1/264
Looks like no tags are added yet.
Name | Mastery | Learn | Test | Matching | Spaced | Call with Kai |
|---|
No analytics yet
Send a link to your students to track their progress

femur bone

head of femur

neck of femur

greater trochanter

lesser trochanter

lateral condyle

medial condyle

lateral epicondyle

medial epicondyle

patellar surface

popliteal surface

intertrochanteric line

intertrochanteric crest

gluteal tuberosity

intercondylar fossa

tibia bone

medial condyle

lateral condyle

intercondylar eminence

tibial tuberosity

medial malleolus

fibula bone

head of fibula

shaft of fibula

lateral malleolus

patella

tarsal bones

talus

calcaneus

navicular

cuboid

cuneiforms (medial, intermediate, lateral)

metatarsal bones

phalanges

superior

inferior direction

lateral direction

medial direction

posterior

anterior

superficial d

deep

distal

proximal

frontal plane

sagittal

transverse

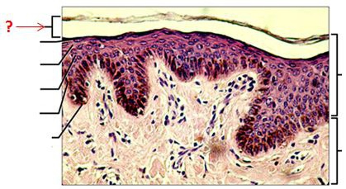
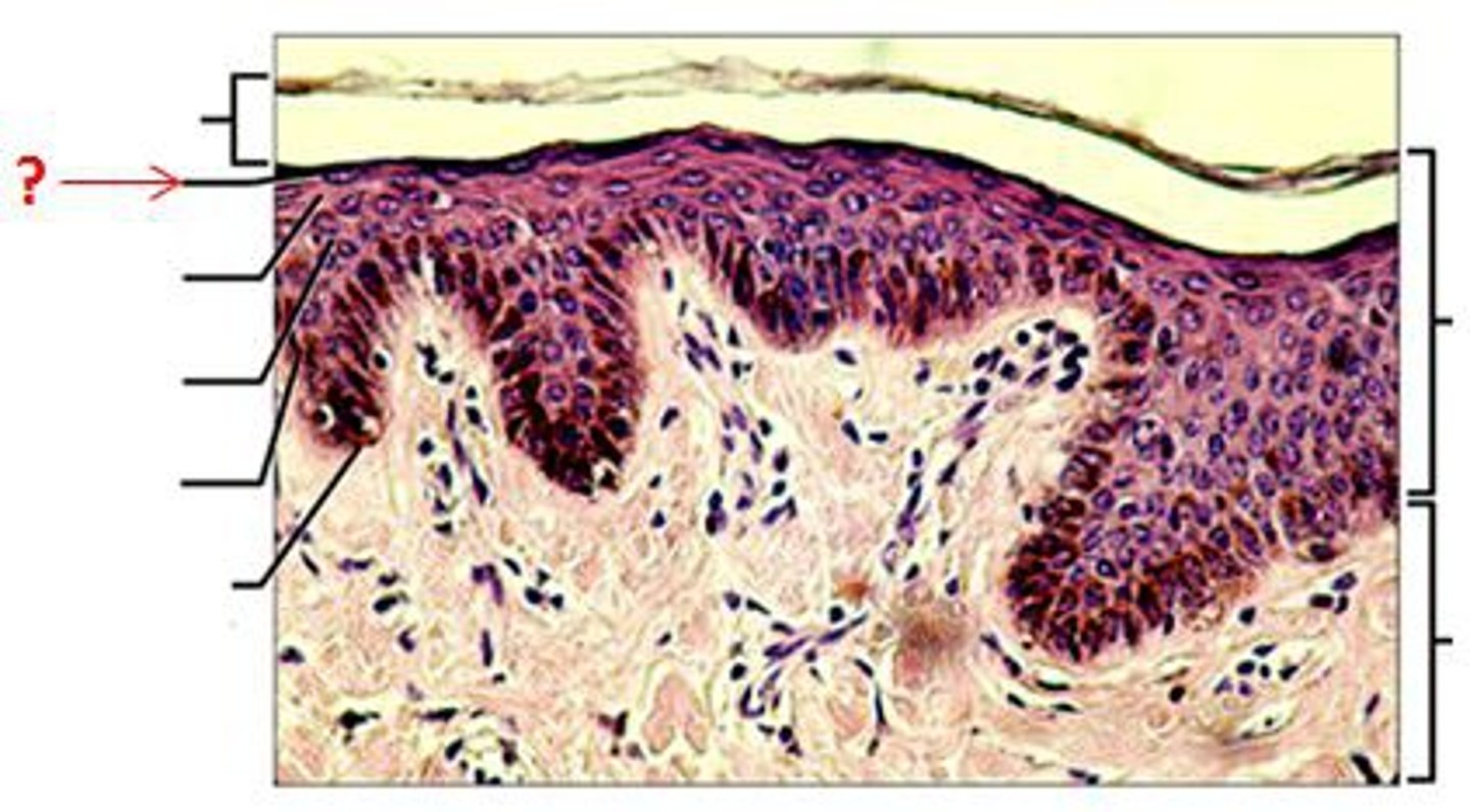
