1/80
Looks like no tags are added yet.
Name | Mastery | Learn | Test | Matching | Spaced | Call with Kai |
|---|
No study sessions yet.
Density Radiographic Signs of BENIGN tumors
radiolucent
mixed RL-RO
Septations, Loculations
Density Radiographic Signs of MALIGNANT tumors
ALWAYS Radiolucent except: metastases (breast and prostate), & Osteogenic sarcoma
Which malignant tumors are not always RL ?
Breast
Prostate
Osteogenic Sarcoma
Margin Radiographic Signs of BENIGN tumors
well-defined
smooth, regular
corticated
Margin Radiographic Signs of MALIGNANT tumors
ill-defined
ragged
moth-eaten
Shape Radiographic Signs of BENIGN tumors
round/oval
Shape Radiographic Signs of MALIGNANT tumors
irregular
Cortical Bone Adj. Structure of BENIGN tumors
expansion
thinning
aggressive may arode
Cortical Bone Adj. Structure of MALIGNANT tumors
erosion
destruction
Periosteum Adj. Structure of BENIGN tumor
onion skin effect (RAISED UPWARD)
Periosteum Adj. Structure of MALIGNANT tumor
destruction
sunray effect
Onion Skin appears due to alternate layers of bone __ and __
resorption and deposition
What other issues may have "onion skin" appearance?
Garre's osteomyelitis
ewing's sarcoma
osteo/condrosarcoma
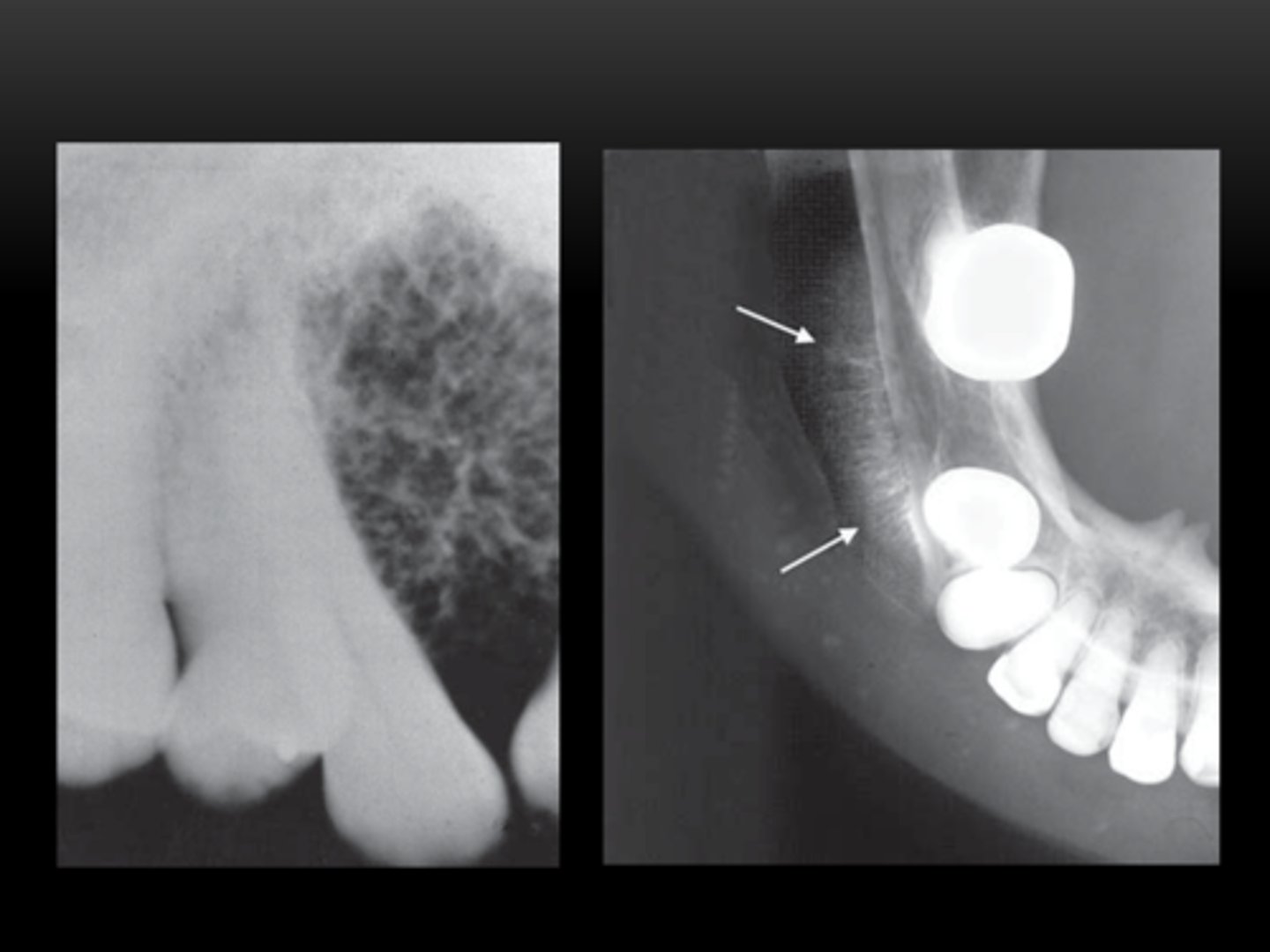
IAN Adj. Structure of BENIGN tumor
displacement of mandibular canal
NO neuro-sensory deficits
IAN Adj. Structure of MALIGNANT tumor
invasion, destruction of canal
anesthesia and parathesia
Tooth Root of BENIGN tumor
horizontal
Tooth Root of MALIGNANT tumor
more variable
spiked roots
Ameloblastoma is a ___ and ___ tumor
benign
odontogenic
Ameloblastoma is a benign/malignant tumor
benign
Ameloblastoma is a odontogenic/non-odontogenic tumor
odontogenic
Ameloblastoma is of __ origin
ectodermal
Radiographic Signs of Ameloblastoma
cortical expansion, thinning, and/or erosion
root resorption common
80% mandible

