1/18
Looks like no tags are added yet.
Name | Mastery | Learn | Test | Matching | Spaced | Call with Kai |
|---|
No analytics yet
Send a link to your students to track their progress
What is the pancreas?
Non-encapsulated organ located in anterior pararenal space
What is the normal size of the pancreas?
Length: 12-18 cm
Width: 1 - 1.5 cm
Height: 2.5 cm

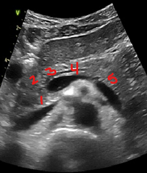
Identify this image.
Uncinate process
Pancreatic head
Pancreatic neck
Pancreatic body
Pancreatic tail

Identify this image.
Normal variant of uncinate process in which it contains less fat than remainder of pancreas
What is the main pancreatic duct or Duct of Wirsung?
Duct that extends through entire pancreas and connects to CBD to form Ampulla of Vater
What is the normal measurement for the main pancreatic duct or Duct of Wirsung?
< 2 mm diameter
What is the accessory pancreatic duct or Duct of Santorini?
Accessory duct that drains pancreatic head
What is glycogenesis?
Formation of glycogen from glucose that is controlled by insulin
What is glycogenolysis?
Conversion of glycogen back into glucose that is controlled by glucagon
What are Islets of Langerhans?
Pancreatic cells that release insulin in order to lower blood sugar
What is the normal range for blood sugar?
80 - 90 mg / 100 dL
What are the EXORCINE functions of the pancreas?
When Acini glands secrete pancreatic juice that includes
Trypsin: Breaks down protein into amino acids
Amylase: Digests carbohydrates
Lipase: Digests fat
Sodium bicarbonate
What is cholecystokinin?
Digestive hormone found in GI tract that stimulate pancreatic juice production
What is secretin?
Peptide hormone found in GI tract that stimulate pancreatic juice production
What are the ENDOCRINE functions of the pancreas?
When Islets of Langerhans produce insulin and glucagon that includes
Alpha cells: Produce glucagon
Beta cells: Produce insulin
Delta cells: Produce somatostatin

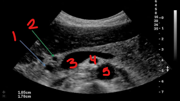
Identify this image.
CBD
GDA
Portal confluence
SMA
Aorta
What is the normal sonographic appearance of the pancreas in children?
HYPOechoic or isoechoic to liver
What is the normal sonographic appearance of the pancreas in adults?
HYPERechoic or isoechoic to liver
(T/F). Pancreatic echogenicity increases with age.
True