Obstructive Lung Disease - Clin Med 5

5.0(2)
Studied by 5 people
call kaiCall Kai
learnLearn
examPractice Test
spaced repetitionSpaced Repetition
heart puzzleMatch
flashcardsFlashcards
GameKnowt Play
Card Sorting

1/59

encourage image

There's no tags or description

Looks like no tags are added yet.

Last updated 2:27 AM on 7/8/25
Name
Mastery
Learn
Test
Matching
Spaced
Call with Kai

No analytics yet

Send a link to your students to track their progress

60 Terms

1
New cards

What does this refer to

  • A 5-year-old is brought to his pediatrician’s office by his parents because he cannot keep up with his friends while playing outside because he is short of breath.

  • His parents report that they notice him occasionally coughing at night but he is otherwise healthy.

  • On physical exam, respiratory rate is within normal limits and slight end expiratory wheezing is appreciated diffusely.

Asthma

2
New cards

What does this refer to

  • Chronic respiratory condition marked by spasms in the bronchi of the lungs

  • Reversible, intermittent and obstructive disease of the small airways

  • Usually results from an allergic reaction or other forms of hypersensitivity

Asthma

3
New cards

What does this refer to

  • Affects 5-10% of the population

  • 75% dx before age 7

  • MC chronic pediatric disease

  • MC males in childhood

    • Males more likely to have decrease in sx by late adolescence

  • Higher prevalence in females after puberty

Epidemiology of Asthma

4
New cards

What does this refer to

  • Atopy is greatest risk factor → genetic etiology

    • Strongest identifiable factor

    • Atopic dermatitis (eczema)

    • Food allergies

    • Allergic rhinitis

  • Eosinophilia

  • Factors that contribute to airway hypersensitivity  asthma

    • Exposure to allergens/triggers

    • Exercise

    • GERD

    • Aspirin

    • Emotional factors or stress

    • Beta blockers

    • Obesity

Etiology Asthma

5
New cards

What does this refer to

  • Airway hyperreactivity + bronchoconstriction + inflammation

  • Elevated level of IgE binds to mast cells (Eosinophilic asthma)

Asthma Pathophysiology

6
New cards

What does this refer to

  • Atopy

    • Strongest identifiable factor

    • Atopic dermatitis

    • Food allergies

    • Allergic rhinitis

  • Samter’s Triad

    • Asthma + Chronic rhinosinusitis with nasal polyps + ASA sensitivity

  • Atopic Triad

    • Asthma + Atopic Dermatitis + Allergic Rhinitis

Risk factors for asthma

7
New cards

If your patient has asthma what medication do you NOT give (as it can exacerbate asthma)

Beta blockers

8
New cards

What kind of asthma has an aspirin sensitivity

Samster’s Triad (AERD?)

9
New cards

What does this refer to

  • Non-allergic (Intrinsic)

  • Allergic (Extrinsic) → IgE ↑

  • Medications

Triggers Asthma

10
New cards

What does this refer to

  • (Intermittent) dyspnea +

  • Cough (typically NOT productive) +

  • Wheezing

    • Expiratory usually more pronounced

  • Chest tightness

Clinical history Asthma

11
New cards

What does this refer to

  • Acute Exacerbation

    • Pulmonary exam/auscultation

      • High pitched, musical wheezes

      • Pitch may be variable in different stages of the respiratory cycle

  • Accessory muscle use

  • Prolonged expiratory phase

  • Tachypnea

  • Hyperresonance

  • Extrapulmonary findings

    • Pale, swollen membranes of the nasal cavities

    • Cobblestone appearance to the posterior pharyngeal wall

    • Nasal polyps

    • Atopic dermatitis

Physical exam asthma

12
New cards

What does this refer to

  • Characteristically come and go

  • Time course of hours to days,

  • Typically spontaneous resolution

    • Removal from the triggering stimulus or medications

  • Characteristic triggers

    • Exercise

    • Cold air

    • Exposure to inhaled allergens (aeroallergens)

Episodic presentation of asthma

13
New cards

What does this refer to

Differential Diagnosis for Asthma

14
New cards

What does this refer to

Workup for Asthma

15
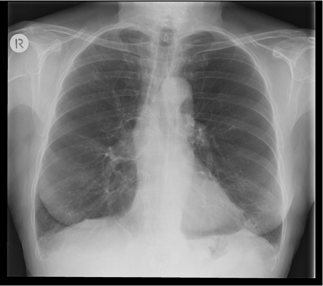
New cards

What does this refer to

CXR in Asthma

16
New cards

When do asthma symptoms commonly occur

At night or early hours of morning

17
New cards
<p>What does this refer to </p>

What does this refer to

Asthma classification

18
New cards
<p>What does this refer to </p>

What does this refer to

What Asthma Looks Like on PFT

19
New cards

Your patient has pale nasal membranes what is the dx?