Ameloblastomas are notoriously ___locular
multi
Calcifying Epithelial Odontogenic Tumor is __ and __
benign
odontogenic
Calcifying Epithelial Odontogenic Tumor is a odontogenic/non-odontogenic tumor
odontogenic
Calcifying Epithelial Odontogenic Tumor is a benign/malignant tumor
benign
Calcifying Epithelial Odontogenic Tumor is of __ origin
ectodermal
Radiographic signs of Calcifying Epithelial Odontogenic Tumor
mixed/RL
usually associated with unerupted tooth

Odontoma is a __ and __tumor
benign
odontogenic
Odontoma is a odontogenic/non-odontogenic tumor
odontogenic
Odontoma is a benign/malignant tumor
benign
Odontoma is of __ origin
mixed
Radiographic Signs of Odontoma
mixed
target lesion

Complex Odontomas look/do not look like the structure
look
Compound Odontomas look/do not look like the structure
do not
Ameloblastic Fibroma is a ___ and ___ tumor
benign
odontogenic
Ameloblastic Fibroma is a odontogenic/non-odontogenic tumor
odontogenic
Ameloblastic Fibroma is a benign/malignant tumor
benign
Ameloblastic fibroma is of ___ origin
mixed
Radiographic Sign of Ameloblastic Fibroma
associated with unerupted teeth
interferes with eruption

Ameloblastic Fibroodontoma is a __ and __ tumor
benign
odontogenic
Ameloblastic Fibroodontoma is a benign/malignant tumor
benign
Ameloblastic Fibroodontoma is a odontogenic/non-odontogenic tumor
odontogenic
Ameloblastic Fibroodontoma is of __ origin
mixed
Radiographic Signs of Ameloblastic Fibroodontoma
Mixed density
associated with unerupted teeth
*up to 10 years of age*
Adenomatoid Odontogenic Tumor is a __ and ___ tumor
benign
odontogenic
Adenomatoid Odontogenic Tumor is a benign/malignant tumor
benign
Adenomatoid Odontogenic Tumor is a odontogenic/non-odontogenic tumor
odontogenic
Adenomatoid Odontogenic Tumor is of __ origin
mixed
Location of Adenomatoid Odontogenic Tumor
maxilla!!! anterior!!!
Radiographic Signs of Adenomatoid Odontogenic Tumor
mixed/ FL
usually unerupted tooth
*snow flake appearance*

Odontogenic Myxoma is of ___ and __ origin
benign
odontogenic
Odontogenic Myxoma is a benign/malignant tumor
benign
Odontogenic Myxoma is a odontogenic/nonodontogenic tumor
odontogenic
Odontogenic Myxoma is of __ origin
mesodermal
Radiographic Signs of Odontogenic Myxoma
variable
multilocular
soapbubble
honeycomb
straight thin septa

Benign Cementoblastoma is a __ and ___ tumor
benign
odontogenic
Benign Cementoblastoma is a odontogenic/nonodontogenic tumor
odontogenic
Benign Cementoblastoma is a benign/malignant tumor
benign
Benign Cementoblastoma is of __ origin
mesodermal
Radiographic Signs of Benign Cementoblastoma
mixed density
target lesion
root resorption
Clinical Sign of Benign Cementoblastoma
PAINFUL
Location of Benign Cementoblastoma
mandibular premolars
Osteoma is a __ and __ tumor
benign
non-odontogenic
Osteoma s a benign/malignant tumor
benign
Osteoma is a odontogenic/nonodontogenic tumor
nonodontogenic
Osteoma is of __origin
mesodermal
Location of Osteoma
lingual ramus, inferior border, paranasal
Multiple Osteoma
Gardner's Syndrome
Most common location of osteomas
frontal sinus
Central Hemangioma is a __ and __ tumor
benign
nonodontogenic
Central Hemangioma is a odontogenic/nonodontogenic tumor
nonodontogenic
Central Hemangioma a benign/malignant tumor
benign
Central Hemangioma is of __ origin
mesodermal
Radiographic Signs of Central Hemangioma
RL/mixed
variable margins
"multilocular"
root resorption
canal widening

Central Giant Cell Granuloma (CGCG) Radiographic signs
radiolucent
well-defined (mandible)
ill-defined maxilla
corticated/non-corticated
granular , wispy septa
Radiographic Signs of Squamous Cell Carcinoma
radiolucent
ill-defined borders
irregular
cortical destruction
Osteosarcoma Radiographic Signs
radiographic (widened PDL)
Mixed (fleck, sunray appearance)
ill-defined margins
irregular
cortical destruction
root resorption (displacement)
Osteolytic has ___
radiolucent
Osteogenic has ___
mixed
Metastatic Lesion Radiographic Signs
radiolucent
may have radiopaque foci
ill-defined bordered
irregular
cortical destruction