A + P Epithelial, Connective, Nerve and Muscle Tissu

0.0(0)
studied byStudied by 0 people
0.0(0)
full-widthCall with Kai
GameKnowt Play
New
learnLearn
examPractice Test
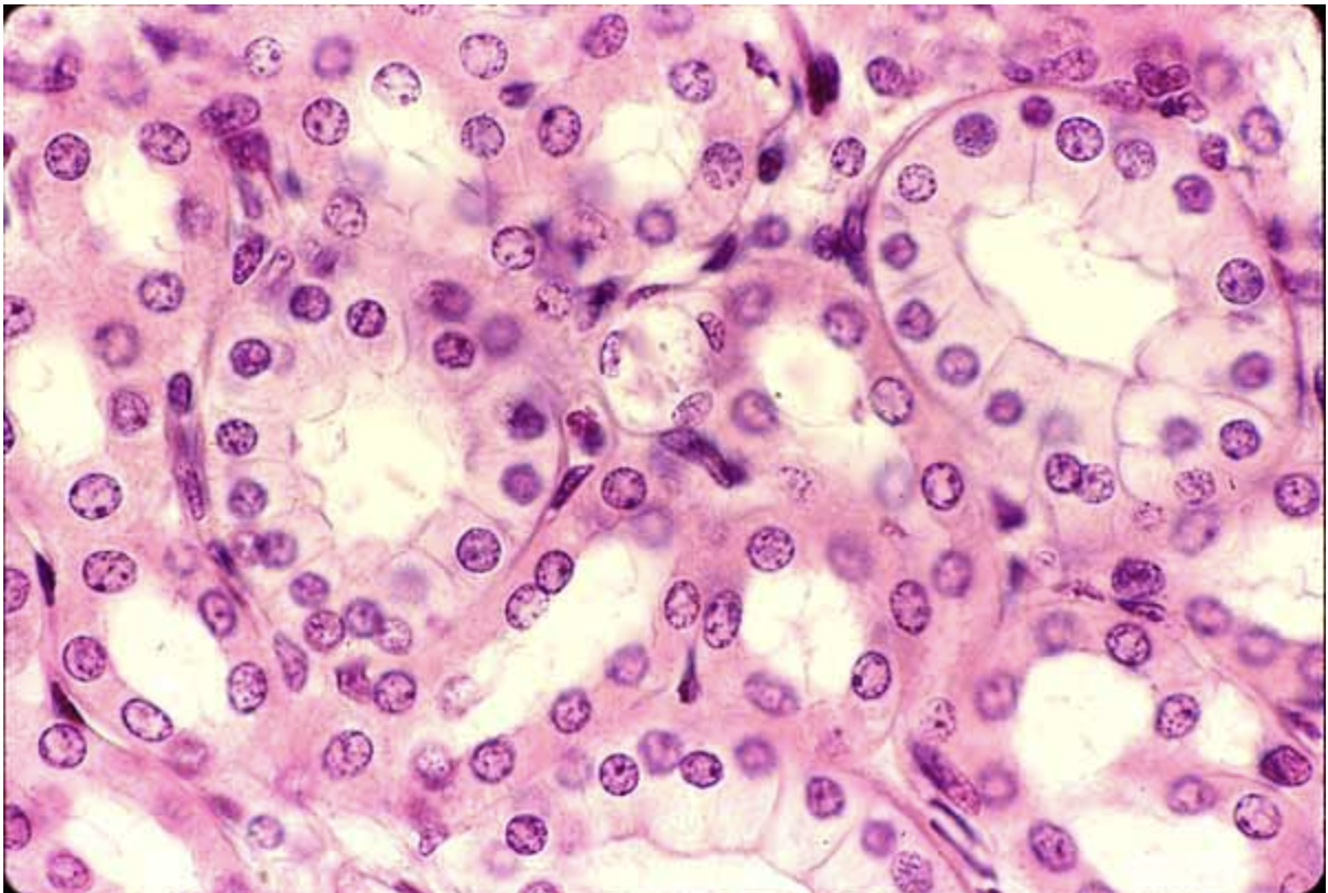
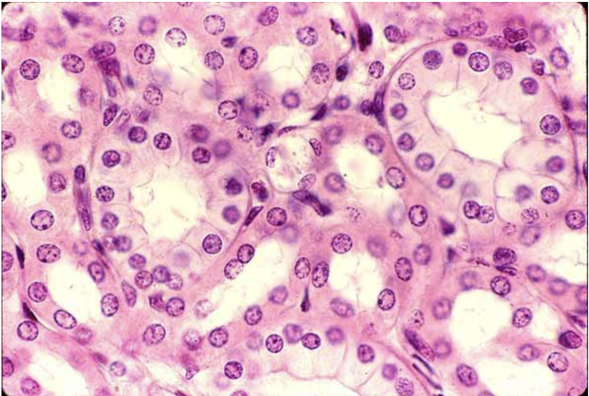
spaced repetitionSpaced Repetition
heart puzzleMatch
flashcardsFlashcards
Card Sorting

