1/47
Looks like no tags are added yet.
Name | Mastery | Learn | Test | Matching | Spaced |
|---|
No study sessions yet.
penis

spongy urethra
identify 1

corpus spongiosum
identify 2

Tunica albuginea
identify 3

deep artery
identify 4

corpora cavernosa
identify 5

skin
identify 6

deep dorsal vein
identify 7

dorsal artery
identify 8

epididymis

testis

seminiferous tubule
identify 1

spermatogonia
identify 2

primary spermatocytes
identify 3

spermatids
identify 4

interstitial cells
identify 6

sperm
identify 1

head
identify 2

midpiece
identify 3

tail
identify 4

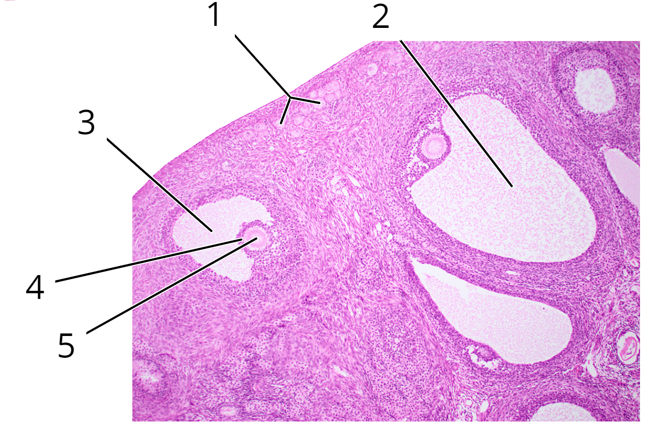
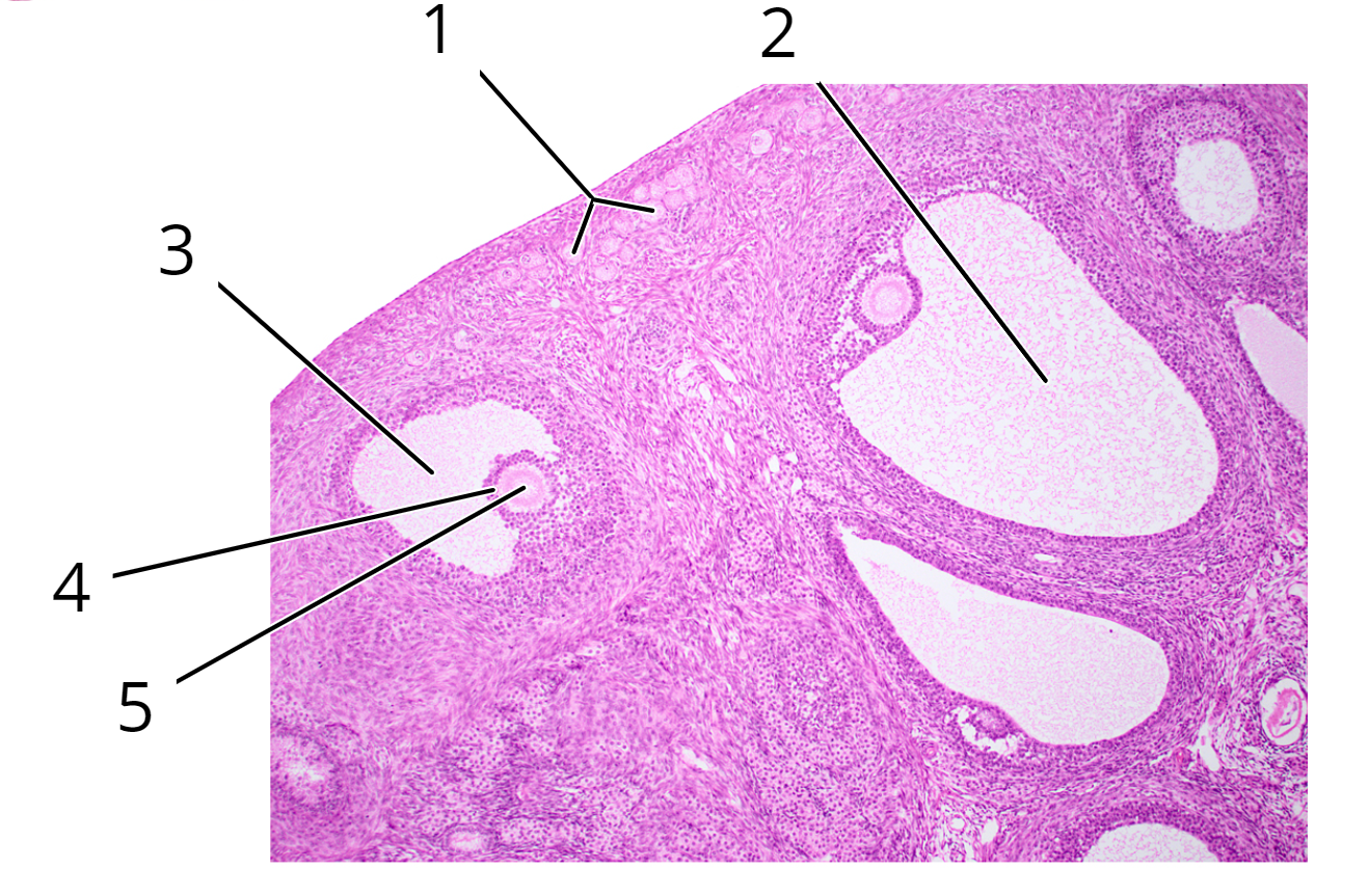
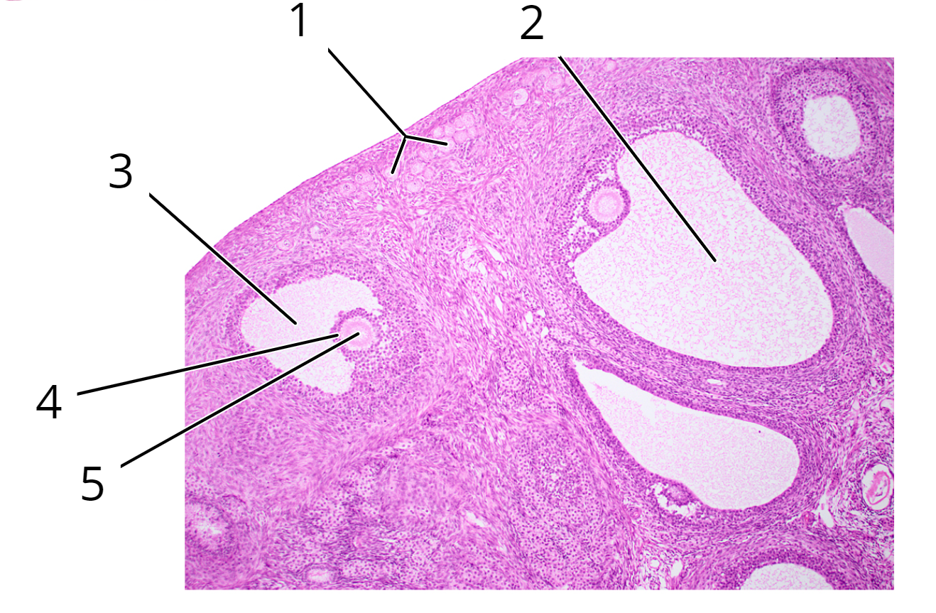
fallopian tube

