1/109
Looks like no tags are added yet.
Name | Mastery | Learn | Test | Matching | Spaced | Call with Kai |
|---|
No analytics yet
Send a link to your students to track their progress

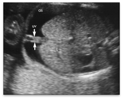
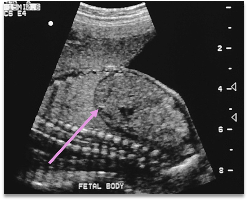
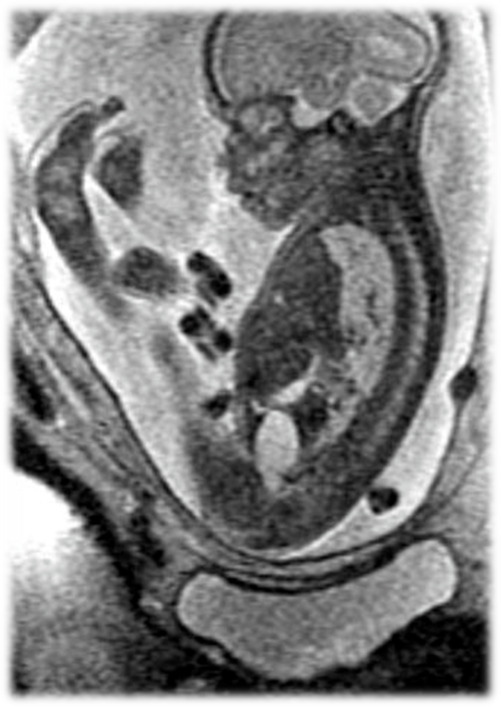
Omphalocele

Omphalocele

gastroschisis

gastroschisis

pseudoascites

true ascites

cholelithiasis


cholelithiasis

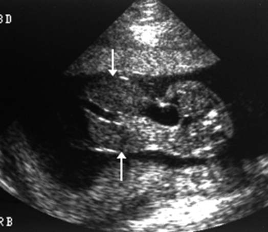
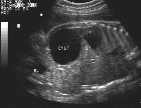
choledochal cyst

choledochal cyst

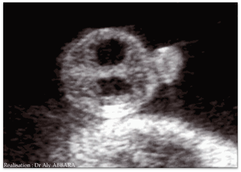
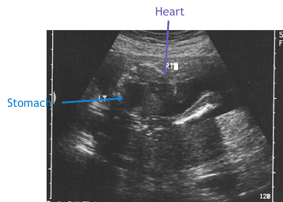
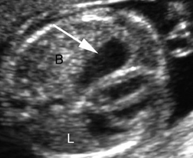
duodenal atresia

