1/294
U5 U6 U7 U8 BIOLAB
Name | Mastery | Learn | Test | Matching | Spaced | Call with Kai |
|---|
No analytics yet
Send a link to your students to track their progress
What are the two novel reproductive structures that contribute to the success of angiosperms?
Flowers and fruits.
What is the primary function of a flower?
To facilitate pollination and fertilization.

What is the primary function of a fruit?
Seed protection and dispersal.

What is the collective term for the whorl of sepals at the base of a flower?
The calyx.
What is the collective term for the petals of a flower?
The corolla.
What structures form the perianth?
The sepals and petals together.

What are the three components of a carpel?
The stigma, style, and ovary.
What is the function of the stigma?
To trap pollen grains deposited by wind or pollinators.
What is the function of the style?
It acts as a connecting structure through which the pollen tube grows to reach the ovary.
What structure houses the ovules in a flower?
The ovary.
What is a pistil?
A structure comprised of multiple fused carpels.
What are the two components of a stamen?
The filament and the anther.
What is the function of the filament?
To support the anther.
Where are pollen grains (male gametophytes) produced?
In the anther.
What is a perfect flower?
A flower that contains both male (stamen) and female (carpel) reproductive organs.
What is the gynoecium?
The collective term for all the carpels in a flower.
How do flowers attract bees and butterflies?
Through sweet scents and vivid colors.

What types of scents might attract flies and beetles to a flower?
Scents that signal fermentation or putrefaction.
Why do some flowers have patterns visible only in the ultraviolet range?
To act as signals for arthropod pollinators that can perceive ultraviolet light.
What are the approximate number of known angiosperm species?
More than 300,000.
When did angiosperms first appear in the fossil record?
During the early Jurassic period.
What do ovules develop into after fertilization?
Seeds.
What are sepals typically responsible for in a flower?
Protecting the unopened floral bud.
What are some examples of fruit structures that aid in seed dispersal?
Sweet flesh, wings, parachutes, and spines.
What is the primary purpose of creating a pollen wet mount?
To observe pollen grains under a microscope and identify them using an identification sheet.
What does the term 'monoecious' mean in the context of plant reproduction?
Both male and female reproductive structures occur on the same plant.
What does the term 'dioecious' mean in the context of plant reproduction?
Male and female reproductive structures occur on separate plants.
If a plant produces both male and female flowers on the same individual, is it monoecious or dioecious?
Monoecious.
If a species requires separate male and female plants for reproduction, is it monoecious or dioecious?
Dioecious.
What is the difference between pollination and fertilization?
Pollination is the transfer of pollen to the stigma; fertilization is the fusion of sperm and egg nuclei.
Is a bee transferring pollen from one flower to another pollination or fertilization?
Pollination.
Is the fusion of a sperm nucleus with an egg nucleus pollination or fertilization?
Fertilization.
What happens to the ovary wall as a seed develops?
It thickens and forms the fruit.

Why are items like tomatoes, zucchini, and string beans botanically classified as fruits?
Because they contain seeds and are derived from the thick ovary tissue.
What is the botanical name for winged maple 'helicopter seeds'?
Samara.
What are the two main categories of fruit based on texture?
Fleshy and dry.
What are two examples of dry fruits?
Rice, wheat, and nuts.
What is an accessory fruit?
A fruit that develops largely from parts other than the ovary, such as the receptacle (e.g., strawberries).
What is the primary function of fruit in plants?
To act as an agent of seed dispersal.
How do fruits with burrs and hooks disperse their seeds?
By clinging to the fur of animals.
How do fruits that are eaten by herbivores disperse their seeds?
Through the herbivore's feces, as the seeds remain tough and undigested.
What are the three parts of a eudicot seed?
Seed coat (2n), food supply (3n), and embryo (2n).

