1/62
Looks like no tags are added yet.
Name | Mastery | Learn | Test | Matching | Spaced | Call with Kai |
|---|
No analytics yet
Send a link to your students to track their progress
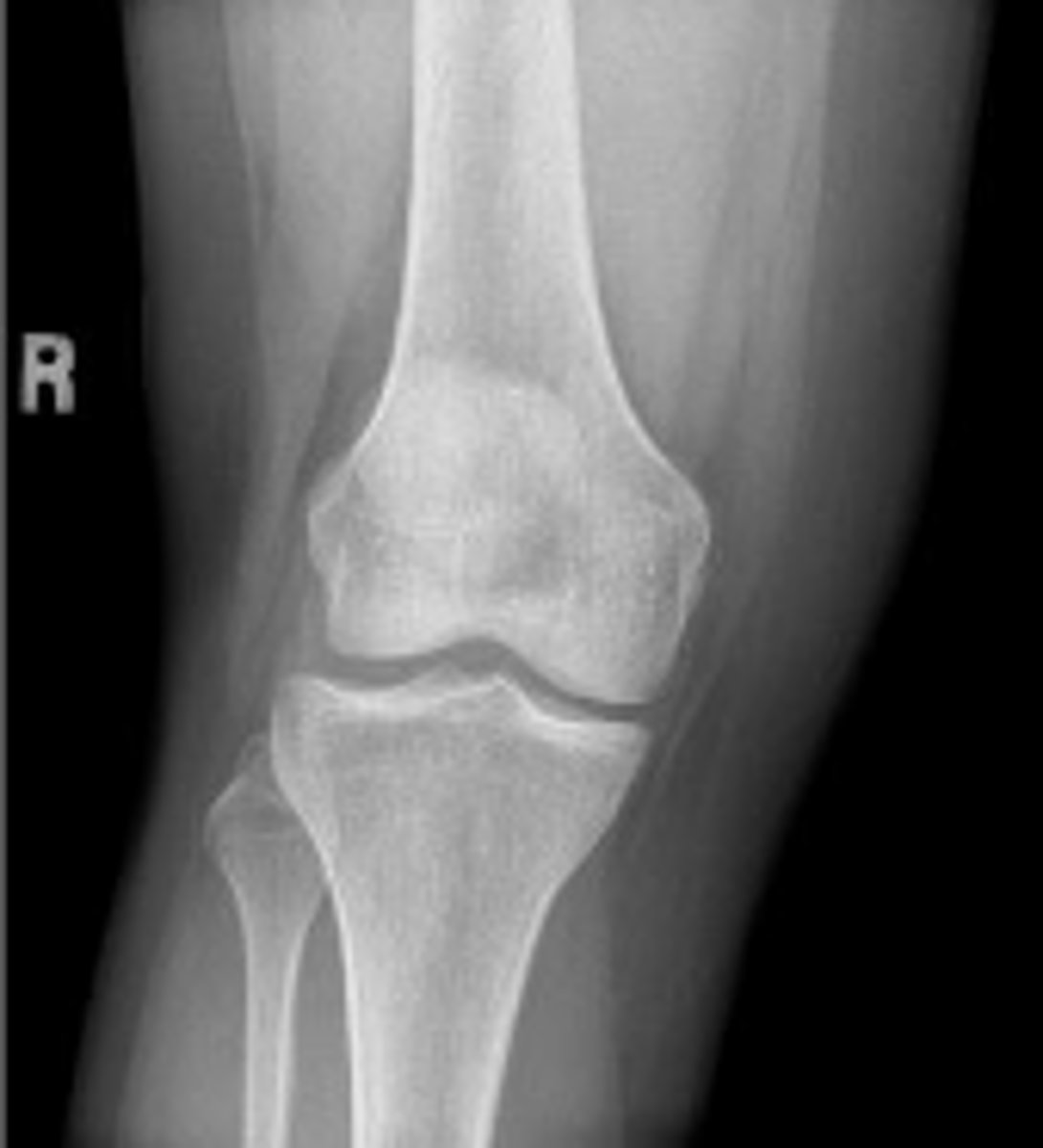
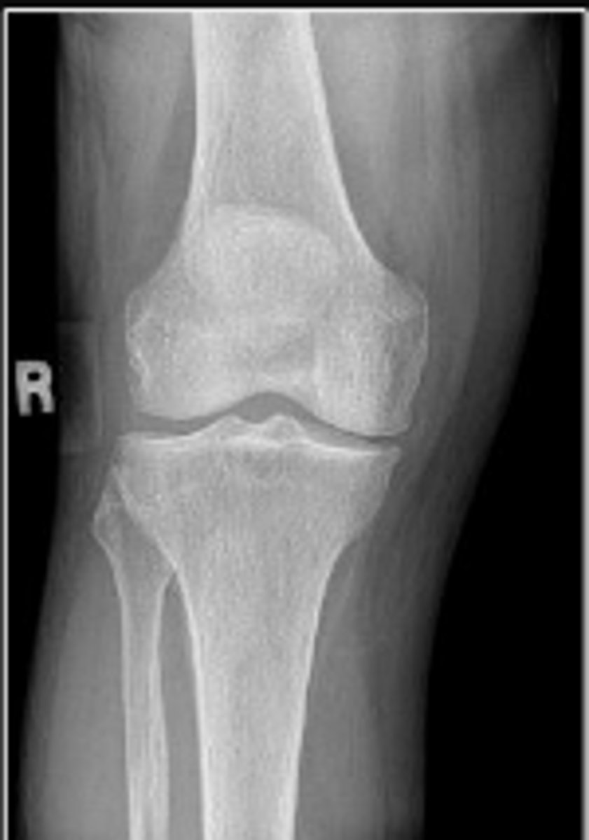
Right AP knee
What is the name of the radiographic view?

Right internal oblique knee
What is the name of the radiographic view?

Right internal oblique knee
What is the name of the radiographic view?

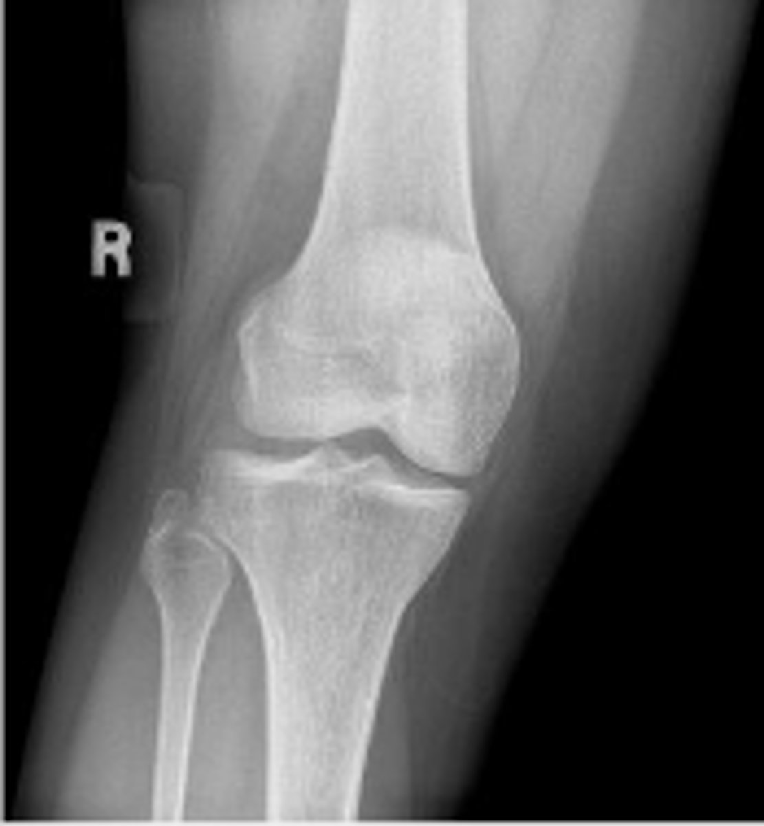
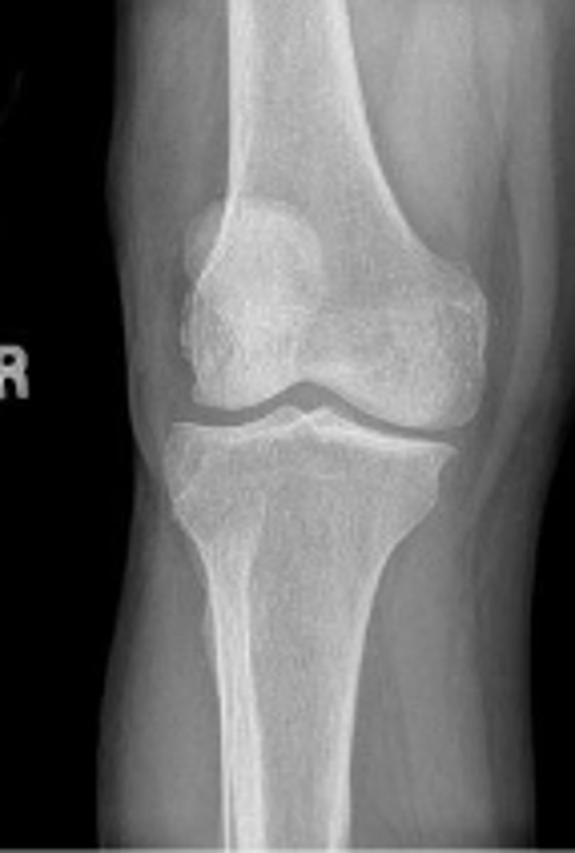
Right AP knee
What is the name of the radiographic view?

