1/30
Looks like no tags are added yet.
Name | Mastery | Learn | Test | Matching | Spaced | Call with Kai |
|---|
No analytics yet
Send a link to your students to track their progress
What parameters do you want to assess in general distance exam?
1. demeanor
2. behavior
3. respiratory rate
4. gait
5. hair condition
6. posture
What parameters do you want to assess in a distance exam in a patient with a reported lameness?
1. affected limb
2. determine lameness vs ataxia
What is a positive sit test result for CCL tear?
animal sitting with affected limb extended out to the side
Why does a dog with CCL tear sit with leg extended out?
painful to flex the stifle normally and joint is instable
What is the position for the cranial drawer test?
patient in lateral recumbency with limb extended up
How are your hands positioned during the cranial drawer test?
place index finger and thumb of one hand on patella and lateral fabella while other hand has index finger and thumb on tibial tuberosity and fibular head
What is the action being done in the cranial drawer test?
hold femur stationary while pushing the tibia cranially
What is the position for the tibial compression test/tibial thrust?
patient is in lateral recumbency with affected limb up
Where do you place your hands during a tibial compression test?
index finger over the patella and patellar tendon onto the tibial tuberosity
What is the action being done in the tibial compression test?
flex the tarsus and compress the tibia
What does the tibial compression test stimulate?
weight bearing movement in the patient
What is the position for medial and lateral patellar luxation test?
patient in lateral recumbency with affected limb up and relaxed
What is the hand position for the patellar luxation test?
one hand is supporting the distal limb while other hand identifies the patella
What is the action being done for the patellar luxation test?
apply gentle medial pressure on the patella and then apply gentle lateral pressure on the patella
What are the tests that can be performed for stifle issues?
1. cranial drawer test