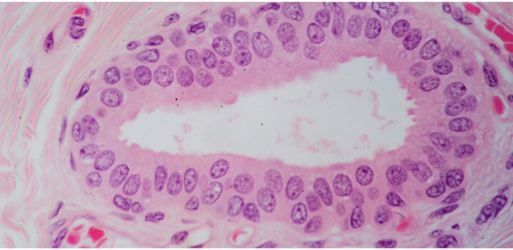
1/107

encourage image

There's no tags or description

Looks like no tags are added yet.

Study Analytics
Name
Mastery
Learn
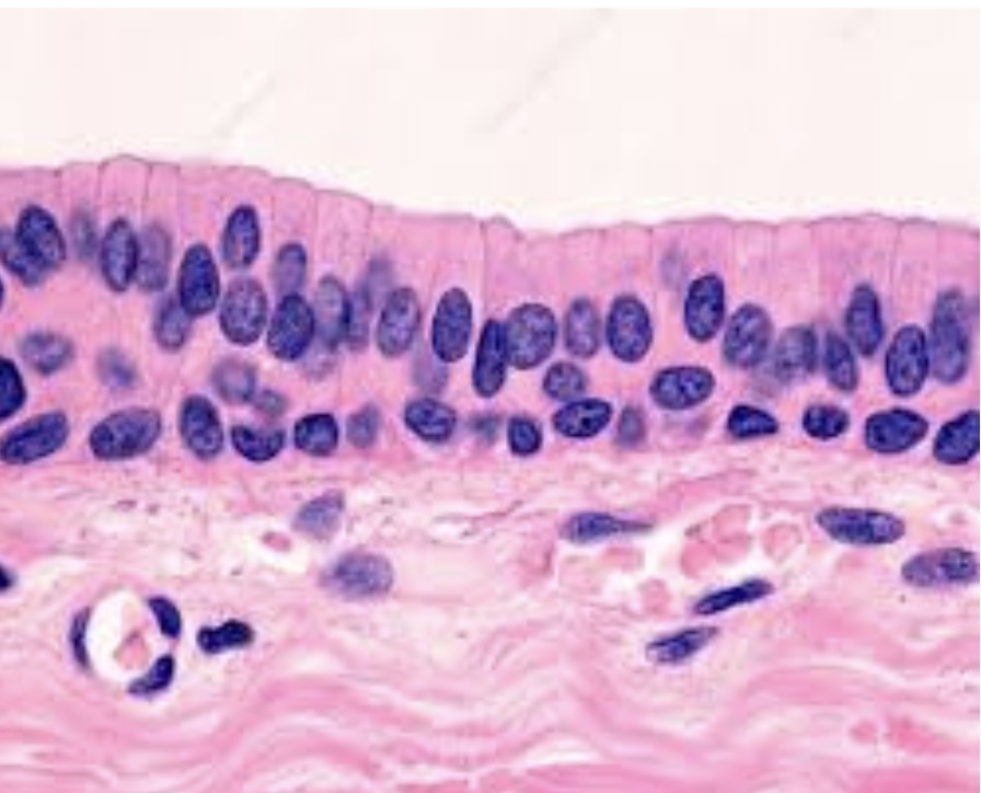
Test
Matching
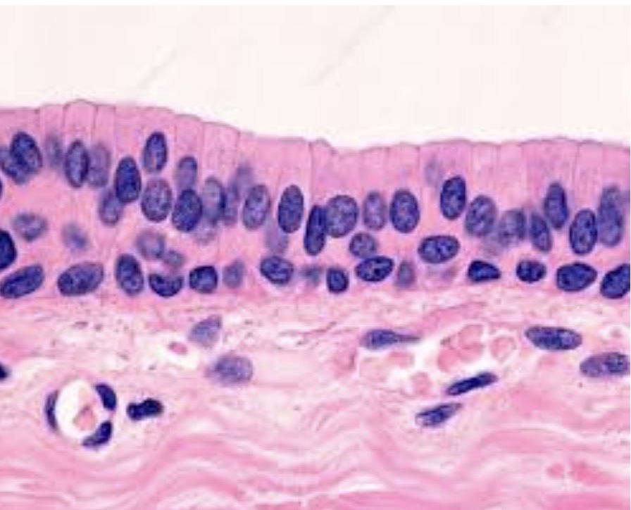
Spaced