graafian follicles

ovary

tunica albuginea
identify 1

primordial follicles
identify 2

primary follicle
identify 3

antrum
identify 4

secondary follicle
identify 5

mature tertiary follicle
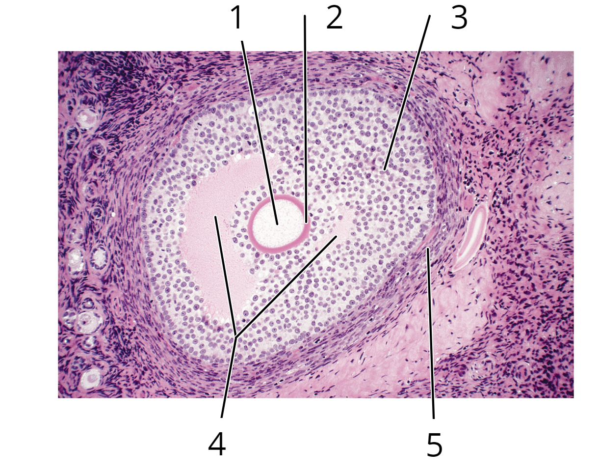
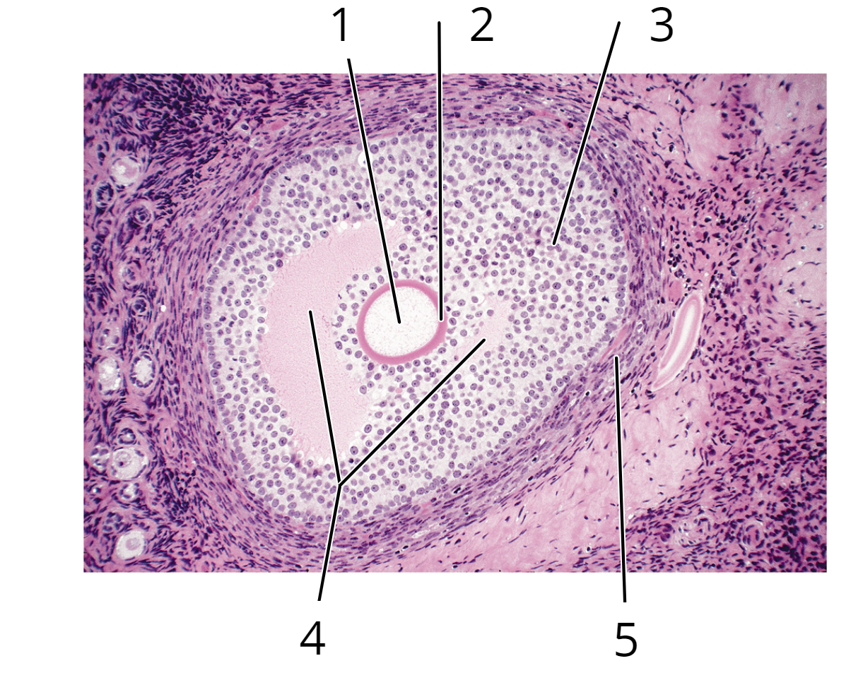
