1/84
Looks like no tags are added yet.
Name | Mastery | Learn | Test | Matching | Spaced | Call with Kai |
|---|
No analytics yet
Send a link to your students to track their progress
requirements of tooth-supported crown restoration
prepare tooth to achieve appropriate taper/retention
prepare distinct margin/finish line
preparation of margin for tooth-supported crown restoration
margin and preparation should be clean/dry and visible during impression making
control for bleeding/fluid
what type of material and tray should you use for tooth-supported crown restoration
use LB impression material to capture fine details and RB/HB tray material
full arch/section/triple tray may be used
for an implant-supported restoration no ___________ is necessary comparing to a tooth-supported restoration
preparation
requirements of implant supported restoration impressioin
well-defined margin- implant platform
high precision prefabricated components conencted to the implant and use for impression making
no tissue covering the platform
may need x-ray to evaluate impresison coping fit
impression coping will capture implant position and depth/angulation/margin details, what do you do after this
transfer the information to the master cast
impression material and tray to use for implant-supported restoration
ONLY RB/HB impression material
always use full arch tray
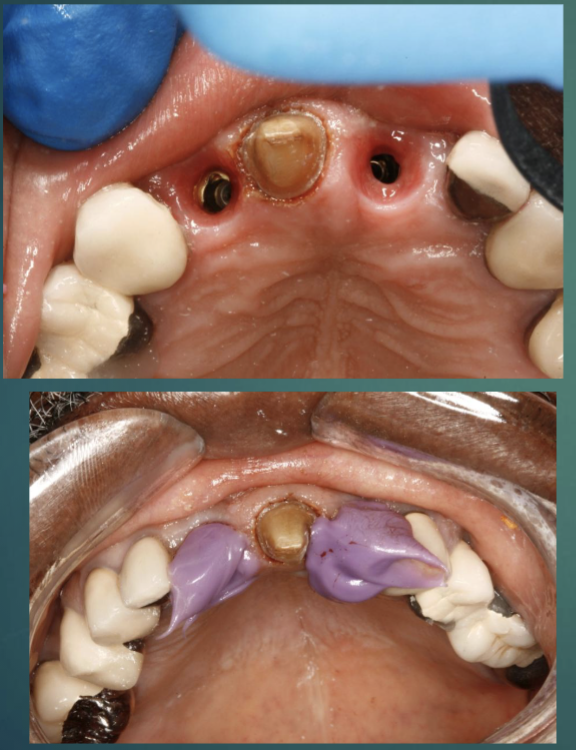
when you remove the healing abutment to place the impression coping, why do you have to do this quickly
tissue will collapse if you wait more than 5 min
what cna you use on tissue if it is sensitive
topical
how to connect the impression coping
hand tighten guide pin to secure coping to the implant
NEVER use hand wrench to tighten the guide pin
make sure the impression coping is firmly connected w no mobility

always use a ________________ tray for implant impressions, even for single units
full arch tray

2 impression techniques
open tray
closed tray
a window is made in the impression tray in the area of the implants
open tray technique
impression tray is covering teeth and implants
closed tray impression technique

open tray impression
impression procedure set up for open tray technique
connect impression coping to the implant using the guide pin and hand tighten
check coping is engaged
PA to verify if needed
make window in impression tray to access guide pin and try in
cover window w wax sheet/rope wax and reposition tray to identify position of guide pin
w the conical internal connection you don’t need to verify seating of impression coping w …
a PA
impression procedure for open tray technique
apply RB/HB impression material in impression tray
use mixing gun and inject RB/HB impression material around coping and adjacent teeth
for the open tray technique, no need to use ___ impression material
LB
when you seat the tray and allow the impression material to set, do you want to identify position of the guide pin and unscrew th eguide pin before or after removing the tray
BEFORE

inspecting the impression
make sure the impression coping is fully embedded in the impression material
no voids in the impression
all important details must be included in the impression

for the open impression technique, the impression copings are ___________ in impression, ALWAYS
picked up
indications for open tray technique
anterior implants, multiunit restorations
disadvantage for open tray technique
difficult to use for impressions in the molar/bicuspid area bc lack of vertical space
advantage of open tray technique
low risk of displacement
vertical clearance required for open tray technique
35-40 mm

