1/25
Mercy
Name | Mastery | Learn | Test | Matching | Spaced | Call with Kai |
|---|
No analytics yet
Send a link to your students to track their progress

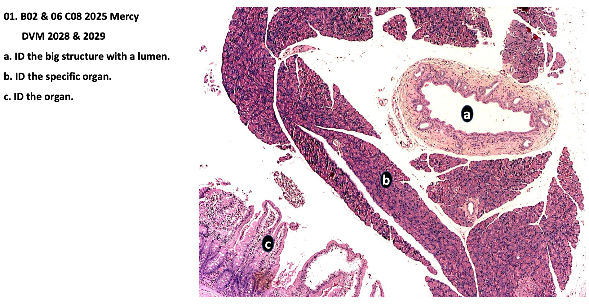
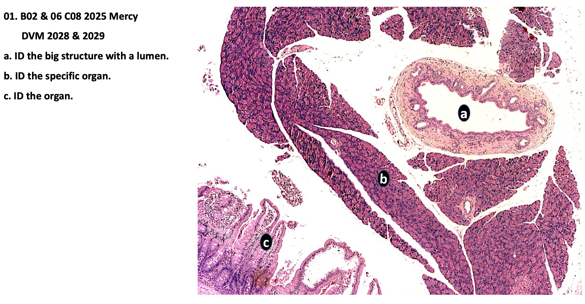
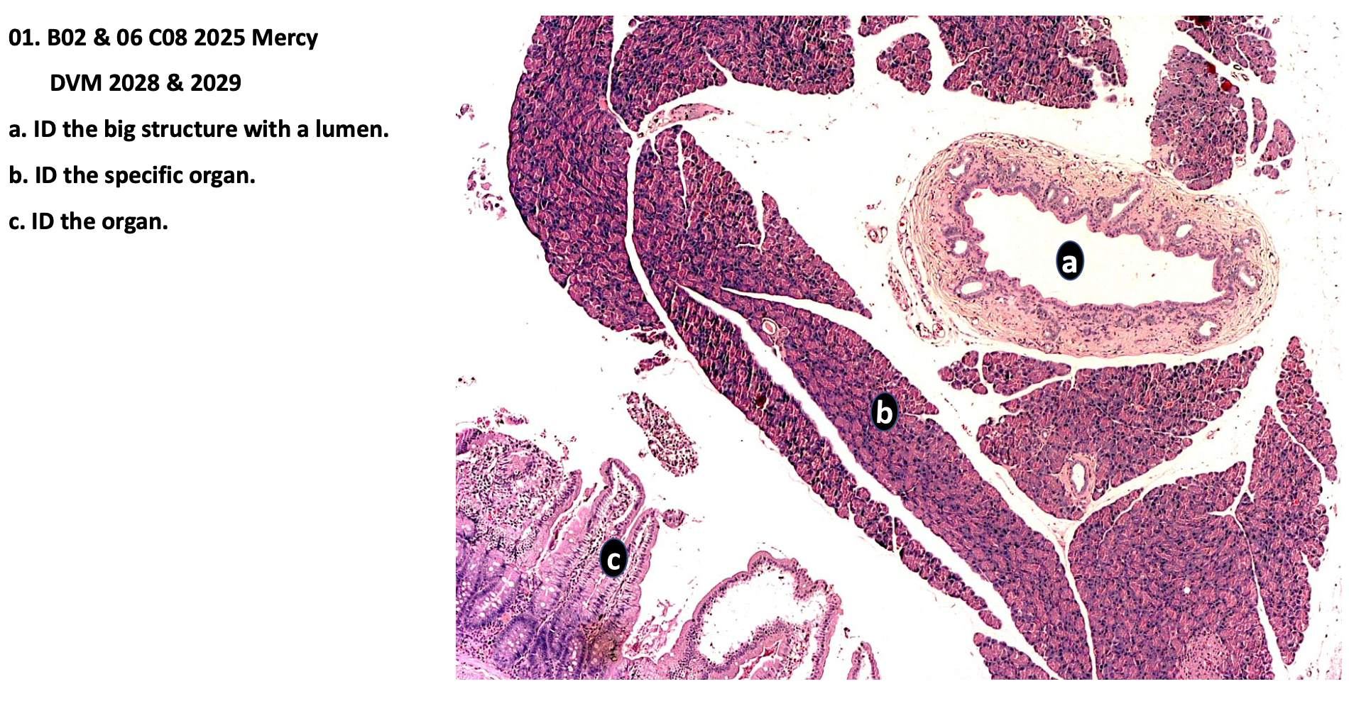
a. ID the big structure with a lumen
Main pancreatic duct

