1/9
病理實驗期中考點
Name | Mastery | Learn | Test | Matching | Spaced | Call with Kai |
|---|
No analytics yet
Send a link to your students to track their progress

V-5 神經母細胞瘤 (Neuroblastoma)
器官:腎上腺。
特徵:結節狀分佈,強烈藍白對比。
細胞:小藍圓細胞 (Small blue round cells) 散佈在粉色絲狀的神經氈 (Neuropil) 背景中。
關鍵字:
The third most common childhood neoplasm
adrenal gland (40%)
Related to stage, age, histologic grade, diploid DNA value, MYCN gene amplification
Neuropil (+), <5% differentiating neuroblasts → Poorly differentiated

V-6 腎母細胞瘤 (Wilms' tumor)
器官:腎臟(可見被壓迫發炎的腎小管/腎絲球)。
特徵:典型的三相變化 (Triphasic pattern)。
胚芽 (Blastemal):未分化小藍圓細胞。
上皮 (Epithelial):腺體管腔或花圈狀結構。
間質 (Stromal):呈束狀的梭狀細胞與黏液背景。
關鍵字:
most common primary renal tumor of childhood
Beckwith-Wiedemann, Denys-Drash and WAGR syndrome
WT1 mutation
most important unfavourable factors of Prognosis are high stage and the presence of anaplasia

V-7 肝母細胞瘤 (Hepatoblastoma, Fetal subtype)
器官:肝臟。
特徵:腫瘤細胞呈實心巢狀或薄板狀排列。
關鍵觀察:特徵性的明暗相間區帶 (Dark-light zonation) 以及類竇狀隙通道。
關鍵字:
Wnt pathway activation in 70-90% due to CTNNB1 (β catenin) mutation

