1/30
Looks like no tags are added yet.
Name | Mastery | Learn | Test | Matching | Spaced | Call with Kai |
|---|
No analytics yet
Send a link to your students to track their progress
What are intraoral images?
high-detail images where the sensor is placed INSIDE the mouth
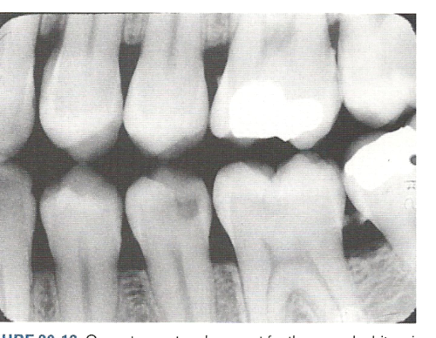
Bitewing
What type of x-ray is this?

What does a bitewing x-ray show?
the crowns of both the maxillary and mandibular teeth on a single image, along with the crestal bone
What is the primary purpose of a bitewing x-ray?
TO DETECT INTERPROXIMAL CARIES
What are some other purposes of a bitewing X-ray?
- monitoring CRESTAL BONE LEVELS/early signs of gum disease & periodontal disease
- checking the fit of existing restorations like crowns or fillings
What is the purpose of a horizontal bitewing?
It is the standard x-Ray for general cavity/bone checks; shows broad contact
What is the purpose of a vertical bitewing?
best for showing periodontal disease, revealing bone loss, root issues, or deeper decay
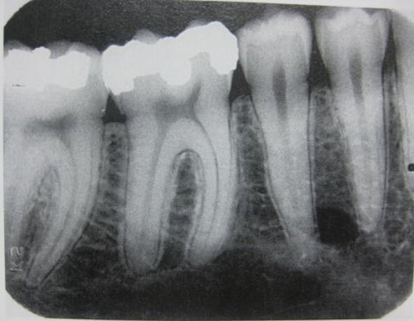
Periapical
what type of x-ray is this?

What does a periapical X-ray show?
the entire tooth from the biting surface (crown) to 2-3mm beyond the root tip (apex)
What is the primary purpose of a periapical x-ray?
DIAGNOSING APICAL PATHOLOGY (aka; abcesses or infections at the root tip)
What are other purposes of a periapical x-ray?
- evaluating root fractures or unusual root anatomy
- used during root canal therapy (Endodontics)
What would be an acceptable PA?
when it shows the entire apex and at least 2-3mm of surrounding bone
Occulusal
What type of x-ray is this? (imagine radiograph version)

What does an occlusal x-ray show?
a large area of either the entire upper or lower arch
What is the primary purpose of an occlusal x-ray?
LOCATING IMPACTED TEETH (aka; supernumerary (extra) teeth, or foreign objects)
What are the other purposes of occlusal x-rays?
- identifying salivary stones or large cysts/fractures in the jaw, or cleft palates
- commonly used in PEDIATRICS for children who have smaller mouths or cannot tolerate periapical sensors
What is an extraoral image?
the sensor is OUTSIDE of the mouth; these provide a "big picture" view but with less detail than intraoral images
Panoramic
what type of x-ray is this?

what does a panoramic x-ray show?
a wide, 2D view of the entire maxilla, mandible, teeth, sinuses, and TMJ (jaw joint)
What is the primary purpose of a panoramic x-ray?
EVALUATING THRID MOLARS (wisdom teeth and their position)
What are other purposes of a panoramic x-ray?
- detecting large lesions, jaw fractures, or tumors
- assessing dental development in children (growth patterns)
What are panoramic x-rays NOT good for?
detecting caries, they lack the resolution of bitewings
Cephalometric (ceph)
what type of x-ray is this?

what does a cephalometric x-ray show?
a lateral side profile of the entire skull & jaw
what is the primary purpose of a cephalometric x-ray?
FOR ORTHODONTICS/ORAL SURGERY (measuring the relationship between the teeth, jaw & facial profile)
what are the other purposes of a cephalometric x-ray?
- treatment planning
- monitoring facial growth & development
Cone - Beamed Computed Tomography (CBCT)
what type of x-ray is this ?

what does a CBCT x-ray show?
a 3D image of the dental structures, soft tissues, nerve pathways, and sinuses
what is the primary purpose a CBCT x-ray?
IMPLANT PLANNING, ROOT CANALS, ORTHODONTICS, ORAL ISSUES
what are the other purposes of a CBCT x-ray?
- to see bone depth and nerve locations
- evaluating jaw joint issues
what is unique about CBCT x-rays?
they produce the HIGHEST radiation dose but offers the most detailed spatial information (3D)