b. ID the specific organ
Pancreas

c. ID the organ
Duodenum

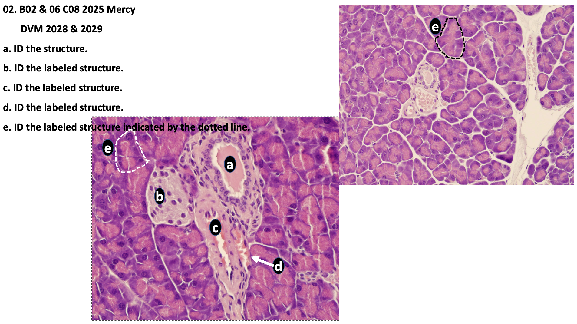
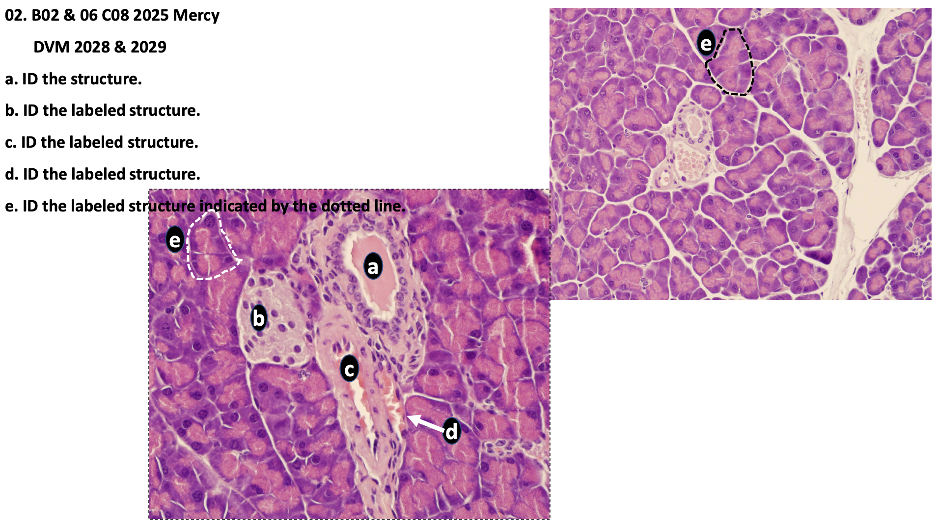
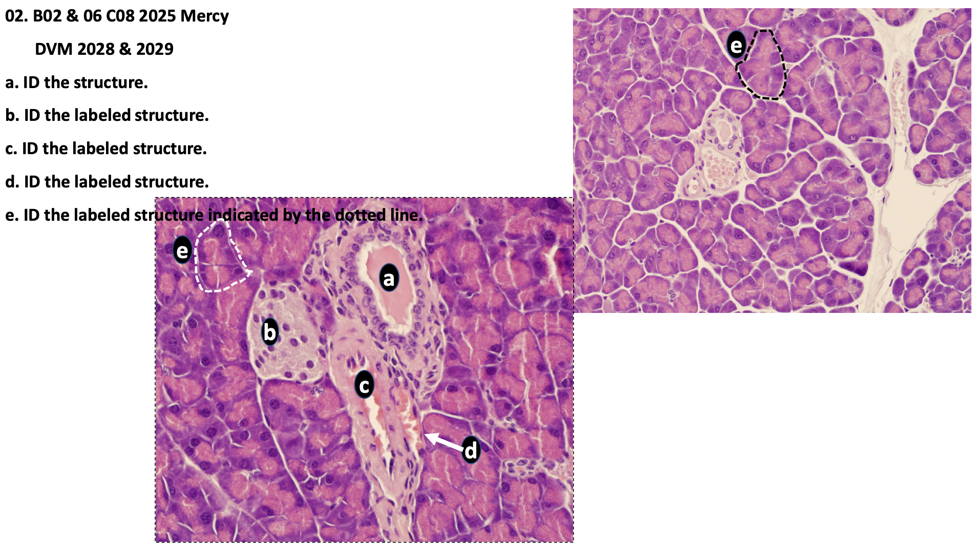
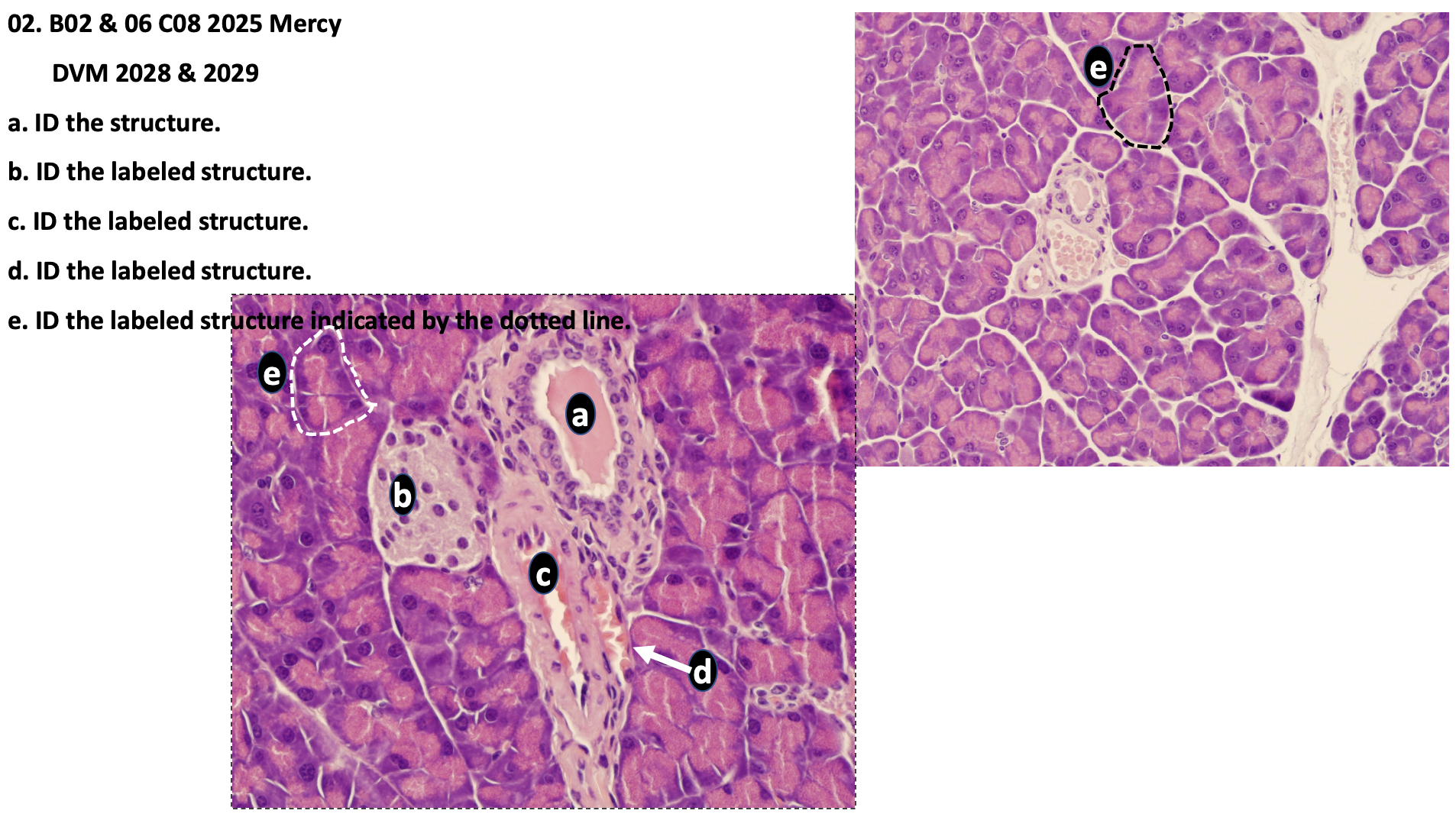
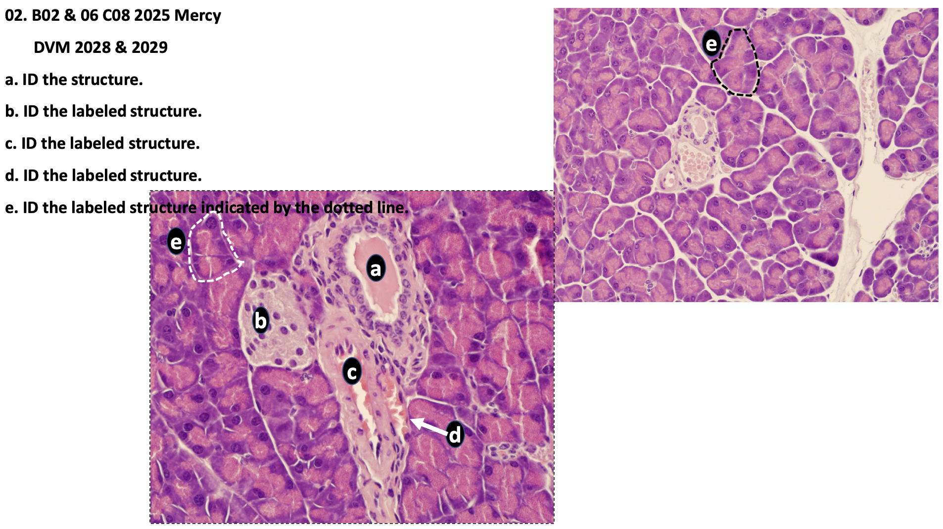
a. ID the structure
Interlobular duct

