Periodontal Ligament, Cementum, and Alveolar Bone

0.0(0)
studied byStudied by 0 people
0.0(0)
full-widthCall with Kai
GameKnowt Play
New
learnLearn
examPractice Test
spaced repetitionSpaced Repetition
heart puzzleMatch
flashcardsFlashcards
Card Sorting

1/50

encourage image

There's no tags or description

Looks like no tags are added yet.

Study Analytics
Name
Mastery
Learn
Test
Matching
Spaced

No study sessions yet.

51 Terms

1
New cards

What layers makes up the attachment apparatus?

periodontal ligament, cementum, alveolar bone

2
New cards

What is the periodontal ligament?

ligaments that surround the teeth

3
New cards

What are the functions of the periodontal ligament? (7)

absorbs excess pressure from grinding

allow teeth to float in bony cavity

Supportive

Sensory (pain, pressure)

Nutritive (transport of nutrients)

Formative (formation and maintenance of fibrous and calcified tissue)

Resorptive

4
New cards

Where is the periodontal ligament located and what is its size?

apical to JE, 0.15-0.25 mm wide

5
New cards

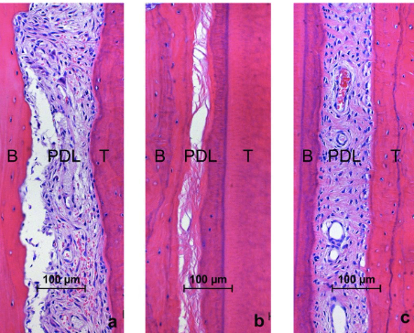
Describe the histologic view of PDL space (purple in picture)

Fibers are not elastic, but elongate with pressure exerted on tooth

Wavy configuration

<p>Fibers are not elastic, but elongate with pressure exerted on tooth</p><p>Wavy configuration</p>
6
New cards

What is the composition of PDL space?

fibers (Those attached to bone and cementum (principal fiber groups))

ground substance, cells

7
New cards

Describe the fibers of the PDL space

heavy fibers that form the basic structure of the periodontal ligament

collagen fibers that have great resistance to forces exerted on teeth (occlusal, proximal, facial/lingual)

8
New cards

What are the types of principal fiber groups?

alveolar crest, horizontal, oblique, apical, interradicular, transseptal

9
New cards

Describe the alveolar crest fibers

Run in apical direction

Counterbalance coronal thrust

<p>Run in apical direction</p><p>Counterbalance coronal thrust</p>
10
New cards

Describe the horizontal fibers

Horizontal direction

Resist lateral pressures

<p>Horizontal direction</p><p>Resist lateral pressures</p>
11
New cards

Describe the oblique fibers

Cover 80-85% of cemental surface

Run obliquely

Bear vertical/ apical forces; chewing forces

<p>Cover 80-85% of cemental surface</p><p>Run obliquely</p><p>Bear vertical/ apical forces; chewing forces</p>
12
New cards

Describe the apical fibers

At apex of root

Resist tilting forces

<p>At apex of root</p><p>Resist tilting forces</p>
13
New cards

Describe interradicular fibers

only in multi-rooted teeth, between the fibers (In furcations)

Resist tilting forces

<p>only in multi-rooted teeth, between the fibers (In furcations)</p><p>Resist tilting forces</p>
14
New cards

Describe the transseptal fibers (extend, imbed, function, considered)

Extend over the alveolar bone crest interproximally

Imbedded into cementum of adjacent teeth to form an interdental ligament

Function to maintain properly aligned teeth and preserve contacts

Considered to be part of the gingival tissues as no osseous attachment

15
New cards

What is the overall function of the PDL fiber groups?

Helps maintain varied forces, for optimal resistance and bone protection

Fibers transform forces into evenly distributed tension on the bone

16
New cards

What are sharpey's fibers and their function?

anchor fibers

Terminal ends of principal fibers (in bone and cementum) outer surface becomes calcified as cementum and bone are formed

Help maintain support because of attachment in bone and cementum

<p>anchor fibers </p><p>Terminal ends of principal fibers (in bone and cementum) outer surface becomes calcified as cementum and bone are formed</p><p>Help maintain support because of attachment in bone and cementum</p>
17
New cards

How to blood vessels enter the PDL?

from apex of tooth or bone

18
New cards

What is true when PDL is not intact?

continuous deposition of cementum and bone are not possible

19
New cards

What are the types of cells within the PDL space?

Fibroblasts: both "blast" and "clast" activity

Cementoblasts/clasts

Osteoblasts/clasts

20
New cards

What is the width of the PDL? How does it change over time?