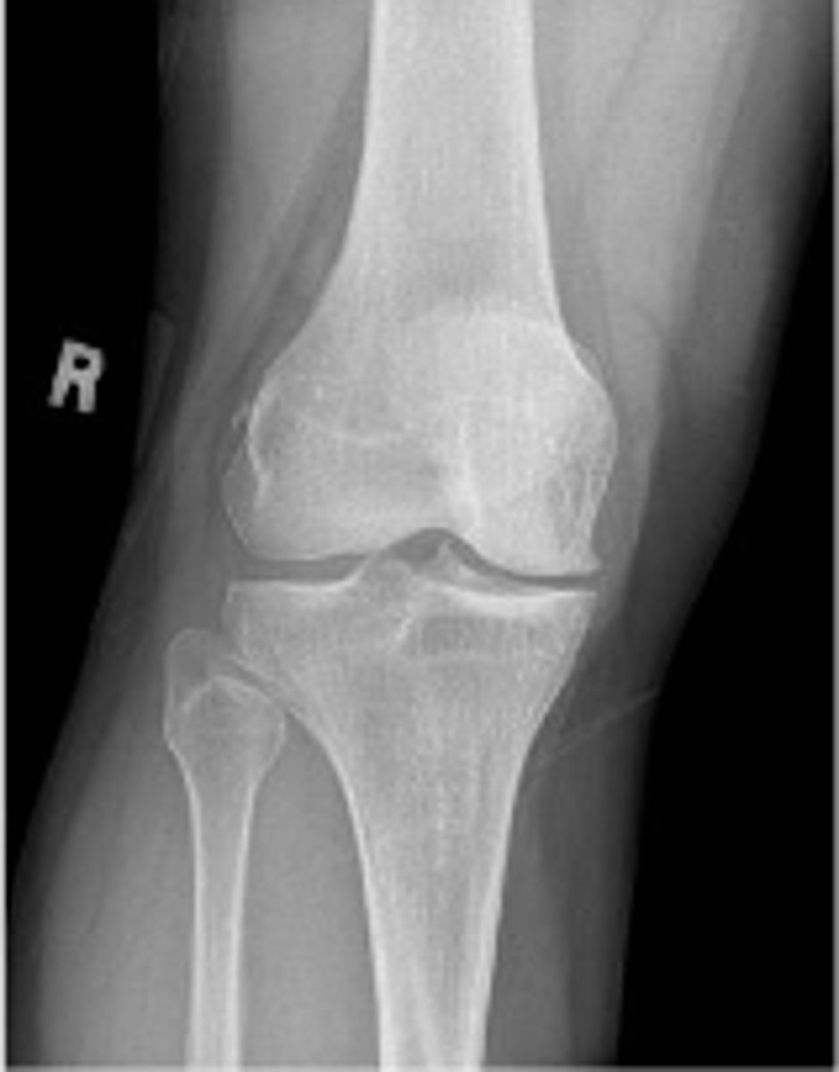
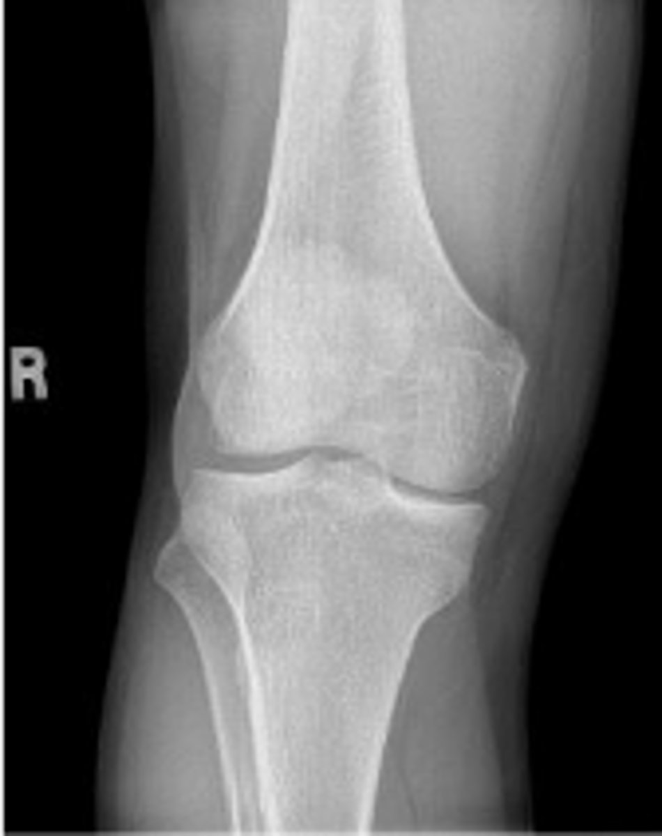
Right AP knee
What is the name of the radiographic view?

Right external oblique knee
What is the name of the radiographic view?

Right external oblique knee
What is the name of the radiographic view?

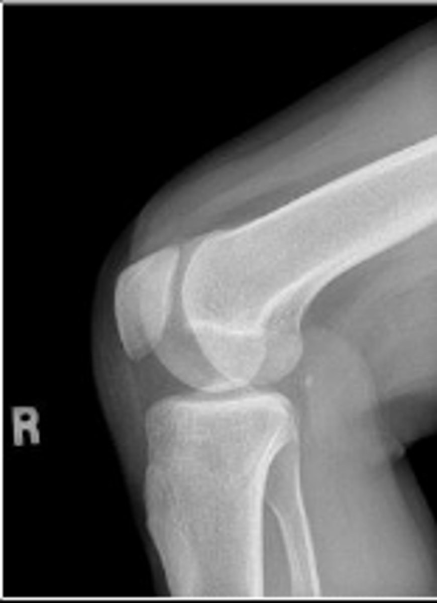
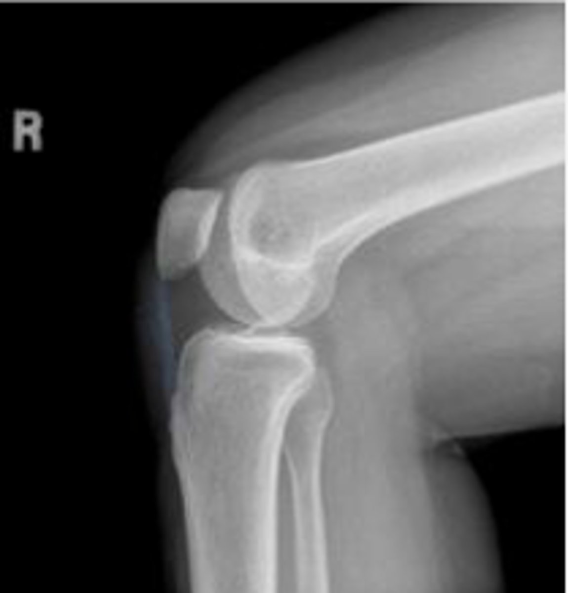
Right lateral knee
What is the name of the radiographic view?

Right patella
What is outlined?

Right patella
What is outlined?

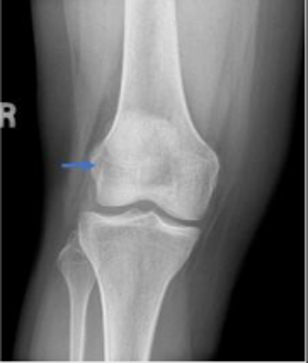
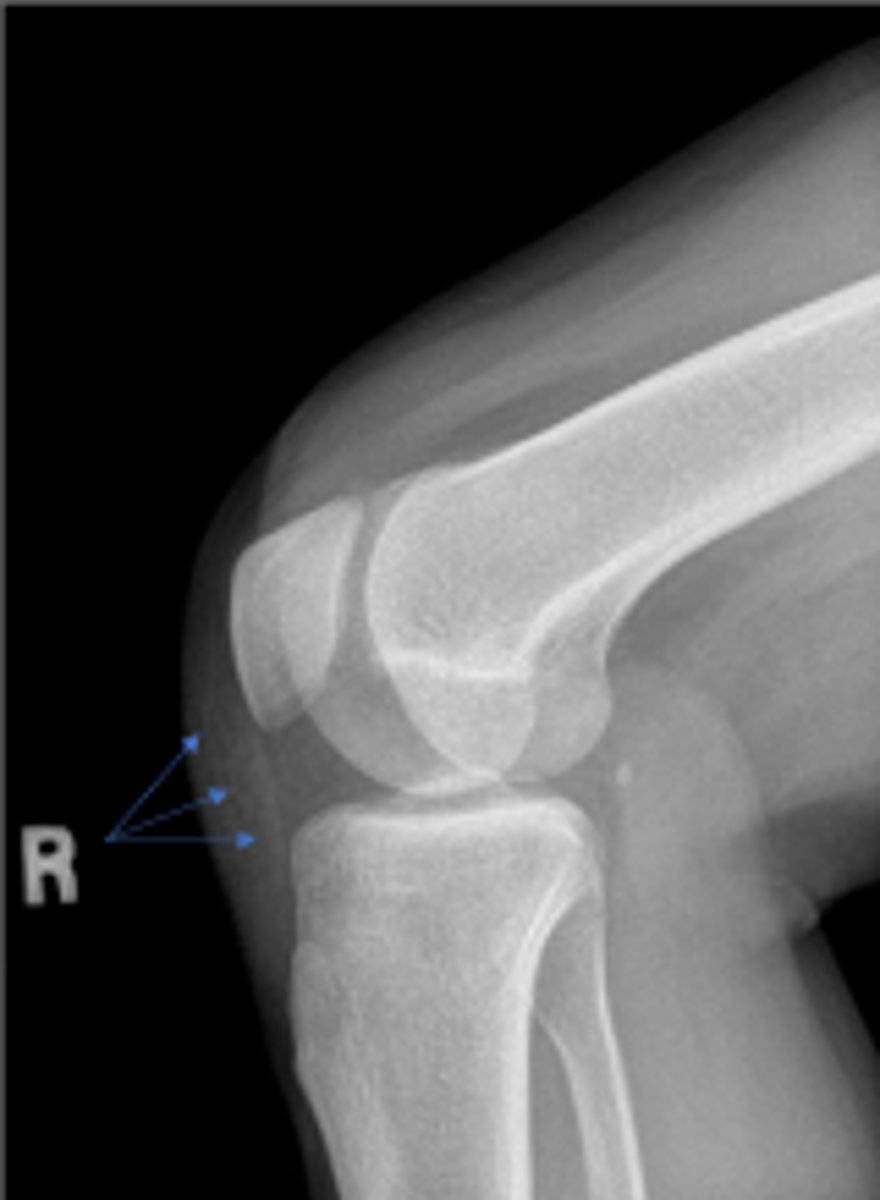
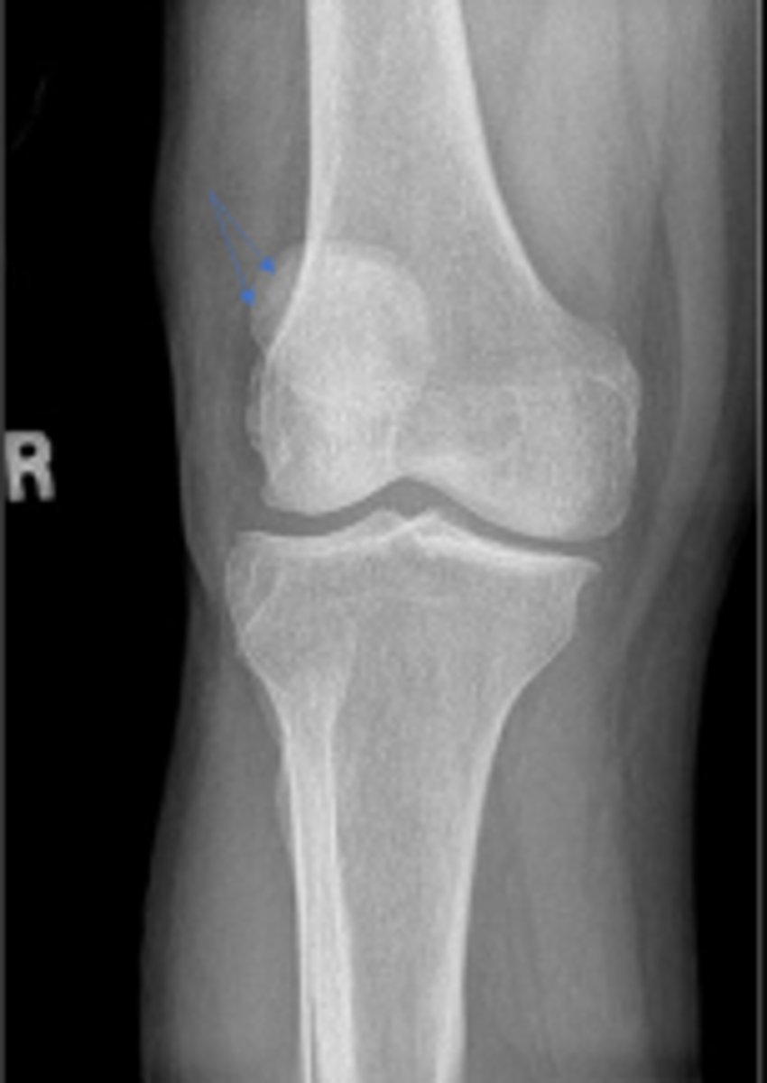
Right adductor tubercle
What tubercle is pointed to by the arrow?