b. ID the labeled structure
Islets of Langerhans

c. ID the labeled structure
Small artery

d. ID the labeled structure
Venule

e. ID the labeled structure indicated by the dotted line
Acinus

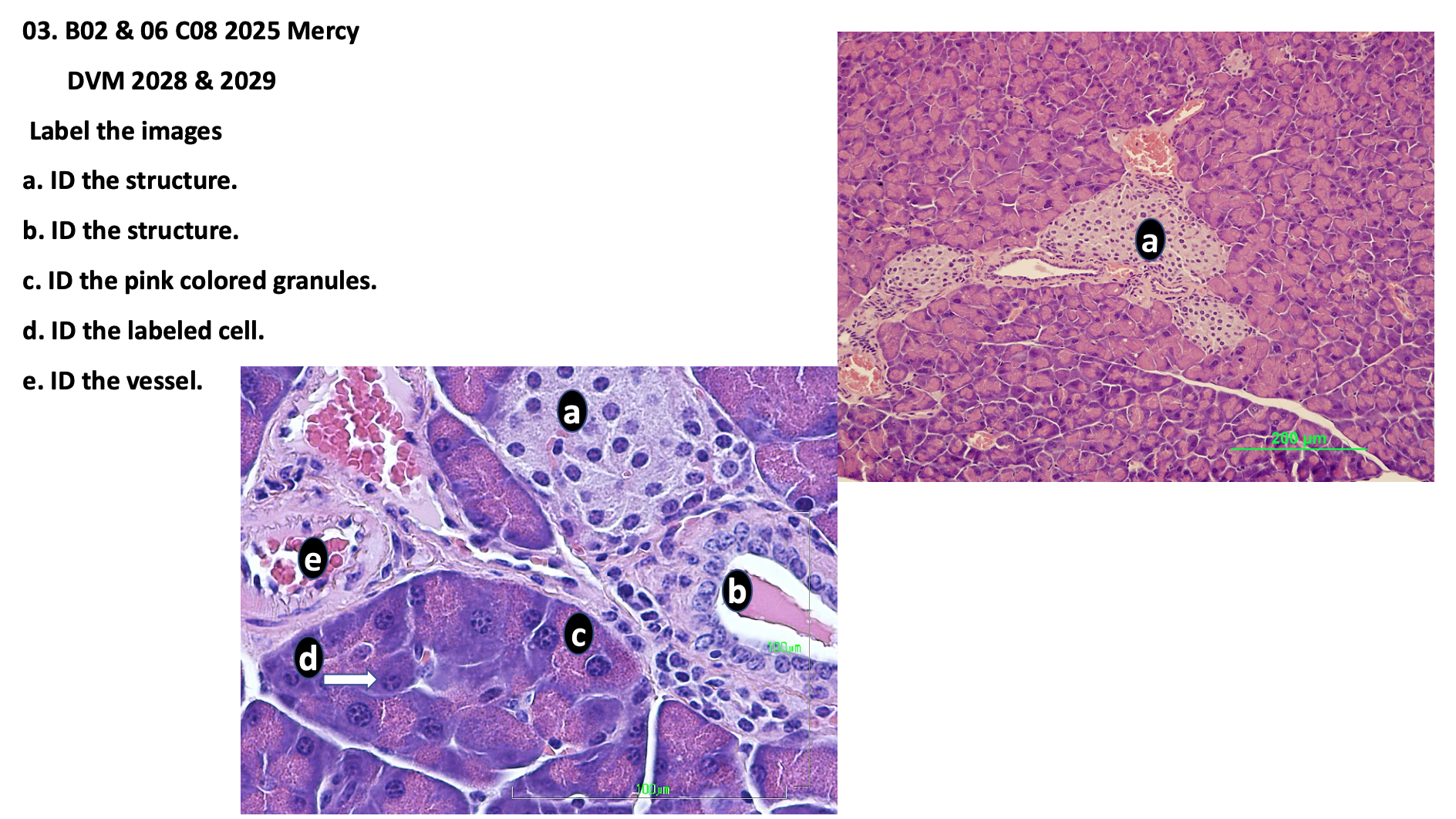
