A&P Quiz 2 Review 2025

0.0(0)
studied byStudied by 0 people
full-widthCall with Kai
GameKnowt Play
learnLearn
examPractice Test
spaced repetitionSpaced Repetition
heart puzzleMatch
flashcardsFlashcards
Card Sorting

1/49

encourage image

There's no tags or description

Looks like no tags are added yet.

Study Analytics
Name
Mastery
Learn
Test
Matching
Spaced

No study sessions yet.

50 Terms

1
New cards

What kind of tissue is this?

Simple Squamous

<p>Simple Squamous</p>
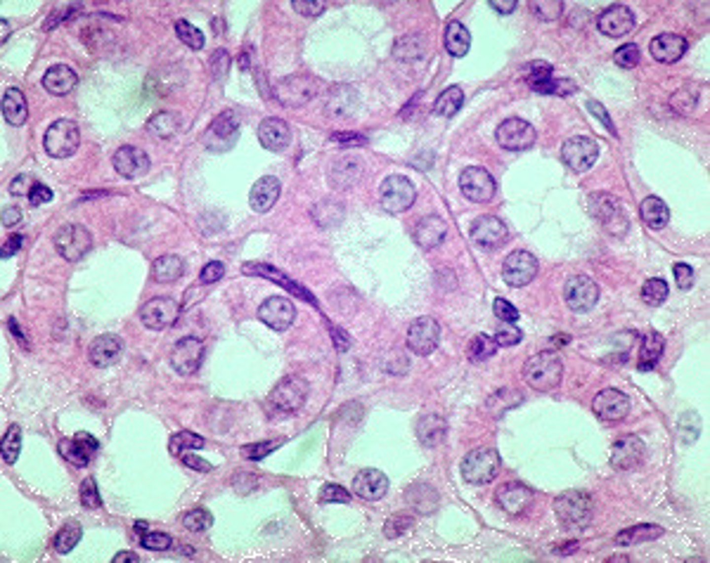
2
New cards

What kind of tissue is this?

Simple Cuboidal

<p>Simple Cuboidal</p>
3
New cards

What kind of tissue is this?

Simple Columnar

<p>Simple Columnar</p>
4
New cards

What kind of tissue is this?

Pseudostratified Columnar

<p>Pseudostratified Columnar</p>
5
New cards

What kind of tissue is this?

Stratified Squamous

<p>Stratified Squamous</p>
6
New cards

What kind of tissue is this?

Transitional

<p>Transitional</p>
7
New cards

What kind of Connective Tissue is this?

areolar connective tissue

<p>areolar connective tissue</p>
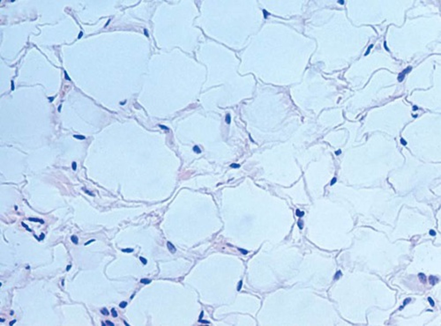
8
New cards

What kind of tissue is this?

Adipose

<p>Adipose</p>
9
New cards

What kind of tissue is this?

Reticular

<p>Reticular</p>
10
New cards

What kind of connective tissue is this?

Dense regular

<p>Dense regular</p>
11
New cards

What kind of connective tissue is this?

Dense irregular

<p>Dense irregular</p>
12
New cards

What kind of connective tissue is this?

Elastic connective

<p>Elastic connective</p>
13
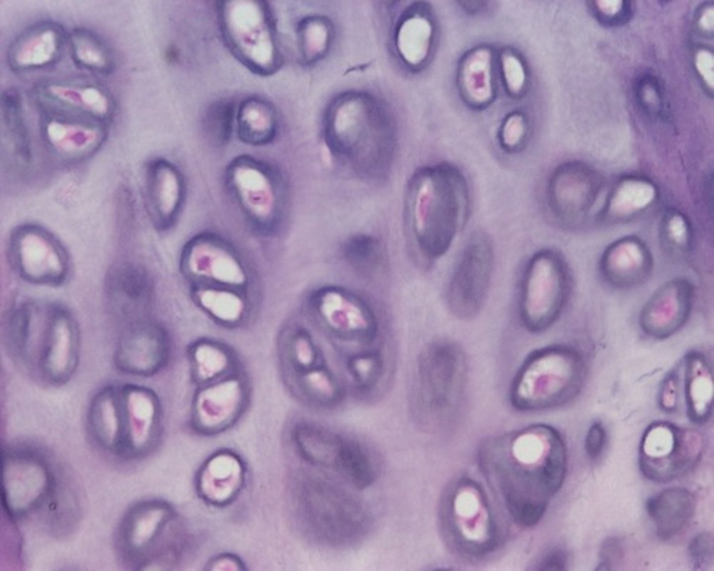
New cards

What kind of connective tissue is this?