What is the triploid (3n) food source in an angiosperm seed called?
Endosperm.
How is the endosperm formed during double fertilization?
One sperm nucleus fuses with two polar nuclei.
What is the ploidy level of the seed coat in a eudicot?
Diploid (2n).
What is the ploidy level of the embryo in a eudicot?
Diploid (2n).
What is the ploidy level of the endosperm?
Triploid (3n).
What is the primary method of dispersal for light, dry fruits like dandelions?
Wind.
What is the ploidy level of the endosperm in an angiosperm seed?
Triploid (3n)
What is the primary function of the endosperm?
To store carbohydrates and other nutrients for the developing embryo
What happens to a seed after it matures?
It enters a period of dormancy, dehydrates, and loses most of its water
How many cotyledons do eudicot seeds contain?
Two
How many cotyledons do monocot seeds contain?
One
What is the purpose of iodine in seed testing?
To detect the presence of starch (turns black in its presence)
What is the embryonic root found in a seed called?
Radicle
What is a corn kernel technically classified as?
A single-seeded fruit called a caryopsis
What are three common methods of seed dispersal?
Wind, ingestion by animals, and adherence to hair or fur
How are leaf veins arranged in monocots?
Parallel to and along the length of the leaves

How are leaf veins arranged in eudicots?
In a branched network
What is the typical symmetry of flower parts in monocots?
Three- or six-fold symmetry

What is the typical symmetry of flower parts in eudicots?
Four, five, or many whorls
How is vascular tissue arranged in the stems of monocots?
Scattered
How is vascular tissue arranged in the stems of eudicots?
In a ring pattern
What type of root system do monocots typically have?
A network of fibrous roots
What type of root system do eudicots typically have?
A tap root with many lateral roots
How many openings does monocot pollen typically have?
One
How many openings does eudicot pollen typically have?
Three
Which group of flowering plants comprises two-thirds of all species?
Eudicots
True or false: True woody tissue is commonly found in monocots.
False
What happens to the endosperm in many eudicot seeds during development?
The cotyledons absorb the nutrients, often leaving little or no endosperm in the mature seed
What is the pericarp of a seed?
The dry shell or fruit wall surrounding the seed
What color does iodine turn in the absence of starch?
Yellow or amber
How do fungi obtain nutrients?
By secreting enzymes into their environment to break down organic material and absorbing the nutrients.

Are fungi more closely related to plants or animals?
Animals.
What are the two common body forms of fungi?
Single-celled yeasts and multicellular filamentous fungi.
What are the thread-like structures that make up multicellular fungi called?
Hyphae.
What substance strengthens the cell walls of fungal hyphae?
Chitin.
What is a mycelium?
An interconnected network of hyphae that makes up the main body of a fungus.
What is the primary function of a mushroom in a fungus?
It is a temporary reproductive structure that produces and releases spores.

How do fungi reproduce?
Both sexually and asexually, often by producing large numbers of spores.
What is the process of budding in yeast?
A small outgrowth forms on the parent cell, enlarges, and eventually separates to become a new yeast cell.
What is the study of fungi called?
Mycology.
Which fungal phylum consists of aquatic fungi with flagellated spores?
Chytridiomycota.
What are the flagellated spores of chytrids called?
Zoospores.
What disease caused by chytrids has led to the decline of many amphibian species?
Chytridiomycosis.
Which phylum is commonly known as bread molds?
Mucoromycota.

