1/26
Looks like no tags are added yet.
Name | Mastery | Learn | Test | Matching | Spaced | Call with Kai |
|---|
No analytics yet
Send a link to your students to track their progress

exudative inflammation

catarrhal inflammation

serous inflammation

diphtheritic inflammation

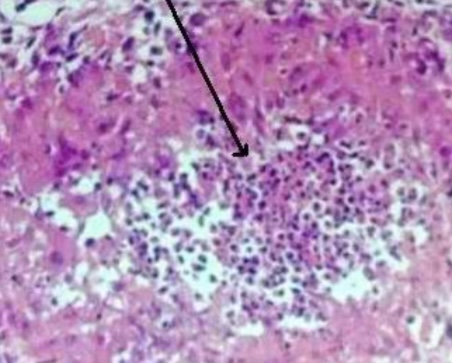
purulent inflammation

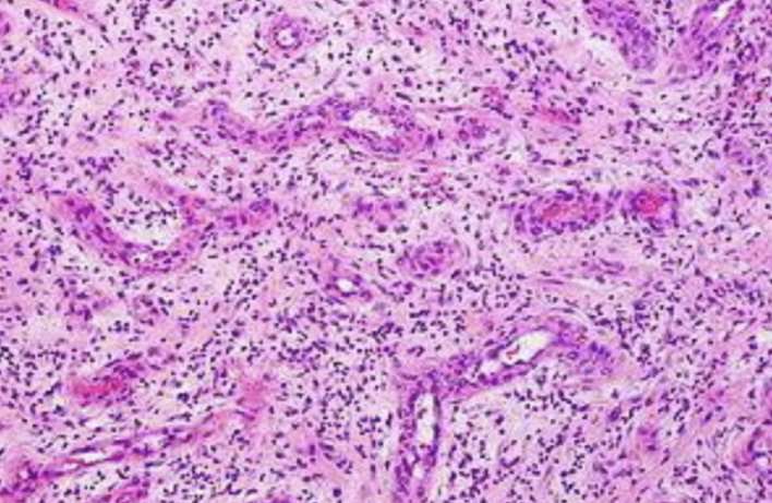
granulomatous inflammation

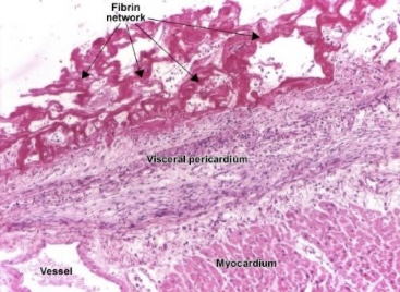
fibrinous inflammation

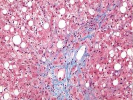
interstitial inflammation

parenchymatous inflammation

non-suppurative inflammation

pseudomembranous inflammation

hemorrhagic inflammation

mucoid inflammation

necrotizing inflammation

eosinophilic inflammation

pyogranulomatous inflammation

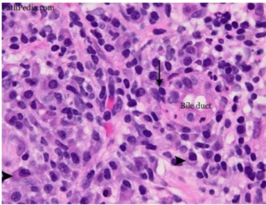
lymphohistiocytic inflammation

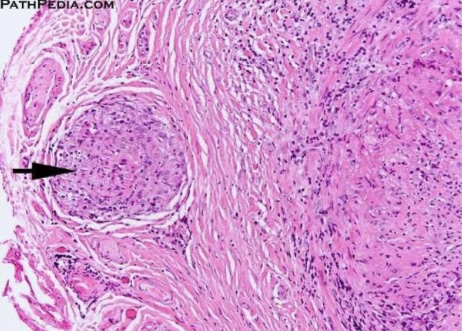
granuloma

lymphohistiocytic inflammation

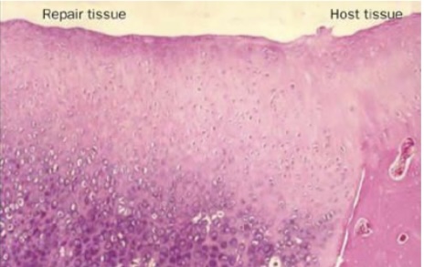
repair by regeneration

granulomatous inflammation

repair by substitution

pyogranulomatous inflammation

cells of lens

fibroblasts

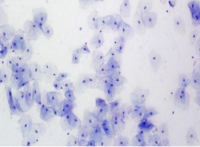
cheek epithelial cells

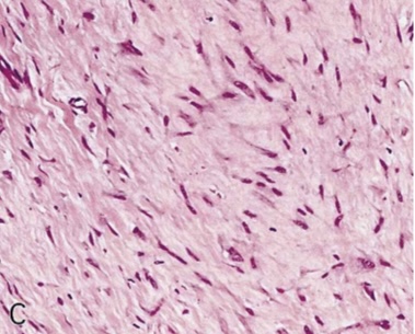
granulation tissue