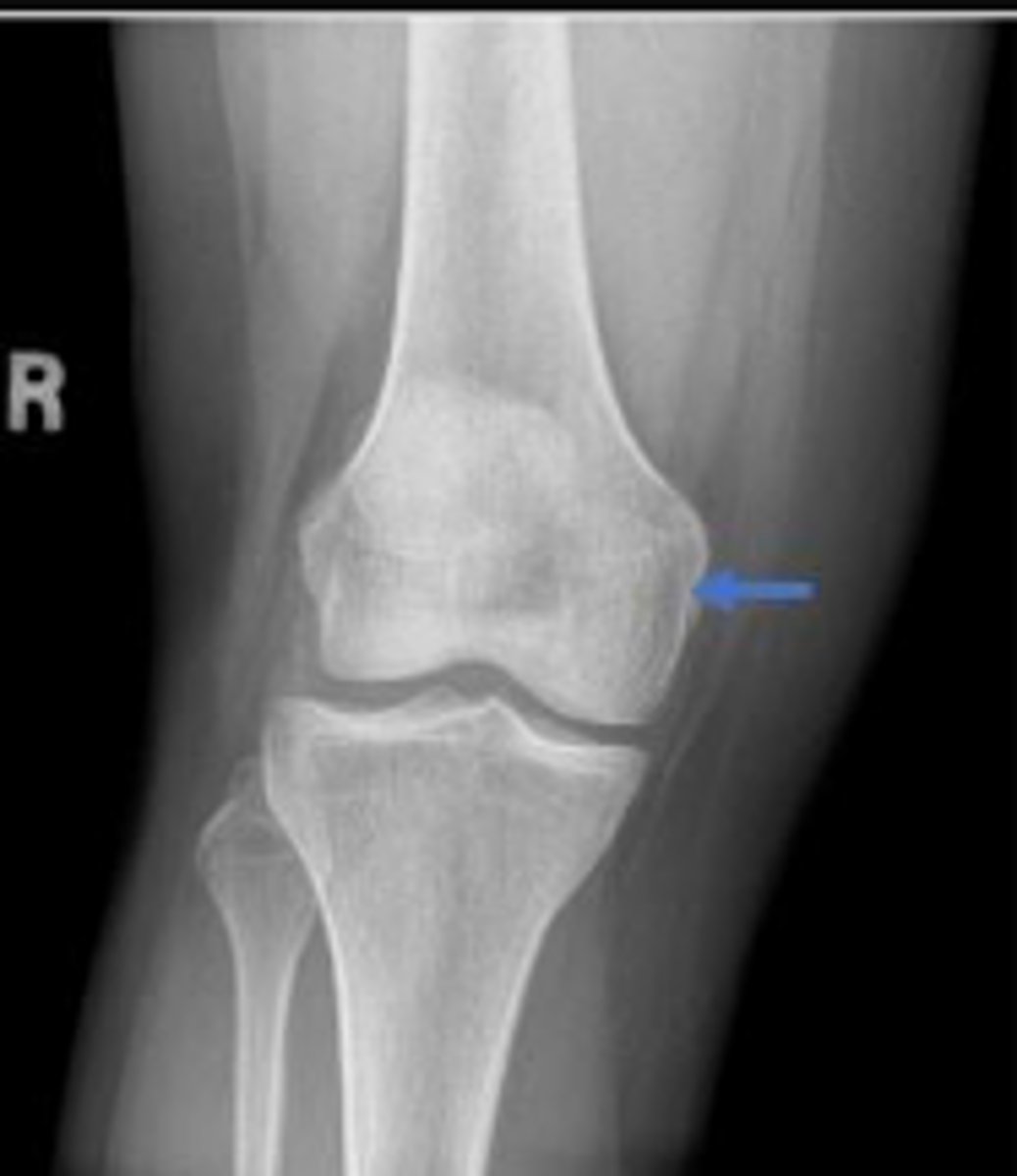
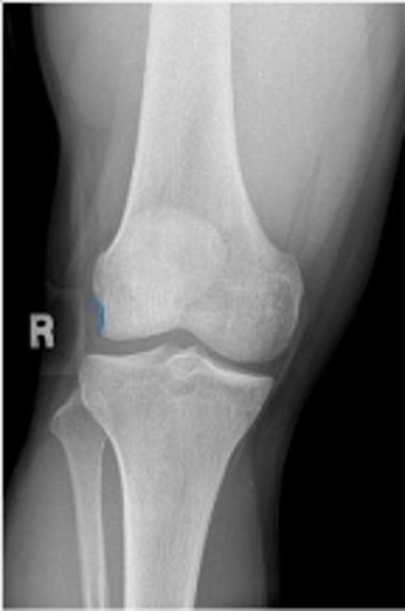
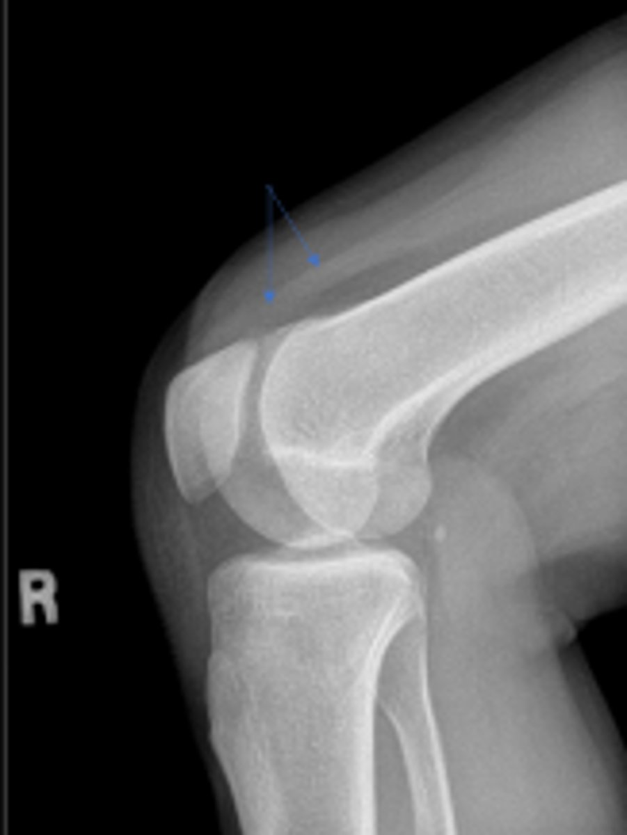
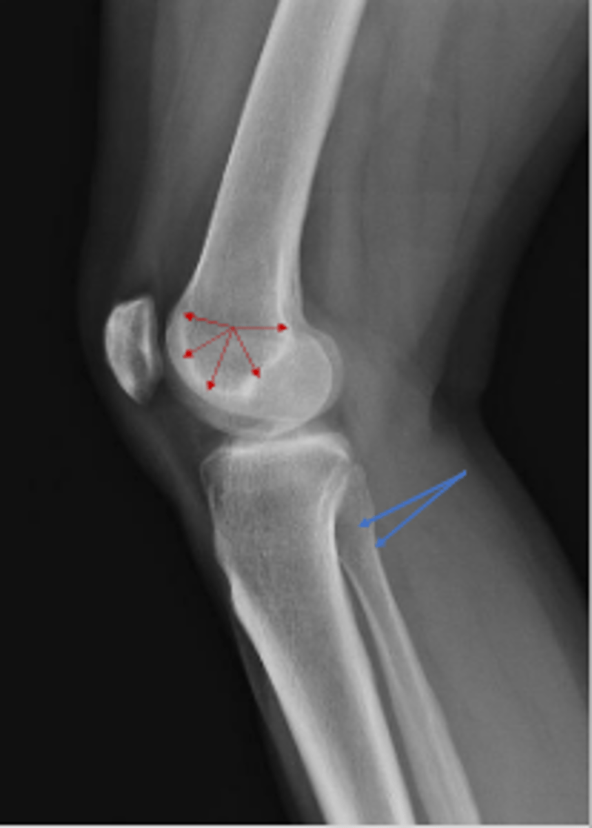
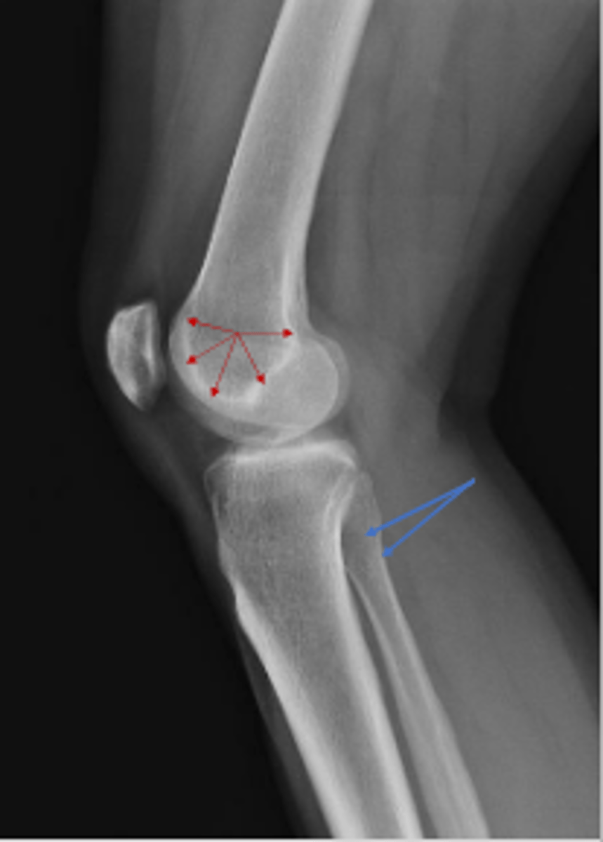
Lateral epicondyle of the right femur
What is the arrow pointing to?

