1/62
Looks like no tags are added yet.
Name | Mastery | Learn | Test | Matching | Spaced |
|---|
No study sessions yet.

Incisor

Canine (cuspid)

Premolar (bicuspid)

Molar (tricuspid)

Oropharynx

Tongue

Esophagus

Circular Layer

Oblique Layer

Longitudinal Layer

Greater curvature

Lesser curvature

Cardia (gastric region)

Pyloric sphincter

Rugae

Fundus

Body

Pylorus

Haustra

Cecum

Ileocecal valve

Ascending colon

Transverse colon

Descending colon

Sigmoid colon

Rectum

Anus

Anal sphincter

Appendix

Cystic duct

Hepatic duct

Gallbladder & Liver

Common bile duct

Pancreatic duct

Mesentery

Greater omentum

Left Lobe

Right Lobe

Falciform ligament

Round ligament

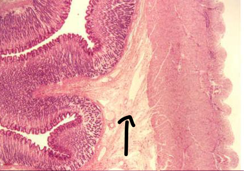
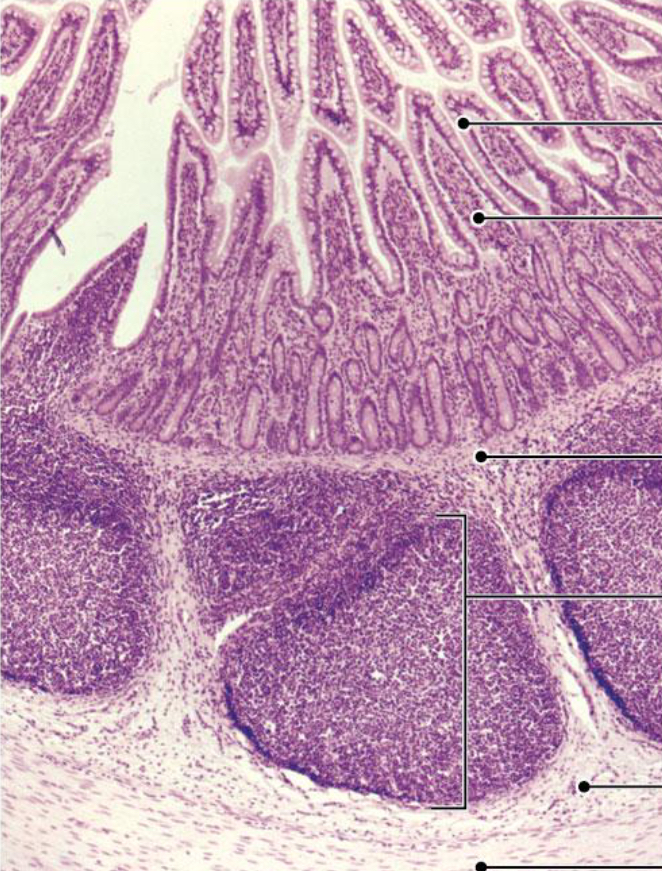
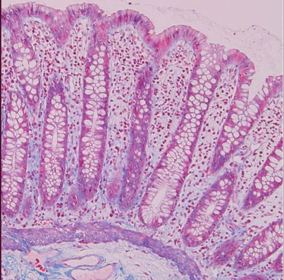
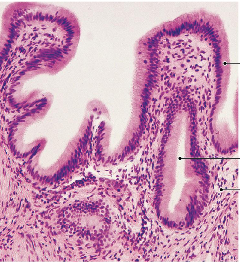
Mucosa

