1/17
Name | Mastery | Learn | Test | Matching | Spaced | Call with Kai |
|---|
No analytics yet
Send a link to your students to track their progress
VESTIBULAIRE MIGRAINE - DEFINITIE
Vestibulaire migraine of migraine-geassocieerde vertigo (MAV) is vertigo of duizeligheid veroorzaakt door migraine
Vestibulaire migraine manifesteert zichzelf met aanvallen van spontane, positionele of positioneringsvertigo, of combinaties daarvan, die seconden tot dagen kunnen duren
Pas een aparte klinische diagnose sinds 2012! → nog niet zo veel gediagnoseerd (discussie over)
Vestibulaire Migraine SO STONED
S: vertigo, duizeligheid en posturale instabiliteit
O: dagelijks, wekelijks, maandelijks; variabel
S: maandelijks – jaren; vaak voorgeschiedenis van migraine!
T: spontaan, hoofdbewegingen, visuele stimuli, lawaai, vermoeidheid, hormonaal, fysische oefeningen (inspanning)
O: tinnitus en/of vol gevoel in de oren
N: hoofdpijn, migraine, fotofobie, fonofobie, scotomen en/of visuele aura
E: fluctuerende frequentie en intensiteit
D: minuten – uren – dagen; 5min – 72u
Vestibulaire Migraine PATHOFYSIOLOGIE
Tot op heden is de oorzaak van het ontstaan van vestibulaire migraine nog niet gekend. De huidige hypotheses zijn vnl. gebaseerd op de kennis van migraine afzonderlijk:
Bloedvaten? (constrictie intra- en extracraniële bloedvaten, gevolgd door dilatatie)
Functionele wisselwerking tussen hersenstam, vestibulaire nuclei en banen van de nervus trigeminus?
Extreme gevoeligheid sensorische input => Overload vaak tegenstrijdige input (bv. auto: visueel beweging, vest. stilstand) => Triggering drempel => Corticale en hersenstamveranderingen => Sensorische input wordt als storend ervaren => Hevige hoofdpijn
Vestibulaire info wordt verwerkt in verschillende hersenstructuren zoals de thalamus, de welke visuele, proprioreceptieve en vestibulaire input verspreidt?
Activatie van de thalamus werd aangetoond via PET en fMRI tijdens aanvallen, wat suggereert dat vestibulaire symptomen bij VM ontstaan door foutieve sensorische integratie
Te veel sensorische inforlatie komt binnen → hersenstam verwerkt eerste deel → dan via thalamus doorgestuurd: kan dus op hersenstamniveau fout lopen of in hogere regio’s
Corticale dysfuncties (kunnen klinische symptomen die gepaard gaan met acute fase van VM (bv. unilaterale hypofunctie, positionele nystagmus) niet verklaren)
Verstoring balans neurotransmitters?
Dysfunctieionkanalen?
VM PATHOFYSIOLOGIE - meniere
Gemeenschappelijke pathofysiologie als ziekte van Ménière (DD!)
MD met geassocieerde VM (31%)
MD met minstens één episode van VM (56%)
VM met geassocieerde MD (23%)
VM met sensorieel gehoorverlies (8%) ➔MD vaak overgediagnosticeerd geweest.
eerst VM eerst medicamenteus aanpakken dan pas meniere (want is miss niet meer nodig)
In het verleden vaak patiënten die niet reageerden op MD-medicatie => eerder VM?! Indien samen voorkomen => eerst VM behandelen, dan pas invasieve therapie voor MD
Kan ook via overerving (autosomaal dominant)
Vestibulaire Migraine VOORKOMEN
Na BPPV de meest voorkomende oorzaak van recurrentevertigo
± 10% vd vertigo-patiënten en ± 10% vd migraine patiënten
Man <<< vrouw (1/2 – 1/4,5)
Voorkeursleeftijd: 40-50 jaar
Vestibulaire Migraine(DIFFERENTIAAL)DIAGNOSE
Er bestaan tot op heden nog geen pathognomonische kenmerken/biomarkers, waardoor de diagnose gesteld wordt a.d.h.v. de anamnese, medicamenteuze ondersteuning (= reageren de personen op medicatie, gekend om hun gunstig effect bij VM?) en exclusieonderzoeken (otologisch en vestibulair):
Audiometrie (DD: Ménière, Labyrinthitis)
ENG (DD: perifeer vestibulaire hypofunctie (niet bij VM)) → evenwichtsonderzoek
Vestibulaire Migraine DIAGNOSTISCHE CRITERIA
Definite vestibulaire migraine:
≥ 5 aanvallen van vertigo met matige tot ernstige vestibulaire symptomen die > 5 minuten en max. 72 uur duren
Huidige of vroegere voorgeschiedenis van migraine met of zonder aura, volgens de criteria van de International Headache Society
≥ 1 vd volgende migrainesymptomen gedurende > ½ vd vestibulaire aanvallen:
Migraineuze hoofdpijn met ≥ 2 vd volgende kenmerken: eenzijdige hoofdpijn, pulsatiel, matig tot ernstige hoofdpijn, verergering bij fysische inspanning
Fotofobie, fonofobie, visuele of andere aura’s
Probable vestibulaire migraine:
≥ 5 aanvallen van vertigo met matige tot ernstige vestibulaire symptomen die > 5 minuten en max. 72 uur duren
Met ≥ 1 vd volgende kenmerken:
Huidige of vroegere voorgeschiedenis van migraine met of zonder aura, volgens de criteria van de International Headache Society
≥ 1 vd volgende migrainesymptomen gedurende > ½ vd vestibulaire aanvallen:
Migraineuze hoofdpijn met ≥ 2 vd volgende kenmerken: eenzijdige hoofdpijn, pulsatiel, matig tot ernstige hoofdpijn, verergering bij fysische inspanning
Fotofobie, fonofobie, visuele of andere aura’s
+ indien andere oorzaken uitgesloten zijn!