Medial epicondyle of the right femur
What is the arrow pointing to?

Medial condyle of the right femur
What is outlined?

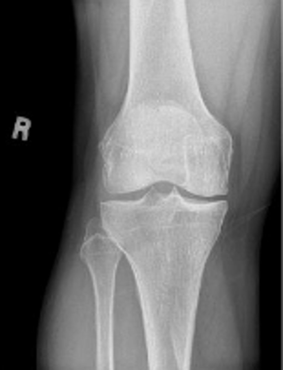
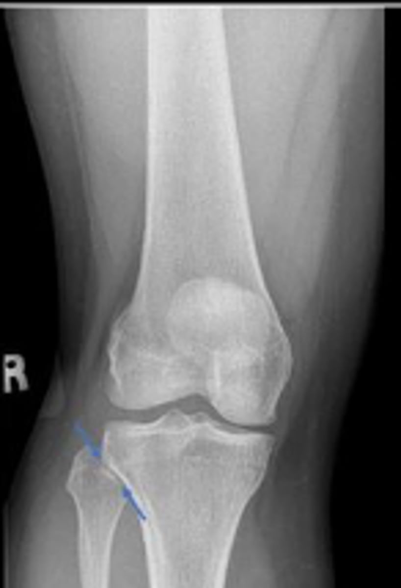
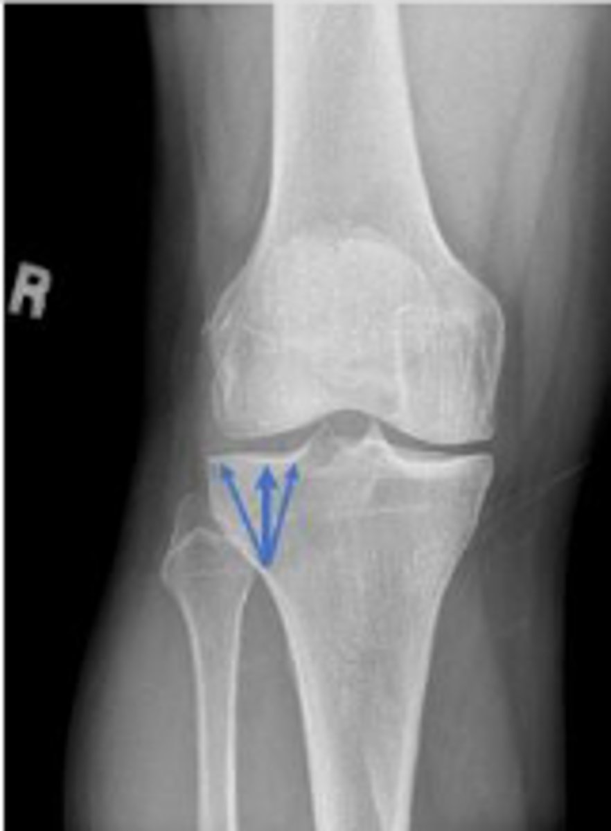
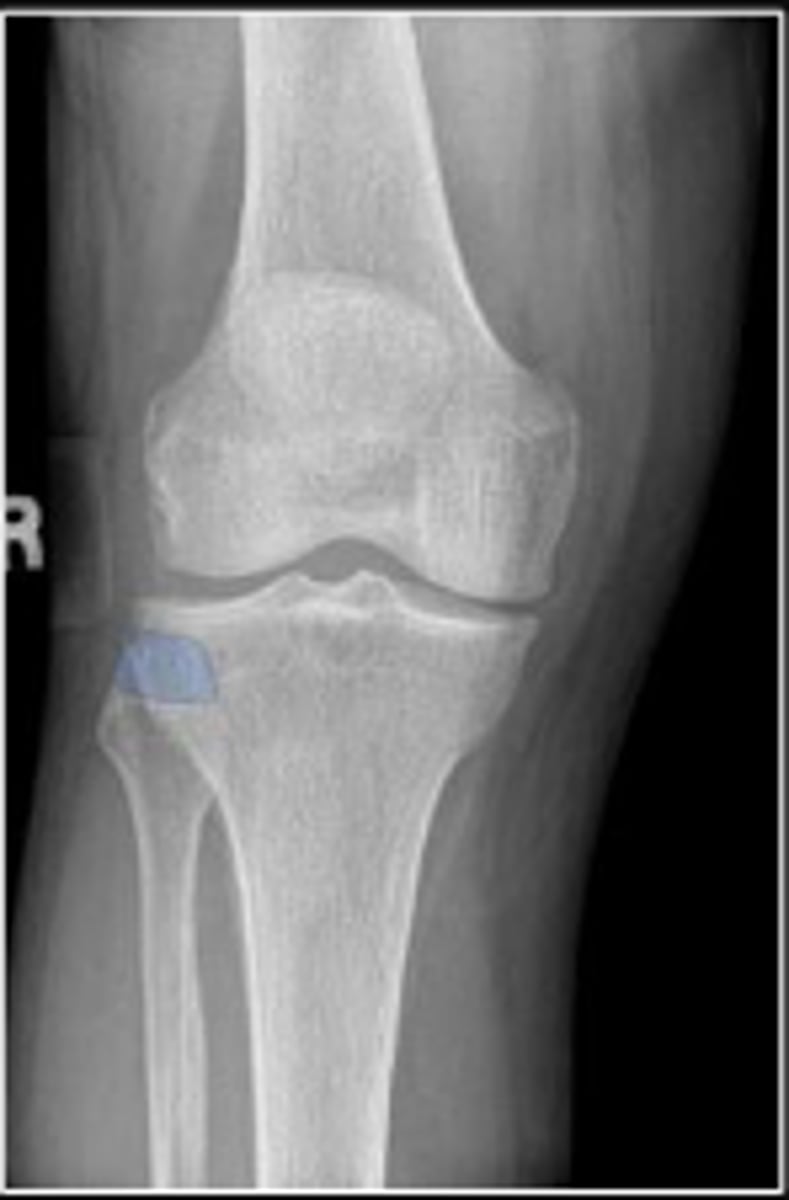
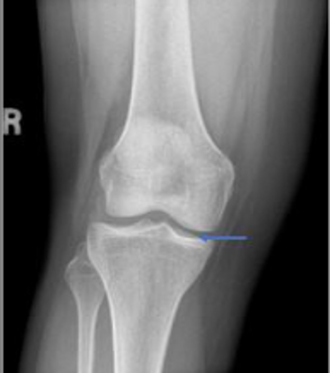
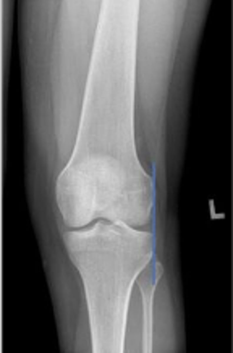
Right proximal tibiofibular joint space
What space are the arrows pointing to?

Right proximal tibiofibular joint space
What space are the arrows pointing to?

No
Is the anatomical marker placed in the correct location?

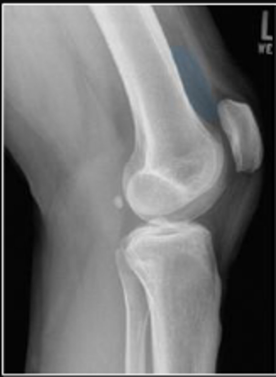
Popliteal groove of the right femur
What area is outlined?

Lateral condyle of the right femur
What is outlined?

Intercondylar fossa/notch of the right femur
What is outlined?

Lateral tibial spine/eminence
What is outlined?

Medial tibial spine/eminence
What is outlined?

Lateral tibial plateau of the right knee
What is outlined?

Lateral tibial condyle of the right knee
What is outlined?