No study sessions yet.

108 Terms

1
New cards
<p>What class?</p>

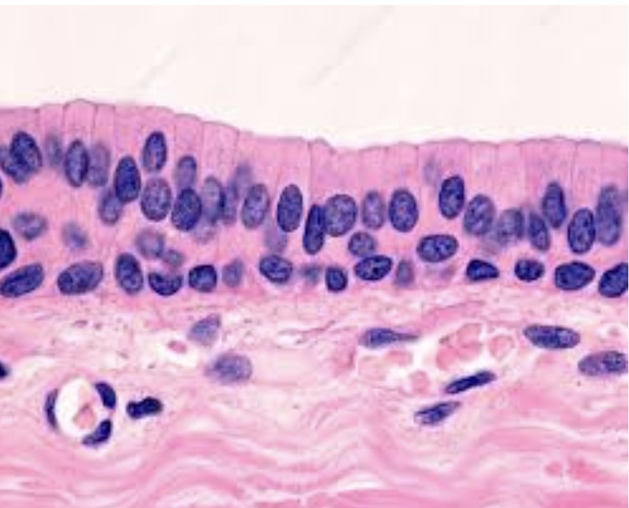
What class?

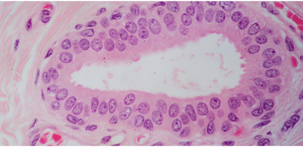
Epithelial

2
New cards
<p>What type?</p>

What type?

Simple Squamous

3
New cards
<p>Where is this found?</p>

Where is this found?

air sacs of the lungs, capillaries

4
New cards
<p>What is the function?</p>

What is the function?

diffusion, filtration, secretion of serous flui

5
New cards
<p>What class?</p>

What class?

Epithelial

6
New cards
<p>What type?</p>

What type?

Stratified Squamous (non-keratinized)

7
New cards
<p>What is the location?</p>

What is the location?

lining of mouth, esophagus, vagina, anus

8
New cards
<p>what is the function?</p>

what is the function?

protection against abrasion, keeps surfaces moist

9
New cards
<p>What class?</p>

What class?

Epithelial

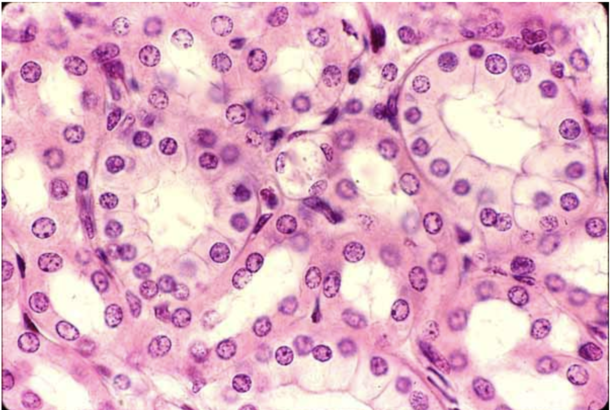
10
New cards
<p>What type?</p>

What type?

Simple Cubodial

11
New cards
<p>What is the location?</p>

What is the location?

kidney tubules, glands, ducts, surface of ovaries

12
New cards
<p>what is the function?</p>

what is the function?

secretion and absorption

13
New cards
<p>What class?</p>

What class?

