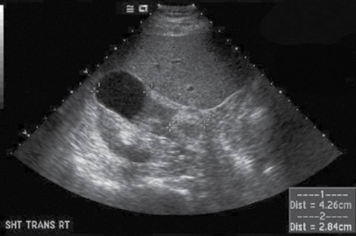
Mild Hydronephrosis

Moderate Hydronephrosis

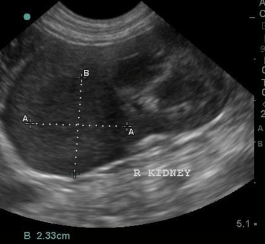
Severe Hydronephrosis

Severe Hydronephrosis

Severe Hydronephrosis

Severe Hydronephrosis

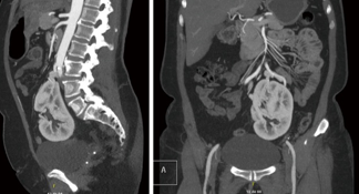
Obstructive Hydronephrosis

Urinary Tract Obstruction at the UVJ

Urinary Tract Obstruction at the UPJ

Nephrolithiasis

Nephrolithiasis

Acute Pyelonephritis

Acute Pyelonephritis

Pyonephrosis

Pyonephrosis

Xanthogranulomatous Pyelonephritis

Emphysematous Pyelonephritis

Emphysematous Pyelonephritis

Emphysematous Pyelonephritis

Emphysematous Pyelonephritis

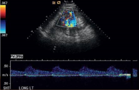
Renal Artery Stenosis

Renal Infarction

Renal Infarction

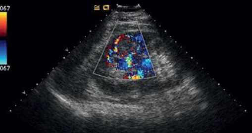
Arteriovenous Fistula

Pseudoaneurysm

Renal Vein Thrombosis

Bladder Diverticulum

Neurogenic Bladder

Bladder Tumor

Bladder Tumor

Bladder Stones