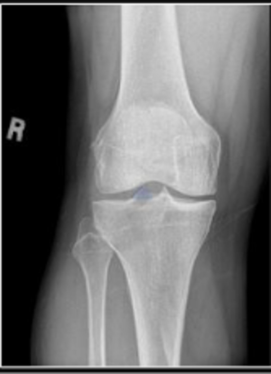
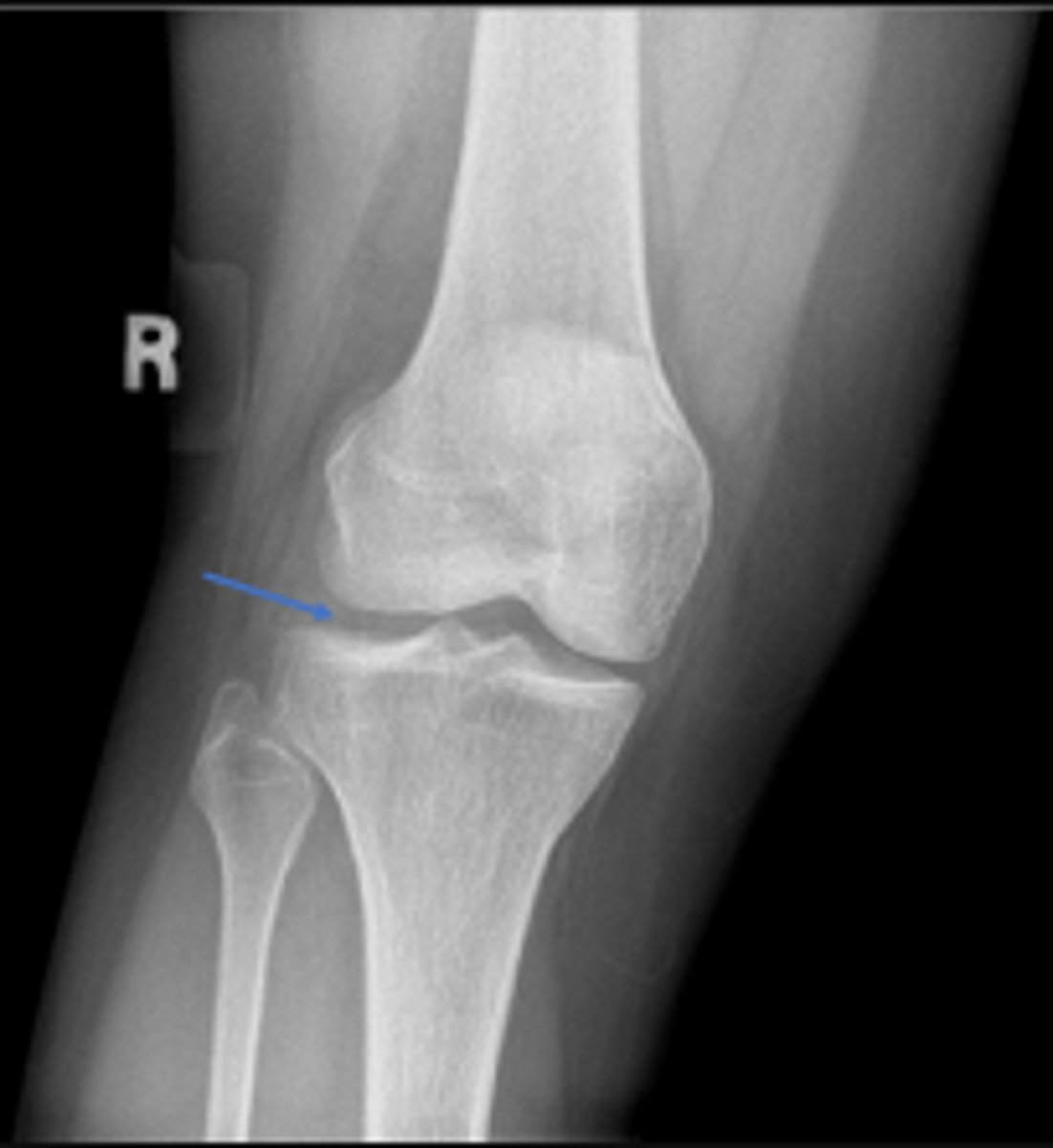
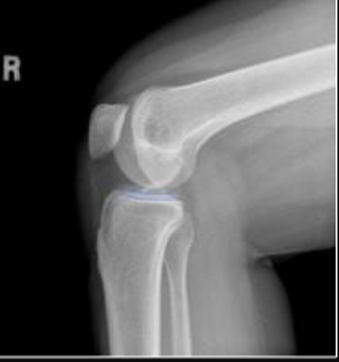
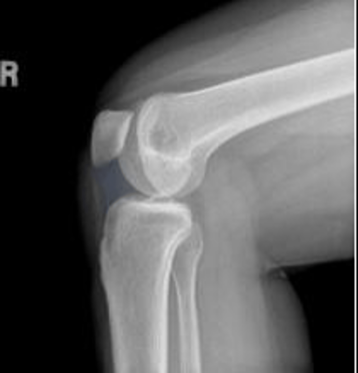
Right lateral femorotibial joint space
What joint space is the arrowing pointing to?

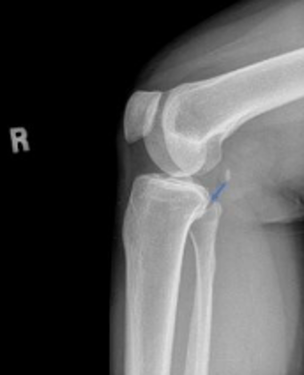
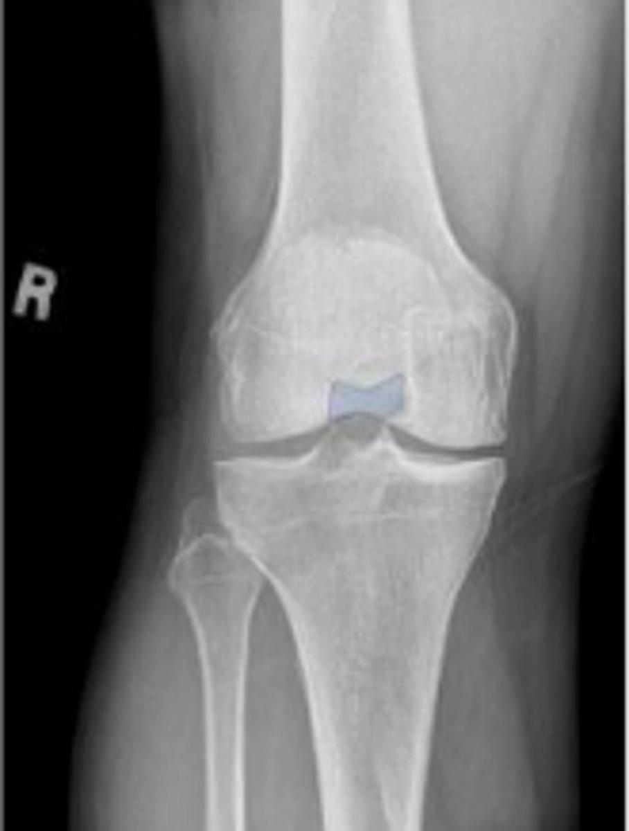
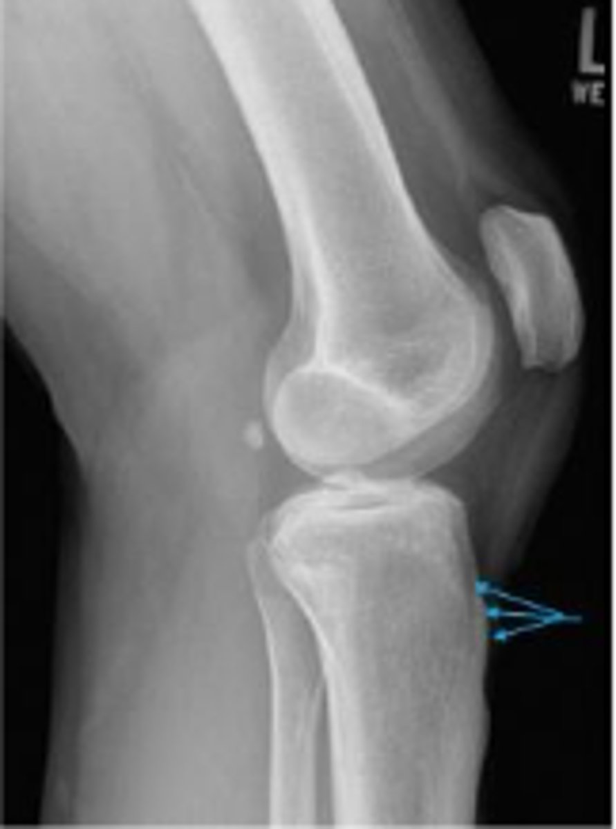
Right patellofemoral joint space
What joint space is the arrowing pointing to?

Right patellar ligament
What is outlined?

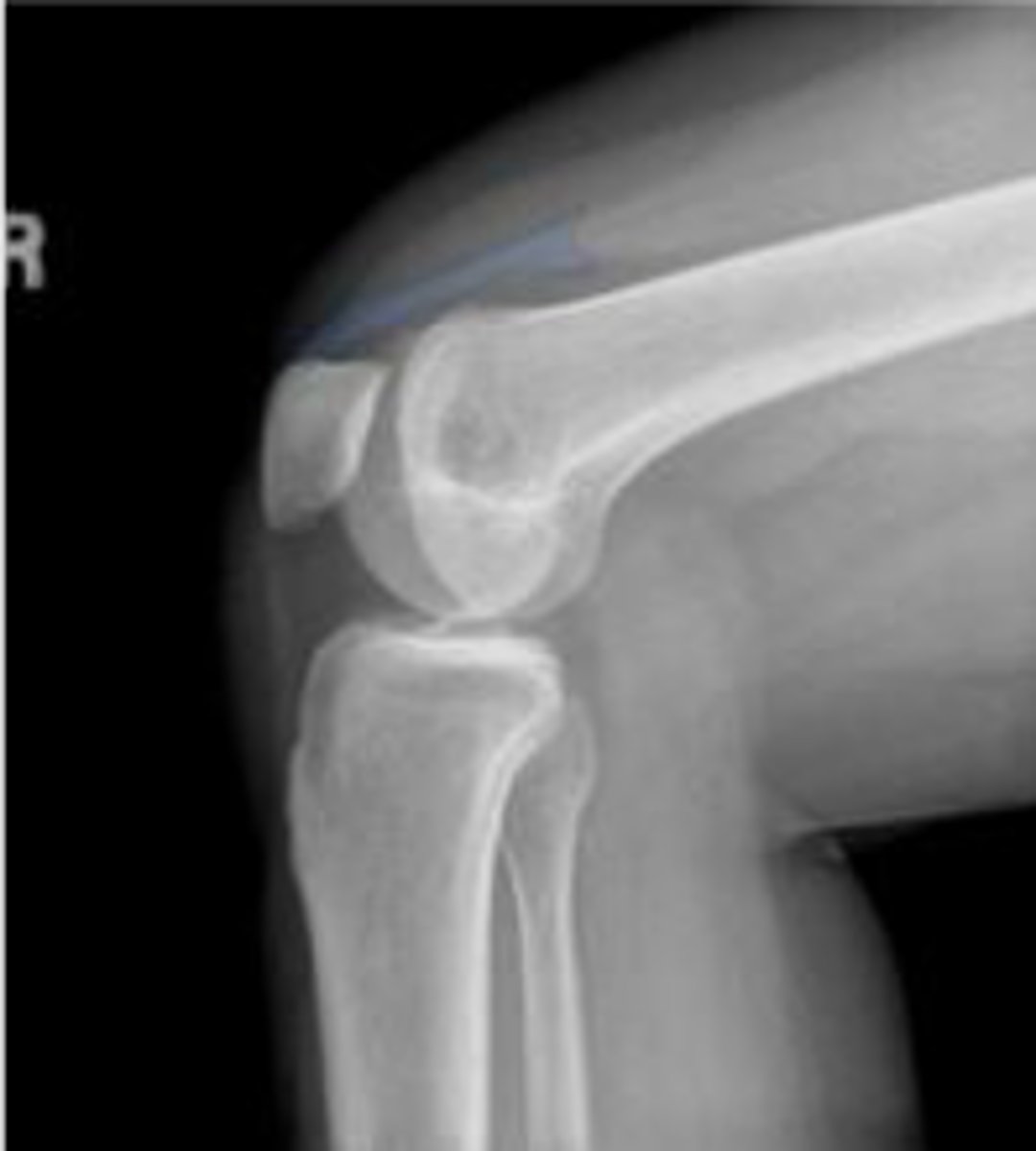
Right quadriceps tendon
What is outlined?

Head of the right fibula
What is outlined?

Right patella
What is outlined?