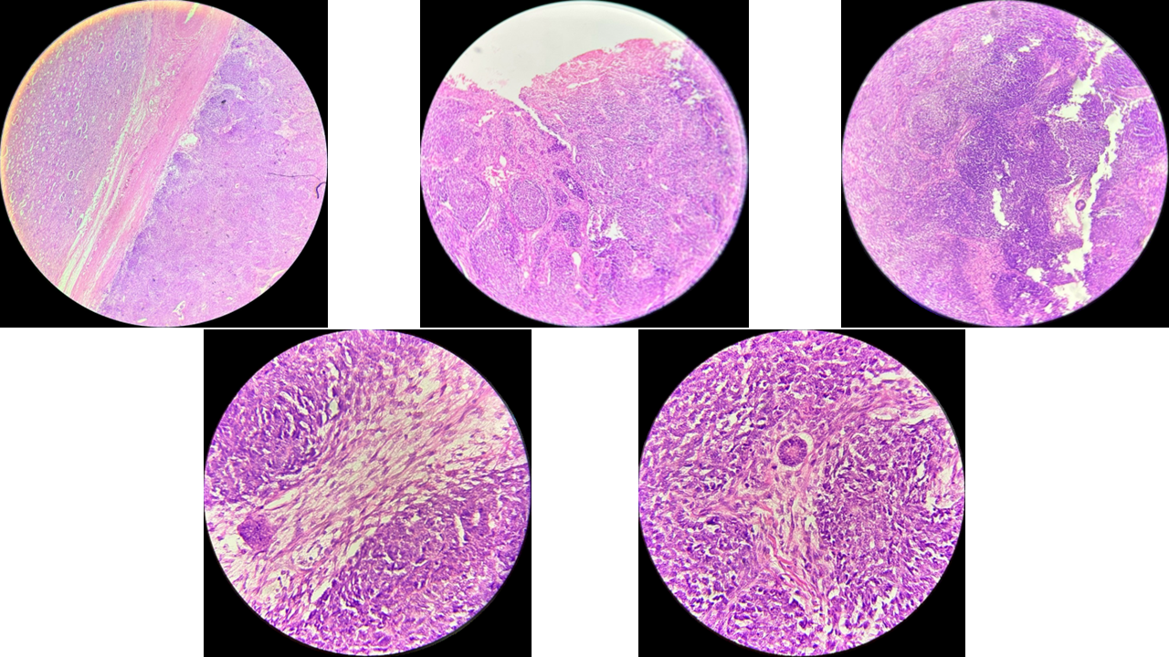
V-8 橫紋肌肉瘤 (Rhabdomyosarcoma, Embryonal/botryoid)
器官:膀胱等生殖泌尿道。
特徵:上皮下方有細胞極度密集的 Cambium layer (形成層)。
細胞:細胞疏鬆與密集區交錯,具有往骨骼肌分化的梭狀細胞,可見變異有絲分裂。
關鍵字:
Skeletal muscle differentiation is confirmed by immunohistochemical expression of desmin, myogenin, and/or MYOD1.
S-6 & S-7 血管平滑肌脂肪瘤 (Angiomyolipoma, AML)
特性:良性腫瘤,與正常腎組織界線明顯。
三大成分:
異常增厚的血管 (Angio)(thick-walled blood vessels)
長束/梭狀平滑肌細胞 (Myo)(smooth muscle cells)
成熟脂肪組織 (Lipoma)(Mature adipose tissue)
關鍵字:
Usually sporadic; in a minority of cases it may be identified in patients with tuberous sclerosis.
Presence in 25-50% of tuberous sclerosis patients
Loss-of-function mutations in TSC1 or TSC2 genes
S-8 嗜酸細胞瘤 (Oncocytoma)
特性:良性腎臟上皮腫瘤。
特徵:細胞大且圓,胞質充滿嗜酸性顆粒 (大量粒線體,呈紅紅一片),細胞排列成巢狀 (Nested structure)。
關鍵觀察:血管周圍常因缺血產生退化性改變 (Degenerative change),出現深染、形狀不規則的變異細胞核。
關鍵字:
Tumor cells are round to polygonal with granular eosinophilic cytoplasm.
Nuclei are uniformly round, only focally bizarre due to degenerative change.
positivity for KIT (CD117)
S-9 腎亮細胞癌 (Clear cell renal cell carcinoma, CCRCC)
特性:最常見的惡性腎細胞癌。
特徵:細胞質白白亮亮 (Clear cytoplasm),內含肝醣與脂肪;細胞核型態多變呈惡性特徵。
關鍵觀察:腫瘤細胞之間有明顯的微細分支纖維血管中隔 (Delicate branching fibrovascular septation) 區隔。(Essential: renal mass showing solid, nested, tubular, haemorrhagic, or alveolar architecture composed of clear cells with fine arborizing vascularity)
關鍵字:
von Hippel-Lindau (VHL) disease is one of the risk factors
positivity for CAIX (CA9)
R-2 隱球菌病 (Cryptococcosis)
器官:肺部。
特徵:肉芽腫性發炎與中央壞死。
關鍵觀察:肺泡腔與壞死組織周圍可見大量具厚莢膜/蛋殼狀 (Thick capsule) 的酵母菌型隱球菌。
關鍵字:
Risk group: Usage of high-dose corticosteroid
Major lesions are in the CNS (meningoencephalitis)
R-7 單純疱疹病毒感染 (Herpes simplex virus infection, HSV)
器官:皮膚或黏膜。
特徵:上皮內產生水泡 (Blisters) 並伴隨發炎細胞浸潤與壞死。
細胞特徵 (3Ms 法則):
Margination (核邊緣化):包涵體將染色質擠到核邊緣。
Multinucleation (多核):形成多核上皮細胞。
Molding (核擠壓變形):多核間互相擠壓呈不規則狀。
關鍵字:
HSV-1 and HSV-2
Latency: persistent of viral genome reside in sensory ganglia that do not produce infectious viral particle
R-13 傳染性軟疣 (Molluscum contagiosum)
器官:皮膚。
特徵:鱗狀上皮向下增生,形成中央凹陷的杯狀/圓頂狀病灶 (Dome-shaped with dimpled center)。
關鍵觀察:顆粒層細胞內可見大量嗜酸性的細胞質內包涵體 (Molluscum bodies,軟疣小體),會將細胞核擠壓到邊緣。
關鍵字:
Caused by molluscum contagiosum poxvirus