1/52
HS 1300 Dr.McWatt UWO Objectives: Explain basics of bone development, structure, and function, use terminology to identify bony features and use them in surface palpation, describe basic features + func. of different types of joints, name/describe major components of the axial and appendicular skeletons, discuss clinical implications of exercise, aging, injury on skeletal system
Name | Mastery | Learn | Test | Matching | Spaced | Call with Kai |
|---|
No analytics yet
Send a link to your students to track their progress

What are the 3 parts of the muscular system?
Muscles, Tendons, Motor unit
What are the 4 func. of the muscular system?
skeletal MOVEMENT
maintain POSTURE + position
Opening/closing of ORIFICES
Maintaining HOMESTASIS

What are the 3 parts of the skeletal system?
Bones, Ligaments, Cartilage
What are the 5 func. of the skeletal system?
Support
Protection
Force translation (facilitates movement)
Blood cell production
Mineral storage

What are the 5 major components of the AXIAL skeleton?
Skull and Mandible
Hyoid bone
Vertebral column
Ribs
Sternum


What are the 3 major components of the APPENDICULAR skeleton?
Pectoral girdle
Pelvic girdle
Bones of upper and lower limbs

When do bones start developing and for how long?
They start as clusters of cells and then develop into bones
They start developing at the 6 WEEK GESTATION period and continue to develop until 20 years of age.

What happens to the bone at the before “birth” part of the timeline?
The bone starts to form a blood supply to the main shaft
As this happens, bone starts to develop in this area with helps it grow

What happens during the “birth” phase of the timeline (second ossification center)?
Main part of the bone is growing as well as the secondary site of the bone


Epiphyseal plates
A separation between the main part and secondary part of the bone
Literally means “Outside of growth” : Growth outside of the original bone
These close and create epiphyseal lines

What cells are responsible for bone production?
Osteoblasts
Which cells are responsible for bone absorption?
Osteoclasts
What has more bone production/absorption throughout life:
birth
adolescence
middle age and old age
more osteoblasts than osteoclasts
same amount of osteoblasts and osteoclasts
more osteoclasts than osteoblasts
Impact of aging on bones
loss of bone mass (decrease in calcium)
Increased brittleness (decrease in collagen synthesis)
True or false: Women have higher rate of osteoporosis
True
What is osteoporosis?
Opening of many pores in the bone tissue
Osteoclasts are upregulating (over absorption)
What can promote bone growth and reduce bone loss?
Physical activity; mechanical stress

What are the two types of fractures? Describe them
Simple fracture: Just bone
Compound fracture: Bone pierces into skin


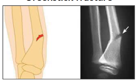
What type of fracture is this?
Greenstick fracture
Prone in young children

What type of fracture is this?
Epiphyseal fracture
more common in younger age

What type of fracture is this?
Spiral fracture
more common in younger age

What type of fracture is this?
Depressed fracture
common in middle/older age

What type of fracture is this?
Compression fracture
common in middle/older age

What type of fracture is this?
Comminuted fracture
Common in older age

Name the type of bone
Long bones
ex. femur
Purpose: Structure and limb mobility

name the type of bone
Short bones
ex. Tarsal bones
Purpose: Support and stability

Name type of bone (this is an ex. of type of bone)
Flat bones
ex. Parietal bone
Purpose: Protection and muscle attachment

Name type of bone
Sesamoid bones
ex. patella
Purpose: Tendon protection and efficiency

Name type of bone
Irregular bones
ex. vertebrae
Purpose: Muscle attachment and protection

Name the articulation
Facet

name the articulation
Condyle

name type of articulation
Fossa

Name type of articulation
Head

name attachment
Process: an outgrowth or projection

name attachment
Left: Epicondyle (projection above condyle)
Right: Tuberosity (rough projection)

name attachment
Top: Trochanter (Large blunt elevation)
Bottom: Line (Linear elevated ridge)

Name the pathway
Foramen (opening or hole)

name the pathway
Left: Notch (Indentation on edge of bone)
Right: Groove (Elongated depression)

name the pathway
Meatus (canal)

name the pathway
Orange: Fissure (Natural division or crevice)
Green: Sinus (Sac or cavity)

What are the 2 types of joints? Describe both
Solid joints: Very stable, don’t facilitate any movement
Synovial joints: Allow for huge amounts of movement
Name the 2 types of solid joints, describe them
Fibrous: Fixed joints (don’t allow movement)
Cartilaginous: Small amount of movement (v stable)

Does joint articulation lead to arthrosis or arthritis?
Arthrosis

Label the 3 parts of the synovial joint
Left: Articular cartilage (hyalin)
Right top: Synovial Cavity ( filled w/ synovial fluid)
Right bottom: Joint capsule (fibrous and synovial membrane)

What are the three BIAXIAL classifications of synovial joints?
Planar (top)
Saddle (left)
Condyloid (right)

What are the 2 UNIAXIAL classifications of synovial joints?
Left: Pivot
Right: Hinge

What is the 1 multiaxial classifications of synovial joints?
Ball and socket

What are the 2 parts of the skull? How many bones does the skull have?
22 bones
Neurocranium (8)
Viscerocranium (14)

Parts of the neurocranium
Function: holds the brain
Frontal
Parietal
Temporal
Occipital
Ethmoid
Sphenoid
(FPTOES)


Name the cranial sutures
Lamoid suture
Sagittal suture
Coronal suture
Squamoid suture


Parts of the viscerocranium
Maxilla (2)
Nasal (2)
Lacrimal (2)
Inferior nasal conchae (2)
Vomer
Zygomatic (2)
Mandible (1)
Palatine (2)


Name the 5 parts of the spinal column
Consists of 24 vertebrae
Cervical C1-C7
Thoracic T1-T12
Lumbar L1-L5
Sacrum (5 fused vertebrae)
Coccyx (3-5 fused vertebrae)


General Vertebrae anatomy - label