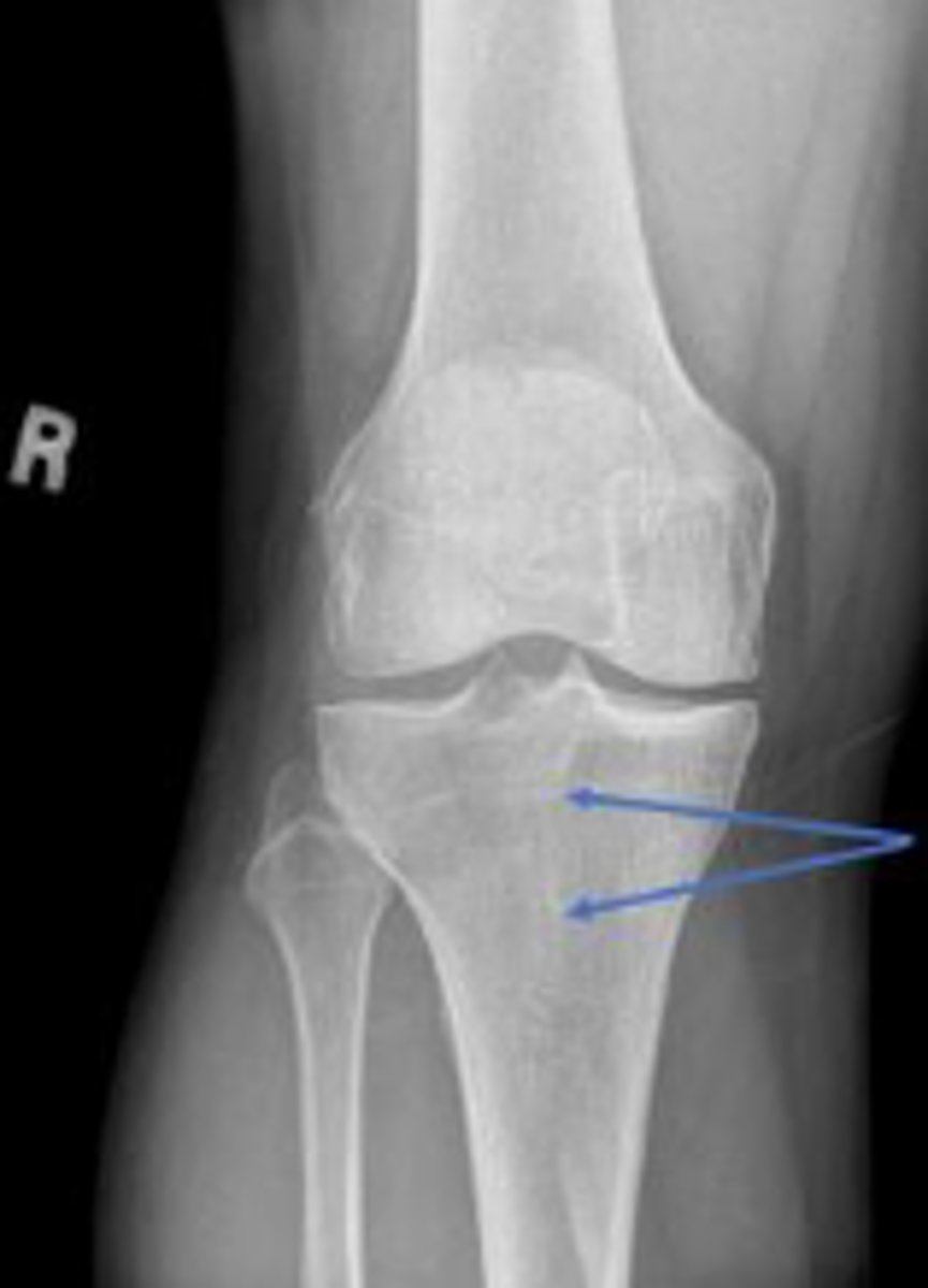
Tuberosity of the right tibia
What area of the tibia is pointed to by the arrows?

Right quadriceps tendon
What is outlined?

Head of the right fibula
What is outlined?

Hoffa's fat pad of the right knee
What is outlined?

Right patella
What is outlined?

The right medial & tibial plateaus and the right
medial and lateral condyles right knee
What is outlined?

Neck of the fibula
What are the blue arrows pointing to?

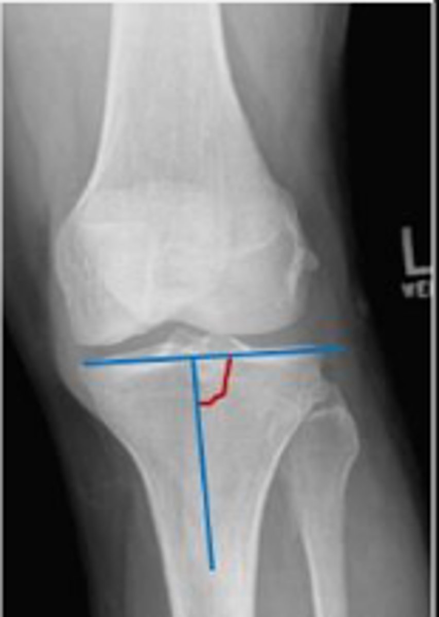
Ludloff's space/triangle
What are the red arrows pointing to?

AP knee
Lateral knee
What are the standard radiographic views for the knee (aka minimal diagnostic radiographic series)?
Patellofemoral joint space of the left knee
What joint space is the arrow pointing to?

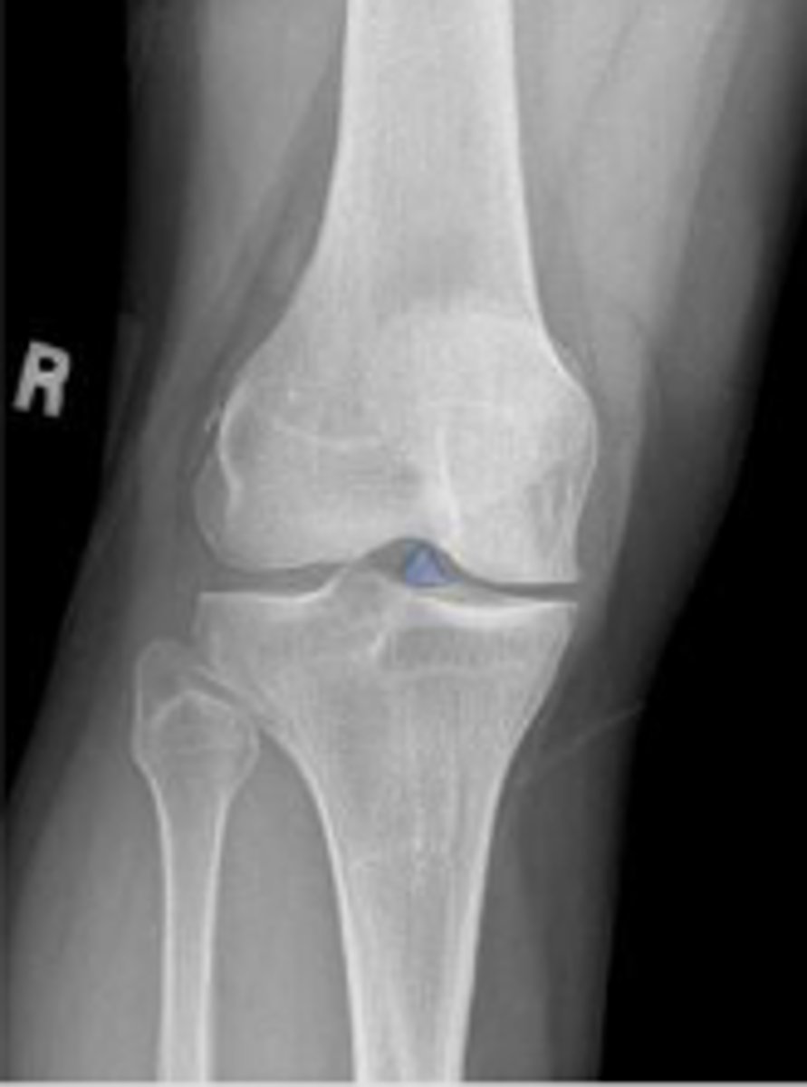
Medial femorotibial joint space of the right knee
What joint space is the arrow pointing to?

Patellar ligament of the right knee
What is outlined?

Hoffa's fat pad of the right knee
What is outlined?

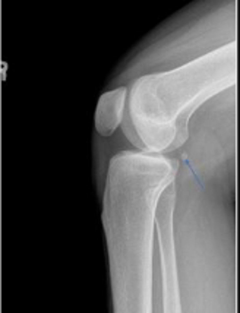
Lateral collateral ligament
What inserts at the location of the blue arrows?