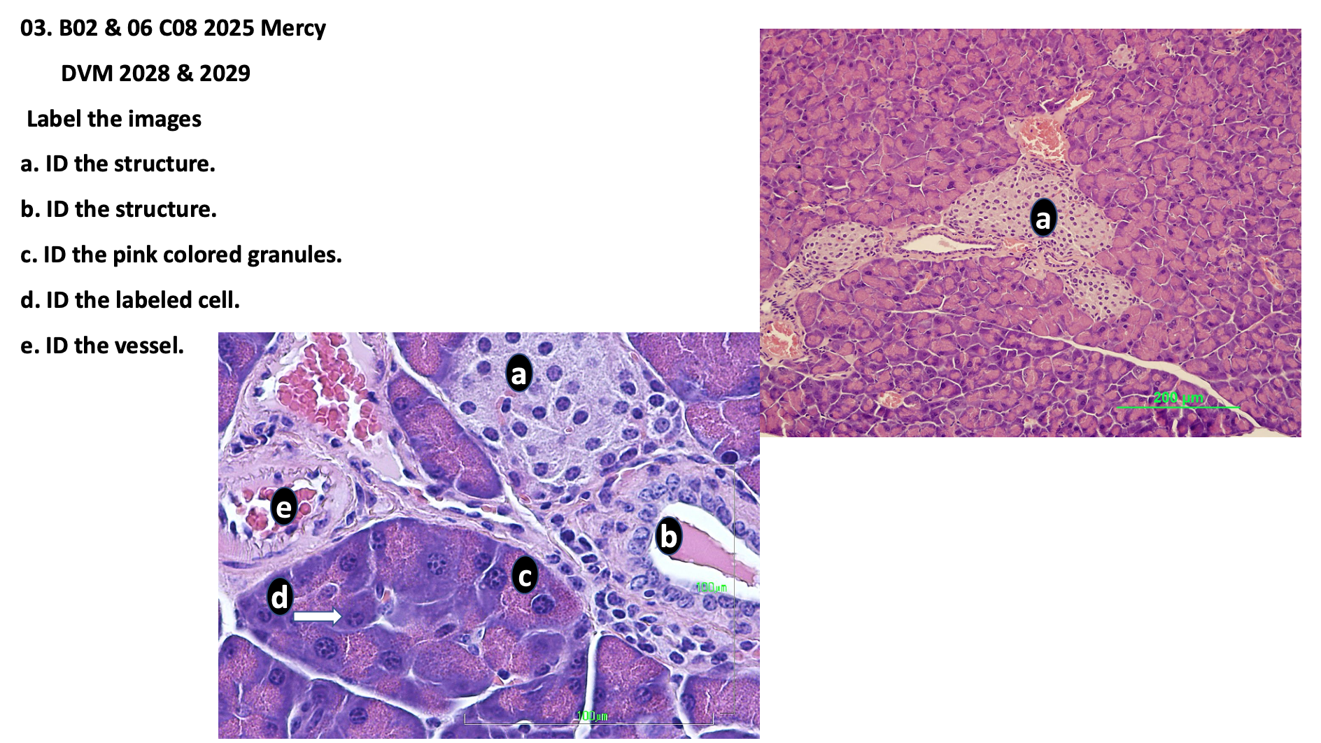
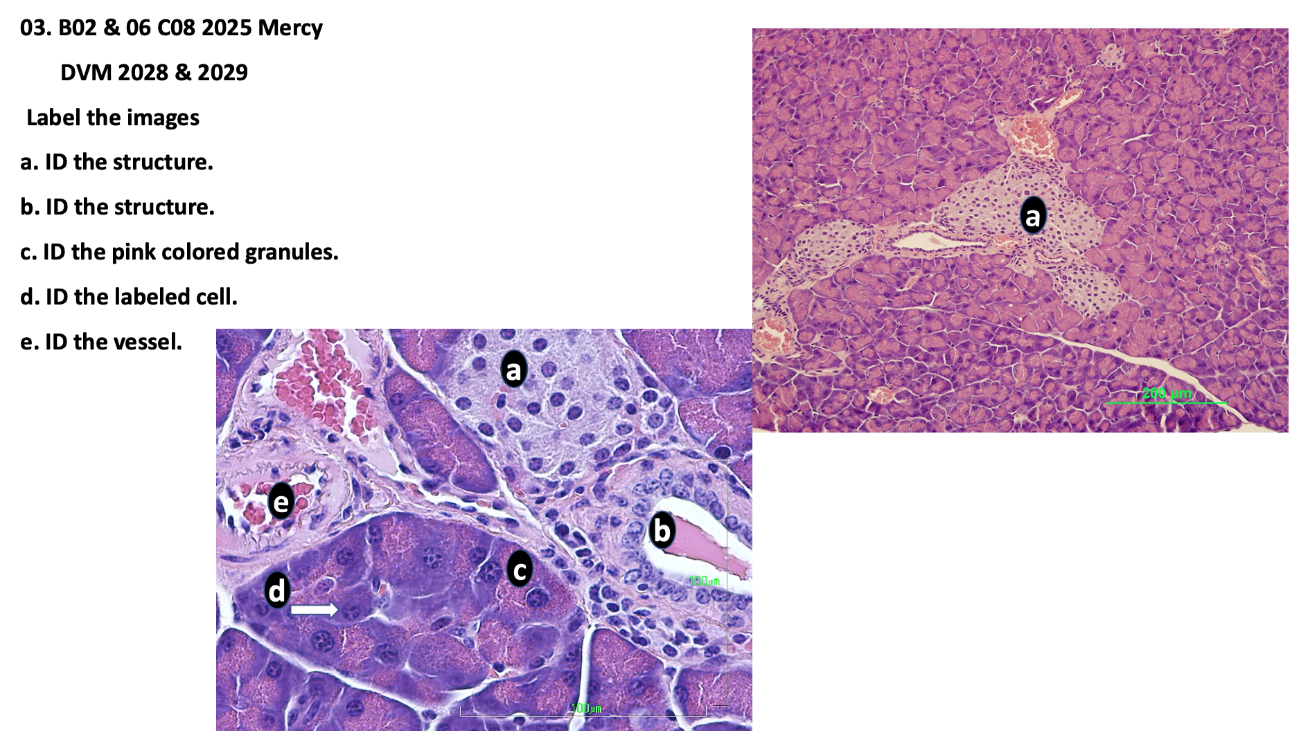
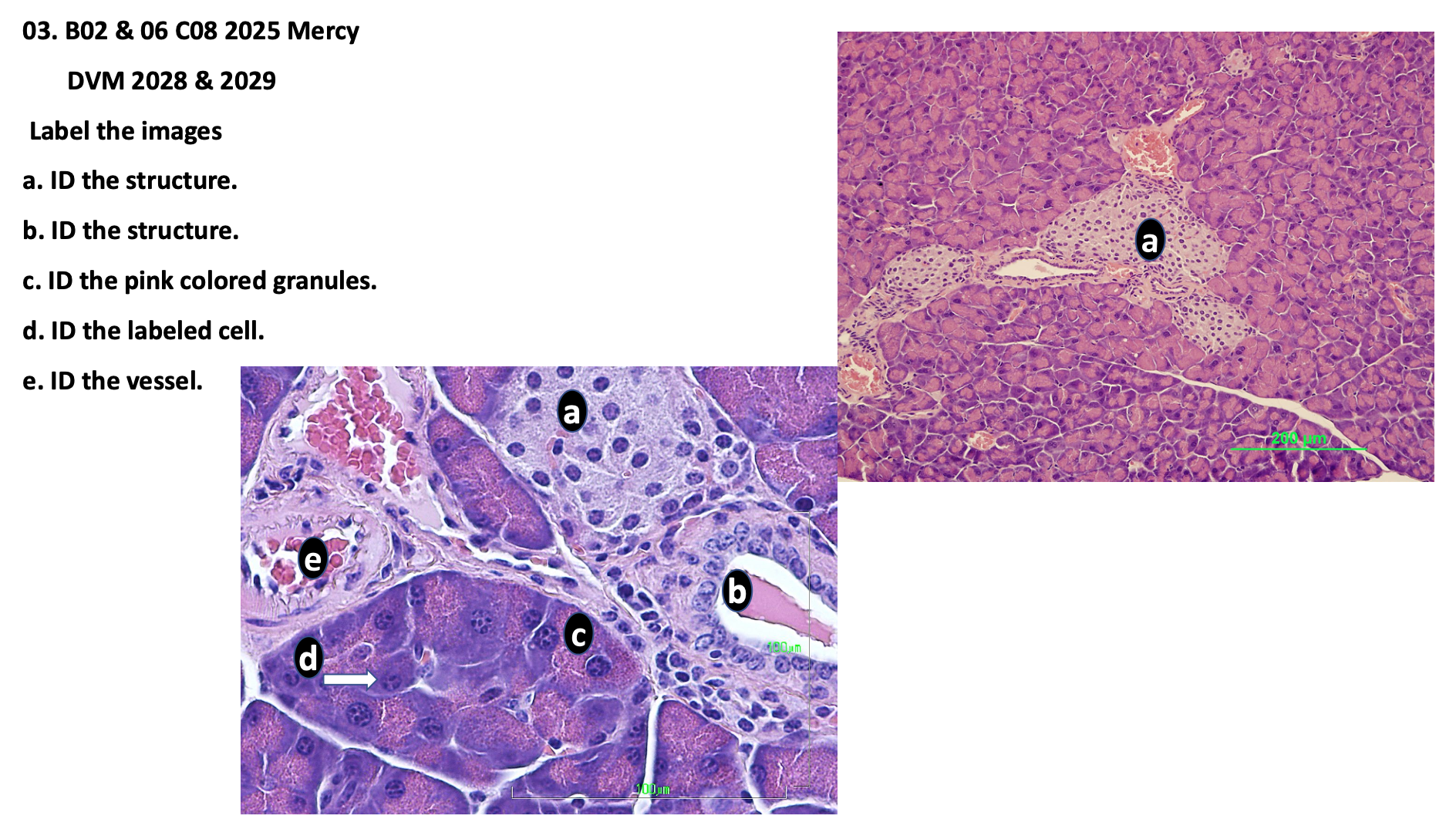
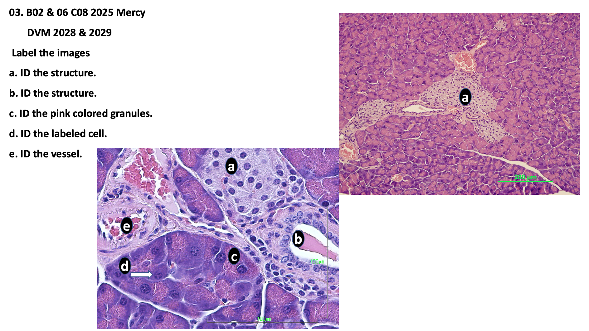
a. ID the structure
Islets of Langerhans