Hyaline Cartilage

<p>Hyaline Cartilage</p>
14
New cards

What kind of connective tissue is this?

Fibrocartilage

<p>Fibrocartilage</p>
15
New cards

What kind of connective tissue is this?

Bone

<p>Bone</p>
16
New cards

What kind of connective tissue is this?

Blood

<p>Blood</p>
17
New cards

What phase is this (Mitosis)?

Prophase

<p>Prophase</p>
18
New cards

What phase is this (Mitosis)?

Metaphase

<p>Metaphase</p>
19
New cards

What phase is this (Mitosis)?

Anaphase

<p>Anaphase</p>
20
New cards

What phase is this (Mitosis)?

Telophase

<p>Telophase</p>
21
New cards

Where can you find Simple Squamous?

Kidney glomeruli, air sacs of lungs, lining of heart, blood vessels, and lymphatic vessels

22
New cards

Where can you find Simple Cuboidal?

kidney tubules, ducts and secretly portions of small glands, ovary surface

23
New cards

Where can you find Simple Columnar?

digestive tract

24
New cards

Where can you find Pseudostratified Columnar?

trachea and most of the upper respiratory tract

25
New cards

Where can you find Stratified Squamous?

Forms most linings of the esophagus, mouth, and vagina

26
New cards

Where can you find Transitional?

Ureters, bladder, and part of the urethra

27
New cards

Where can you find Areolar CT?

under epithelial tissue and surrounds capillaries

28
New cards

Where can you find Adipose CT?

