1/21
Pathology
Name | Mastery | Learn | Test | Matching | Spaced | Call with Kai |
|---|
No analytics yet
Send a link to your students to track their progress
Cortical thinning
Cortex measures less than 1 cm
Acute kidney failure
Sudden decrease in renal function over days or weeks
Most commonly caused by acute tubular necrosis
Chronic kidney failure
Gradual decrease in renal function overtime
Most common renal mass
Simple renal cyst
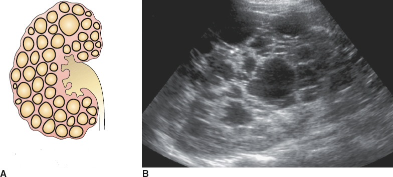
Adpkd , autosomal dominant polycystic kidney disease
Hereditary. Adults in their 3rd/4th decade of life. Cortical renal cysts.
Arpkd, autosomal recessive polycystic kidney disease
Hereditary. Infants/children. Fatal. Renal failure & portal hypertension. Dilation of renal collecting tubules.
Mcdk, multicystic dysplastic kidney
Early first trimester ureter obstruction → no normal renal tissue. Fetal if bilateral
Unilateral = compensary hypertrophy.
Acquired renal cystic disease
Caused by chronic hemodialysis. Small cysts throughout.
Von hippel-lindau syndrome
Tumors of the central nervous system → develop renal cysts, RCC, adrenal gland tumors

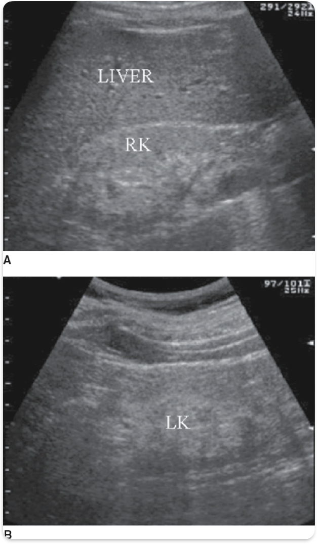
Chronic kidney failure. Small, echogenic. Cortical thinning. Loss of Cortico- medullary differentiation. Renal cysts

Simple renal cyst. Anechoic, smooth walls, posterior enhancement.

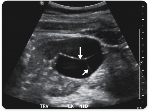
Complex renal cyst. septations, debris, irregular borders, papillary projections.

Adpkd , autosomal dominant polycystic kidney disease. Bilateral enlarged kidneys, cysts in other organs.

Arpkd, autosomal recessive polycystic kidney disease. Dilation of renal collecting tubules
Medullary sponge kidney
Collection of calcium within abnormally dilated ducts.

Medullary sponge kidney
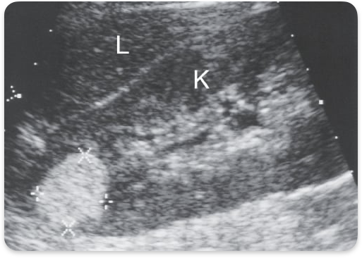
Most common benign renal tumor:
Angiomyolipoma. Blood vessels, muscles, fat

Angiomyolipoma
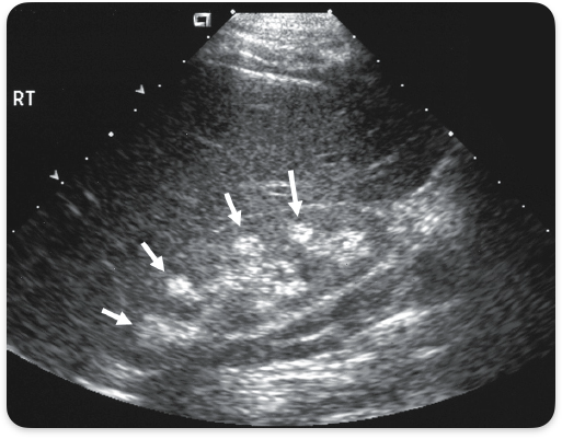
RCC. Renal cell carcinoma
Primary form of kidney cancer. Most common cause: smoking. Associated with Von hippel-lindau

RCC Renal cell carcinoma
TCC. Renal transitional cell carcinoma
Malignant tumor found in renal pelvis. Also in ureter and bladder. Most common cause: smoking.
Nutcracker syndrome
Compression or entrapment of lett renal vein as it passes through SMA & ao.