1/25
Looks like no tags are added yet.
Name  | Mastery  | Learn  | Test  | Matching  | Spaced  | 
|---|
No study sessions yet.
Parotid Gland

Sublingual Gland

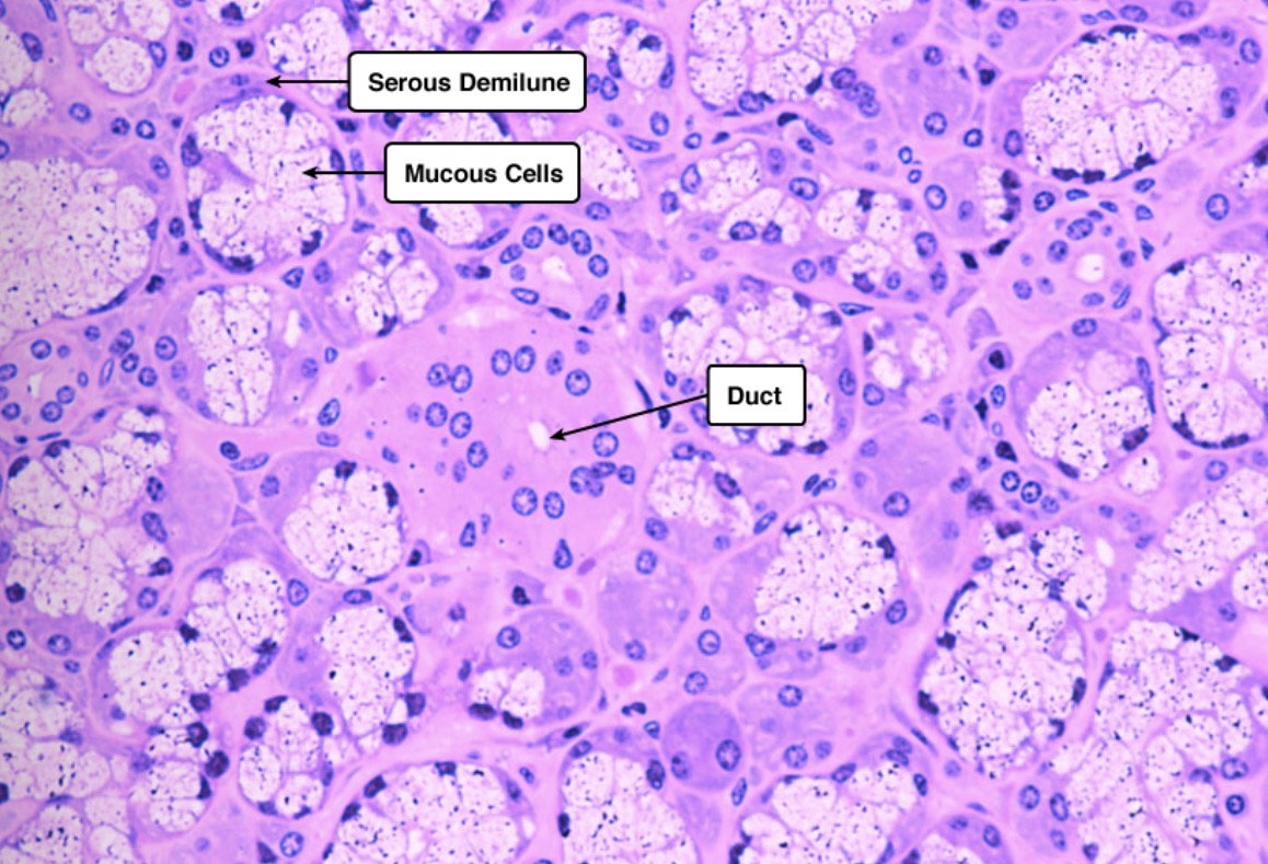
Submandibular Gland

Esophagus