identify 2

corona radiata
identify 4

oocyte
identify 5

zona pellucida
identify 2

antra
identify 4

theca interna
identify 5

corpus luteum

corpus albicans

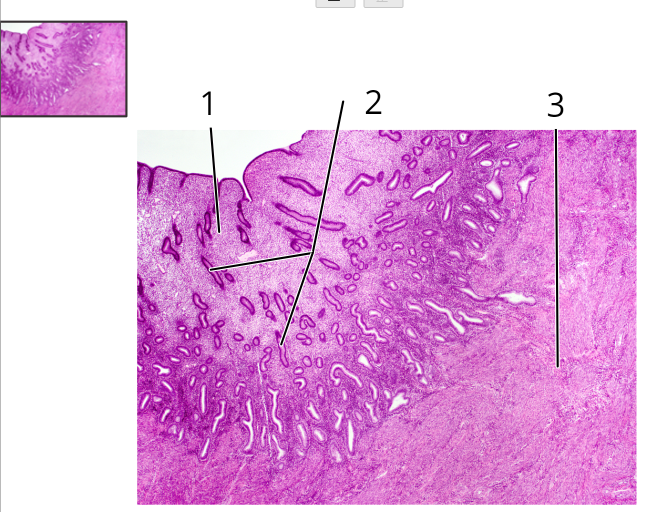
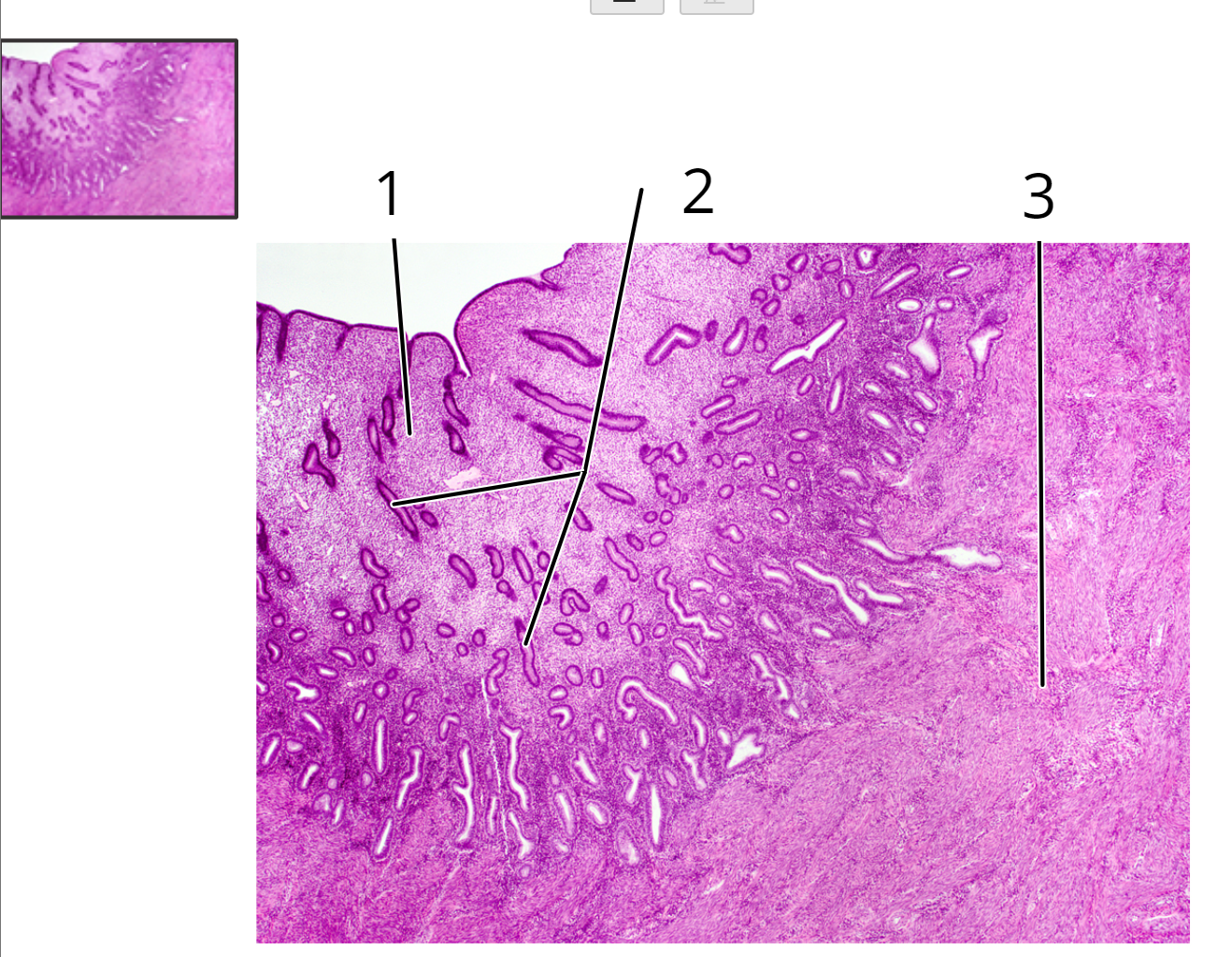
uterus - proliferative phase