What is the stalk-like structure that produces asexual spores in Rhizopus?
Sporangiophore.
What is the function of a zygosporangium in Mucoromycota?
It is a thick-walled, resistant survival structure where nuclei fuse and later undergo meiosis to produce genetically diverse spores.
What is the difference between a sporangium and a zygosporangium?
A sporangium produces asexual spores via mitosis for rapid dispersal, while a zygosporangium is a sexual survival structure that produces genetically diverse spores.
What does the root word '-phore' mean?
Bearing or carrying.
What is a sporangiophore?
A stalk-like structure that bears or carries a sporangium.
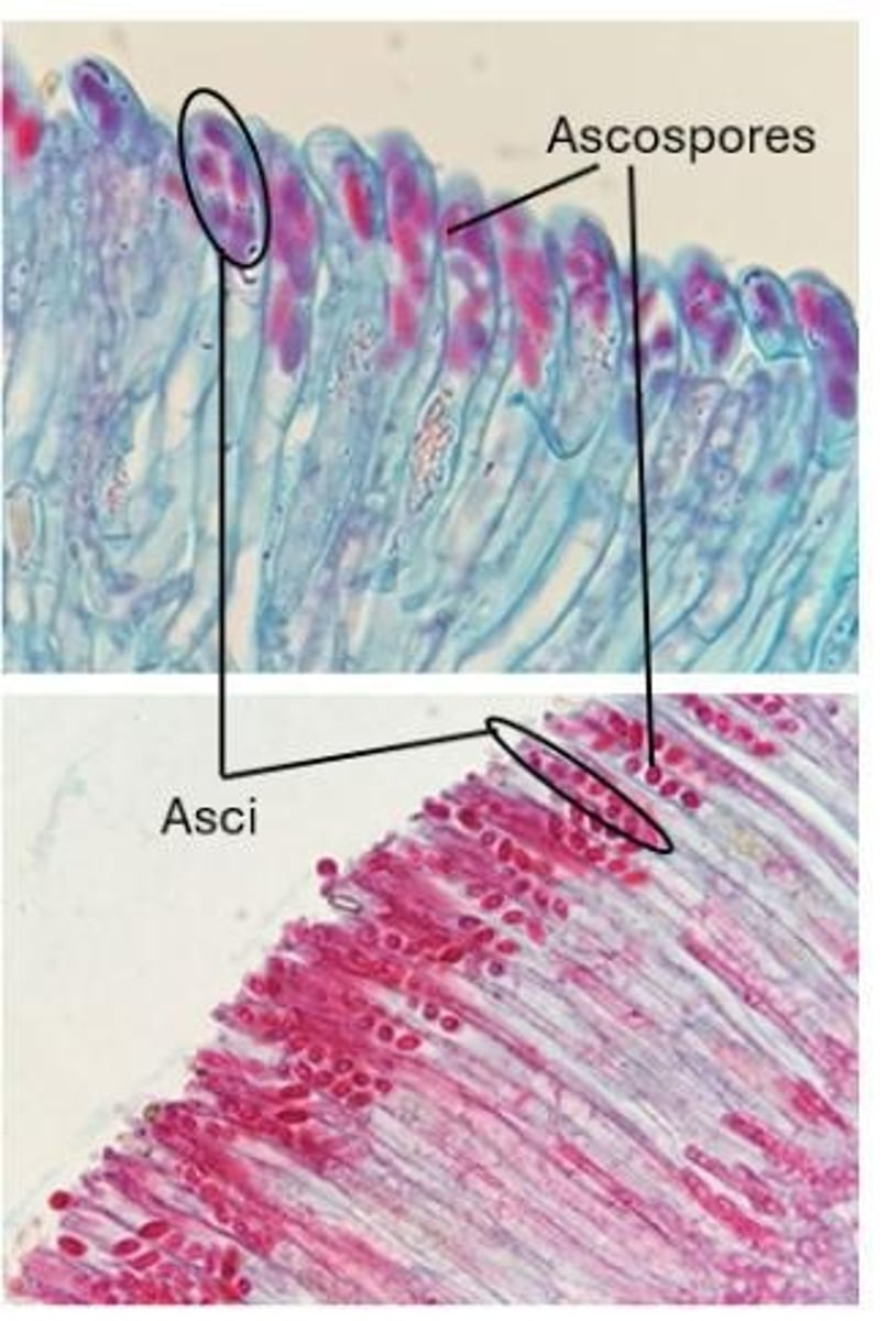
Why are Ascomycota referred to as 'sac fungi'?
Because they reproduce sexually using a saclike structure called an ascus.

What are the sexual spores of Ascomycota called?
Ascospores.
What are conidiophores?
Specialized hyphae in Ascomycota that produce and release asexual spores called conidia.

What are conidia?
Asexual spores formed by mitosis in Ascomycota for rapid colonization.
Which phylum forms mycorrhizae with plant roots?
Glomeromycota.
Which phylum is known as 'club fungi' and includes mushrooms and puffballs?
Basidiomycota.

What is the ecological importance of fungi as decomposers?
They help cycle nutrients within an ecosystem.
What are the two primary structures of Aspergillus and Penicillium?
Conidia and conidiophores
Which fungus has a swollen, dandelion-like conidiophore tip?
Aspergillus