1/17
Looks like no tags are added yet.
Name | Mastery | Learn | Test | Matching | Spaced |
|---|
No study sessions yet.
Love Definition
Proposed emotional state involving chemical, hormonal, rewarding, and goal-directed components. Passionate love.
Vico et al. study
Participants viewed pictures in several different categories. Skin conductance, EMG, HR, and EEG (ERP) were significantly elevated while viewing pictures of loved ones. (2 graphs)
Cacioppo et al. methods
fMRI studies used to localize subcortical areas associated with love. Participants completed self-report measures of emotional attachment and provided pictures on beloved and neutral individuals. They then viewed the pictures in fMRI.
Subcortical areas associated with passionate love
Dopaminergic pathways involved in euphoria, reward, and motivation (mesolimbic and mesocortical).
Anterior cingulate cortex (ACC), fusiform area, caudate nucleus.
Areas in mesolimbic and mesocortical pathways
Mesolimbic pathway (reward): VTA, nucleus accumbens.
Mesocortial pathway (subjective experience of pleasure): medial PFC.
Cortical areas associated with passionate love
Brain areas associated with social cognition, attention, memory, and self.
Anterior insula, temporal-occipital region, temporoparietal region/angular gyrus, dorso-lateral middle frontal gyrus.
Cacioppo conclusion
A large network of subcortical and cortical brain areas are associated with all types of love studied. Some define it as a complex emotion while some define it as a motivational state.
Bartels and Zeki goal
Figure out which regions of the brain are involved in maternal and romantic love.
No explicit hypothesis beyond they believe there will be overlap since both loves are related to survival of the species.
Bartels and Zeki methods
In fMRI participants looked at pictures of their own children and other children they know and some random ones (stranger, partner) and told to think about their emotions. After fMRI they answered a questionnaire rating the intensity of 8 different emotions they felt toward each person they saw on a 9 point scale.
Areas deactivated for both types of love
Amygdala, PCC, medial PFC, middle temporal cortex, temporal poles, occipitoparietal junction.

Areas activated for both types of love
VTA, stratium (caudate, putamen, globus pallidus).

Bartels and Zeki Conclusion
Both loves activate reward systems. Both loves deactivate areas associated with negative emotions and social judgment. Attachment involves a push-pull mechanism (deactivating negative emotions and activating reward circuits).
Aron et al. goal
Identify the brain regions involved in early-stage, intense romantic love and if it engages reward, motivation, and emotion systems in the brain.
Aron et al. hypotheses
Romantic love will involve subcortical regions that mediate reward (VTA, nucleus accumbens).
Romantic love will be associated with other goal and reward regions (eg. anterior caudate nucleus).
Aron et al. methods
Participants provided photographs of their romantic partner and a neutral person. During fMRI they alternated viewing of those and completed a distractor task. Also completed passionate love scale.

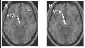
Describe figure 2
Greater activation in VTA for pictures of beloved.
A = positive (beloved) minus neutral pictures
B = positive minus count-back task

Describe figure 3
Caudate activation positively correlated with passionate love scale.
A = location of caudate where positive correlation was found
B = Correlation of activity in the caudate with the PLS scores. Higher PLS scores associated with more activity.
Aron et al. conclusion
Support for both hypotheses. Romantic love is a motivation or goal-oriented state that leads to specific emotions and is not associated with a functionally specialized brain system.
These findings are comparable to other studies, which suggests the VTA and caudate are critical to romantic love.