endometrium
identify 1

uterine glands
identify 2

myometrium
identify 3

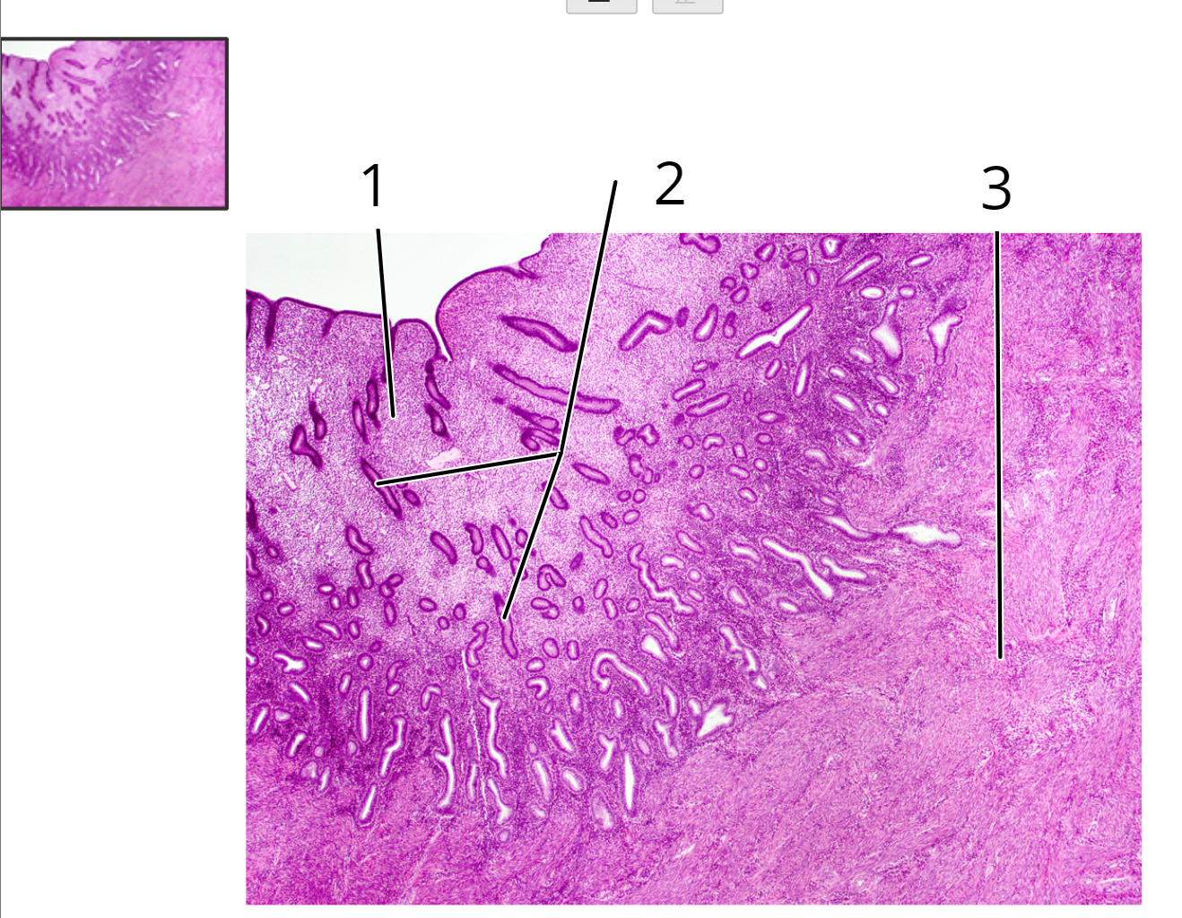
uterus - secretory phase

endometrium
identify 1

uterine glands
identify 2

myometrium
identify 3

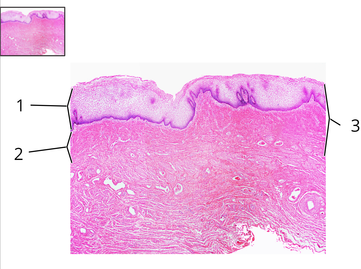