all over the body. Under skin, surrounding organs

29
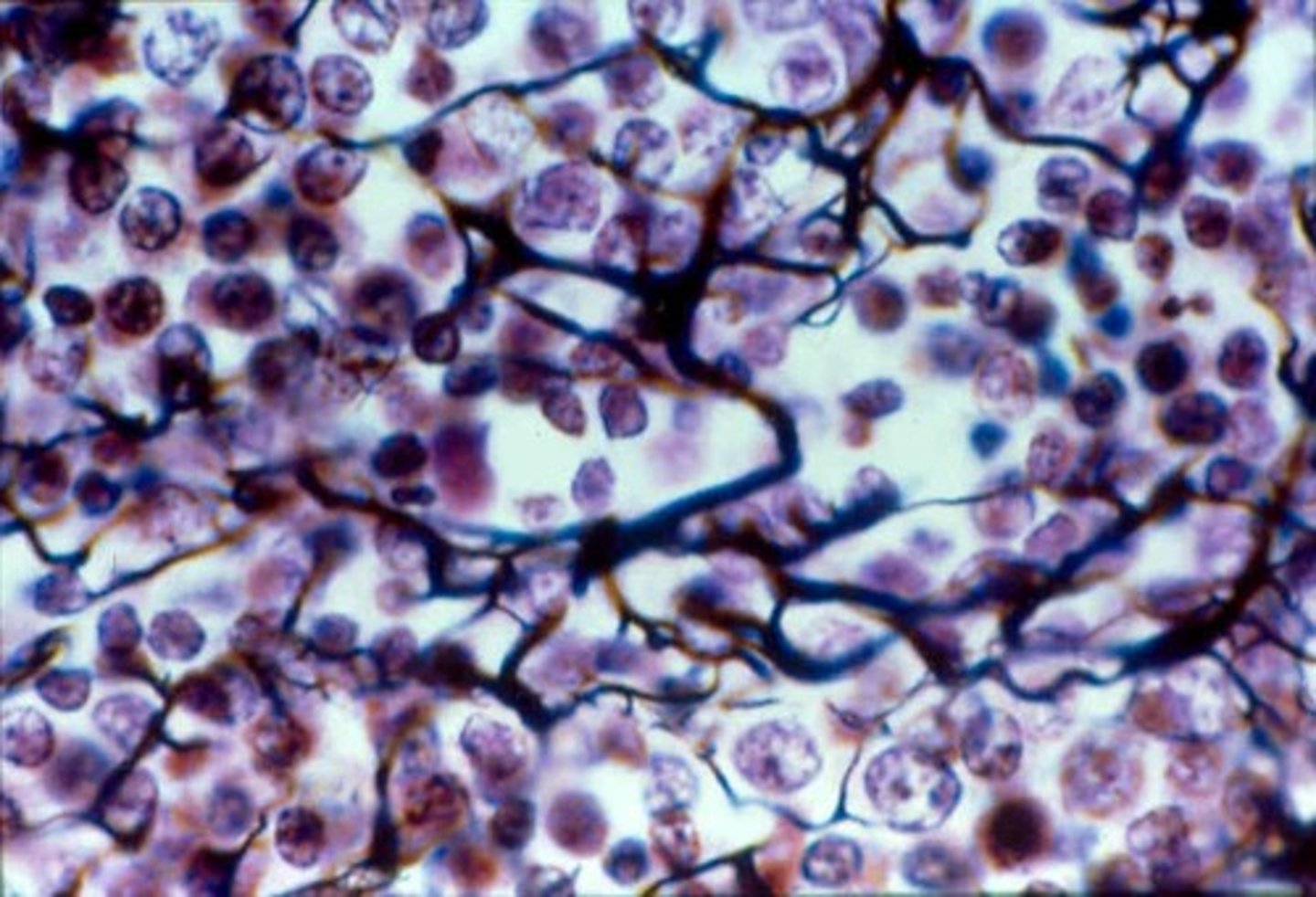
New cards

Where can you find Reticular CT?

spleen and lymph nodes

30
New cards

Where can you find Dense Regular CT?

tendons, ligaments, aponeuroses

31
New cards

Where can you find Dense Irregular CT?

dermis and organ/joint capsule

32
New cards

Where can you find Elastic CT?

walls of large arteries, bronchial tubes, within ligaments associated with the vertebral column

33
New cards

Where can you find Hyaline Cartilage CT?

most of the embryonic skeleton, costal cartilages of ribs

34
New cards

Where can you find Elastic Cartilage CT?

External ear and epiglottis

35
New cards

Where can you find Fibrocartilage CT?

Intervertebral discs, pubic symphysis, discs of knee joint

36
New cards

Where can you find Bone CT?

Bones lol

37
New cards

Where can you find Blood CT?

contained within the blood vessels

38
New cards

What kind of muscle is this?

Skeletal muscle

<p>Skeletal muscle</p>
39
New cards

What kind of muscle is this?

Cardiac muscle

<p>Cardiac muscle</p>
40
New cards

What kind of muscle is this?

Smooth muscle

<p>Smooth muscle</p>
41
New cards

What kind of tissue is this?

