1/32
Looks like no tags are added yet.
Name | Mastery | Learn | Test | Matching | Spaced |
|---|
No study sessions yet.

Seminiferous tubules

What structure is being depicted in this cross section?
Testis

What structures are being indicated by #1?
Sertoli cells

What structure is being indicated by the white circle?
Lumen

What structures are being indicated by #1?
Leydig cells

What structures are being indicated by the leftmost arrow?
Sertoli cells

What structures are being indicated by the rightmost arrow?
Spermatogonia

What structures are being indicated by the above arrow?
Seminiferous epithelium

What structures are being indicated by the lower arrow?
Spermatids

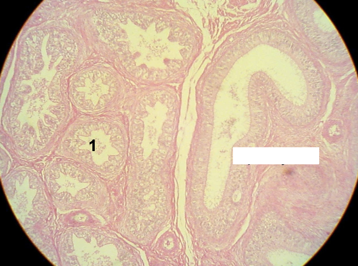
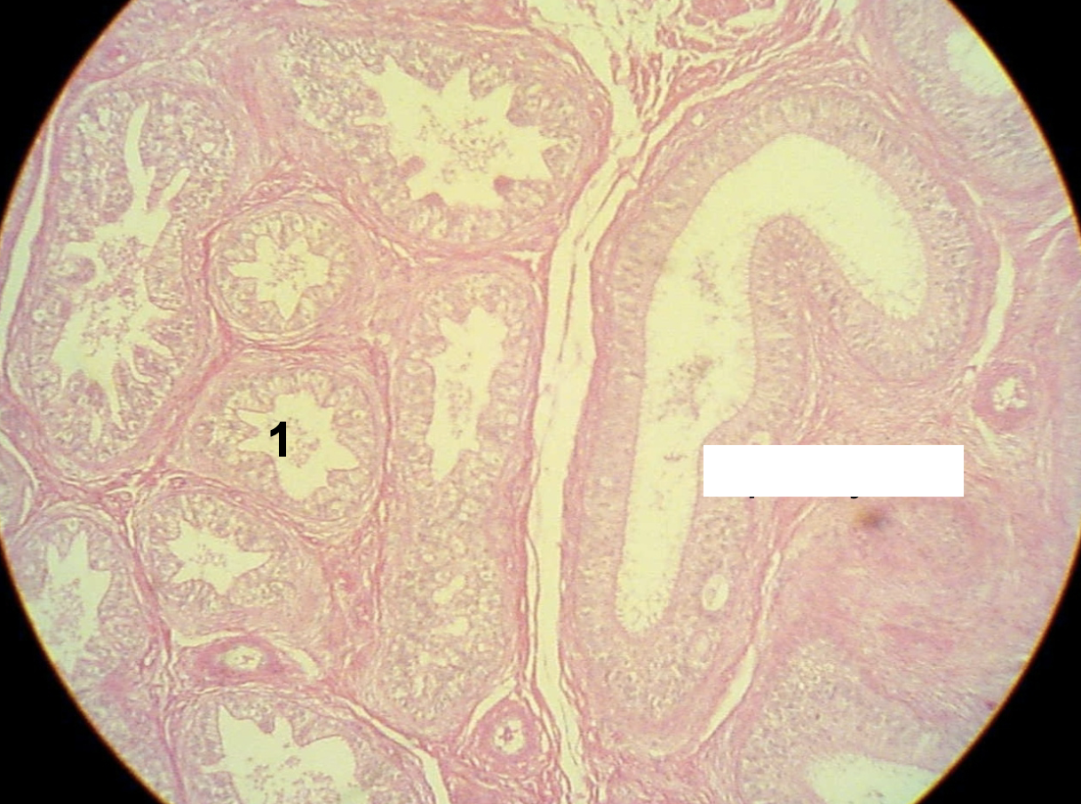
What are the structures being indicated by #1?
Efferent ducts

What is the larger opening that is being indicated by the white box?
Epididymis

What is the organ being depicted in the micrograph?
*Hint: This organ is responsible for sperm maturation and extragonadal storage.
Epididymis

What is the name of the overall structure being depicted?
Vas deferens

Which layer of the vas deferens is being indicated by the white box?
Serosa

Which layer of the vas deferens is being indicated by the yellow box?
Muscularis

Which layer of the vas deferens is being indicated by the blue box?
Mucosa

What structure is being indicated by the overall image?
Spermatic cord

Which structure is being indicated by the blue box?
Internal cremaster muscle

Which structure is being indicated by the blue star?
Spermatic veins

Which structure is being indicated by the blue circle?
Spermatic artery

Which structure is being indicated by the yellow star?
Vas deferens

Which structure is being indicated by the yellow box?
Spermatic nerve

Which structure is being indicated by the yellow circle?
External cremaster muscle

What structure is depicted within the micrographs?
*Hint: This is a paired accessory sex gland that has many interconnecting folds providing a “fishnet” appearance.
Vesicular gland

What structure is depicted within the micrograph?
Prostate gland (corpus)

Which structures are being indicated by the above arrows?
Finger-like evaginations of the mucosa

Which structures are being indicated by the lower arrow?
Lamellar concretions

What is the overall structure being observed in this cross section?
Penis

What is the structure being indicated by the top arrow?
Os penis

What is the structure being indicated by the arrows second from the top?
Corpus cavernosum penis

What structure is being indicated by the arrow second from the bottom?
Corpus spongiosum penis

What structure is being indicated by the bottom arrow?
Lumen of the penile urethra

What is the overall structure being observed in this cross section?
Pituitary gland