b. ID the structure
Interlobular duct

c. ID the pink colored granules
Zymogen granules

d. ID the labeled cell
Centroacinar

e. ID the vessel
Arteriole

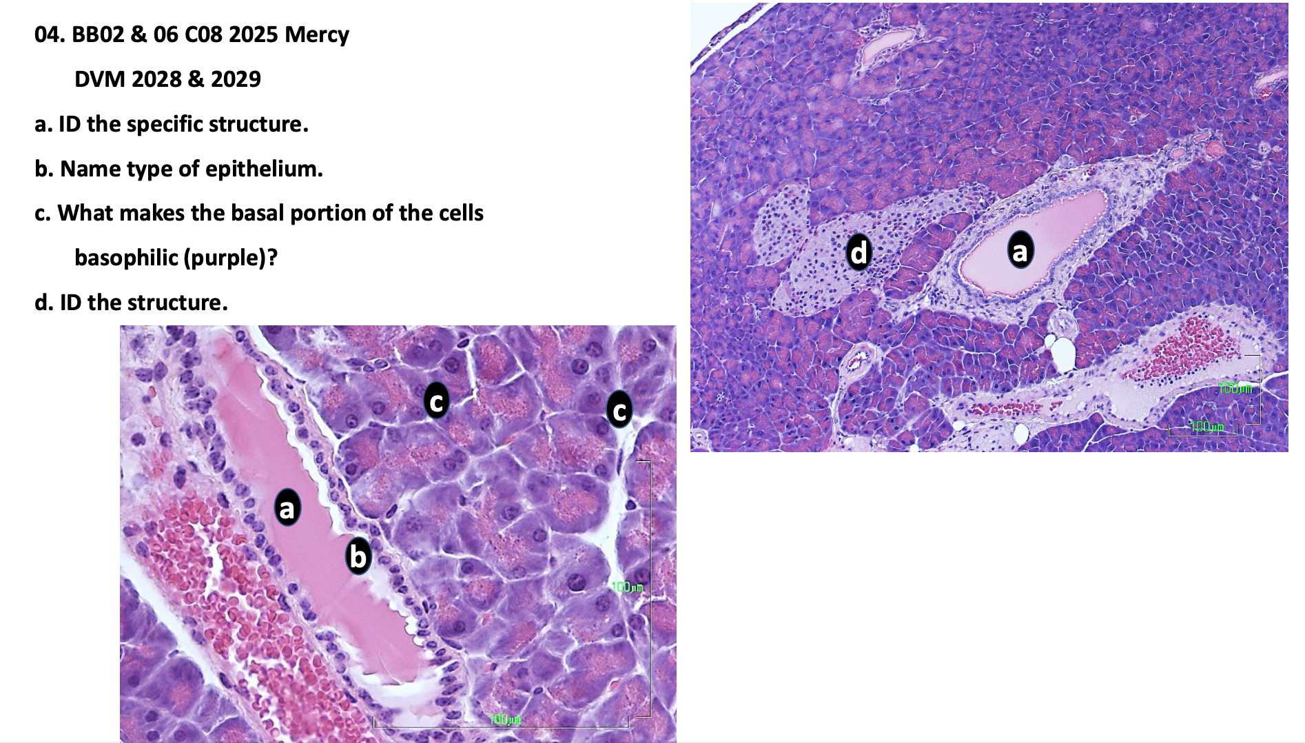
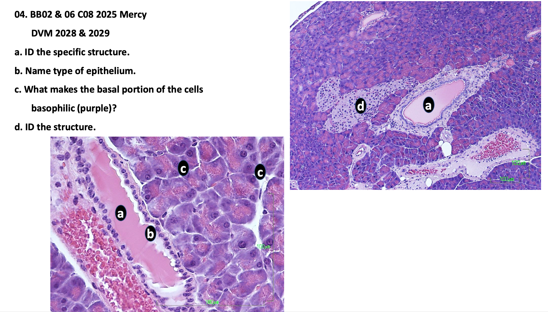
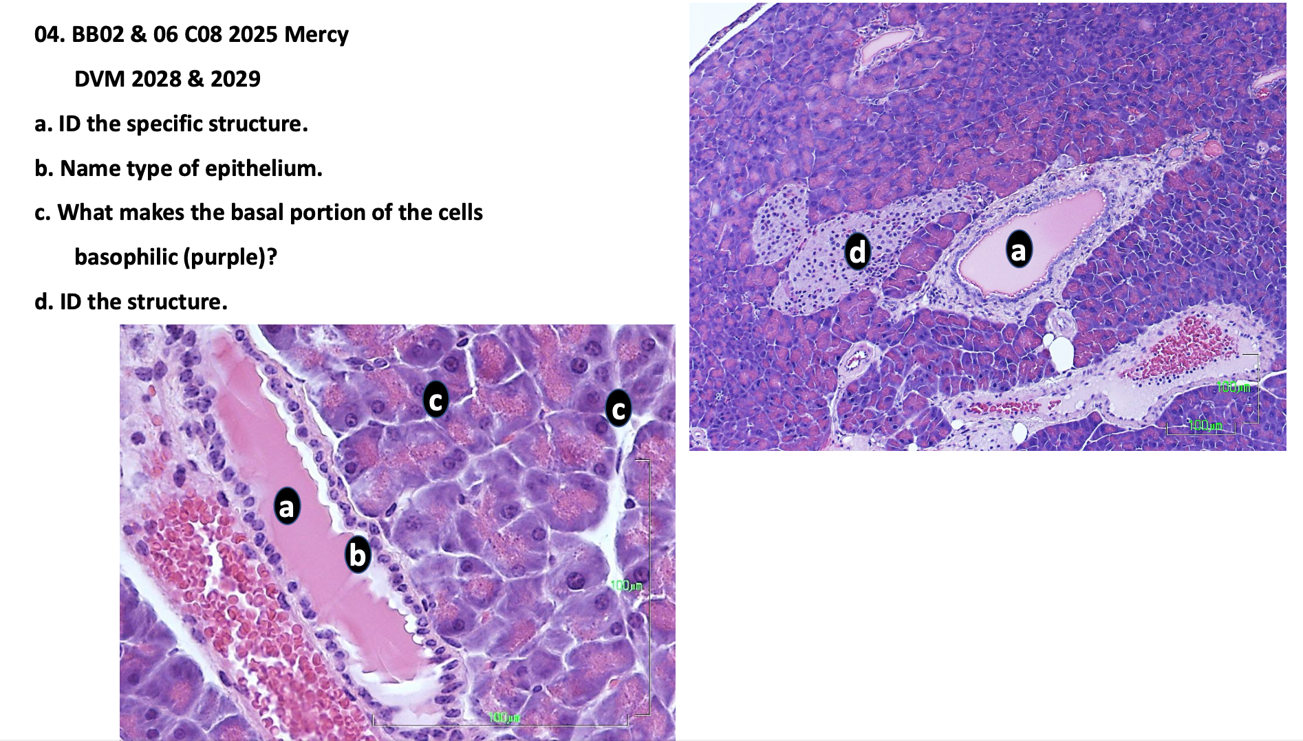
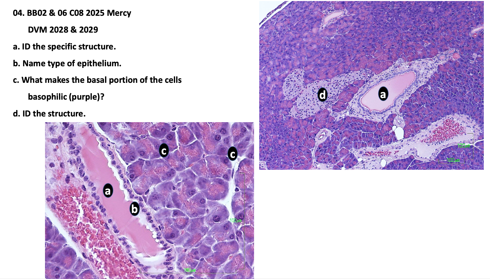
a. ID the specific structure
Interlobular duct