Vestibulaire Migraine - BEHANDELING
Dagboek bijhouden
Uitlokkende triggers beperken
Aanpassen levensstijl (regelmatige slaap, gezonde voeding, voldoende beweging)
Medicamenteus
Antimigraineuze medicatie; beta-blokker en Ca-kanaal-blokker (bv. propranolol, flunarizine, topiramaat, nortryptiline → namen niet kennen)
Antivertigineuze medicatie tijdens vertigo-aanval
Vestibulaire Migraine RESULTATEN VESTIBULAIRE TESTEN
vHIT, rotatietest en calorisch onderzoek
Vaak normaal in symptoom vrij interval
Tijdens aanvallen kunnen afwijkingen gevonden worden (vb hypofunctie), maar die zijn niet specifiek
cVEMP & oVEMP
Meerderheid patiënten normale VEMP
Afwezige VEMPs, verlengde latenties (eerder central), gedaalde amplitude (eerder perifeer)
geen perifeer vest. functie verlies!
Stel VM + andere perifeer verlies = belangrijk om dit aan te pakken WANT VM is door tegenstrijdige info → als je 1 deeltje hebt dat minder goed werkt = meer tegenstrijdige info
VESTIBULAIRE PAROXYSMIE DEFINITIE
Klinische stoornis die veroorzaakt wordt door irritatie van de vestibulaire zenuw en gekenmerkt wordt door korte, veelvoorkomendevertigoaanvallen en gecombineerde tekenen ten gevolgevan schadeaan de n. VIII (bv. gehoorverlies,...)
druk op myelineschede van zenuw → beschadiging = overgevoeligheid van de zenuw → elke keer prikkeling zenuw = aanval (soms zo erg dat zenuw echt kapot is)
Isolatie rond zenuw begint te destabiliseren en wordt overgevoelig
= neurovasculaire compressie

Vestibulaire Paroxysmie - SO STONED
S: vertigo, duizeligheid en posturale instabiliteit
O: dagelijks (vaak meerdere keren/dag) ➔ DD!! (beweging met hoofd → duwing tegen zenuw)
S: variabel: − Ouderdom − Congenitaal − Trauma − Idiopathisch
T: ook spontaan, positieveranderingen, hyperventilatie (zenuw ligt soms bloot van beschadiging = zuurstofgevoelig → als je patiënt vraagt om te hyperventileren, gaan ze waarschijnlijk draaien)
(OPGELET BPPV-verwarring = dat is nooit spontaan)
O: met of zonder: gehoorverlies, tinnitus en/of drukgevoel
N: paresthesieën, hoofdpijn
E: toenemende frequentie en intensiteit (BPPV = minder tegen einde van de dag, want steentjes door elkaar (als ze overdag bewegen) VS hoe meer je beweegt = duwing tegen zenuw = meer beschadiging = heftigere reactie)
D: seconden – minuten
Vestibulaire Paroxysmie PATHOFYSIOLOGIE
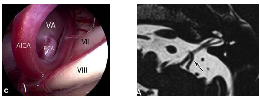
Neurovasculaire compressie van de n. VIII:
AICA → meestal
PICA → 2de meest
Arteria labyrinthis
Veneus bloedvat
Tumor
Cyste
Trauma
Dit zorgt voor
Zenuwbeschadiging t.g.v. compressie en demyelinisatie
En ephaptische transmissie (laterale transmissie) = door demyelinisatie gaan signalen ook op andere neuronen verder lopen = paroxysmale interaxonaletransmissie (vergelijk met elektriciteit kabel zonder isolatielaag)
(OPGELET: veel mensen hebben een bloedvat dat op de zenuw ligt → zorgt niet altijd voor klachten)

Vestibulaire Paroxysmie VOORKOMEN
Weinig onderzoek naar epidemiologie (vnl case series), waardoor de prevalentie niet gekend is
Wordt beschouwd als een zeldzame ziekte
4% van de neuro-otologische patiënten
Voornamelijk rond de leeftijd van 48-51 jaar
Neurovasculaire compressie n. VIII: 95%
Bilaterale neurovasculaire compressie n. VIII: 5%
=> veel normalecontrole personen hebben een neurovasculairecompressie!! (70% bevolking)
Vestibulaire Paroxysmie DIAGNOSE
Er bestaan tot op heden nog geen pathognomonische kenmerken, waardoor de diagnose gesteld wordt a.d.h.v. de anamnese, medicamenteuze ondersteuning (= reageren de personen op medicatie, gekend om hun gunstig effect bij VP?) en exclusieonderzoeken (otologisch en vestibulair).