duodenal atresia

duodenal atresia

bowel obstruction

bowel obstruction

bowel obstruction

Meckel’s Diverticulum

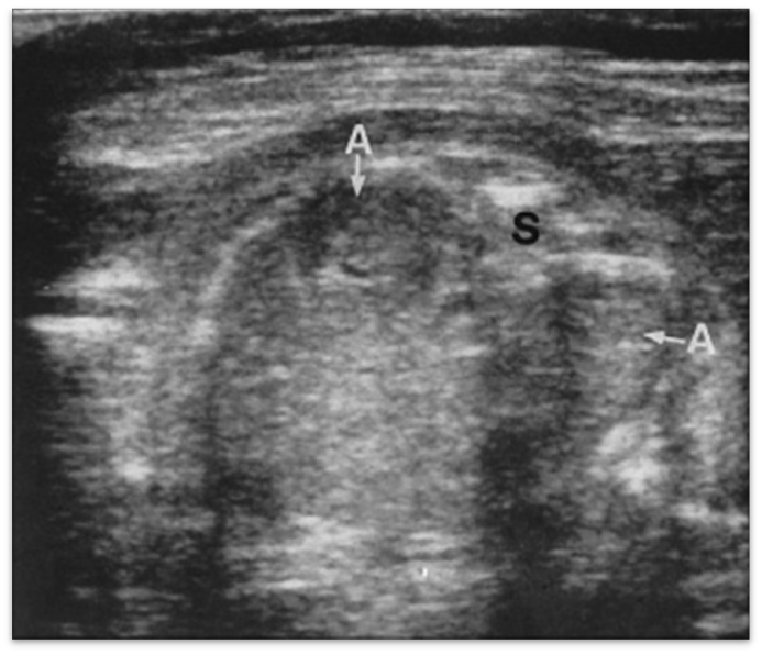
Meconium Peritonitis

Bowel dilation

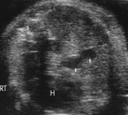
Fetal ascites

Fetal ascites

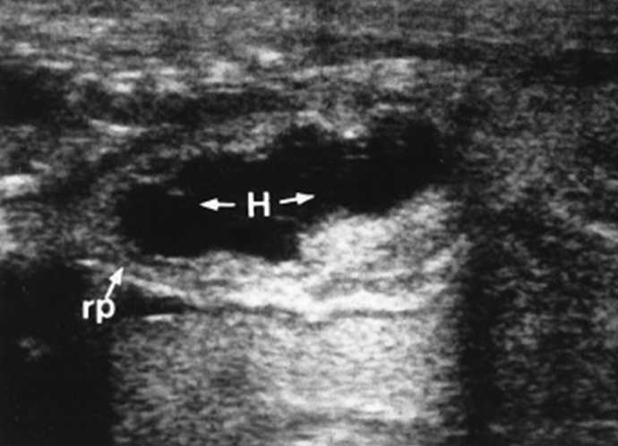
hydronephrosis

hydronephrosis

enlarged adrenal glands

renal agenesis

Urachal cyst

Bilateral kidneys - enlarged (Beckwith weidemann)

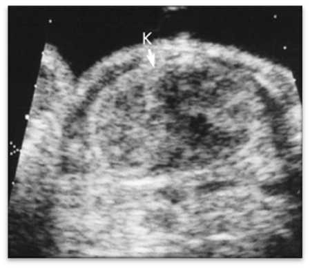
IPKD (ARPKD)

ADPKD

multicystic kidney disease

Multicystic Kidney Disease

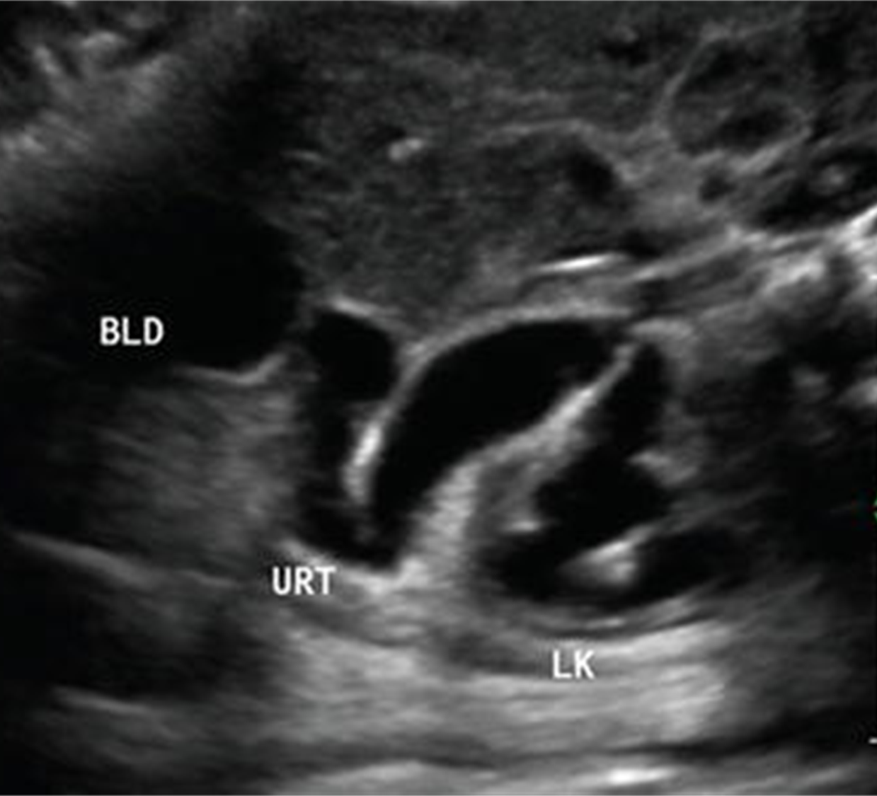
Hydronephrosis - UPJ Obstruction

Hydronephrosis

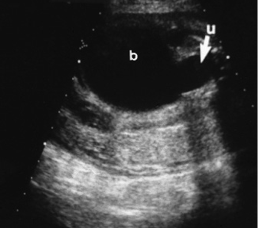
Dilated Bladder

UPJ Obstruction

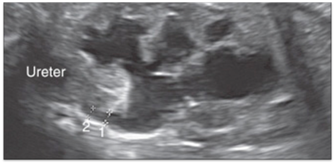
UVJ Obstruction

PUV Obstruction (Posterior Urethral Valve)