b. Name type of epithelium
Simple cuboidal

c. What makes the basal portion of the cells basophilic (purple)?
Presence of large amount of RER

d. ID the structure
Islets of Langerhans

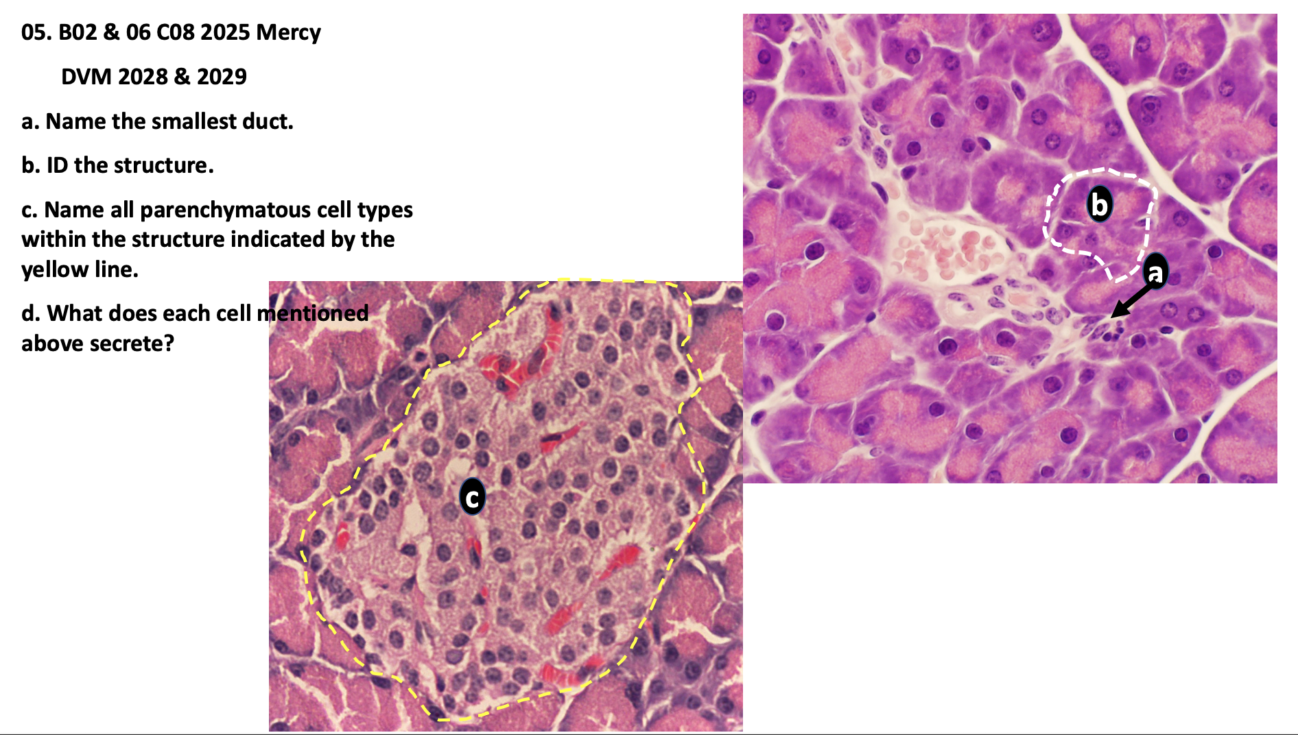
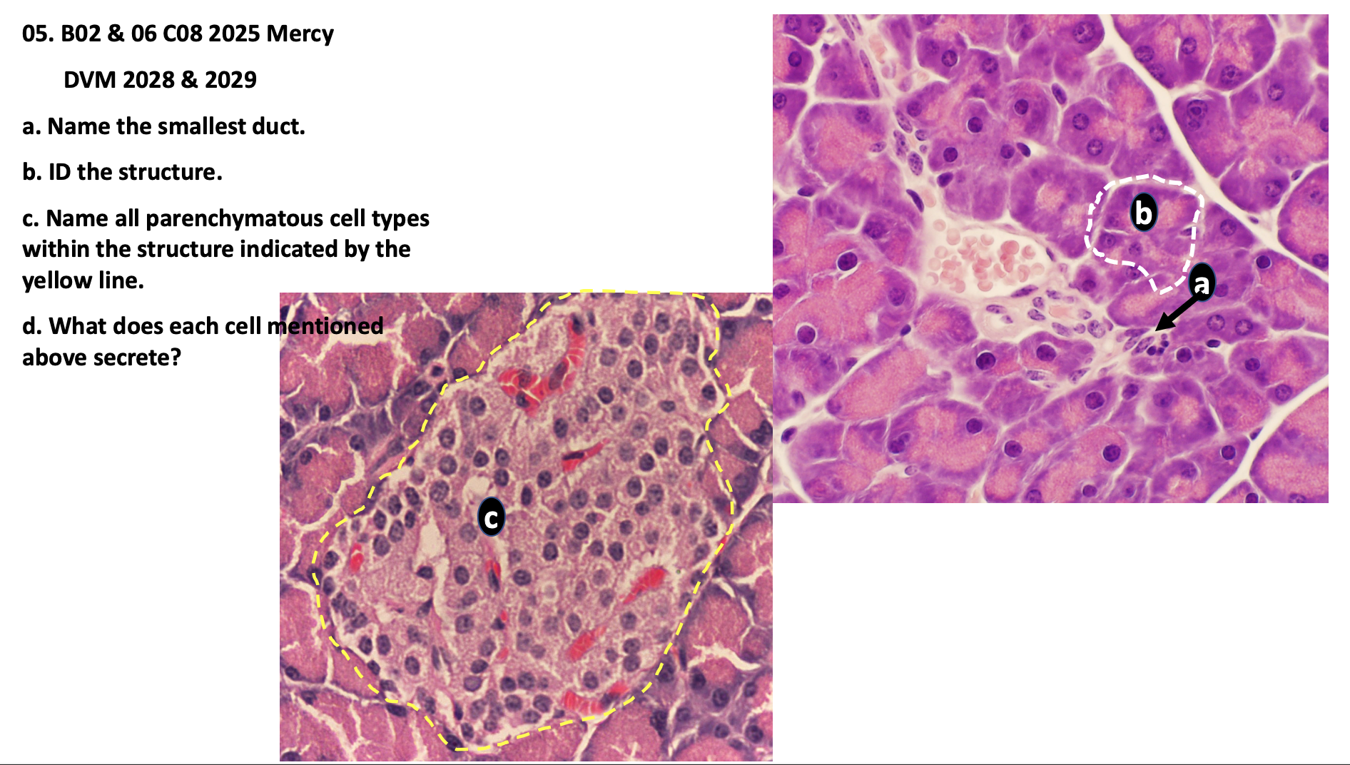
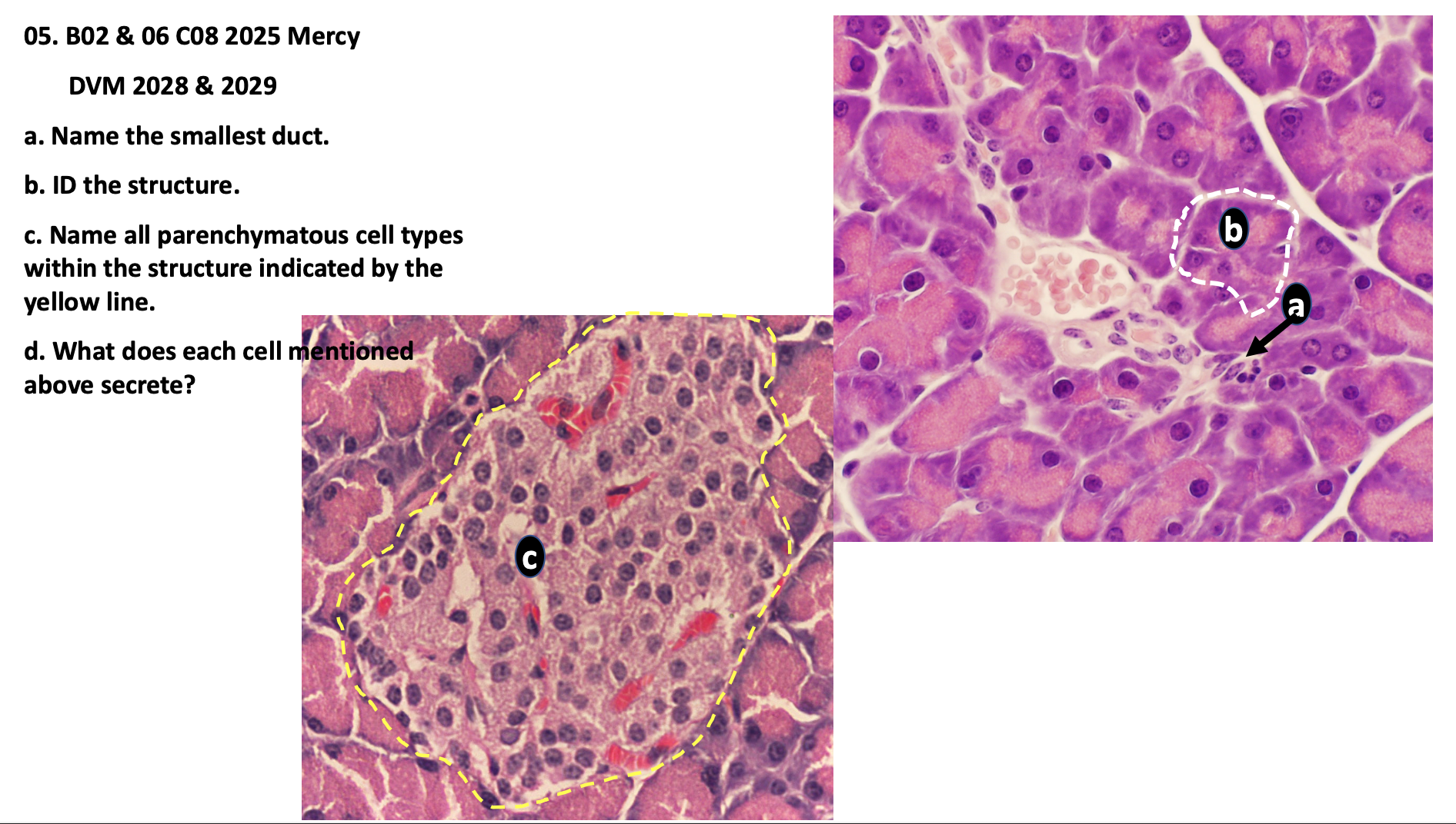
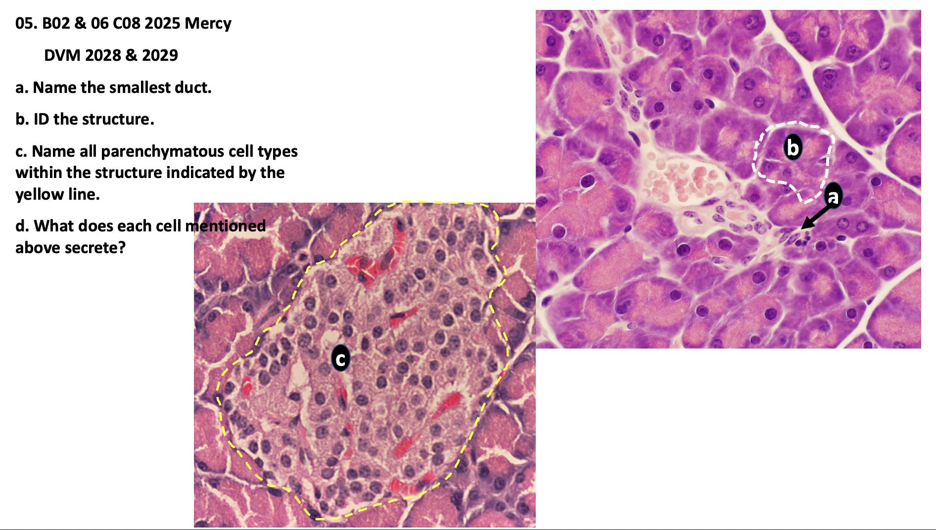
a. Name the smallest duct
Intercalated

b. ID the structure
Acinus

c. Name all parenchymatous cell types within the structure indicated by the yellow line
Alpha, Beta, Delta, P

d. What does each cell mentioned above secrete?
Glucagon, insulin, somatostatin, pancreatic polypeptides