Audiometrie: abnormale resultaten in 67% → TEGENGESTELD met vestibulaire migraine
ENG: normale resultaten in 83%
Vaak wel typische centrale nystagmus, aan 2 kanten zichtbaar
Hyperventilatie: 70% heeft hyperventilatie-geïnduceerde nystagmus (opgelet: VS!)
niet omdat er nystagmus dat het VP is → dat is bv. ook bij vestibulair schwannoom (want milleine schede w hier ook beschadigd)
tis een en en en en verhaal!
MRI waarop neurovasculair conflict vastgesteld wordt
OPGELET: MRI is niet voldoende om de diagnose te kunnen stellen aangezien er frequent (70%) sprake is van aasymptomatische neurovasculaire compressie
➔ Neurovasculaire compressie is niet pathognomonisch!
Vestibulaire Paroxysmie DIAGNOSTISCHE CRITERIA
Definite vestibulaire paroxysmie:
≥ 10 aanvallen van rotatoire of non-rotatoire vertigo dewelke < 1 min duren
Vestibulaire migraine is minstens 5 min!!!
Spontaan optreden (opgelet: bij sommige patiënten zijn hyperventilatie en hoofdbewegingen mogelijke triggers)
Stereotiep voorkomen vd klachten bij de specifieke patiënt
Positieve respons op carbamazepine/oxcarbazepine
antiepileptica → herstellen myelineschede
zeer zwaar! met bijwerkingen!
Probable vestibulaire paroxysmie:
≥ 5 aanvallen van rotatoire of non-rotatoire vertigo, dewelke < 5 min duren
Spontaan optreden (opgelet: bij sommige patiënten zijn hyperventilatie en hoofdbewegingen mogelijke triggers)
Stereotiep voorkomen vd klachten bij de specifieke patiënt
(medicatie er niet bij, want is zeer zwaar en sommige mensen moeten stoppen door bijwerkingen)
+ indien andere oorzaken uitgesloten zijn!
Vestibulaire Paroxysmie DIFFERENTIAALDIAGNOSE
S: vertigo, duizeligheid en posturale instabiliteit
O: dagelijks (vaak meerdere keren/dag)
S: variabel
T: spontaan, positieveranderingen, hyperventilatie
➔ DD: BPPV
O: met of zonder: gehoorverlies, tinnitus en/of druk gevoel
➔ DD: MD (maar meniere duurt min 20min en VP = <1min)
N: paresthesieën, hoofdpijn − Nekpijn (78%) − Fotofobie (27%) − FFonofobie (33%
➔ DD: VM (MAAR VP is korter)
E: toenemende frequentie en intensiteit
D: seconden – minuten
Vestibulaire Paroxysmie BEHANDELING
Medicamenteus/farmacologisch:
Anti-epileptica: bv. carbamazepine (200-800 mg/d) en oxcarbazepine (300-900 mg/d)
Traag opstarten + bloedonderzoek na aantal weken
Chirurgisch:
Microvasculaire decompressie (MVD) = het ‘ontgrendelen’ van de compressie door beide elementen van het conflict (zenuw en bloedvat) chirurgisch van elkaar te scheiden en eventueel een stukje teflon toe te voegen om terugkerende compressie tegen te gaan
Slaagpercentages 17% (placebo heeft meer effect!)
Centraal zenuwstelsel ➔ risicovol!
Enkel indien farmacologisch falen
+ vaak is weten wat het probleem is + medicatie is genoeg!
Vestibulaire Paroxysmie RESULTATEN VESTIBULAIRE TESTEN
vHIT, rotatietest en Calorisch onderzoek
Normaal in 83% van de patiënten
Soms kan er een unilaterale hypofunctie vastgesteld worden (niet-specifiek!)
Tijdens positietesten (Hallpike en roll test) wordt er vaak een (hevige) positionele nystagmus vastgesteld (niet typisch voor BPPV!)
nystagmus die niet overeenkomt met het geteste kanaal/ waar je zou denken dat de steentjes zitten
DAAROM videobril belangrijk, want dan wordt er gewoon gekeken naar nystagmus, ja of nee, en niet naar de richting van de nystagmus gekeken! DUS belangrijk om de richting van de verwachte nystagmus kennen!!!!!
cVEMP en oVEMP
Verlengde latenties??? → enkel bij hevige schade