Pancreas, Acinar cells

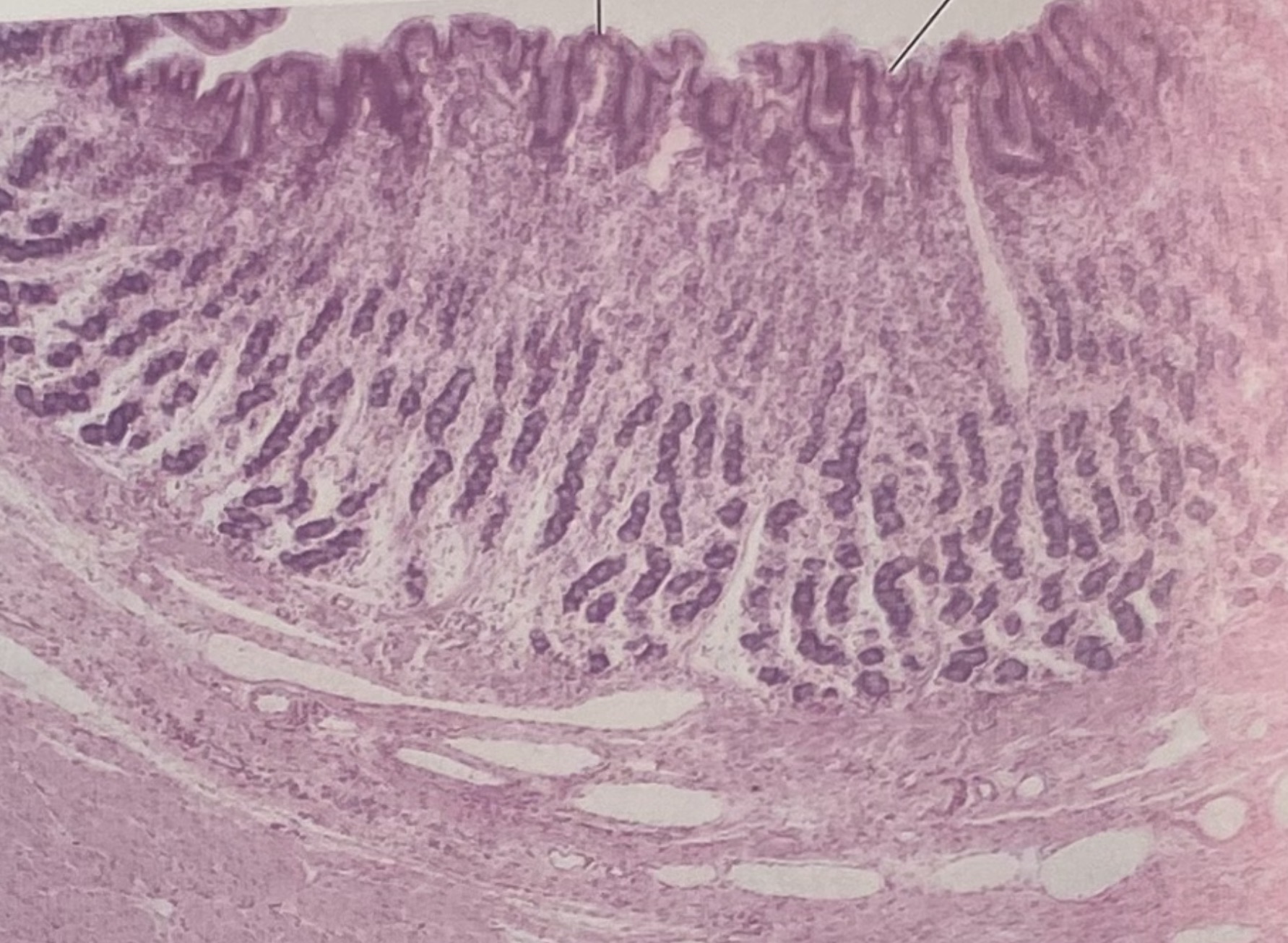
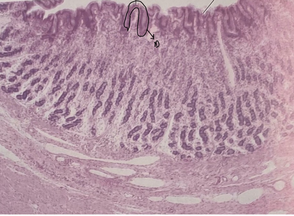
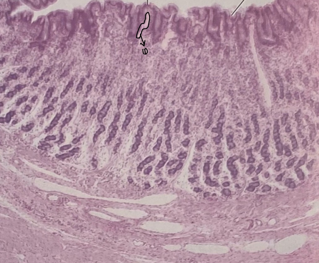
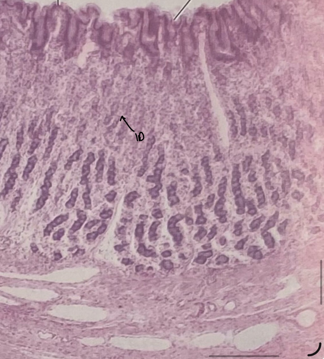
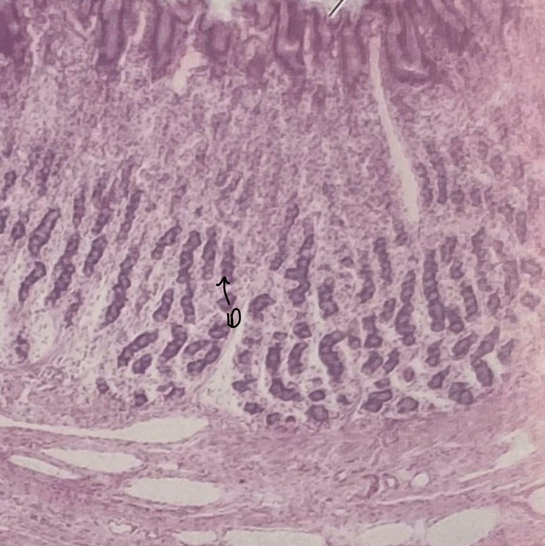
Colon