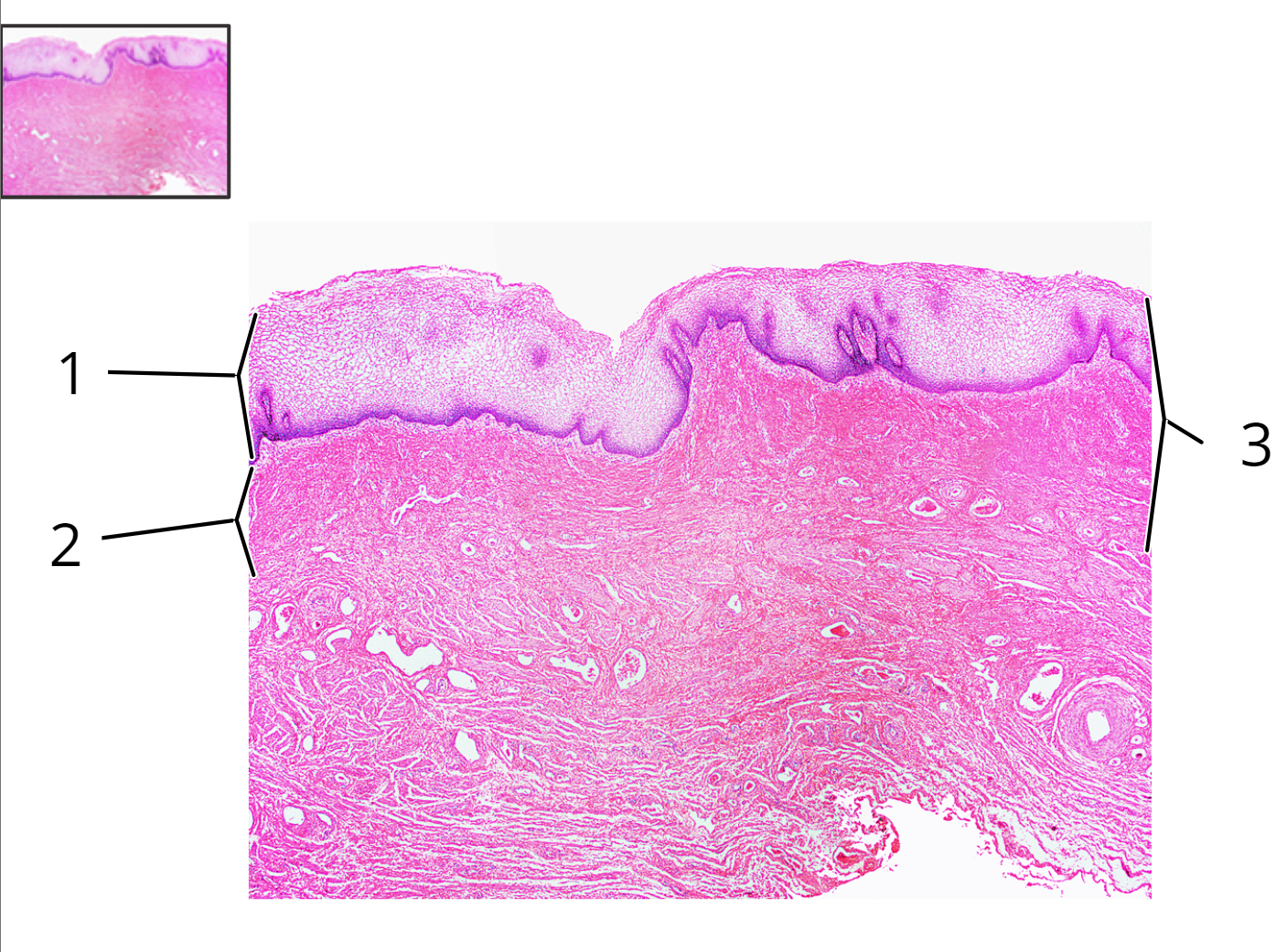
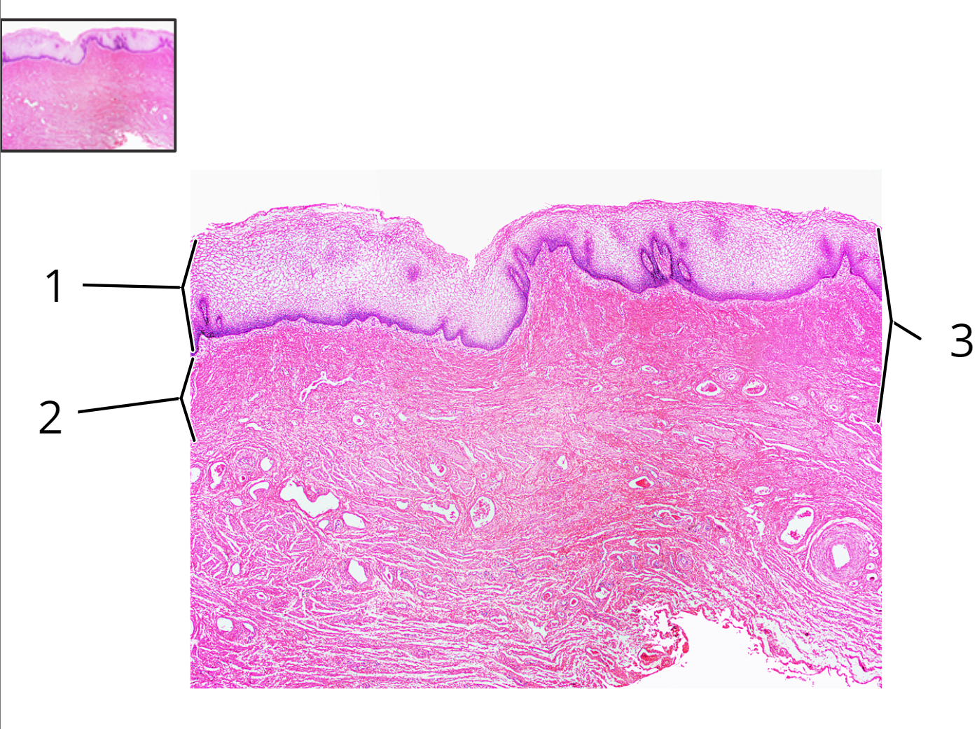
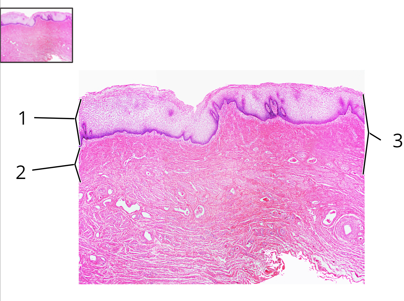
vagina

lamina propria
identify 2

mucosa
identify 3

stratified squamous epithelium
identify 1