Asthma

20
New cards

What does this refer to

  • ________ is measured using a simple and inexpensive device (approximately $20)

  • Not a diagnostic tool

  • Great for monitoring in a patient diagnosed with asthma

  • Assess the role of a particular occupational exposure or trigger, rather than as a tool for the primary diagnosis of asthma

Peak Expiratory Flow Meters

21
New cards

What does this refer to

  • Vaccinations

  • Avoid triggers

  • Medication compliance

Clinical Interventions of Asthma

22
New cards

What does this refer to

  • Cromolyn (Mast cell stabilizer)

    • Exercise prophylaxis

  • Montelukast (Singulair)

  • Exercise prophylaxis or aspirin-induced asthma

  • Prior to exposure to triggers

  • Lifestyle modifications & allergy avoidance

Other management strategies Asthma

23
New cards

What does this refer to

  • _________ who do not reach optimal control following standard guidelines

  • Mepolizumab (Nucala) SC injection (monthly)

    • Add-on

    • Adults and pediatric patients > or equal to 6 yo —> severe eosinophilic asthma

Clinical Pharmacotherapeutics Eosinophilic Asthma

24
New cards

What does this refer to

  • Freedom from frequent or troublesome symptoms of asthma

  • Few night-time awakenings (≤2 nights per month) due to asthma

  • Minimal need (≤2 days per week) for medication for acute relief of asthma symptoms

  • Optimized lung function

  • Maintenance of normal daily activities, including work or school attendance and participation in athletics and exercise

  • Satisfaction with asthma care on the part of patients and families

Optimizing control of sx Asthma

25
New cards
<p>What does this refer to </p>

What does this refer to

Rule of Two

26
New cards

What does this refer to

  • Acute reversibility of airflow obstruction

  • Tested by administering 2 to 4 puffs of a quick-acting bronchodilator

  • Repeat spirometry 10 to 15 minutes later

  • Measurements can also be made before and after administration of nebulized bronchodilator

  • Increase in FEV1 of > or equal to 12% + absolute increase in FEV1 of at least 200 mL, can be attributed to bronchodilator responsiveness with 95% certainty

Bronchodilator Response Asthma

27
New cards

What does this refer to

  • Presence of a LARGE bronchodilator response

  • Minimal bronchodilator responsiveness may also be seen with

    • COPD

    • Cystic fibrosis

    • Non-cystic fibrosis bronchiectasis

    • Bronchiolitis

Bronchodilator Response Asthma

28
New cards

What does this refer to

  • Pulmonology and allergists/immunologists

  • Difficulty confirming dx

  • Hx life-threatening asthma exacerbation(s)

  • Need for step 5 care or higher

  • Poor control after 3-6 months of active (and compliant) asthma care

  • Complicating co-morbidities

Referral Asthma

29
New cards

What does this refer to

  • Patients with poorly controlled asthma may develop long term changes in airway

  • Sx are chronic and become less likely to be irreversible due to the airway remodeling

  • Onset of disease at older age = greater likelihood to have chronic sx

  • Higher mortality rate in patients > 40 yo who smoke

  • Peak Expiratory Flow Rate to monitor at home

Prognosis Asthma

30
New cards
<p>What does this refer to </p>

What does this refer to

yikes (just know it i guess)

31
New cards

What does this refer to

  • Spirometry, in which a maximal inhalation is followed by a rapid and forceful complete exhalation into a spirometer, includes measurement of forced expiratory volume in one second (FEV1) and forced vital capacity (FVC).

  • The results of spirometry can be used to determine the following:

  1. Determine whether baseline airflow limitation (obstruction) is present (reduced FEV1/FVC ratio)

  2. Assess the reversibility of the obstructive abnormality by repeating spirometry after administration of a bronchodilator

  3. Characterize the severity of airflow limitation (based on the FEV1 as a percentage of the normal predicted value)

  4. For patients with normal airflow (normal FEV1/FVC ratio), identify a restrictive pattern as an alternate explanation for dyspnea (eg, FVC <80% predicted)

Pulmonary Function Tests

32
New cards
<p>What does this refer to </p>

What does this refer to

Classification of Asthma

33
New cards

According to GINA, what is the 1st line of tx for asthma for intermittent treatment

One product with inhaled Corticosteroid (ISC) + SABA (air supra aka budesomide + albuterol)

34
New cards

What does this refer to

  • A 68-year-old man presents to his primary care physician for a cough.