Intestinal Crypt

Goblet Cells

Heart

Intercalated Discs

Veins

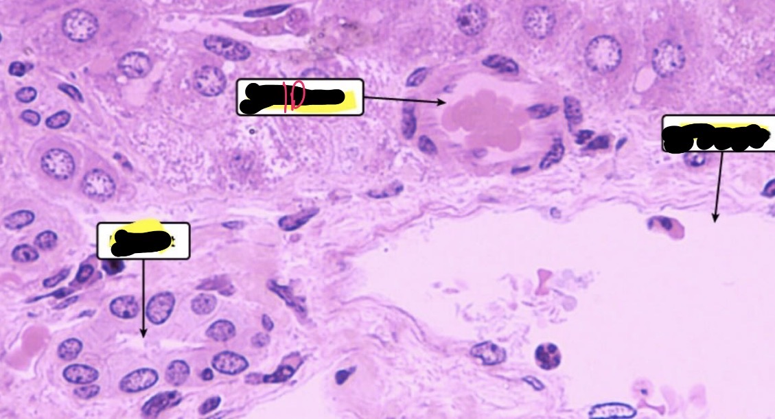
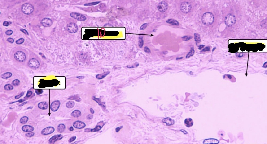
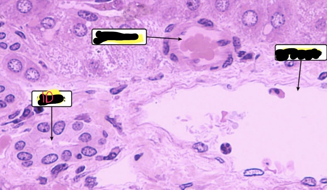
Artery

