1/60
Infectious/inflammatory disorders of lower respiratory system || Vascular diseases || Miscellaneous lung disorders
Name | Mastery | Learn | Test | Matching | Spaced | Call with Kai |
|---|
No analytics yet
Send a link to your students to track their progress
What disorder involves inflammation of the lungs due to a bacterial/viral/mycoplasma/fungal infection that results in accumulation of fluid within certain sections of the lungs?
pneumonia
Where: pneumonia
certain sections of the lungs
Why: pneumonia
bacterial, viral, mycoplasma, or fungal infection
RA: pneumonia (3 types)
alveolar pneumonia (aka lobar or pneumococcal pneumonia)
bronchopneumonia
interstitial pneumonia


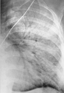
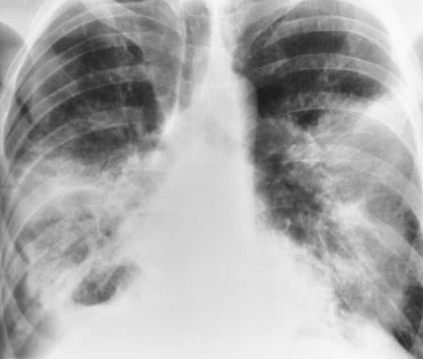
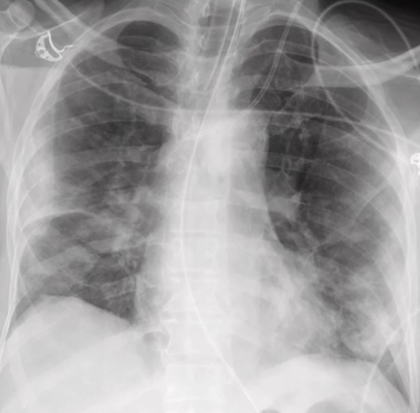
Describe the RA for alveolar pneumonia (this pic and pic in description)
homogenous consolidation in segments or the entire lung — air bronchograms are present (when an entire lobe fills with fluid but has not collapsed)

Describe the RA of bronchopneumonia
inflammation produces small patches of consolidation throughout the lungs — no air bronchograms present


Describe the RA of interstitial pneumonia
mesh-like shadows resulting from linear or reticular opacities — untreated can lead to “honeycomb lung” or cystic spaces as demonstrated by CT

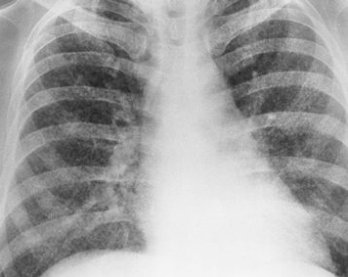
What form of pneumonia is most common?
pneumococcal pneumonia


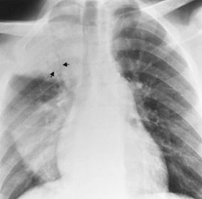
PT is 43 yr old male presenting with productive cough and fever/chills
What pathology is present?
pneumonia — alveolar/pneumococcal pattern
What disorder causes aspiration of esophageal or stomach contents due to obstructions, neuro/muscular diseases, trauma, and anesthesia?
aspiration pneumonia
Where: aspiration pneumonia
upper and lower lobes affected the most if PT is bedridden
Why: aspiration pneumonia
esophageal obstructions, neuro/muscular diseases, trauma, and anesthesia
RA: aspiration pneumonia
multiple alveolar densities throughout lung

What disorder involves a necrotic area of lung tissue containing purulent material?
lung abscess
Where: lung abscess
frequently occurring in the right lung — can spread to the brain and produce brain abscesses
Why: lung abscess
aspiration is the most common cause — necrosis as a secondary complication
RA: lung abscess
encapsulated opaque mass with air fluid level