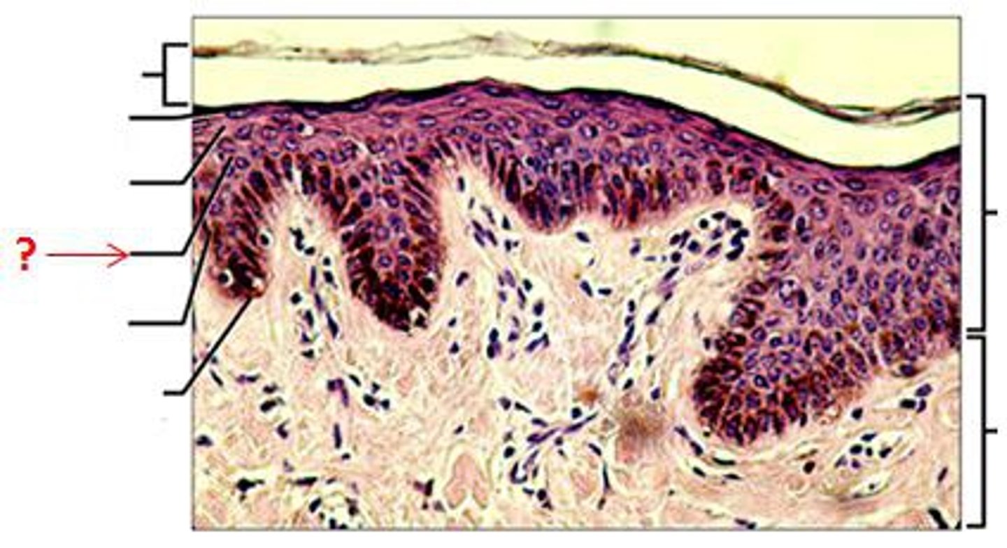
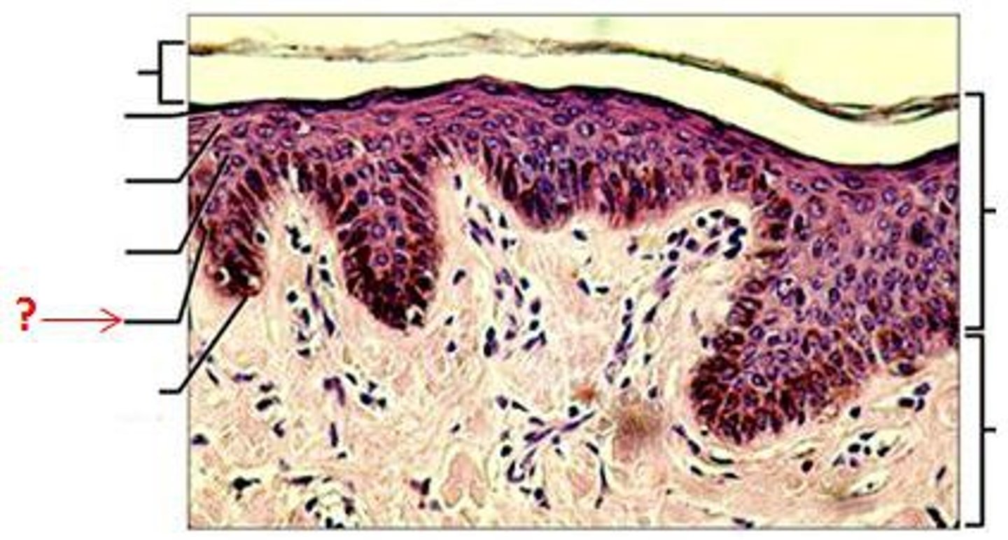
stratum corneum

stratum lucidum

stratum granulosum

stratum spinosum

stratum basale

papillary layer of dermis

reticular layer of dermis

hypodermis

sebaceous gland

sudoriferous gland

arrector pili m.

hair shaft

hair root

spongy bone

compact bone of tibia

medullary cavity

epiphysis

metaphysis

diaphysis

osteon

central canal

lamellae

lacunae

perforating canals

periosteum

MAXILLA

Maxillary sinus

Palatine process

Frontal process of maxilla

Zygomatic process of maxilla

Alveolar process (gums)

Incisive foramen/fossa

Infraorbital foramen

ZYGOMATIC BONE

Zygomatic arch

Temporal process of zygomatic bone

NASAL BONE

LACRIMAL BONE

Lacrimal foramen

PALATINE BONE

Greater palatine foramen

Lesser palatine foramen

VOMER BONE

INFERIOR NASAL CONCHA

MANDIBLE BONE

Coronoid process

Condyloid process

Mental foramen

Mandibular foramen

HYOID BONE

VERTEBRAE

Coccyx

Intervertebral disc