1/20
Looks like no tags are added yet.
Name | Mastery | Learn | Test | Matching | Spaced | Call with Kai |
|---|
No analytics yet
Send a link to your students to track their progress
what is a poikilocyte
variation in shape
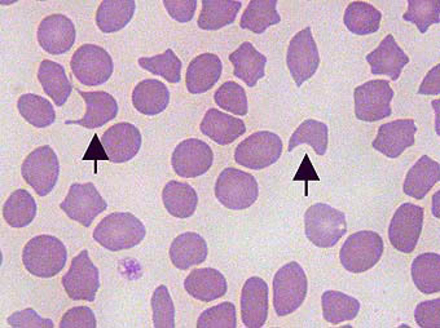
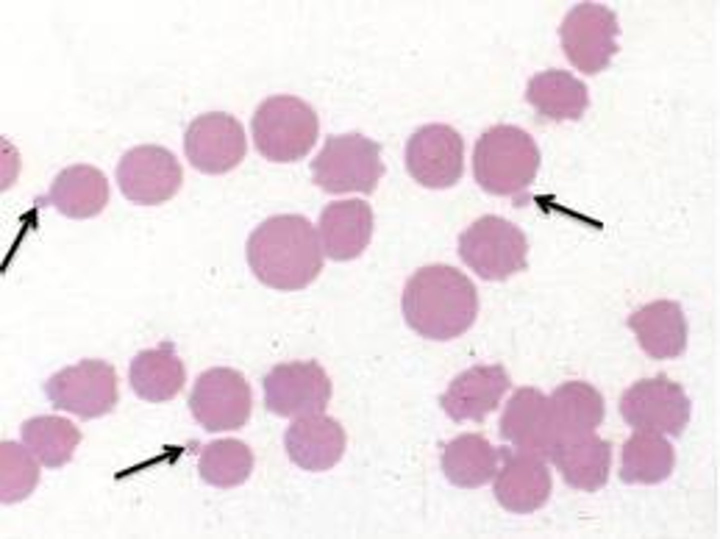
Schistocyte
RBC fragment
- associated with DIC

Acanthocyte
- Uneven projections on membrane (Spurr cell)
- liver disease

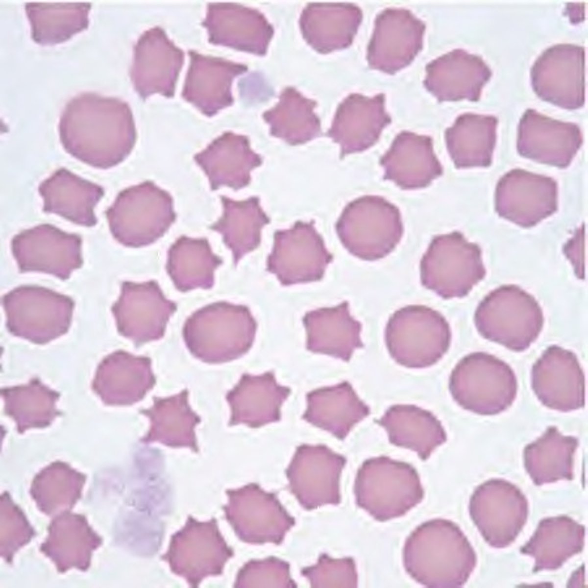
Echinocyte
- even projections on membrane (burr cell)
- human error

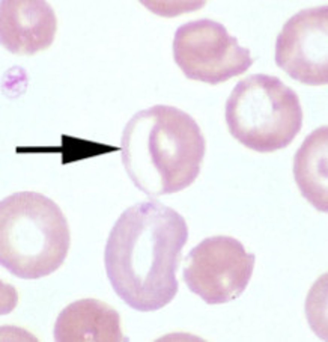
Keratocyte
- blister cell
- liver issues, BM issue, 2nd to anemia

spherocyte
- only in dogs
- auto immune disease

Types of Leptocytes
- Condocyte (target cell)
- Stomatocytes,
- Knizocyte (Bar cell)
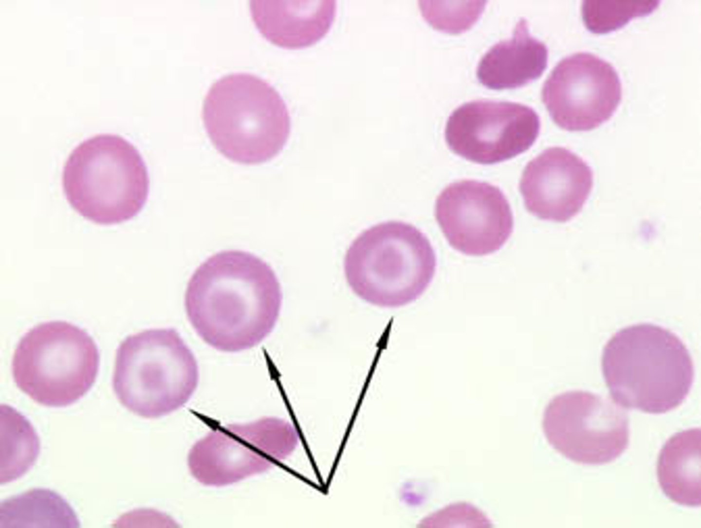
Target cell
condocyte