in the closed impression technique, what is removed w the impression and what stays in the implant
coping/cap is removed w imression
metal coping stays connected to the implant after impression is removed
coping is then un-screwed from implant and repositioned into impression after tray is removed
impression material used for closed tray technique
same as open tray technique- RB/HB
the impression coping in the closed tray technique can either be ___ or ___ piece component
1 or 2

describe the two piece component in the closed tray technique
metal post w plastic cap
cap is placed onto metal post and will come out in the impression while metal post stays in
metal post is disconnected after the impression is removed

describe the one piece component in the closed tray technique
connect the impression coping to the implant
make a VPS impression of the coping
unscrew and remove coping after impression is done
re-position coping back into impression

in the close tray technique, the snap on/friction fit coping can be used _________ in the mouth
anywhere
in the close tray technique, the snap on/friction fit coping can be used for what type of restorations
single or multi-unit
disadvantage of metal impression coping in closed tray technique
difficult to reposition in impression, could compromise precision in multi-unit fixed prostheses
w the closed tray impression, you always want the lab to reposition the ________ before pouring the impression
impression coping (send copings separate w impression to lab)
vertical clearance needed for closed tray impression technique
10-12 mm

analog/implant replica
what to use for master cast fabrication: is a manufactured that has an internal geometry identical to that of the implant
will be embedded int he master cast and used for the fabrication of the restoration

what is the implant impression/transfer copping used for
transfer information from the pts mouth to the master model

in master cast fabrication, the analog is connected to the impression coping ______ (before/after) the impression is poured
before
is master cast fabrication usually done by the student or lab technician
lab technician
impression is poured in _________
type III yellow stone/die stone
preparation of pouring up closed tray impression
impression coping is connected to the analog using guide pin
impression coping w analog connected is repositioned back into impression

preparation of pouring up open tray impression
impression coping is embedded int VPS material
when connecting the analog to the impression, you MUST hold the analog w your fingers to prevent rotation of coping
ONLY tighten guide pin gently w you fingers

the position of the analog on the cast must be identical to that of…
the implant in the mouth

master cast evaluation
lab will return master cast w full contour wax-up to determine cervical contours occlusion/design
review position and angulation of implant on cast
locate screw access channel
select abutment- screw retained or cement retained

stone model contouring will create an approriate…
emergence profile for the restoration

goals of stone model contouring
to create a natural tooth shape
allow for adequate soft tissue support arounf restoration
facilitate hygiene/improve esthetics

contouring of stone model shoudl allow for ~____ mm soft tissue between implant restoration and adjacent tooth
~1 mm


good emergence profile?
no- they just followed the opening provided by the healing abutment

good emergence profile?
proper emergence profile design
how to do stone model contouring
use pencil to outline profile on model
use carver to remove stone following outline

the lab will make a __________ groove to verify seating of restoration
buccal/lingual

should stone model contouring ALWAYS be done on tissue or bone level implant
bone level implants when fabricating metal abutments/PFM and FGC restorations

what is soft tissue moulage
made of resilient silicone material

when to use soft tissue moulage
ALWAYS needed when fabricating ceramic abutments

soft tissue moulage is removed when…
abutment is scanned for ceramic crown restoration
soft tissue moulage ressembles….
oral mucosa

goals of soft tissue moulage
lab uses to design ideal emergence profile
restoration is fabricated to ideal design/anatomy
restoration will guide/create soft tissue profile after placement


steps of ceramic implant abutment
wax-up the abutment w ideal emergence profile
evaluate wax-up and remove soft tissue moulage
re-connect back onto cast without soft tissue moulage for scanning

impression making check-list closed tray
choose correct impression tray size
connect impression coping, make sure everything seated
verify w radiograph if needed
use RB/HB in tray and over impression coping before seating tray
remove impression, spray, and have QC check
remove impression coping from implant and send w impression to lab, re-connect healing abutment
impressions of opposing arch/occlusal record, and shade selection
ALWAYS send impression to lab with analog for return of master cast model w full contour wax-up/moulage
stone model contouring
return model to lab for completions of restoration