  • He has been coughing for the past 2 months and is associated with mucopurulent and tenacious sputum production, which has progressively worsened.

  • Medical history is significant for chronic obstructive pulmonary disease.

  • He smokes 1 pack of cigarettes daily for the past 45 years.

  • On physical exam, the patient has wheezes and crackles bilaterally to auscultation.

  • A radiograph of the chest is unremarkable; however, a CT scan of the chest demonstrates stigmata of bronchial dilatation.

Bronchiectasis

35
New cards

Your patient has been prescribed Airsupra but symptoms persist, what is the next time of treatment

Formoterol + budesonide (symbicort)/ICS

36
New cards
<p>What does this refer to </p>

What does this refer to

Bronchiectasis

37
New cards

What does this refer to

  • Suppurative lung disease

  • Permanent and irreversible dilation of the bronchial airways

Bronchiectasis

38
New cards

What does this refer to

  • MC in patients with cystic fibrosis

  • Increased risk of infections

    • Pseudomonas

    • Mycobacterium avium complex

    • Aspergillus

Epidemiology Bronchiectasis

39
New cards
  • What does this refer to
    MC cause is cystic fibrosis (CF)

  • Recurrent lung infections

    • Pseudomonas aeruginosa in CF pt

    • H. flu

    • A1AT deficiency

  • Collagen vascular diseases

Etiology Bronchiectasis

40
New cards

What does this refer to

  • Persistent productive cough

Clinical History of Bronchiectasis

41
New cards

What does this refer to

  • Lung auscultation

    • Wheezes

    • Crackles

Clinical presentation Bronchiectasis

42
New cards

What does this refer to

  • Pneumonia

  • Pneumonitis

  • COPD

Differential diagnosis Bronchiectasis

43
New cards

What does this refer to

Workup for bronchiectasis

44
New cards
<p>What does this refer to </p>

What does this refer to

Bronchiectasis

45
New cards

What used to diagnose bronchiectasis?

CT Chest IV Contrast

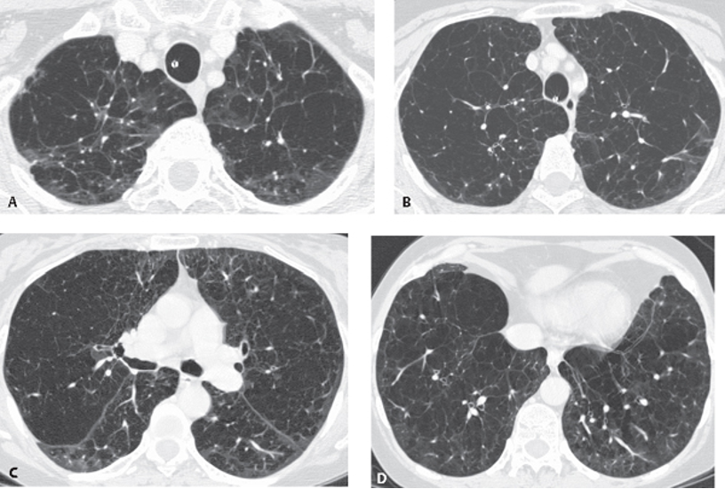
<p>CT Chest IV Contrast</p>
46
New cards

What does this refer to

  • Airway clearance techniques

    • Improve secretion clearance/bronchial hygiene

      • Mucolytics

        • Guafenesin (Mucinex)

        • Carbocisteine

        • Dornase alfa (Pulmozyme)

  • Bronchodilators

    • Beta-2 agonists

    • Anticholinergics

    • Theophylline

  • Chest physiotherapy (postural drainage)

Clinical management Bronchiectasis

47
New cards

What does this refer to

  • Morbidity

    • Antibiotic resistance

  • Mortality

    • Recurrent lung infections

Prognosis Bronchiectasis

48
New cards

What does this refer to

  • A 24-year-old woman with a past medical history of atopic dermatitis presents to an urgent care center for dyspnea on exertion.

  • She reports that for the past few months, she has become increasingly short of breath with exertion, particularly during exercise.

  • She denies any other symptoms and denies having ever smoked or been exposed chronically to second-hand smoke.

