1/3
Images and descriptions
Name | Mastery | Learn | Test | Matching | Spaced | Call with Kai |
|---|
No analytics yet
Send a link to your students to track their progress

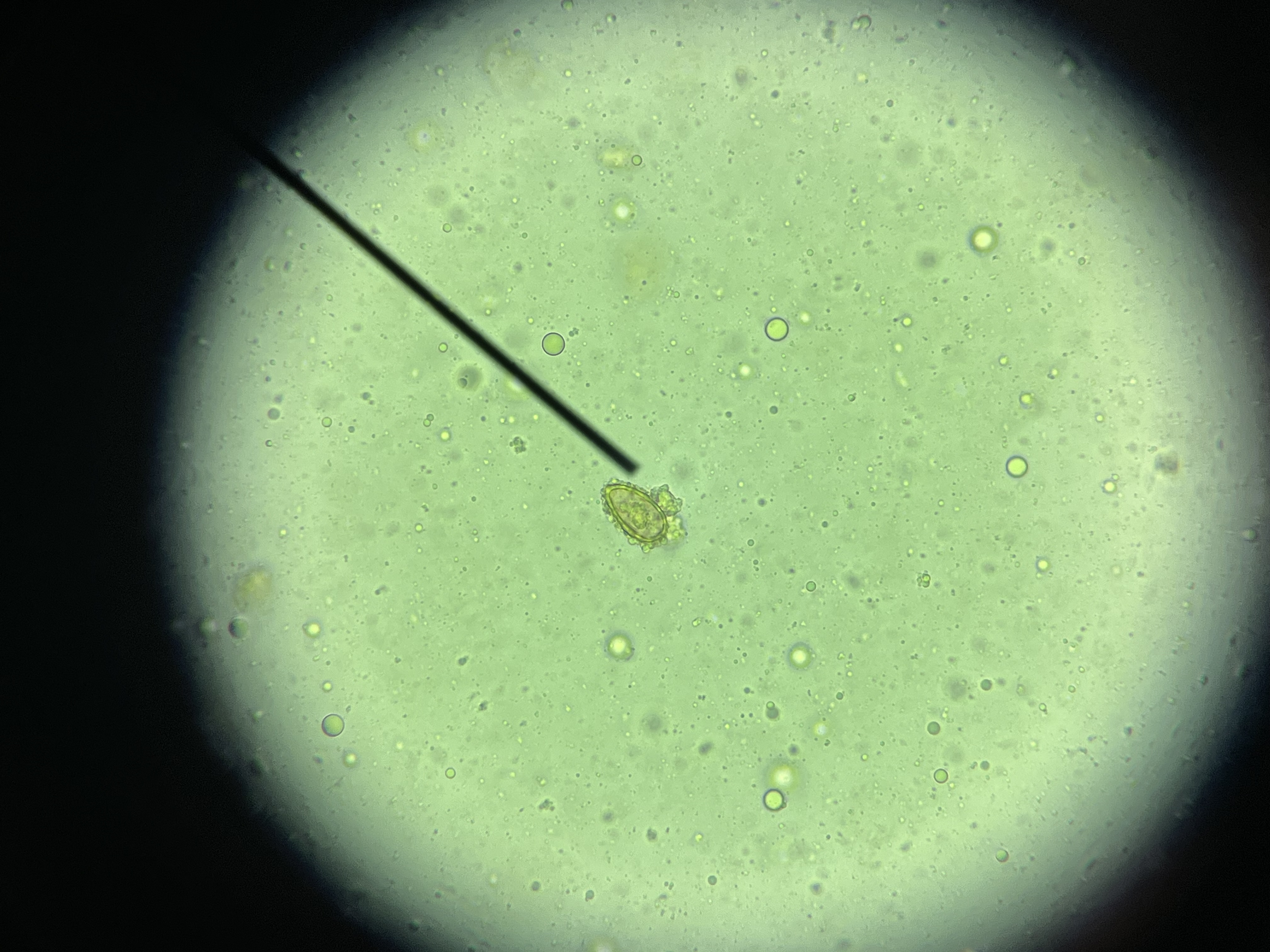
Operculum, no terminal knob
Fasciolopsis buski; large intestinal fluke AND Fasciola hepatica; sheep liver fluke (identical eggs)

cercaria
Fasciola hepatica; sheep liver fluke

thickened rim around operculum called shoulders, small knob.
Clonorchis sinensis

operculum with shoulders; terminal shell thickening usually in sputum.
Paragonimus westermani (Oriental lung fluke)