1/62
dont need to memorize hormones, just the organ targets (ie pituitary affects mammary, thryoid, gonads, liver, and adrenal, muscle/bone/skin)
Name | Mastery | Learn | Test | Matching | Spaced | Call with Kai |
|---|
No analytics yet
Send a link to your students to track their progress
endocrine vs nervous system
endrocrine is slow, long lasting
can affect wider variety of distant targets
nervous is fast but short
what do u call the combination of endocrine and nervous when 2 systems coordinate responses
neuroendocrine
brain’s major organs of endocrine system
pineal gland, hypotehlemus, pituitary

throaghts/chest major organs of endocrine system
thyroid gland, thymus

abdomens major organs of endocrine system
adrenal gland, pancreas, parathyroid glands

gonads major organs of endocrine system
ovaries and testes
what are the most important hormone secreters
hypothalamus and pituitary
describe hypothalamus shape, location, and job
flat funnel shape, above/behind optic chiasm, releases hromones to regulate anterior pituitary gland

pituitary has ____ parts
2 (anterior and posterior)
andenohypophysis
the anterior pituitary lobe
what are the hormone secreting cells in adenohypophysis (anterior lobe)
acidophils and basophils
what is the hypophysial portal system
2 capillary beds (1 in hypothalamus, one in anteiro pituitary, and the poral venules that connect)
what is the posterior lobe of pituitary called, and its stalk
neurohyophophysis
stalk: infundibulum (white thing on right makde of nervous tittsssue)


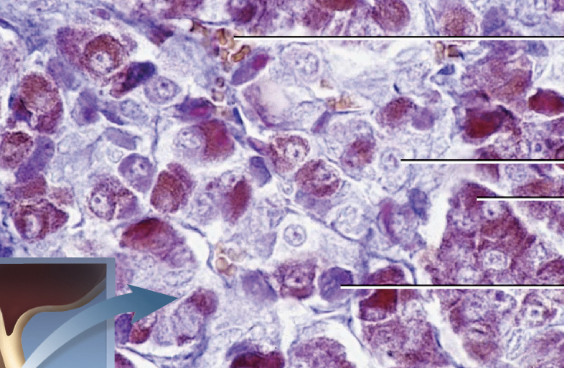
what gland is this
anterior pituitary

what does the posterior neurohyphohysis lobe consist of and what does it secrete
nervous (NOT glandular) tissue
secrets only 2 hormones

what gland is this
posterior pituitary

what organs does antieror pituitary gland target (w hormones)

where is pineal gland located
roof of 3rd ventricle
part of epithalamus of diencephalum
pineal gland secretion peaks from what ages and how much does it shrink/when (involution)
1 to 5
shrinks 75% at puberty
melatonin is in which gland
pineal

thymus description and location and when does it involute
bilobed in mediastinum (superior to heart)
MEGA large in fetus/infant
age 14 involutes (shrink)

thymus hormones stimulate what cells development
T cells (immune)
what gland is joined by isthmus (2 lobes)
thyroid
where is thyroid
adjacent to trachea in neck

thyoid gland contains ____ follicals
thryoid follicles

what do the throid follicles contian and what are they surrounded by
colloid (stores thryoglobulin) surrounded by follicular cells

what are the cells around the throid follicles
parafollicular cells

what do the throid gland hormones do
metabollic rate
how many glands in parathyroid/name
4 small ovoid
where is parathyroid
posterior of thyroid on neck
what produces hormones in parathyroid gland and its association/job
hromones from chief cells
bone loss/increased calcium level in blood
(if u dont eat enough, it will take calcium from bone to blood)

what is this + label
parathyroid and thyroid

adrenal glands are aka
suprarenal glands
adrenal/suprarenal gland location
superior of kdineys

what does adrenal gland contain
cortex and medulla
(endorcine/cortex and neuroendocrine/medulla functions)

adrenal cortex is how much of adrenal gland
80-90% outer side
adrenal cortex seperation name and what it produces
25+ seteroids
3 zones of tissue (depends on hormones)
zone glomerulosa, zona fasiculata, vs zona reticularis
g: supericial - mineralcorticoids (salt)
f: intermediate, thickest, glucororticoids (sugar)
r: deep, androgens/sex steroid

adrenal medulla (not cortex) is hwo much of andrenal gland?
10 to 20 % innermost
what cells does adrenal medulla (inner) contain
chromaffin
what cells of adrenal medulla secrete epinephrine (adrenalin) and norepinephrine
chromaffin cells
what do epinephrine and norepinphrine do
raises metabolic rate and energy (released into blood like hormones even tho neurotransmitters)

what has both endocrine and exocrine function
pancreas
endocrine pancrease cluster of cells name
pancreatic islets

name the 3 endocrine cluster of cells/pancreatic islets
alpha, beta, and delta cells

alpha beta vs delta cells in the pancreatic islet

gonads is
ovaries and testes
what do ovaries follicles contain and function
theca and garnulosa
hormones regulate prgenancy and menstrual cycle
ovary cell looks like?
egg cell!

testes is a
giant sac of condensed coils
what cells do testes contain and fucntio
interstitial (leydig) endorcine cells
sex drive, sperms

put this in order of how it works
reponse, effector cell, stimulus, hromone/neurotransmitter relase, feedback, endocrineorneural cell
stimulus
endocrine or neural cell
hromone or neurotransmitter release
efector cell
response
feedback (go back to #2)
ie
drink coke - high blood sugar
b cells in pancreas detect
relases insulin to combat
insulin will bind to cells like sekletal and adipose and suck it in
blood gluclose drop
less release of incsulin from pancreas
what happens in endocrine (hromone) disorders
secretion (hypo/hypersecretiojn) or receptor defect (hormone cant bind aka hromone insensitivity)
disorder where neck swells bc large thyroid
endemic goiter
endemic goiter cause and cure
hyposecretion of throid hormone (too LITTLE)
unable to release throid hormone results in hypertrophy (grow) of thyroid gland
iodine (thats why its in salt!)
insulin related disordeer
diabtes mellitus
type 1 diabtes mellitus
how prevelent, cause, “cure”
type 1 - (rarer 10%)
autoimmune destruction of pancreatic beta cells
must take exogenous insulin (injection or pump)
type 2 diabtes mellitus
how prevelent, cause, “cure”
90% of diabtes
insulin recpetor deficiency
diet/excercize/oral medication (sometimes insulin)
endocrine glands secrete..
hromones
what do hormones do
they are chemical messengers in bloodstream
stimulate responses in distant targets
can other organs w/sepcialized cell secrete hormones
yes
what are endocrine glands compared to exocrine
endocrine and ductless and secrete internally into bloodstream