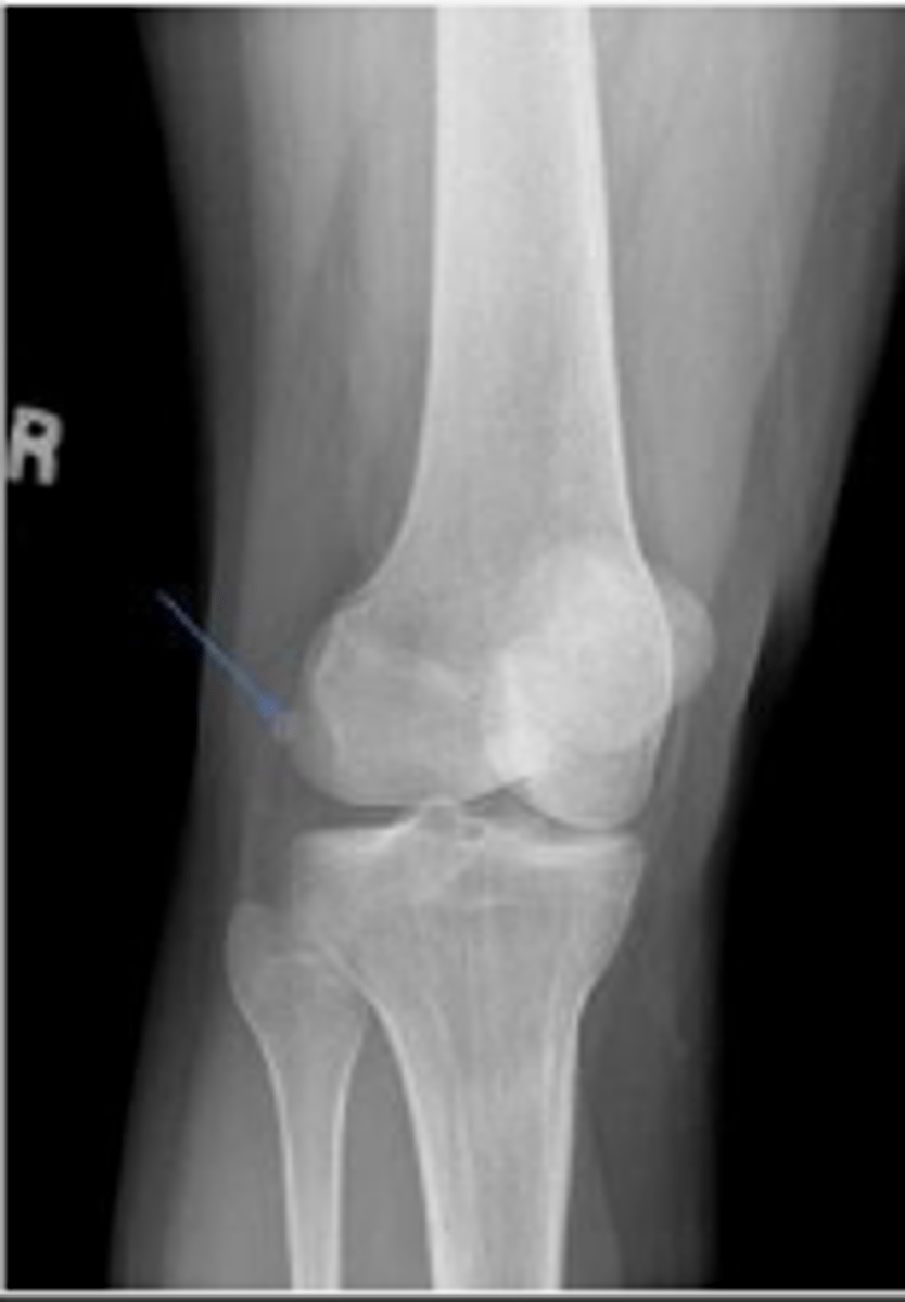
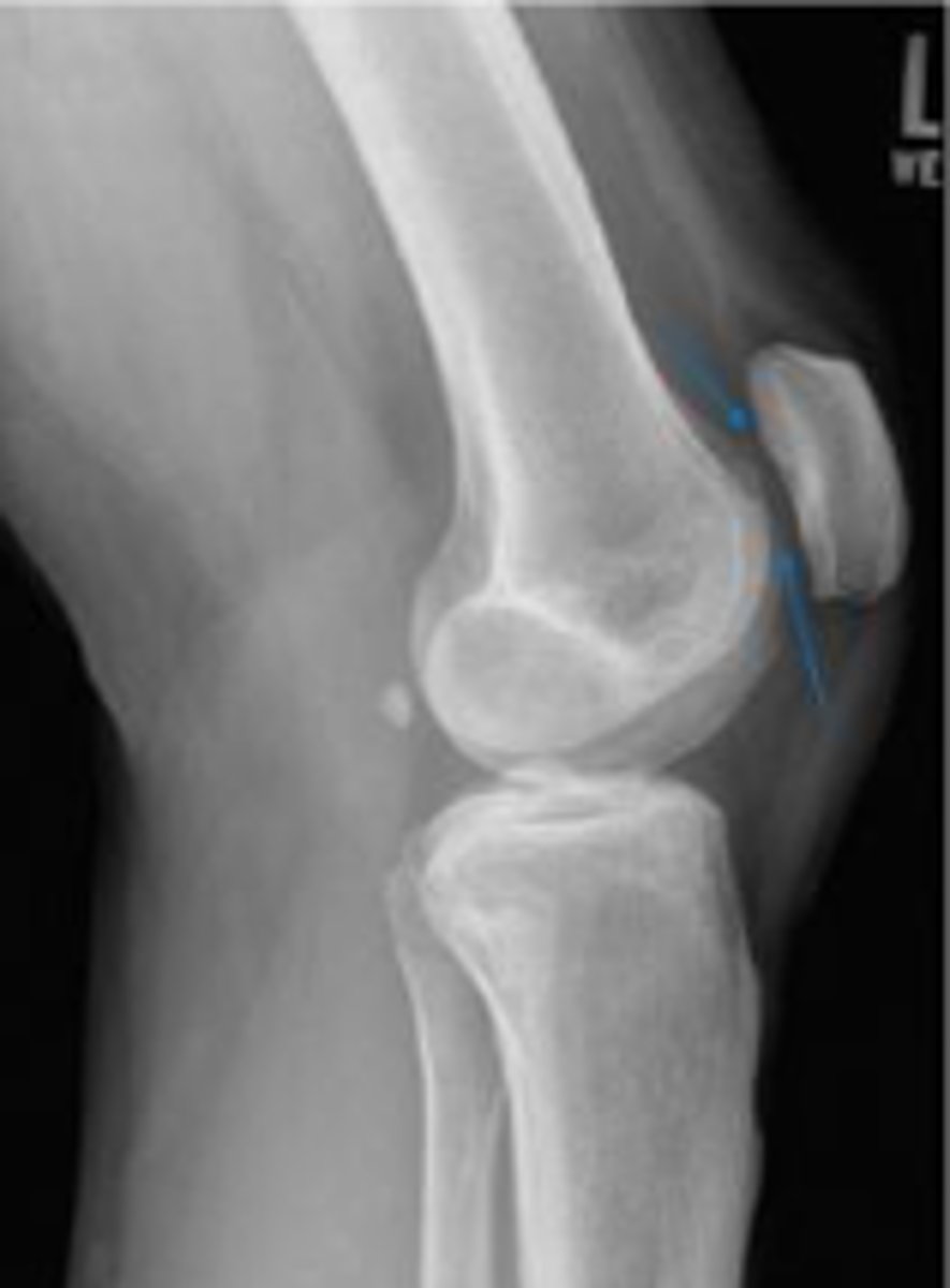
Lateral collateral ligament avulsion fracture of
the right knee
What is the most significant radiographic finding?

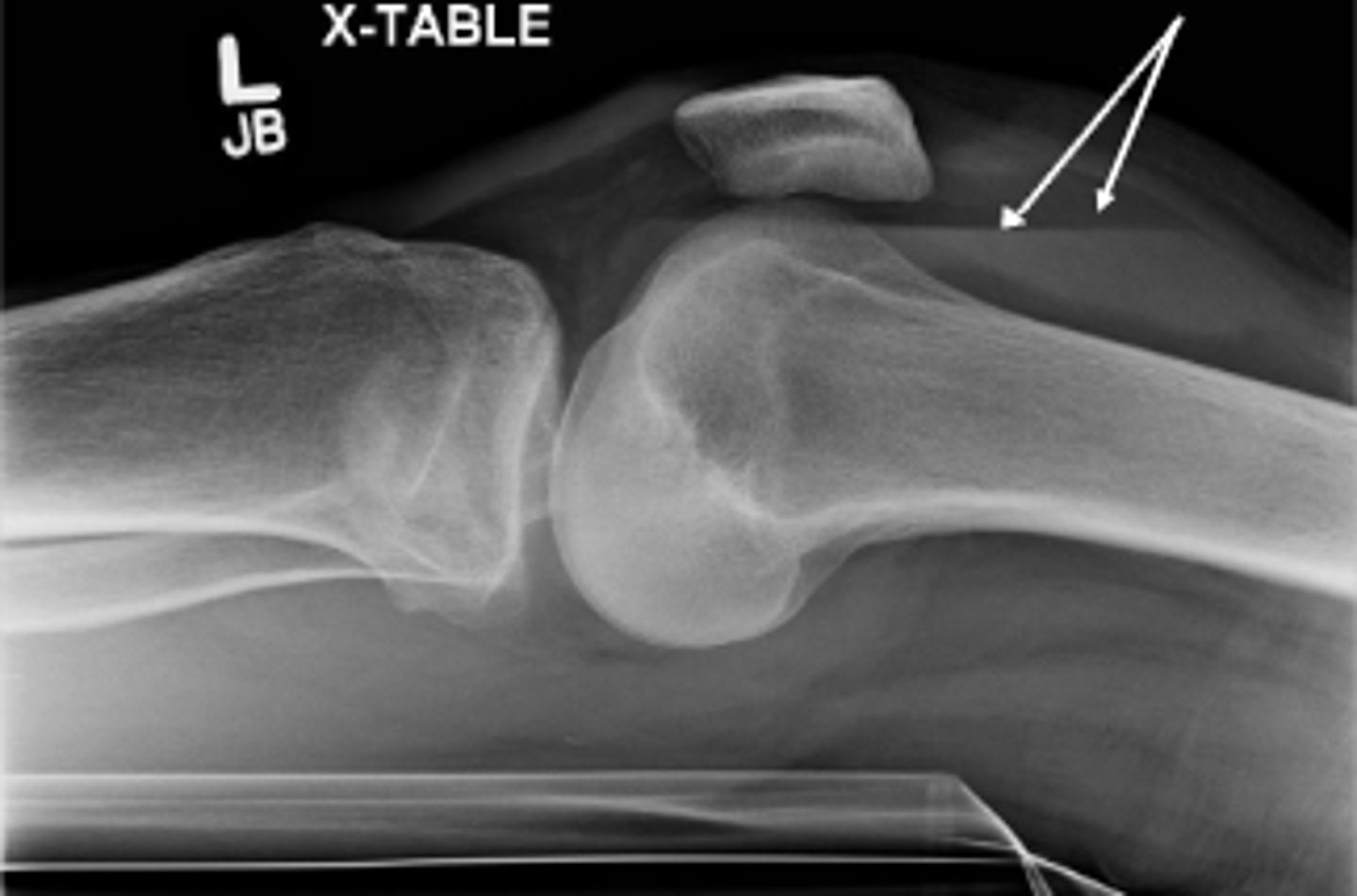
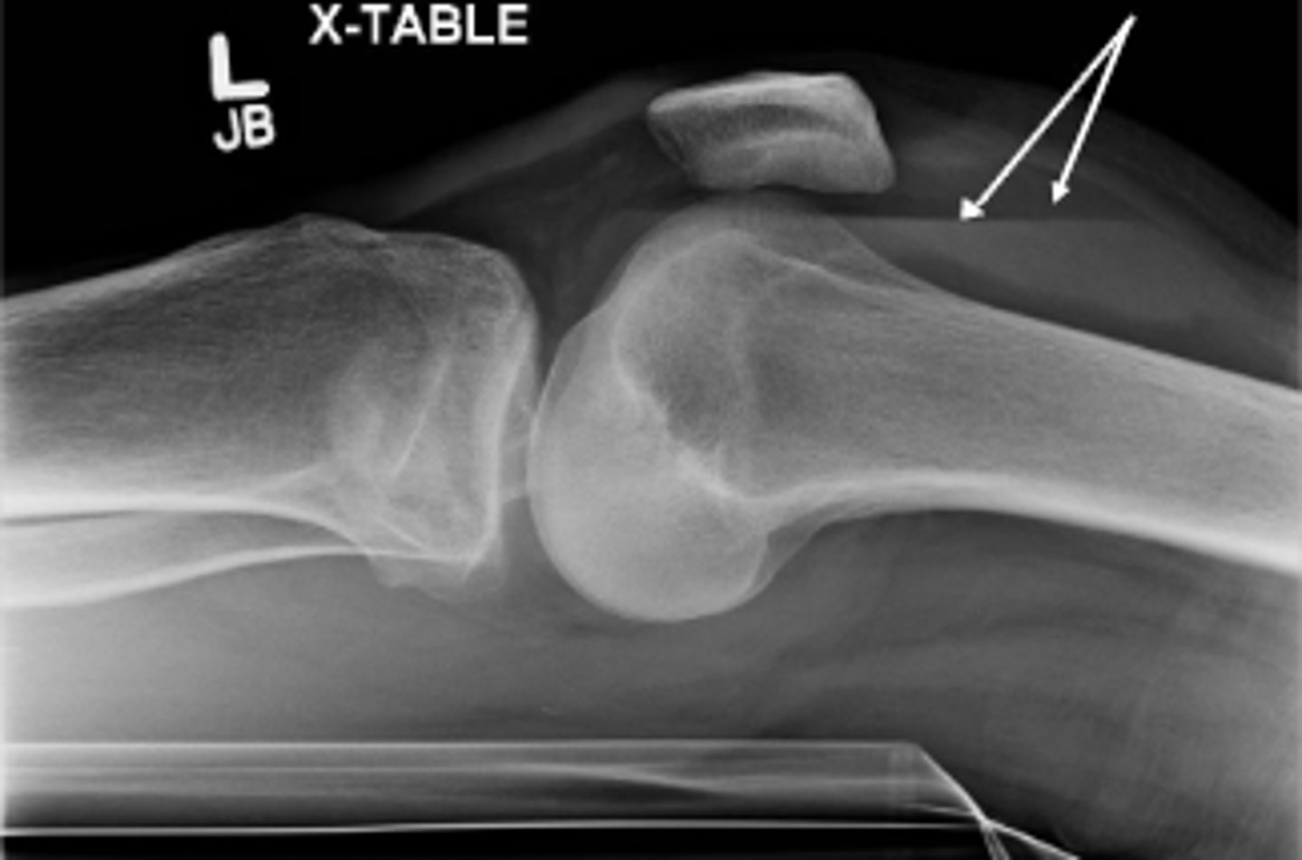
Lipohemarthrosis
What are the arrows pointing to?