Epithelial

14
New cards
<p>What type?</p>

What type?

transitional epithelium

15
New cards
<p>what is the location?</p>

what is the location?

urinary bladder, ureters, part of urethra

16
New cards
<p>what is the function?</p>

what is the function?

stretching and recoil, permits distension of urinary organ

17
New cards
<p>what class?</p>

what class?

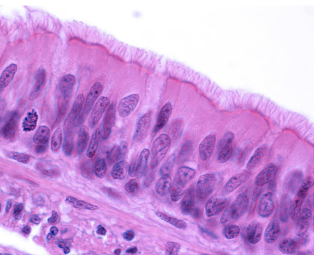
epithelial

18
New cards
<p>what type?</p>

what type?

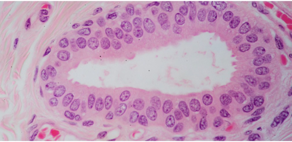
simple columnar (non-ciliated)

19
New cards
<p>What is the location?</p>

What is the location?

lining of digestive tract (stomach, intestines), gallbladder

20
New cards
<p>what is the function?</p>

what is the function?

absorption, secretion of mucus/enzymes

21
New cards
<p>what class?</p>

what class?

epithelial

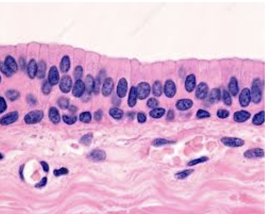
22
New cards
<p>what type</p>

what type

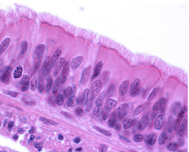
pseudostratified columnar (ciliated)

23
New cards
<p>what is the location?</p>

what is the location?

lining of trachea and most upper respiratory tract

24
New cards
<p>what is the function?</p>

what is the function?

secretion (especially mucus) and propulsion of mucus by ciliary action

25
New cards
<p>what class?</p>

what class?

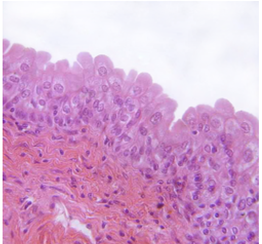
epithelial

26
New cards
<p>what type?</p>

what type?

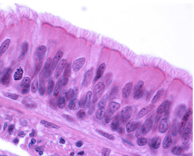
simple columnar (ciliated)

27
New cards
<p>what is the location?</p>

what is the location?

lining of uterine tubes, small bronchi

28
New cards
<p>what is the function?</p>

what is the function?

movement of substances (egg in uterine tube, mucus in bronchi)

29
New cards
<p>what class?</p>

what class?

epithelial

30
New cards
<p>what type?</p>

what type?

stratified squamous (keratizined)

31
New cards
<p>what is the location?</p>

what is the location?

epidermis of skin

32
New cards
<p>what is the function</p>

what is the function

protection against abrasion, pathogens, water loss

33
New cards
<p>what class?</p>

what class?

epithelial

34
New cards
<p>what type?</p>

what type?

stratified cubodial

35
New cards
<p>what is the location?</p>

what is the location?

ducts of sweat glands, mammary glands, salivary glands

36
New cards
<p>what is the function?</p>

what is the function?

protection, secretion

37
New cards
<p>what class?</p>

what class?

epithelial

38
New cards
<p>what type?</p>

what type?

stratified columnar

39
New cards
<p>what is the location?</p>

what is the location?

rare; male urethra, large ducts of some glands

40
New cards
<p>what is a the function?</p>

what is a the function?

secretion

41
New cards
<p>what class?</p>

what class?

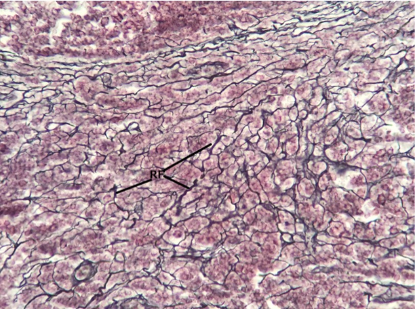
connectice

42
New cards
<p>what type?</p>

what type?

areolar (loose)

43
New cards
<p>what is the location?</p>

what is the location?

under epithelia, around capillaries, packages organs

44
New cards
<p>what is the function?</p>

what is the function?

wraps and cushions organs; holds tissue organs

45
New cards
<p>what class?</p>

what class?

connective

46
New cards
<p>what type?</p>

what type?

adipose

47
New cards
<p>what is the location?</p>

what is the location?

subcutaneous tissue, around kidneys, breasts, abdomen

48
New cards
<p>what is the function?</p>

what is the function?

energy storage, insulation, cushioning

49
New cards
<p>what is the class?</p>

what is the class?

connective

50
New cards
<p>what type?</p>

what type?