Hourglass shape --> narrow at center of root, thinnest near the middle of the root

mesial thinner than distal

width decreases with age, always remodeling

21
New cards

What is the width of the PDL affected by?

whether or not the tooth is in function/in normal use

not in function: thinner PDL, disorganized

over function: thick/wide PDL

22
New cards

What causes the destruction of PDL? (5)

1. loss of antagonist tooth (not in function)

2. occlusal trauma (over function)

3. periodontal disease

4. recession

5. orthodontic forces

23
New cards

Identify cementum

knowt flashcard image
24
New cards

What are the characteristics of cementum? (attachment, color, hardness, types, nutrients)

Overlies and attaches to dentin on the root

Yellow in color

Softer than dentin and enamel --> "bone-like"

2 types:

cellular

acellular

Nutrients from PDL

25
New cards

What are the functions of cementum? (3)

Anchor for Sharpey's fibers (attachment apparatus)

Covers dentin

Compensates for tooth wear and continual eruption

26
New cards

What is the composition of cementum? (%)

50-55 % = organic (fibers and cells)

45-50% = inorganic (hydroxyapatite crystals)

27
New cards

What is the organic fiber content of the cementum?

sharpey's fibers and fibers of the cementum

28
New cards

What is the organic cell content of the cementum?

cementoblasts (forms)

cementoclasts (destroys)

29
New cards

Where is cementum thinnest and what is the width like?

thinnest at CEJ with increasing thickness toward the apex

width is approximately the thickness of a strand of hair

30
New cards

Describe the cementoenamel junctions?

Less than 15 % - cementum overlaps enamel

33% - cementum and enamel do not meet

52-76% - meet end-to-end

31
New cards

Describe the acellular cementum (location, what is it made of, width, what makes it acellular)

located on coronal half

made of mainly sharpey's fibers

thinner and more calcified

no cementocytes which make it acellular

width does not increase with age

32
New cards

Describe the cellular cementum (location, what is it made of, width, what makes it cellular)

located on apical half

made of less Sharpey's fibers

thicker and less calcified

cementocytes present which make it cellular

width does increase with age

33
New cards

What is deposition in regards to cementum?

formation of cementum on root surface (blast cells)

purple is arrest lines that occur in intervals

only adjacent to vital connective tissue

<p>formation of cementum on root surface (blast cells)</p><p>purple is arrest lines that occur in intervals</p><p>only adjacent to vital connective tissue</p>
34
New cards

What is the purpose of deposition?

Compensates for tooth eruption

Maintains PDL space

Repair, over lifetime

35
New cards

What is resorption in regards to cementum?

removal of cementum on root surfaces (clast cells)

located in microscopic concavities, usually apical third; clast-cell activity (so- in PDL space)

36
New cards

What is affected by cementum resorption? Describe the process

mostly cementum affected, but dentin could be affected as well

Generally a localized process

Painless

Not a continuous process, but

alternates with repair

37
New cards

What are the causes of cementum resorption? (6)

Occlusal trauma

Orthodontic movement

Malaligned erupting teeth

Cysts/ tumors

Replanted teeth

Periodontal disease

38
New cards

What are the clinical considerations associated with cementum?

1. Exposed cementum - hypersensitivity (recession can lead to this)

2. Periodontal disease process destroys attachment and alters cementum

3. Toothbrush abrasion causes exposed cementum resulting in cemental caries

39
New cards

What are the functions of the alveolar process?

Supports entire dentition

Pathway for nutrients

Deposition to compensate for continuous tooth eruption and wear

40
New cards

What is alveoli?

spaces where root fit in

41
New cards

What is the alveolar bone/process made of? Located?

all bone

alveolar bone proper is adjacent to the root

42
New cards

What are other names for the alveolar bone proper?

cribriform plate

lamina dura (on radiographs)

43
New cards

What is the supporting alveolar bone?

all other bone

includes:

1. cortical plates/bone (compact)

2. trabeculae --> cancellous bone, spongy

44
New cards

What is the occlusal function? (forces being exerted)

affects thickness of cancellous bone

increase occlusal function, increase density and vice versa

45
New cards

What is the periosteum?

can't see clinically, covers cortical plate

dense, fibrous CT that attaches gingiva to bone and contains osteoblasts

highly vascular

46
New cards

What is the organic composition of bone?

35% of composition

fibers: collagen (resist tension, provide support)

cells: osteoblasts, osteoclasts, osteocytes

47
New cards

What is the inorganic composition of bone?

hydroxyapatite (calcium, phosphate)

48
New cards

What is the morphology (shape) of bone?

follows position of tooth contacts and contour of roots (influenced by tooth contacts and alignment)

anteriors - peaked

posteriors - blunted

Gingiva follows shape of bone

49
New cards

What is the height of alveolar crest?

height is 1-2 mm apical to cej (normal)

50
New cards

Describe bone loss

Initial bone changes shows crest of bone as fuzzy, not a definite shape

vertical bone loss

horizontal bone loss

<p>Initial bone changes shows crest of bone as fuzzy, not a definite shape</p><p>vertical bone loss</p><p>horizontal bone loss</p>
51
New cards

What are the bony defects?

dehiscence: cleft in bone

fenestration: hole or window in bone