PT presents with fever, cough and foul-smelling sputum
What pathology is present?
lung abscess
What disease is spread by droplets in the air by infected coughing patients?
tuberculosis
Where: tuberculosis
primarily a lung disease but it can spread to the gastrointestinal, genitourinary and skeletal systems
Why: tuberculosis
caused by mycobactrium tuberculosis
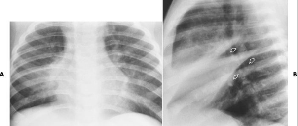
RA: primary tuberculosis (4 criteria)
lobar consolidation
enlarged hilar/nodes
the ghon lesion
pleural effusion
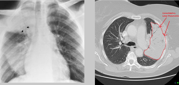
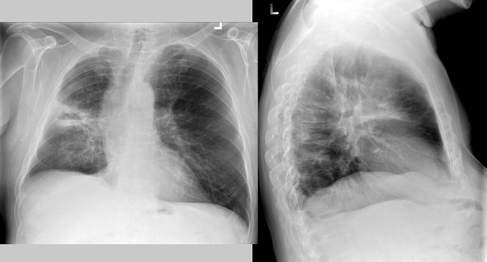
Describe the RA of tuberculosis with lobar consolidation
dense well-defined consolidations usually apical
(image shows consolidation in upper and lower lobes)

What disease may lead to necrosis of lung parenchyma?
tuberculous pneumonia
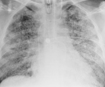
What disease involves large numbers of bacteria spread throughout the blood stream?
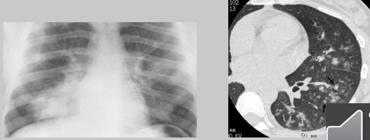
miliary tuberculosis
RA: miliary tuberculosis
fine discreet nodules throughout both lungs
(symmetric and spread through the blood in this PT)

What is a tuberculoma?
a single dense nodule or multiple pulmonary nodules that may lead to dissemination of tuberculosis
What disease in known as a serious form of pneumonia that affects both lungs?
severe acute respiratory syndrome (SARS)
Where: SARS
throughout both lungs
Why: SARS
upper and lower respiratory infections from person to person droplet contact
RA: SARS
early stages: lungs appear normal
middle stages: focal infiltrates (abnormal tissue buildup in lung parenchyma)
later stages: areas of consolidation
PT presentation: SARS
nonproductive cough, fever chills, respiratory distress and progresses to hypoxia
RA: covid-19
multiple bilateral patchy consolidations or opacities

What disease involves the formation or lodging of a blood clot in the pulmonary artery?
pulmonary emboli
Where: pulmonary emboli
clot lodged in the pulmonary artery
Why: pulmonary emboli
commonly a clot from lower limb gets lodged in pulmonary artery — can also be from fat, fragments of a cancerous tumor, or an air bubble
What disease is the most common pathological process involving the lungs in a hospitalized PT?
pulmonary emboli — because PTs are coming in for trauma/cancer treatments/had surgery
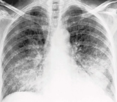
RA: pulmonary emboli
CT (most common and more accurate) shows filling defect, NUCMED ventilation study shows perfusion defect
serial CXR rarely to never done but show enlargement of affected vessels
[larger white area = pulmonary trunk leading to the right and left pulmonary arteries]
![<p>CT (most common and more accurate) shows filling defect, NUCMED ventilation study shows perfusion defect<br><br>serial CXR rarely to never done but show enlargement of affected vessels<br><br>[larger white area = pulmonary trunk leading to the right and left pulmonary arteries]</p>](https://knowt-user-attachments.s3.amazonaws.com/ca35f690-4229-4291-9cfb-0db74f35872e.png)
What is a pulmonary infarct?
necrosis in a part of a lung caused by an obstruction in a branch of a pulmonary artery
What disorder involves partial or complete collapse of a lobe of lung due to diminished air in the lung?
atelectasis
Where: atelectasis
entire lobe of a lung
Why: atelectasis
secondary condition to:
bronchial obstruction caused by a foreign body
trauma
neoplasm
excessive mucus secretions
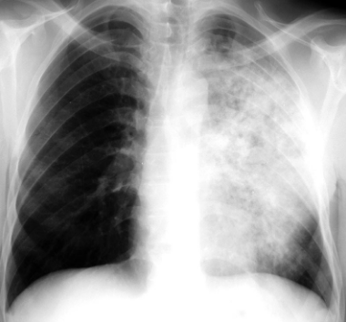
RA: atelectasis
a localized increase in density appearing as thin streaks or plates — “plate like atelectasis” to lobar collapse — displacement of lobar fissures


PT presents with difficulty breathing and a productive cough
What pathology is present?
atelectasis

