25: Fractures

0.0(0)
studied byStudied by 0 people
0.0(0)
full-widthCall with Kai
GameKnowt Play
New
learnLearn
examPractice Test
spaced repetitionSpaced Repetition
heart puzzleMatch
flashcardsFlashcards
Card Sorting

1/41

encourage image

There's no tags or description

Looks like no tags are added yet.

Study Analytics
Name
Mastery
Learn
Test
Matching
Spaced

No study sessions yet.

42 Terms

1
New cards

First thing to do when a patient comes in for a fracture

Treat the patient first! It is likely from trauma, and the fracture can wait

2
New cards

Radiographs to take if a patient presents for a traumatic event and you suspect a fracture

  • 2 views where you suspect the fracture

  • Check the thorax!!

3
New cards

Why do we need oblique views of the distal limb when evaluating fractures

You will only see the fracture if you are in the plane of view, and they can easily hide in the distal limb

4
New cards

Normal anatomic variations that may mimic a fracture line

  • Superimposed ST

  • Nutrient foramen

  • Heel crack (ungulates)

5
New cards

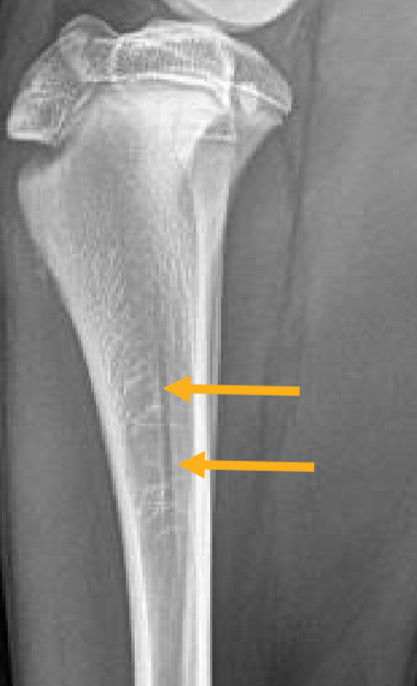
Location of the nutrient foramen

In the cortex of the proximal diaphysis in long bones

<p>In the cortex of the proximal diaphysis in long bones</p>
6
New cards

List the 7 descriptors for bone fractures

  1. ST changes: open or closed, swelling

  2. Complete or incomplete

  3. Simple or comminuted

  4. Traumatic or pathologic

  5. Configuration

  6. Displacement

  7. Acute or chronic

7
New cards

Why do we care if a fracture is open or closed

Open fractures are or were open to the outside world, and there is an increased risk of infection

8
New cards

Radiographic findings associated with an open fracture

Gas in ST or penetrating debris

9
New cards

Typical cause of diffuse ST swelling

Fluid (edema, hemorrhage, etc.)

10
New cards

Incomplete fracture

Fracture line does not cross from cortex to cortex

11
New cards

Complete fracture

Fracture line crosses from one cortex to the other cortex

12
New cards

Common signalment for an incomplete fracture

Young animals; immature bones are flexible → greenstick fracture

13
New cards

Fissure line

Smaller fracture line extending from the main fracture line

14
New cards

Simple fracture

One line is splitting a bone into two pieces

15
New cards

Comminuted fracture

Lots of lines, lots of bone pieces

16
New cards

Pathologic fracture

The bone was not normal prior to the fracture, and broke in response to what might have been a normal amount of stress to the bone

17
New cards

Why do we care to differentiate between traumatic and pathologic fractures

Informs whether and how to treat

18
New cards

List the fracture configurations

  • Transverse

  • Oblique

  • Spiral

  • Segmental (>1 piece)

19
New cards

Common location for a spiral fracture

Tibia

20
New cards

How is displacement described

How the distal segment of the fracture moved from normal

21
New cards

Radiographic indicators of an acute fracture

Sharp edges with no new bone

<p>Sharp edges with no new bone</p>
22
New cards

Radiographic indicators of a chronic fracture

Rounded edges with periosteal new bone (callus), fracture gap may be increased due to healing processes

<p>Rounded edges with periosteal new bone (callus), fracture gap may be increased due to healing processes</p>
23
New cards

Common type of fracture involving the flat bones of the skull

Depression fracture

24
New cards

Common type of fracture involving the spine

Compression fracture

25
New cards

Avulsion fracture

Fracture at the site of soft tissue attachment (enthesis) 

26
New cards

Enthesophyte

Periarticular new bone at site of ST attachment

27
New cards

Common site of avulsion fracture

Apophyses

28
New cards

Common types of fractures in the carpal and tarsal bones

Chip fractures and slab fractures

29
New cards

Alternate name for physeal fractures

Salter-Harris fracture

30
New cards

Patient demographic for physeal fractures

Juvenile patients with open physes

31
New cards

Type 1 physeal fracture

Physeal fracture separating metaphysis and epiphysis

<p>Physeal fracture separating metaphysis and epiphysis</p>
32
New cards

Type 2 physeal fracture

Fracture running through physis and metaphysis

<p>Fracture running through physis and metaphysis</p>
33
New cards

Type 3 physeal fracture

Fracture running through the physis and epiphysis

<p>Fracture running through the physis and epiphysis</p>
34
New cards

Type 4 physeal fracture

Combo of 2 and 3, runs from metaphysis through the physis and out the epiphysis

<p>Combo of 2 and 3, runs from metaphysis through the physis and out the epiphysis</p>
35
New cards

Type 5 physeal fracture

Crushing fracture, prematurely closing the physis

<p>Crushing fracture, prematurely closing the physis</p>
36
New cards

Most common type of Salter-Harris fracture in vet med

Type 2

37
New cards

Hardest physeal fracture to diagnose

Type 5

38
New cards

Most common physeal fracture at the distal humerus

Type 4

39
New cards

Most common site of type 5 fracture and why

Distal ulna because the physis is V shaped

40
New cards

Consequence of a Type 5 physeal fracture at the ulna

Stunted ulnar growth with continued radial growth → cranial bowing of radius

41
New cards

Consequence of a cranially bowed radius

Increased risk of elbow dysplasia

42
New cards

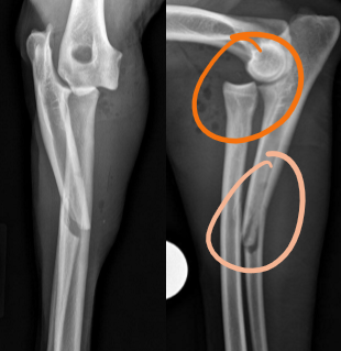
Montagia fracture

Fracture with accompanying luxation

<p>Fracture with accompanying luxation</p>