Stomach

Gastric Pit

Mucosal Cells

Parietal Cells

Chief Cells

Duodenum, brunners gland

Jejunum and ileum plicae circulares

Ileum Peter’s patches

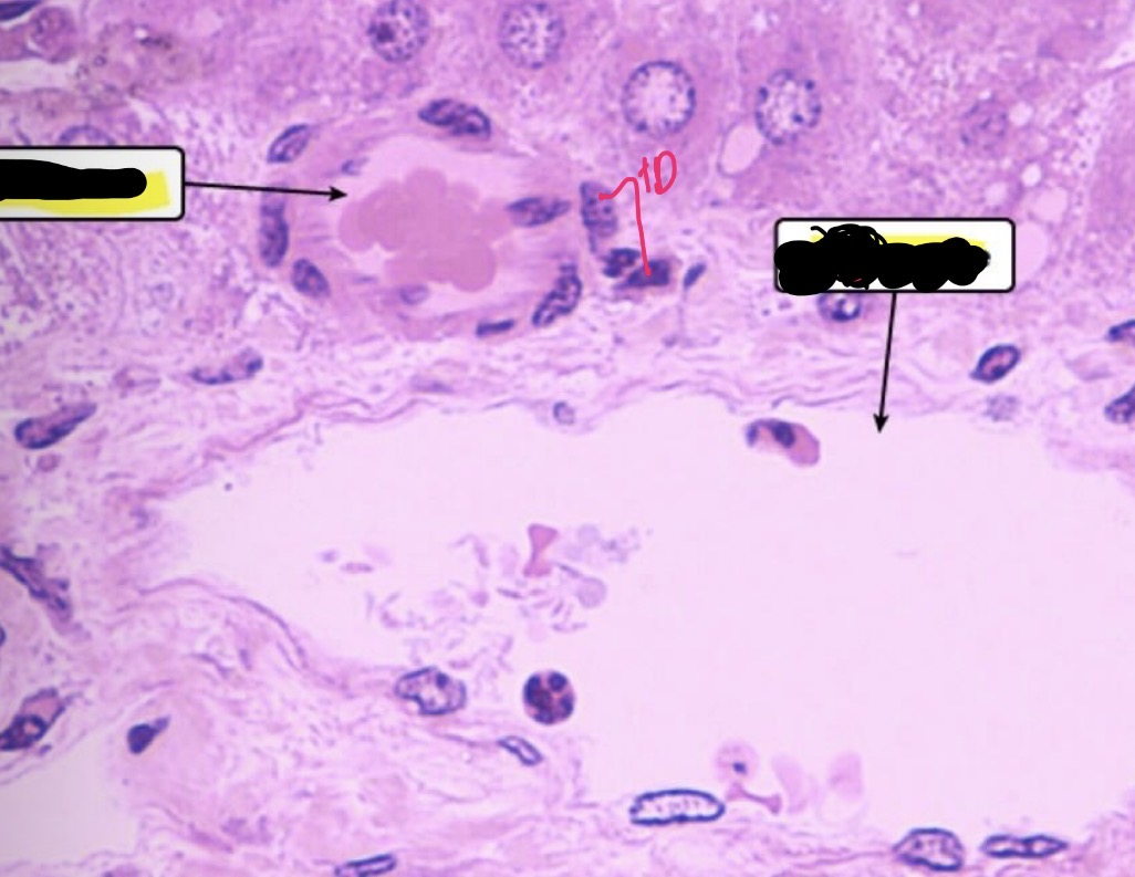
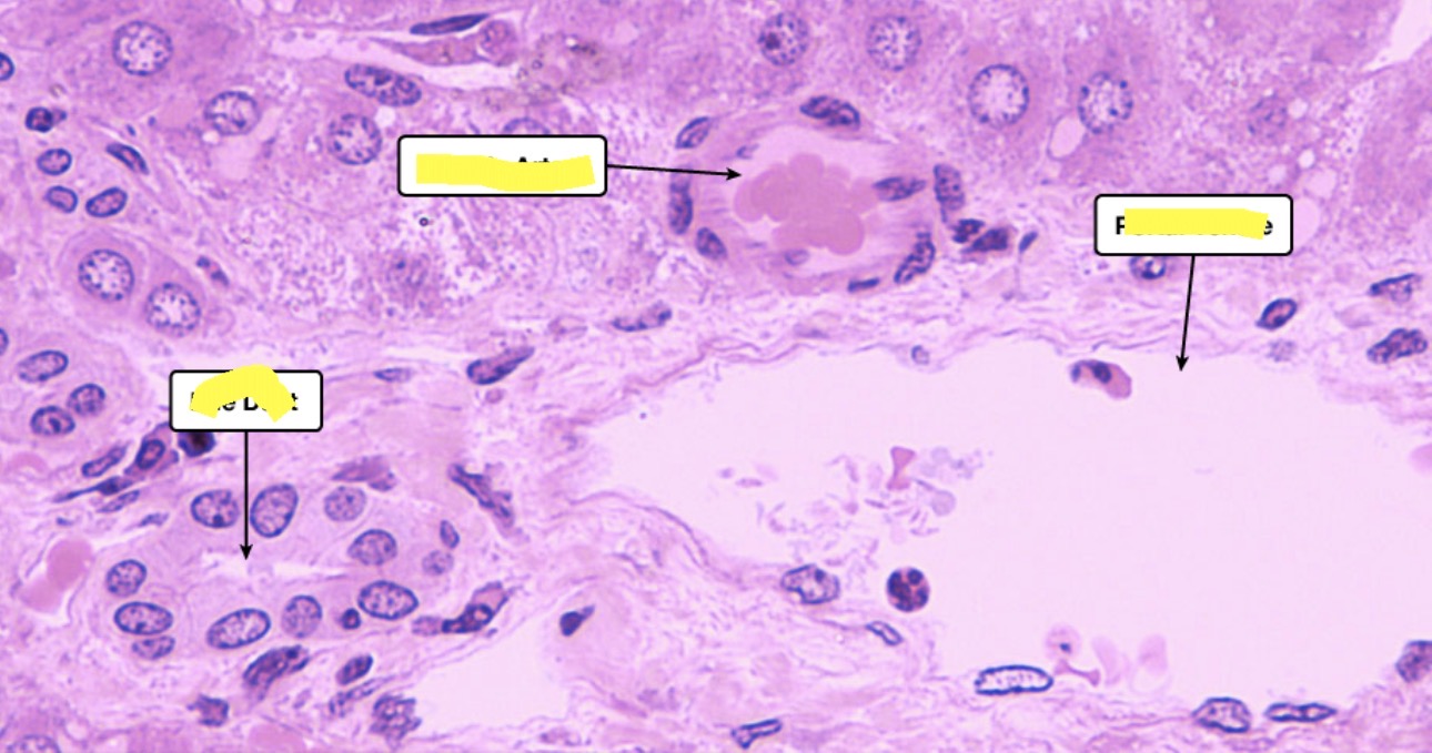
Hepatocytes

Portal Triad

Hepatic Venule

Hepatic Artery

Bile Duct

Liver