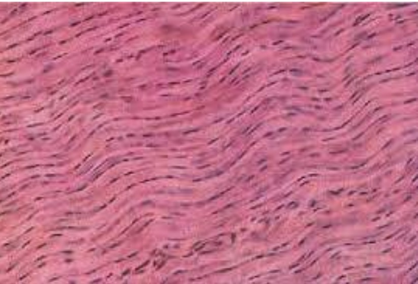
dense regular

51
New cards
<p>what is the location?</p>

what is the location?

tendons, ligaments, aponeuroses

52
New cards
<p>what is the function?</p>

what is the function?

withstands stress in one direction, strong attachment

53
New cards
<p>what class?</p>

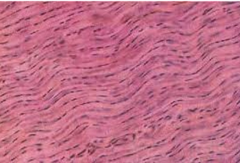
what class?

connective

54
New cards
<p>what type?</p>

what type?

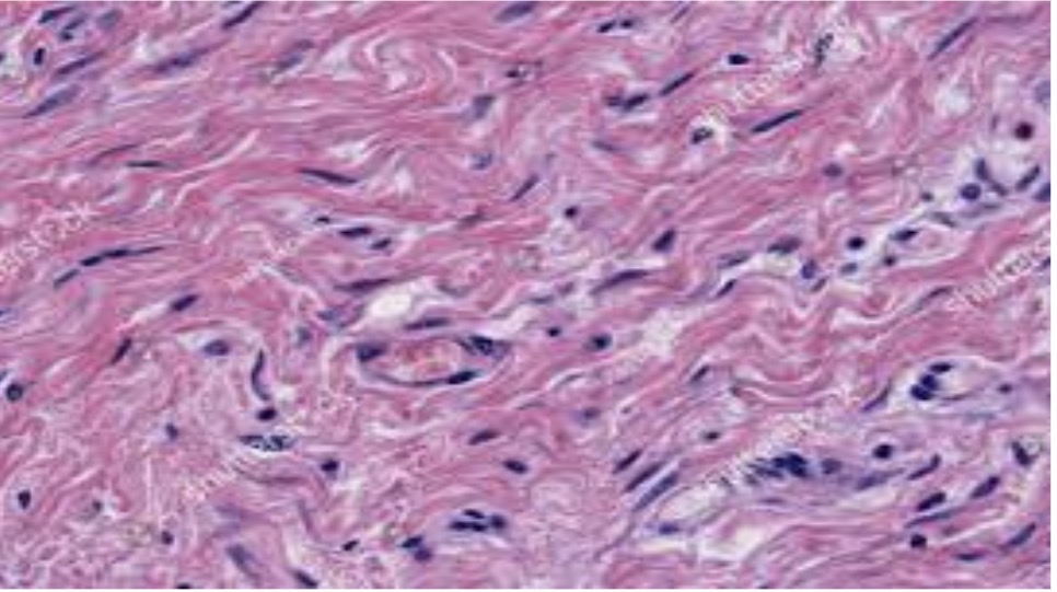
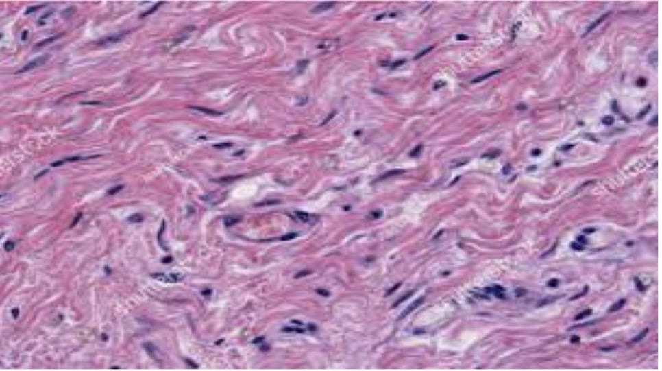
dense irregular