nervous tissue

<p>nervous tissue</p>
42
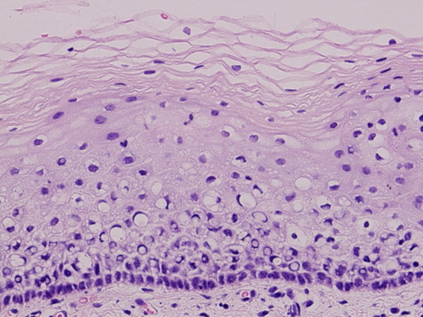
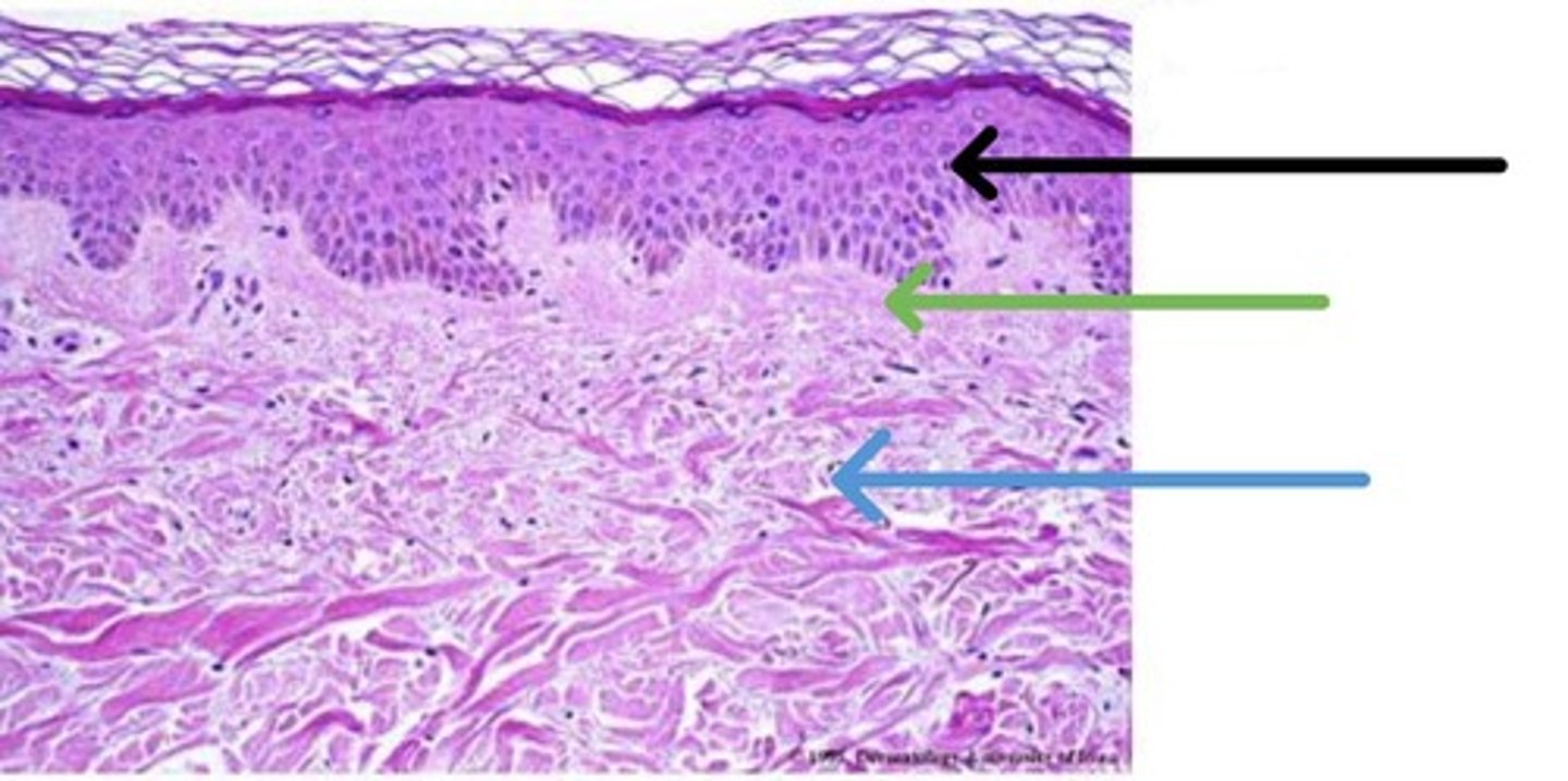
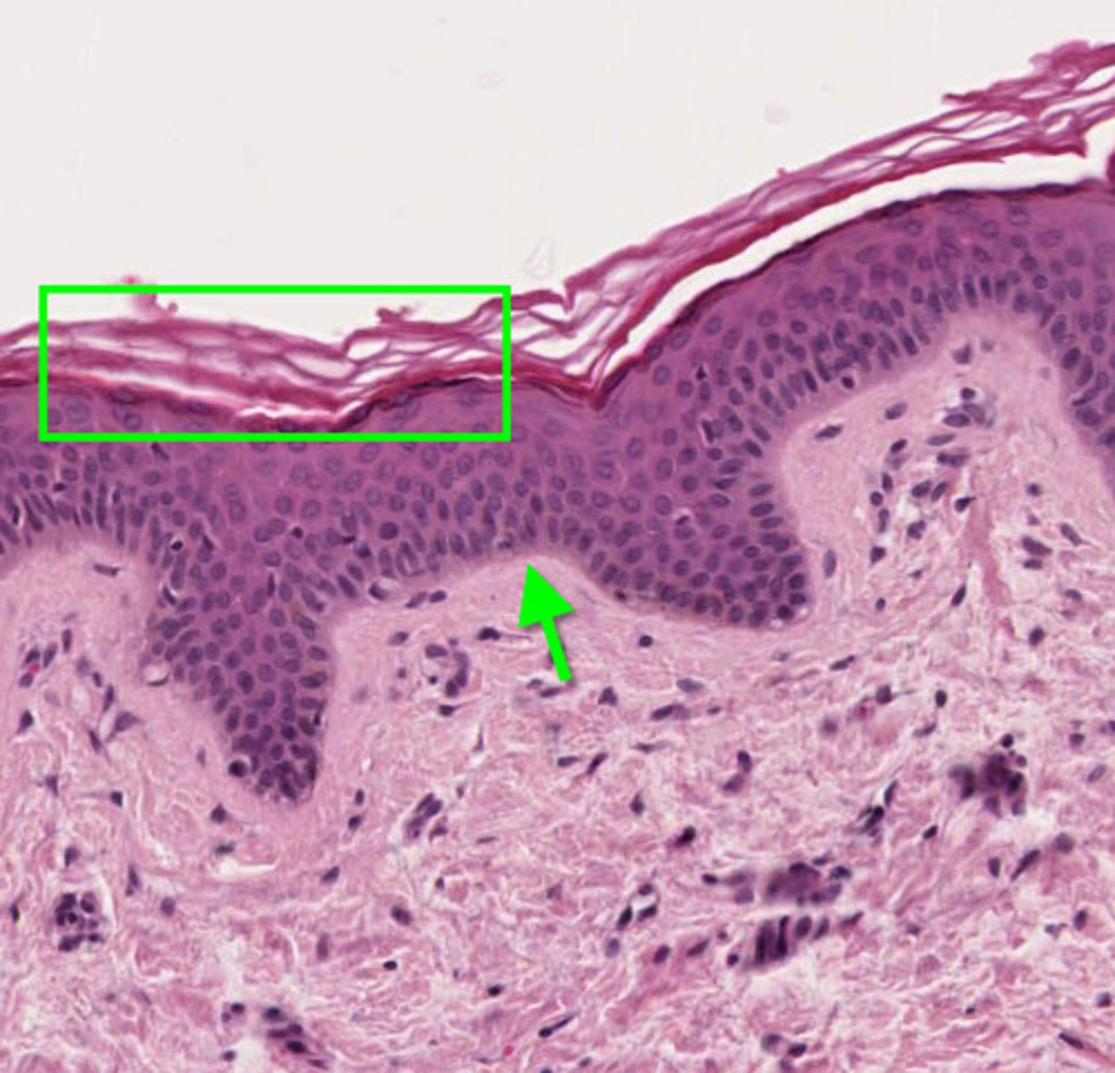
New cards