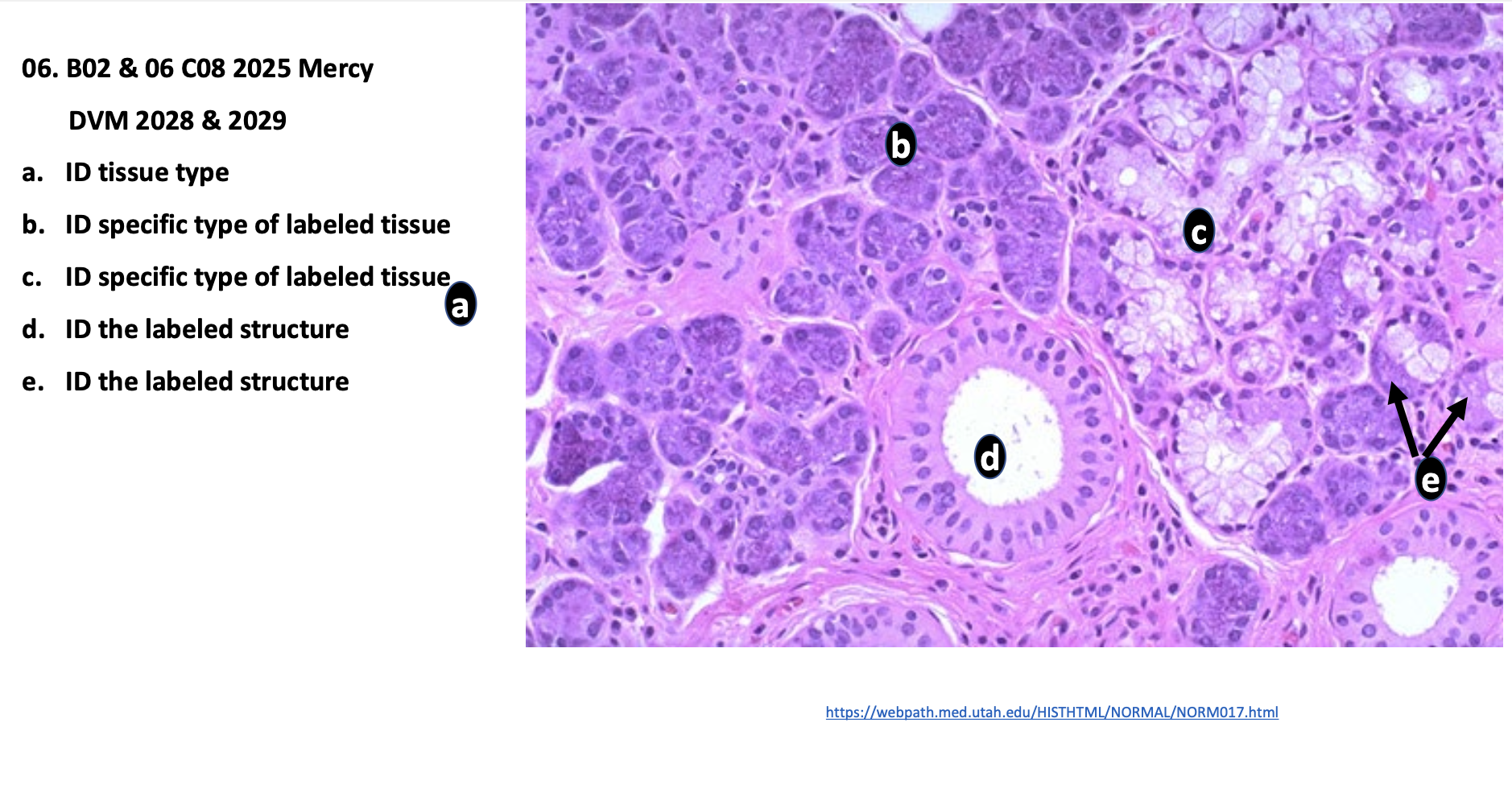
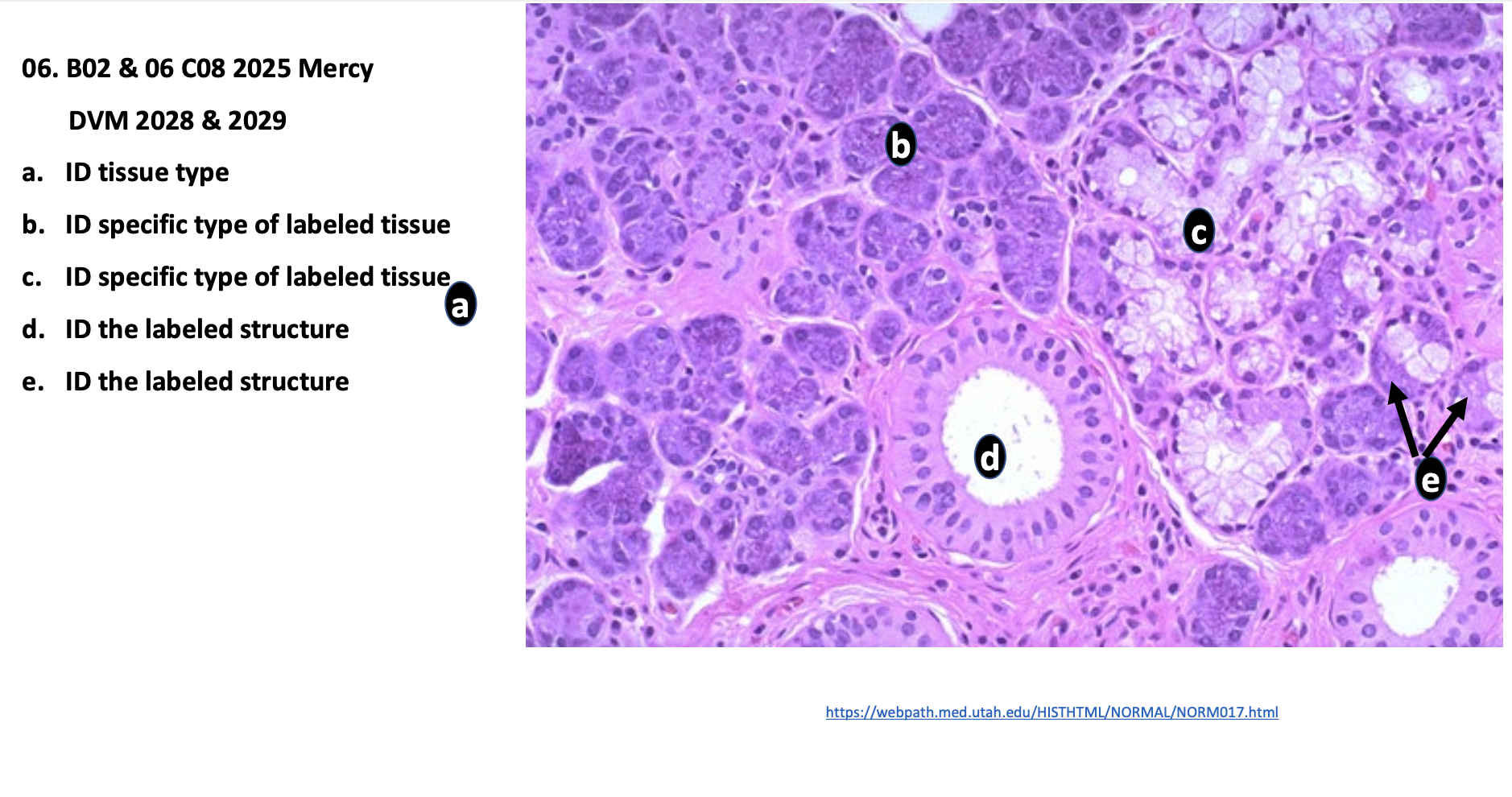
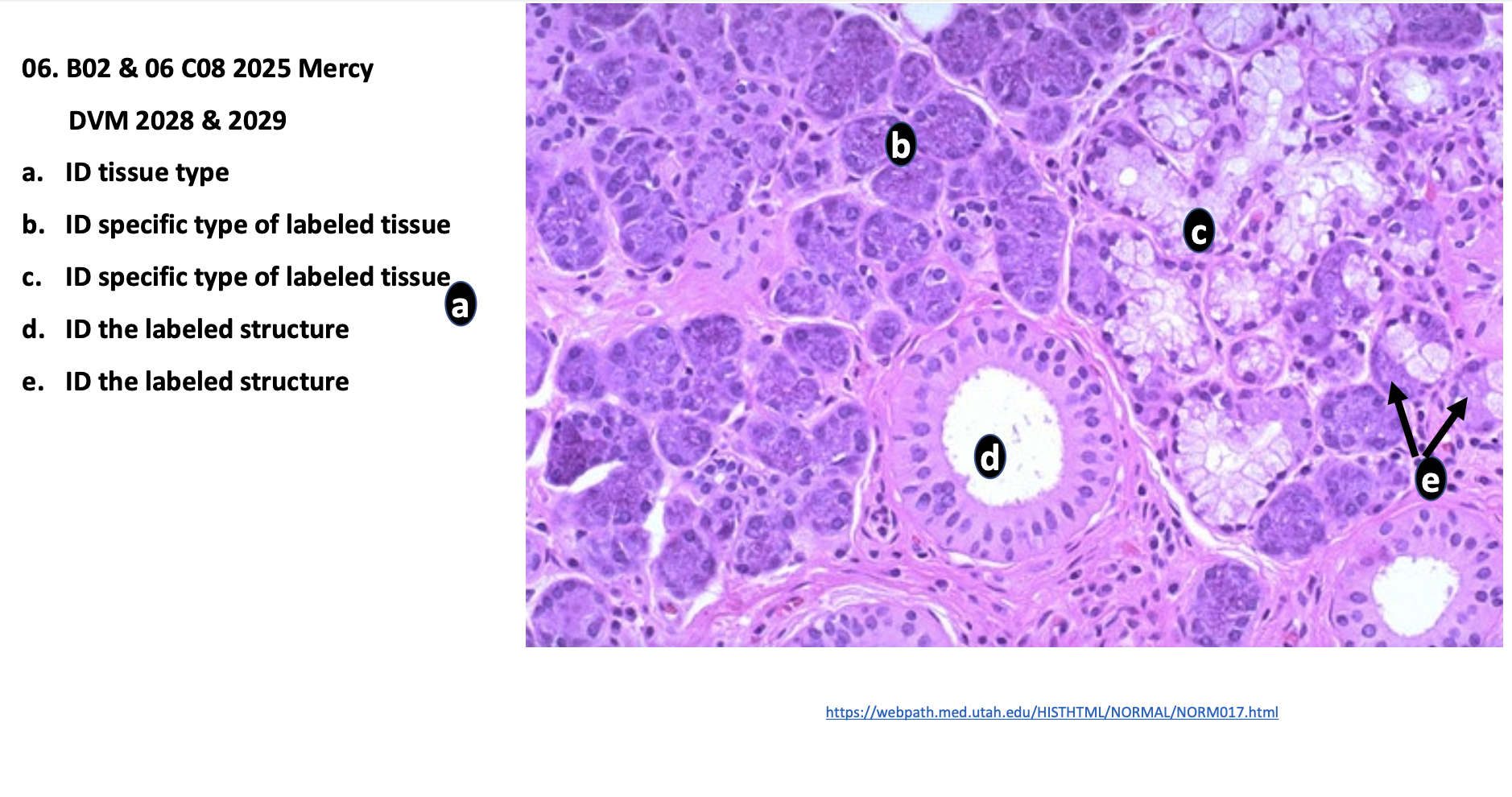
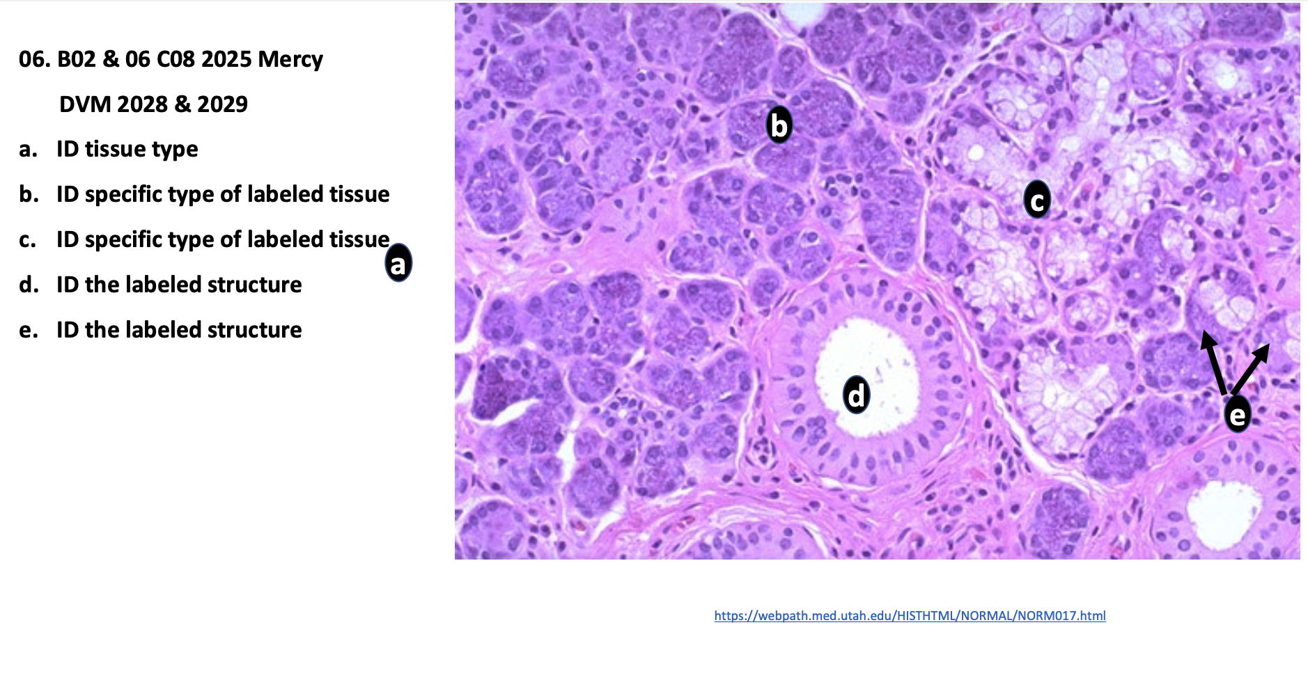
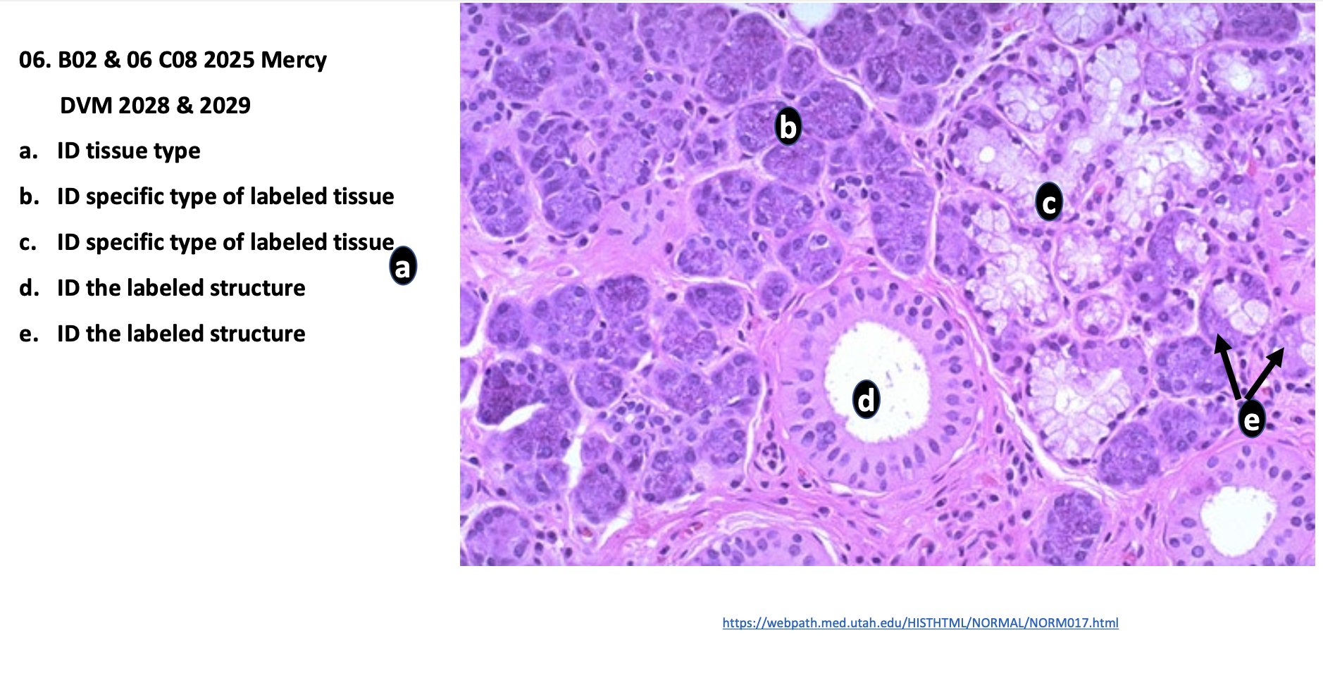
a. ID tissue type
Salivary gland

b. ID specific type of labeled tissue
Serous acini

c. ID specific type of labeled tissue
Mucus acini

d. ID the labeled structure
Interlobular duct

e. ID the labeled structure
Serous demilune