  • Close examination into her pediatric records shows a documented history of hepatomegaly but no workup.

  • Labs reveal significantly decreased alpha-1 antitrypsin and increased transaminitis.

  • She is given nebulized ipratropium and albuterol, a course of steroids, and referred for regular treatments with alpha-1 antitrypsin.

Alpha-1 antitrypsin deficiency

49
New cards

What does this refer to

  • ___________ is characterized early onset emphysema and cirrhosis

Alpha-1 Antitrypsin Deficiency

50
New cards

What does this refer to

  • MC in young adults (often without a history of smoking)

    • + smoking hx exacerbates illness

  • Family hx

    • Autosomal dominant

  • Occurs as a result of decreased or dysfunctional alpha-1 antitrypsin

Etiology Alpha-1 Antitrypsin Deficiency

51
New cards

What does this refer to

Clinical history of Alpha-1 Antitrypsin Deficiency

52
New cards

What does this refer to

  • Asthma

    • Typically no associated liver disease

  • Autoimmune hepatitis

    • Not associated with COPD or decreased A1A

Differential diagnosis Alpha-1 Antitrypsin Deficiency

53
New cards

What does this refer to

Workup for Alpha-1 Antitrypsin Deficiency

54
New cards

What confirms the diagnosis for Alpha-1 Antitrypsin Deficiency

Genetic testing

55
New cards
<p>What does this refer to </p>

What does this refer to

Alpha-1 Antitrypsin Deficiency

56
New cards
<p>What does this refer to </p>

What does this refer to

Alpha-1 Antitrypsin Deficiency CT w/ Contrast

57
New cards

What does this refer to

  • Alpha-1 antitrypsin infusion

  • Standard treatment of COPD

  • Liver transplant

    • Decompensated cirrhosis

    • Hepatocellular CA

  • Vaccinations

    • Influenza

    • Pneumonia

    • COVID

  • Minimize EtOH

Clinical Management of Alpha-1 Antitrypsin Deficiency

58
New cards

What does this refer to

  • A 69-year-old male presents with concerns about his declining health.

  • His brother recently died of renal cell carcinoma and he is now concerned about his own health.

  • The patient has a history of type II diabetes mellitus, HTN and a 50 pack-year smoking history.

  • He asks you what he can do to improve his health.

Smoking cessation

59
New cards

What does this refer to

  • Smoking is considered the most important modifiable risk factor in the US for cancer and cardiovascular and pulmonary disease

  • Screen all adults regularly for tobacco use

  • Discuss smoking cessation at EVERY clinical contact with those who smoke/vape

Smoking Cessation

<p>Smoking Cessation</p>
60
New cards

What does this refer to

  • Nicotine replacement

    • OTC

    • Forms include gum, lozenge, patches and sprays

  • Bupropion (Zyban)

    • Rx

  • Varenicline (Chantix)

    • Rx

    • Initiate 1 week prior to quit date (pt can continue to smoke in this time) THEN

    • No smoking

    • Continue tx x 4 months

  • Cognitive behavioral therapy (CBT)

  • Combination therapy (multiple treatments from above) are the most effective

Clinical pharmacotherapeutics Smoking Cessation

<p>Clinical pharmacotherapeuticsSmoking Cessation</p>

Explore top flashcards

flashcards
Unit 9: Social Psychology
32
Updated 1078d ago
0.0(0)
flashcards
Down Under
31
Updated 1047d ago
0.0(0)
flashcards
[ 2MID ] MIL - What is Media?
40
Updated 204d ago
0.0(0)
flashcards
Metabolism
60
Updated 322d ago
0.0(0)
flashcards
Ideologies (Liberalism)
31
Updated 49d ago
0.0(0)
flashcards
Filmgeschiedenis 2 (2022-2023)
134
Updated 1015d ago
0.0(0)
flashcards
Political Spectrum Quiz
31
Updated 1037d ago
0.0(0)
flashcards
Unit 9: Social Psychology
32
Updated 1078d ago
0.0(0)
flashcards
Down Under
31
Updated 1047d ago
0.0(0)
flashcards
[ 2MID ] MIL - What is Media?
40
Updated 204d ago
0.0(0)
flashcards
Metabolism
60
Updated 322d ago
0.0(0)
flashcards
Ideologies (Liberalism)
31
Updated 49d ago
0.0(0)
flashcards
Filmgeschiedenis 2 (2022-2023)
134
Updated 1015d ago
0.0(0)
flashcards
Political Spectrum Quiz
31
Updated 1037d ago
0.0(0)