What layer of the skin is this? (arrow)

Epidermis

<p>Epidermis</p>
43
New cards

What layer of the skin is this? (green arrow)

Dermis

<p>Dermis</p>
44
New cards

What layer of the skin is this?

Reticular layer

<p>Reticular layer</p>
45
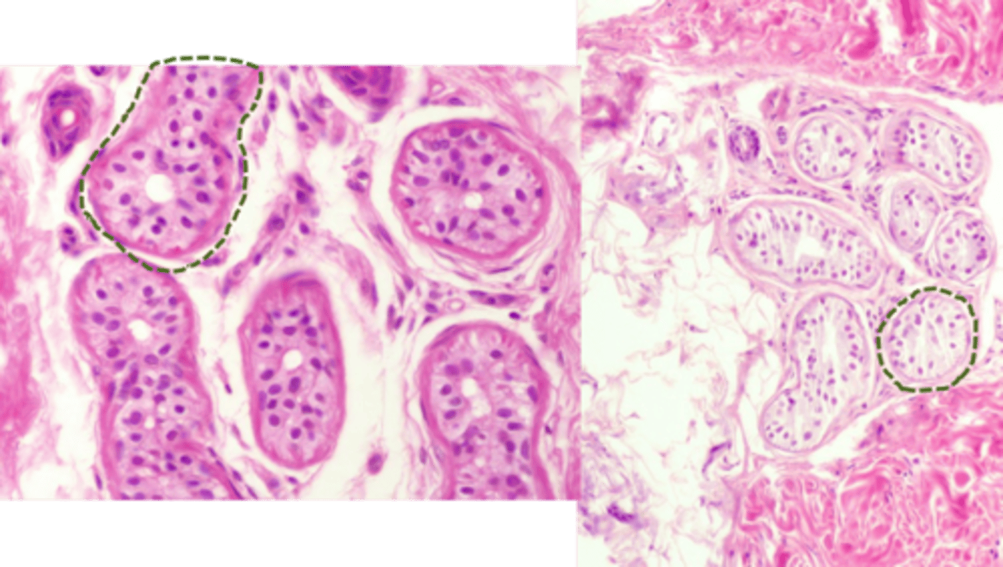
New cards

What gland is this? (center)

Sebaceous

<p>Sebaceous</p>
46
New cards

What gland is this?

Eccrine

<p>Eccrine</p>
47
New cards

What happens during the diabetic foot care test?

The doctor will use a soft nylon fiber (a monofilament) to gently touch different areas of your feet and toes. You tell them if you can feel the sensation.

48
New cards

What is the Fitzpatrick skin score?

a classification system used by dermatologists to determine how different skin types react to ultraviolet (UV) light.

49
New cards

How is the Fitzpatrick skin score used regarding skin cancer?

Individuals with lower scores (Types I and II) have less melanin, offering minimal natural protection from the sun's UV radiation. This puts them at a higher risk for sunburn, sun damage, and skin cancers. While people with higher scores (Types V and VI) have a lower risk of sunburn, they are not immune to sun damage and can still develop skin cancer.

50
New cards