Cross table lateral of the left knee
What does 'x-table' mean?

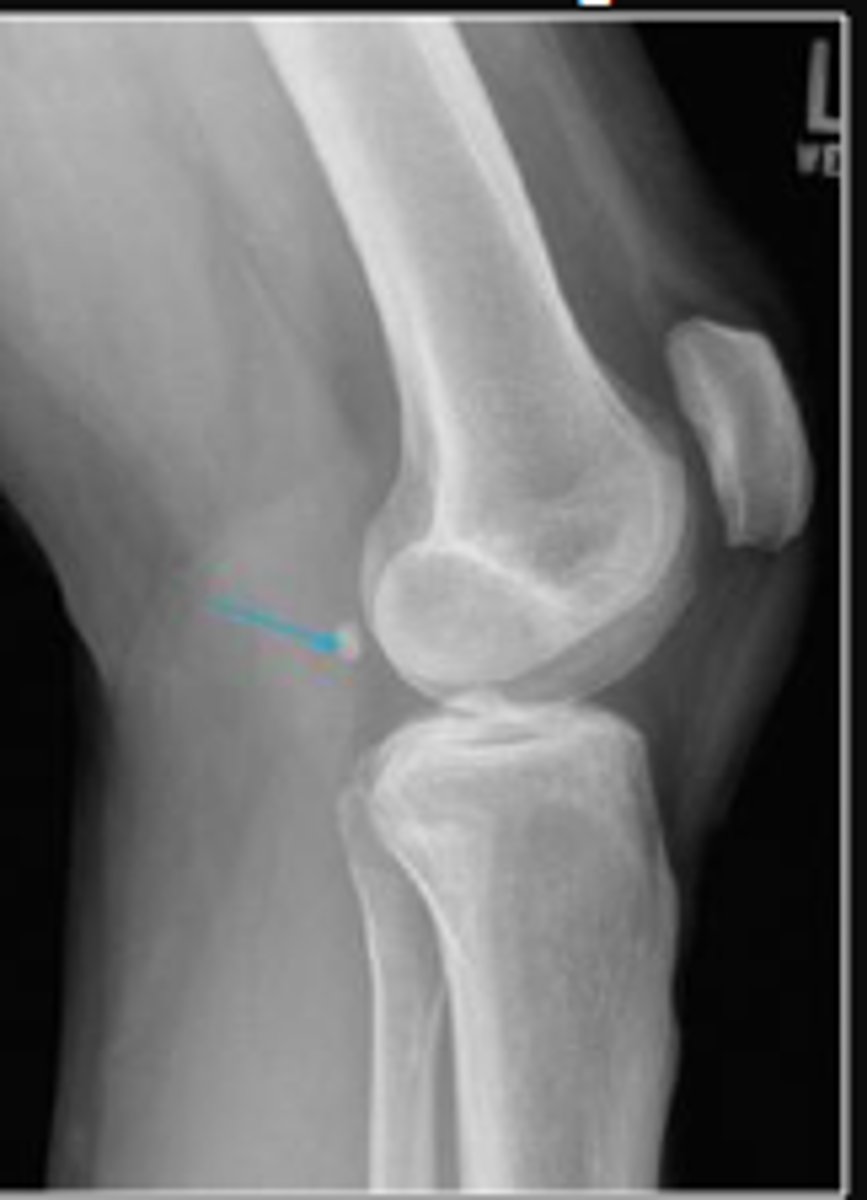
Fabella of the right knee
What are the arrows pointing to?

Medial oblique of the left knee
What is radiographic view?

Fabella of the left knee
What are the arrows pointing to?

Lateral oblique of the left knee
What is radiographic view?

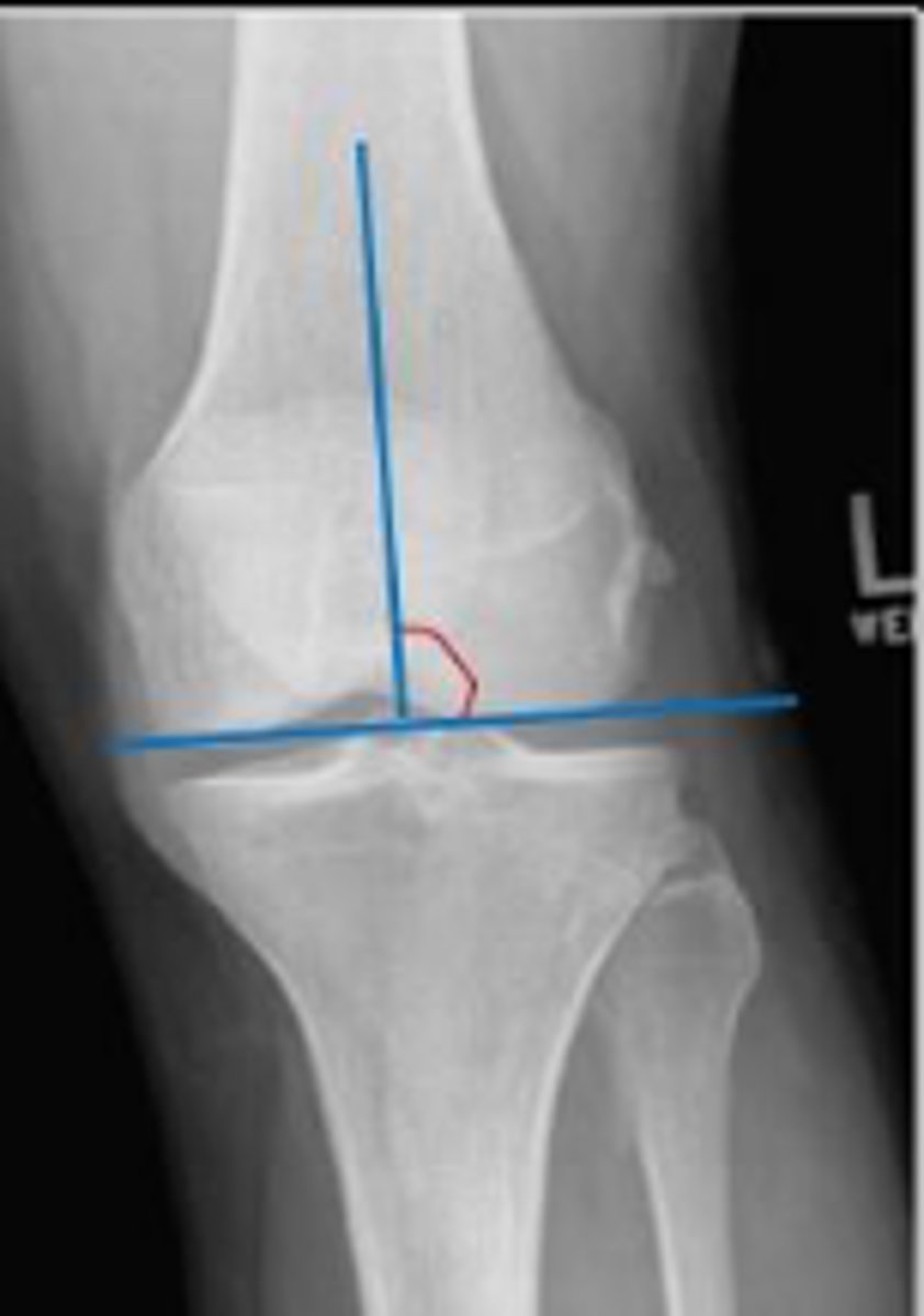
Lateral tibiofemoral alignment of the left knee
What is the assessment?

Suprapatella pouch/recess/bursa of the left knee
What are the arrows pointing to?

Left patellar ligament
What are the arrows pointing to?

Left tibial tuberosity
What are the arrows pointing to?

Left suprapatellar fat pad
What is outlined?

Left prefemoral fat pad
What is outlined?

Left patellofemoral joint space
What space are the arrows pointing to?

Left patella
What is outlined?

Femoral angle of the left knee
What is the name of the assessment?

Tibial angle of the left knee
What is the name of the assessment?

Yes
Is this assessment within normal limits?

Yes
Is this assessment within normal limits?