Uterocele

Urachal Dilation

Nephroma / Hydro

Nephroma

Hydrocele

Hydrometrocolpos

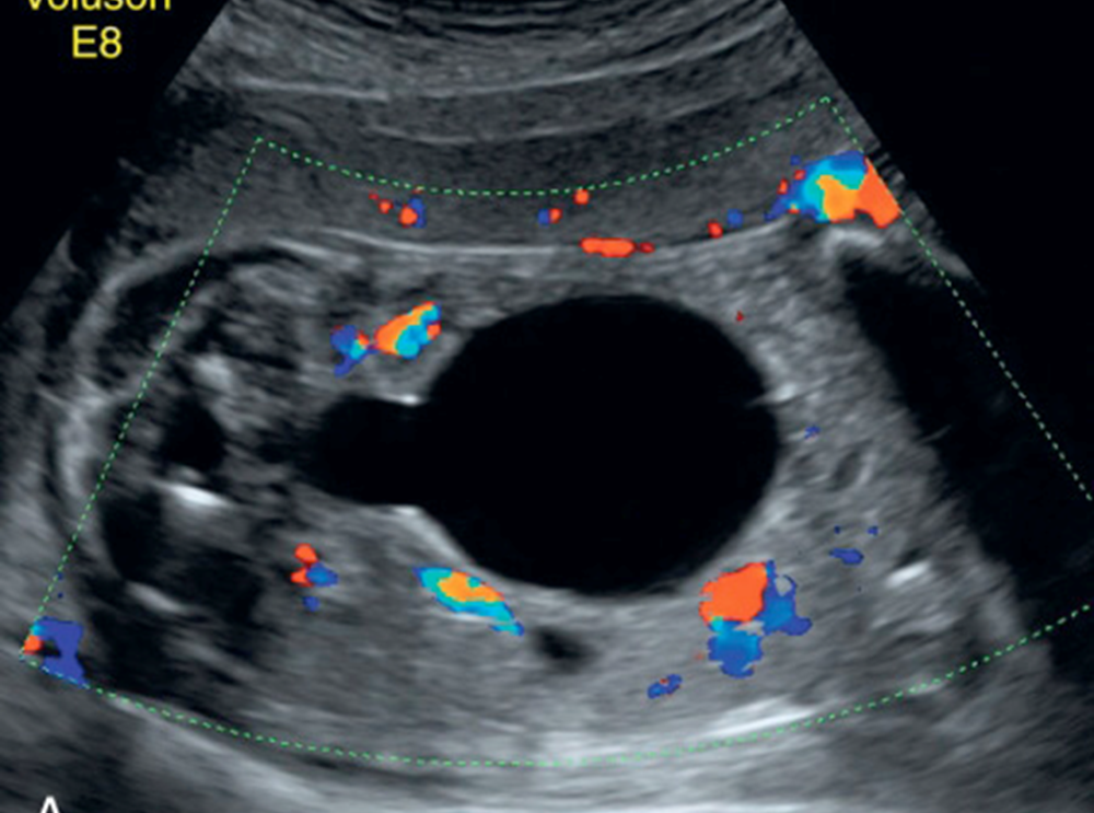
Ovarian Cyst

Ovarian Cyst

Thanatophoric Dysplasia

Achondrogenesis

Achondrogenesis

Osteogenesis imperfecta

Osteogeneis imperfecta - skull demineralization

Osteogenesis Imperfecta

Osteogenesis imperfecta

osteogenesis imperfecta

Osteogenesis Imperfecta

Diastrophic Dysplasia

Camptomelic Dysplasia

Camptomelic Dysplasia

Caudal Regression Syndrome

Caudal Regression Syndrome

Pena-Shokeir Syndrome - Knees hyperextended, arms contracted and crossed over, Polyhydramnios, Micrognathia,

Amniotic Band syndrome

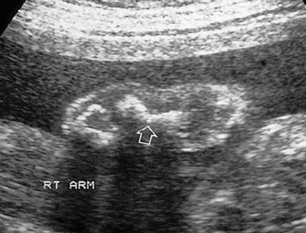
Amelia

Amelia

Radial ray defects

unilateral pulmonary agenesis/hypoplasia

hydrothorax in coronal view

bronchopulmonary sequestration

hydrothorax

bilateral hydrothorax / pleural effusion

pulmonary sequestration and hydrothorax

CCAM Type I

diaphragm

CDH

CDH

CDH

CDH

CDH

What view is this?
outflow tract

What view is this?
4 chamber view





Normal 4 chamber view

Identify structures of the heart

What view is this?

5 chamber view (used to recored aortic root, outflow, LVOT)
What view is this?

Crisscross view
What view is this?

Crisscross view
What view is this?

Long-axis Outflow Tract/ LVOT
What view is this?

LVOT / Long axis
What view is this?

Short-axis Outflow Tract / RVOT
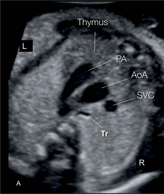
What vessels are seen?


What view is this and what vessels can be seen?

3 vessel view

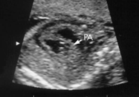
What view is this?

aortic arch

ductal arch
What vessels are imaged?



ductal arch

aortic arch

eustachian valve
What are the valves of the heart?


pericardial effusion

VSD

(flip flopped)