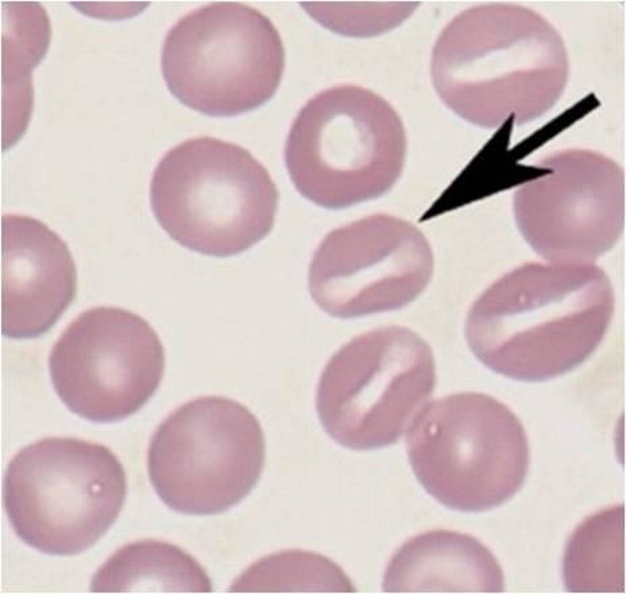
stomatocyte

barr cell
knizocyte

elliptocyte
- ovalocyte
- liver/kidney disease

eccentrocyte
diabetes/cancer/toxins

dacryocyte
- tear shape
- BM issues
- human error

Basophillic Stippling
- dark speckles
- rumintants/cats with anemia

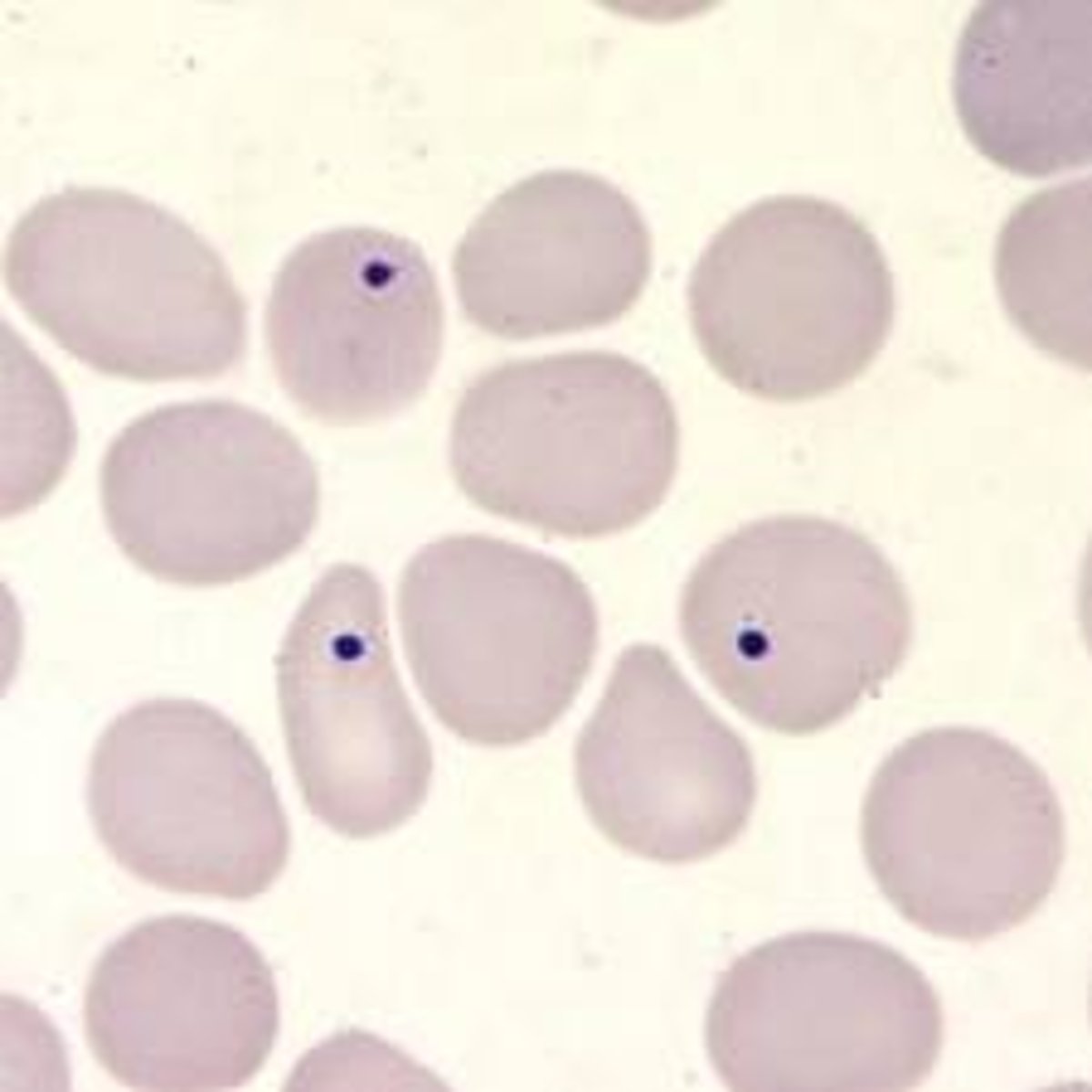
Howell-Jolly Bodies
- nuclear remnants
- anemia

Heinz Bodies
- pale area
- cancer/hyperthyroidism/diabetes

Mycoplasma haemofelis
- found on membrane
- may trigger immune response

bone marrow not working & non regenerative appearance
- Normocytic
- normochromic
- low PCV
BM responding, regenerative, has reticulocytes
- macrocystic
- polychromic
iron deficiency appearance
- microcytic
- hypochromic
what is macrocytic, normochromic cells
- rare
- caused by genetics, FeLV, B12 deficiency