Submucosa

Muscularis Externa

Duodenum

Jejunum

Ileum

Large Intestine

Submandibular gland

Parotid Gland

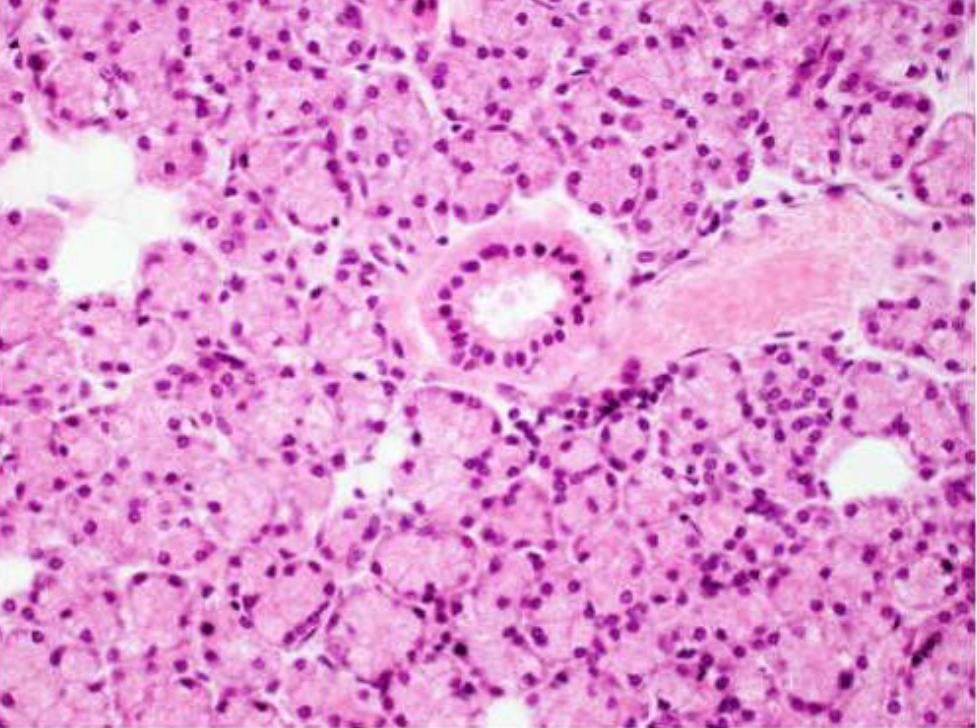
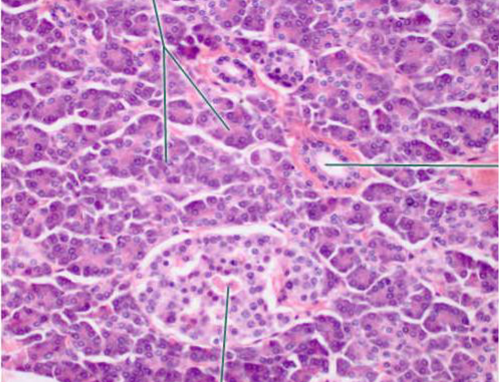
Pancreas

Gallbladder

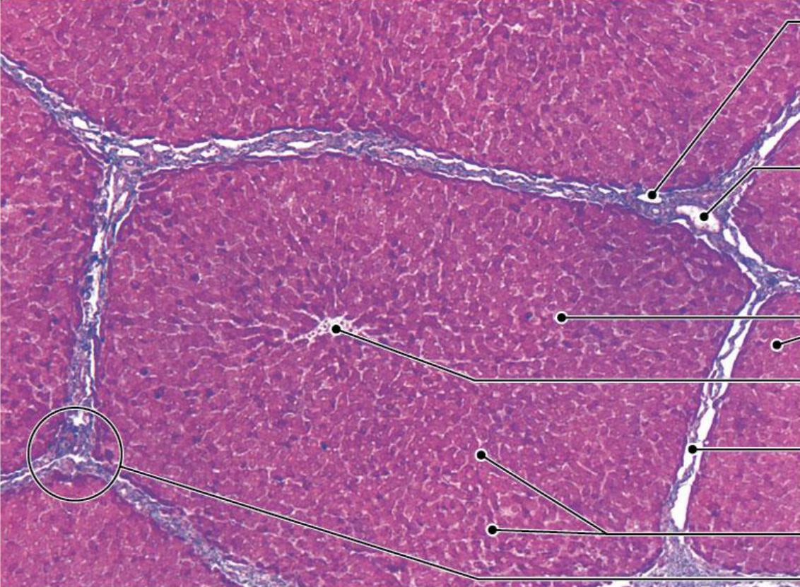
Liver
Mechanical digestion
food is broken down physically into smaller particles
Chemical digestion:
food particles are chemically altered by digestive enzymes
Environmental conditions
A factor that affects enzyme activity rate, if these conditions are not optimal, the enzyme will not work
carbohydrases
they are classified as amylase and they produce simple sugars
Salivary amylase:
they are able to begin starch digestion
Pancreatic amylase:
they are AbIe to further digest starches
Sucrease, lactase, Maltese:
able to finish sugar digestion
Proteases:
also known as protein, and produce amino acids, small peptides
Pepsin:
begins to cleave proteins into Amino acids
Trypsinogen
an digestive enzyme from the pancreas to help digest protein
Lipases
A type of enzyme class produced fatty acids and glycerol