impression making check-list open tray
choose correct impression tray
prepare tray hole and cover w wax
connect impression coping, make sure everything seated
verify w radiograph if needed
use RB/HB in tray and over impression coping before seating tray
unscrew guide pin completely, remove impression, spray, have QC check
impressions of opposing arch/occlusal record, and shade selection
ALWAYS send impression to lab with analog for return of master cast model w full contour wax-up/moulage
stone model contouring
return model to lab for completions of restoration

digital workflow
intraoral scanner
sending electronic STL files to labs for fabrication of implant restorations
emergence profile and design done by lab
restoration sent to you for insertion

reasons for a provisional restoration
protect underlying structures
restore funx/esthetics
oral comfort
prevent tooth migration
evaluate esthetics/function/speech
soft tissue architecture/papilla
ALWAYS required for implants in esthetic zone

steps to successfully fabricate a provisional implant restoration
impression and evaluation
diagnostic wax-up
stone model contouring
duplicate wax up
place and modify provisional abutment
fabrication of restoration
finish restoration
impression and evaluation step of fabricating a provisional implant restoration
make implant level impression using VPS/HB/RB
pour up in die stone or yellow stone
evaluate angulation, position, depth if implant

diagnostic wax-up step in fabricating a provisional implant restoration
send case to lab or i can do waxup
use plastic/wooden stick that fits the inside of the implant analog
modify height and do crown wax up
check/evaluate on cast

stone model contouring step in fabricating a provisional implant restoration
create adequate emergenc eprofile
critical this is done right → will guide the fabrication of the restoration

duplicating wax-up step in fabricating a provisional implant restoration
soak cast for 10-15 min BEFORE making impression
make alginate impression of wax-up and pour yellow stone model
make vacuum form or VPS putty/HB/cinch impression for mold

what type of abutment is used for the provisional crown
provisional abutment- made of titanium and comes w an abutment screw

placing and modifying provisional abutment step in fabricating a provisional implant restoration
secure abutment to cast and modify

fabricating the restoration step in making a provisional implant restoration
secure provisional abutment to analog
seal access channel w cotton pellet or short wodden stick to avoid crown material to cover screw, apply die lube on cast
fill VPS mold/vacuum form w protemp/acrylic resin

clearance needed for abutment
1.5-2 mm

finishing the restoration step in fabricating a provisional implant restoration
remove excess acrylic resin/protemp
fill any voids and do dinal contouring
make sure the restoration is in tight contact w the stone model- emergence profile
check occlusion/proximal contacts
polish to make sure the surface is smooth
provisional crown seat steps
remove healing abutment
apply local anesthetics around implant area
seat crown and hand tighten abutment screw
eval occlusion/proximal contacts, cervical adaptation, esthetics
seal access channel w cotton pellet and ocmposite resin
hygiene instructions
when you seat a provisional implant crown, when would you need to take a PA to eval interface
if you used a metal temporary cylindrical
follow-up apts after seating provisional
bring back in 1-2 weeks to make adjustments is necessary and check occlusion/lateral excursion
have pt back after 6-8 weeks for final restoration
for bone level design, you want to build the restoration from implant level to achieve ideal tooth anatomy and avoid…
avoid spacing between the restoration and the surrounding mucosa

concerns w tissue level design
food impaction between crown and gum tissue
reduced vertical clearance for the restoration
esthetics


steps for final implant restoration- transferring from provisional to final restoration
impression procedure
remove provisional crown(s)
preserve soft tissue architecture
fabricate master cast
master cast
final restoration
impression procedure for transferring from provisional to final restoration
use provisional restoration as impression coping
make VPS HB/RB impression w the provisional crowns seated

removing provisional crown(s) when transferring from provisional to final restoration
clean and disinfect provisional crowns and connect analogs
tighten abutment screws
apply thin layer of wax around the analog- restoration interface
will simplify removal from cast

preserving soft tissue architecture when transferring from provisional to final restoration
inject regisil after removal of provisional restoration(s) to prevent soft tissue from collapsing

fabricating master cast when transferring from provisional to final restoration
re-position provisional restoration in VPS impression
make sure it fits correctly
pour impression using die stone/yellow stone

master cast when transferring from provisional to final restoration
remove provisional crown from stone cast, clean/sterilize before re-seat in pt
evaluate master cast

writing a lab slip for the final restoration must include
implant system and diameter used
clear information about the design of
abutment/restoration
taper
position of finish line
instruction to follow stone model exactly
shade, characterizations