55
New cards
<p>what is the location?</p>

what is the location?

dermis of skin, fibrous capsules of joints and organs

56
New cards
<p>what is the function?</p>

what is the function?

withstands tension from multiple directions

57
New cards
<p>what class?</p>

what class?

connective

58
New cards
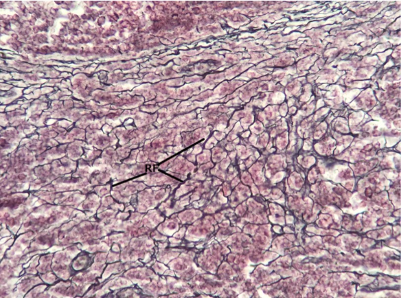
<p>what type?</p>

what type?

reticular

59
New cards
<p>what is the location?</p>

what is the location?

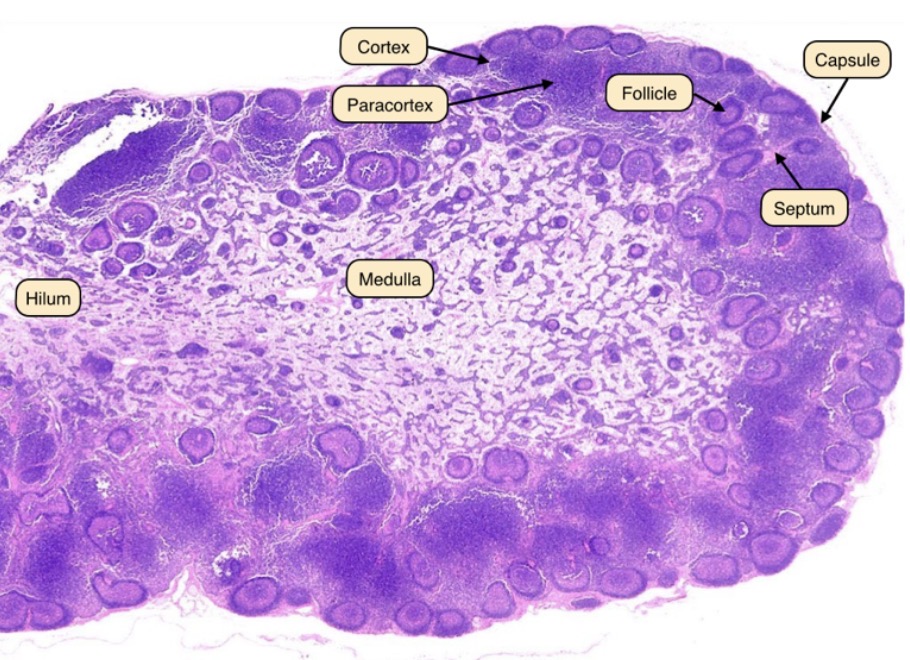
lymph nodes, spleen, bone marrow

60
New cards
<p>what is the function?</p>

what is the function?

supports framework for soft organs

61
New cards
<p>what class?</p>

what class?

connective

62
New cards
<p>what type?</p>

what type?