2. tibial compression test
3. patellar luxation test
What is the traumatic cause of cranial cruciate ligament rupture?
young, athletic dog, playing hard and takes a landing wrong
What are the factors that contribute to degenerative cranial cruciate ligament rupture?
1. older dogs
2. overweight
3. ligament has degenerated or partially torn over time
Which cause for CCL rupture would have acute lameness when the ligament ruptures completely?
degenerative
What is the best diagnostic for checking for osteoarthritis with our patient with a CCL tear?
radiographs
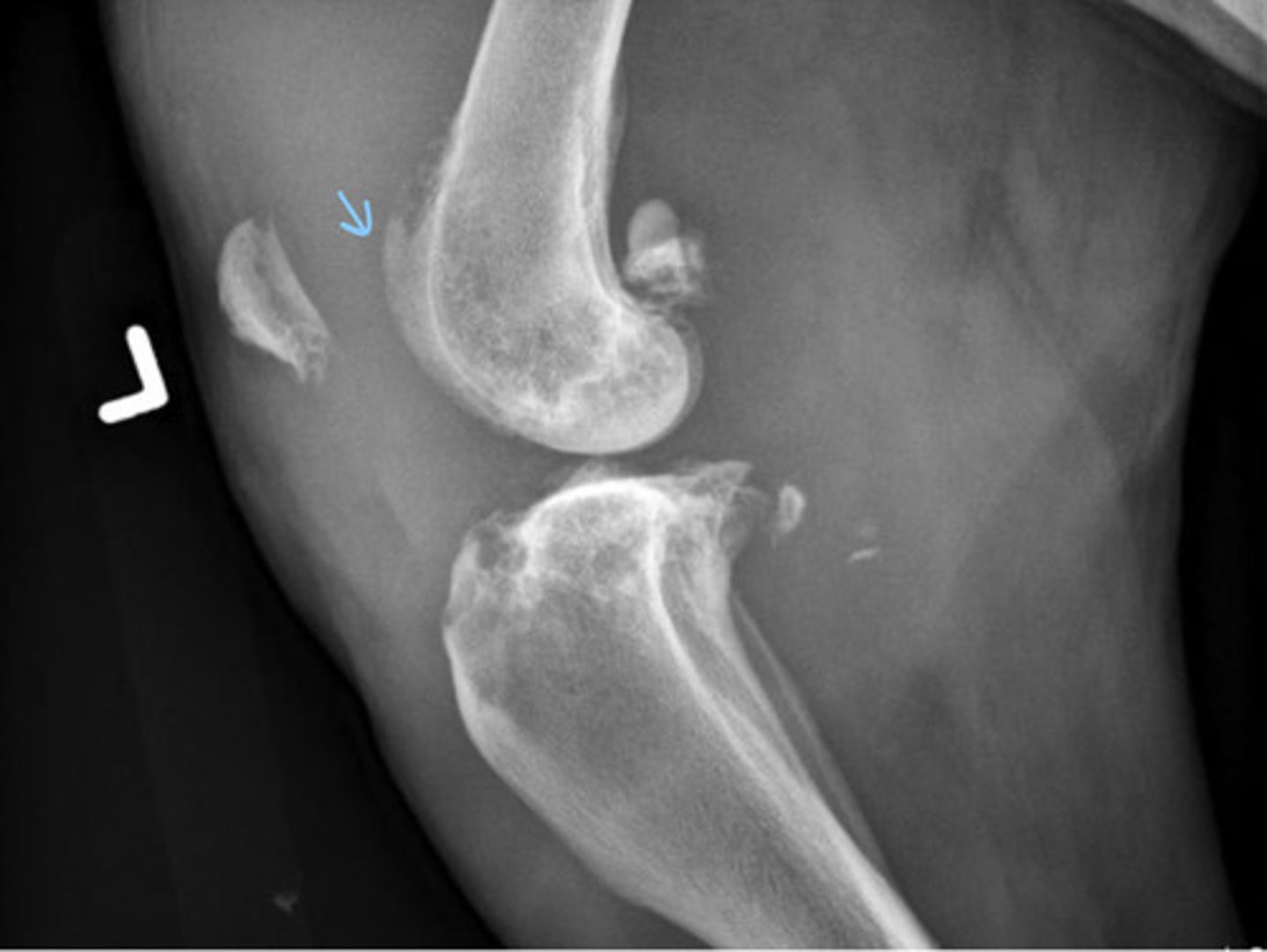
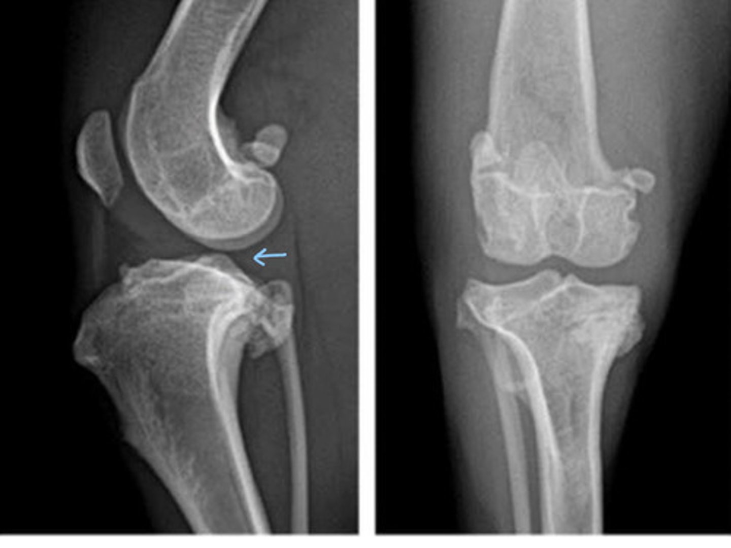
What does effusion in the stifle joint look on radiographs?
gray halo with infrapatellar fat pad compressed
What are some radiographic changes seen with degenerative issues causing CCL tear in the stifle?
1. osteopytes
2. stenosis
3. subchondral sclerosis
What are some radiographic changes associated with synovial cell sarcoma?
1. soft tissue swelling
2. periosteal proliferation
3. multifocal bone destruction
4. sclerosis
What is the pathophysiological cause of the pain that patients with CCL rupture with degeneration?
1. friction
2. osteoarthritis
3. inflammation
What lab tests would we run before administering NSAIDs?
chemistry panel looking at liver enzymes
What are the surgical options for CCL tear?
1. lateral suture
2. tibial tuberosity advancement
3. tibial plateau leveling osteotomy
The maximum dose for carprofen is 4mg/kg once daily. What is the total maximum mg dose that Skittles (60 lbs) can be prescribed?
109 mg
What is the percentage chance that the nonaffected limb will have a CCL tear when the patients tear was caused by degenerative changes?
50% will tear other stifle in 12-16 months
What are some things that can decrease the progression of osteoarthritis in a patients joints?
1. supplements
2. injections
3. NSAIDs/Galliprant
4. weight loss
5. low impact exercise
Osteoarthritis
What does this patient have?

Synovial cell neoplasia
What does this patient have?

Osteoarthritis
What does this patient have?