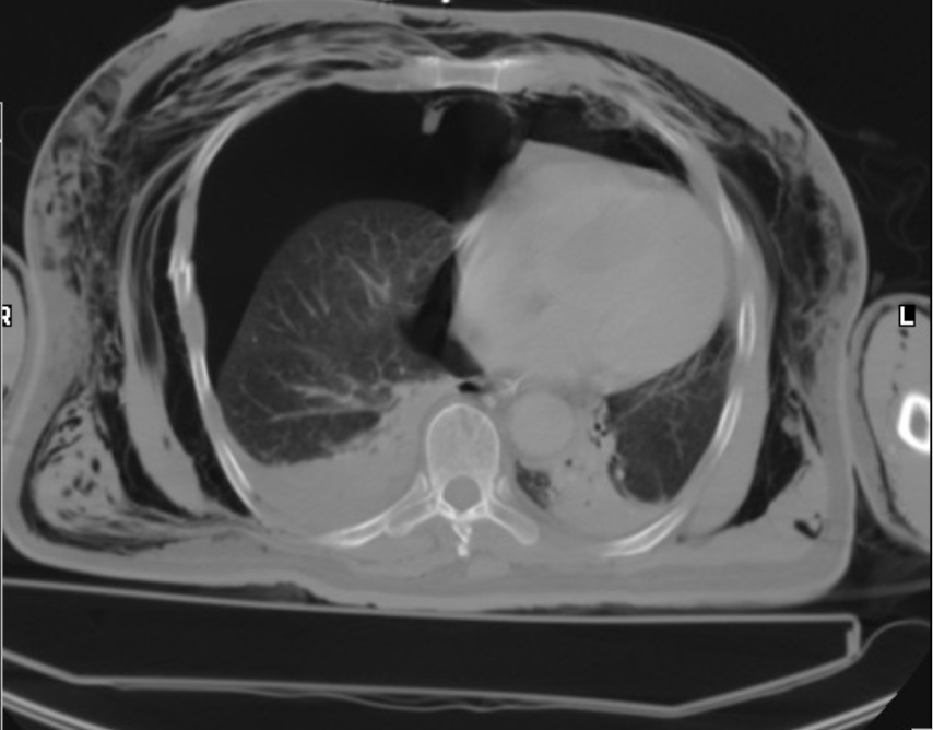
What disease involves the complete break down of the lung leading to a massive leak of cells and fluid into the interstitial and alveolar spaces, resulting in acute and severe respiratory distress?
adult respiratory distress syndrome
Why: adult respiratory distress syndrome
non-thoracic trauma, shock, aspiration of toxic substances, severe pulmonary infection
RA: adult respiratory distress syndrome
patchy, ill defined areas of fluid throughout both lungs, unlike pulmonary edema with CHF (congestive heart failure), heart remains normal size

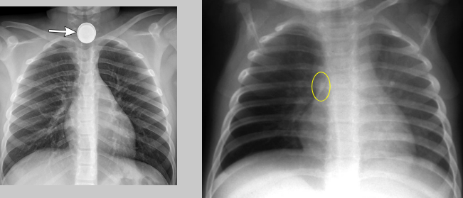
What disorder involves the aspiration of solid foreign bodies into the bronchial tree?
intrabronchial foreign bodies
Where: intrabronchial foreign bodies
foreign body in bronchial tree — atelectasis in lower lungs usually lower right
RA: intrabronchial foreign bodies
some are radiopaque some are not
partial obstruction: causes hyperaeration and a shift of the heart and mediastinum
complete obstruction: causes lobe of lung to collapse - if severe enough volume loss causes a shift of the heart and mediastinum towards affected side with elevation of ipsilateral hemidiaphragm

What pathology is present?
intrabronchial foreign body

What disorder involves air getting into tissues under the skin?
subcutaneous emphysema
Where: subcutaneous emphysema
usually in the skin covering the chest wall or neck, but can occur in other parts of the body
Why: subcutaneous emphysema
(hint: think extreme or aggressive)
many causes, most common is collapsed lung due to rib fracture


PT presents with bulging skin around the neck area
What pathology is present?
subcutaneous emphysema

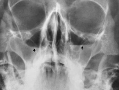
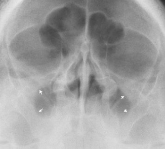
What disease involves infection and inflammation of the sinuses?
sinusitis
Where: sinusitis
maxillary antra most common
Why: sinusitis
viral or bacterial in origin
RA: sinusitis
increased density and/or fluid levels in an upright sinus radiograph


PT presents with toothache and has recently fallen ill with a viral infection
What pathology is present?
sinusitis (image demonstrates chronic sinusitis as mucosal lining has gotten polyp-like, thus no visualization of air-fluid levels)

What pathology is pictured here?
nasal polyps from chronic sinusitis