blood

63
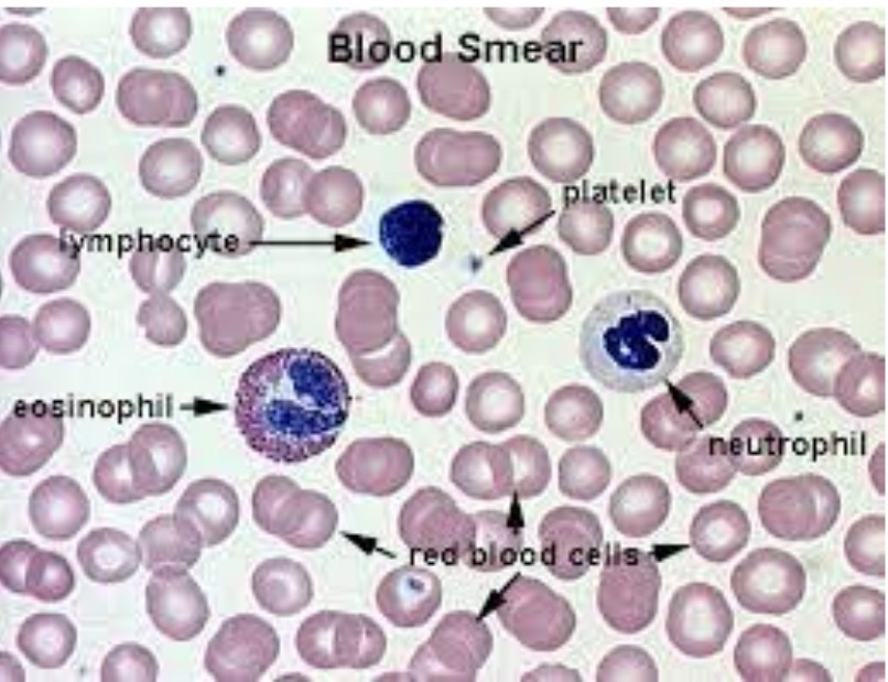
New cards
<p>what is the location?</p>

what is the location?

within blood vessels and heart

64
New cards
<p>what is the function?</p>

what is the function?

transports gases, nutrients, wastes; immune defense; clotting

65
New cards
<p>what class?</p>

what class?

connective

66
New cards
<p>what type?</p>

what type?

bone

67
New cards
<p>what is the location?</p>

what is the location?

skeleton (bones)

68
New cards
<p>what is the function?</p>

what is the function?

support, protection, movement, stores calcium, blood cell production

69
New cards
<p>what class?</p>

what class?

connective

70
New cards
<p>what type?</p>

what type?

hyaline cartilage

71
New cards
<p>what is the location?</p>

what is the location?

nose, trachea, larynx, costal cartilage, ends of long bones

72
New cards
<p>what is the function?</p>

what is the function?

support, flexibility, smooth surface for joints

73
New cards
<p>what class?</p>

what class?

connective

74
New cards
<p>what type?</p>

what type?

fibrocartilage

75
New cards
<p>what is the location?</p>

what is the location?

intervertebral discs, pubic symphysis, menisci of knee

76
New cards

whata is the function?

absorbs compressive shock

77
New cards
<p>what class?</p>

what class?

connective

78
New cards
<p>what type?</p>

what type?

elastic cartilage

79
New cards
<p>what is the location?</p>

what is the location?

external ear, epiglottis

80
New cards
<p>what is the function?</p>

what is the function?

strength + flexibility

81
New cards
<p>what class?</p>

what class?

connective

82
New cards
<p>what type?</p>

what type?

elastic connective

83
New cards
<p>what is the location?</p>

what is the location?

walls of large arteries, bronchial tubes, ligaments of vertebral column

84
New cards
<p>what is the function?</p>

what is the function?

allows recoil snd stretching

85
New cards
<p>what class?</p>

what class?

connective

86
New cards
<p>what type?</p>

what type?

lymph

87
New cards
<p>what is the location?</p>

what is the location?

lymphatic vessels, lymphoid organs

88
New cards
<p>what is the function?</p>

what is the function?

returns interstitial fluid to blood, immune surveillance

89
New cards
<p>what class?</p>

what class?

nerve

90
New cards
<p>what type?</p>

what type?

multipolar neuron

91
New cards
<p>what is tbe location?</p>

what is tbe location?

brain, spinal cord, motor neurons to skeletal muscles

92
New cards
<p>what is the function?</p>

what is the function?

integrates and transmits impulses to other neurons or effectors

93
New cards
<p>what class?</p>

what class?

neurolgia

94
New cards
<p>what type?</p>

what type?

astrocytes

95
New cards
<p>what is the location?</p>

what is the location?

CNS (brain + spinal cord)

96
New cards
<p>what is the function?</p>

what is the function?

support, from blood-brain barrier, regulates nutrients + ion balance, repair tiasue

97
New cards
<p>what class?</p>

what class?

muscle

98
New cards
<p>what type?</p>

what type?

skeletal muscle cell (fiber)

99
New cards
<p>what is the location?</p>

what is the location?

attached to bones via tendons

100
New cards
<p>what is the function?</p>

what is the function?

voluntary movement of body, posture, heat production