1/31
Looks like no tags are added yet.
Name | Mastery | Learn | Test | Matching | Spaced |
|---|
No study sessions yet.
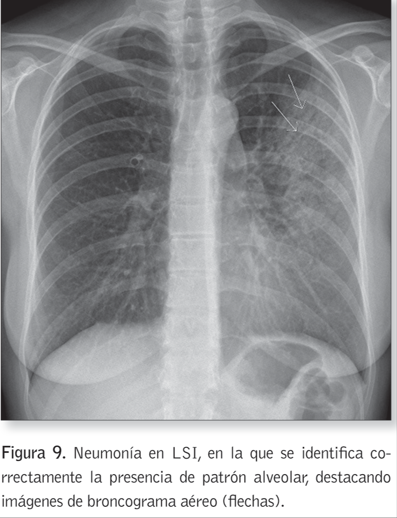
Patrón alveolar

¿En qué patologías podemos encontrar el patrón alveolar?
Edema pulmonar
Neunmonía organizada
Eosinofilia pulmonar
Sangrado pulmonar
¿Cuáles son los tipos de patrón intersticial?
1) Patrón lineal (engrosamiento de septos interlobulillares)
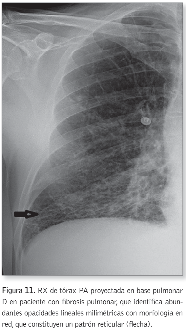
2) Patrón reticular
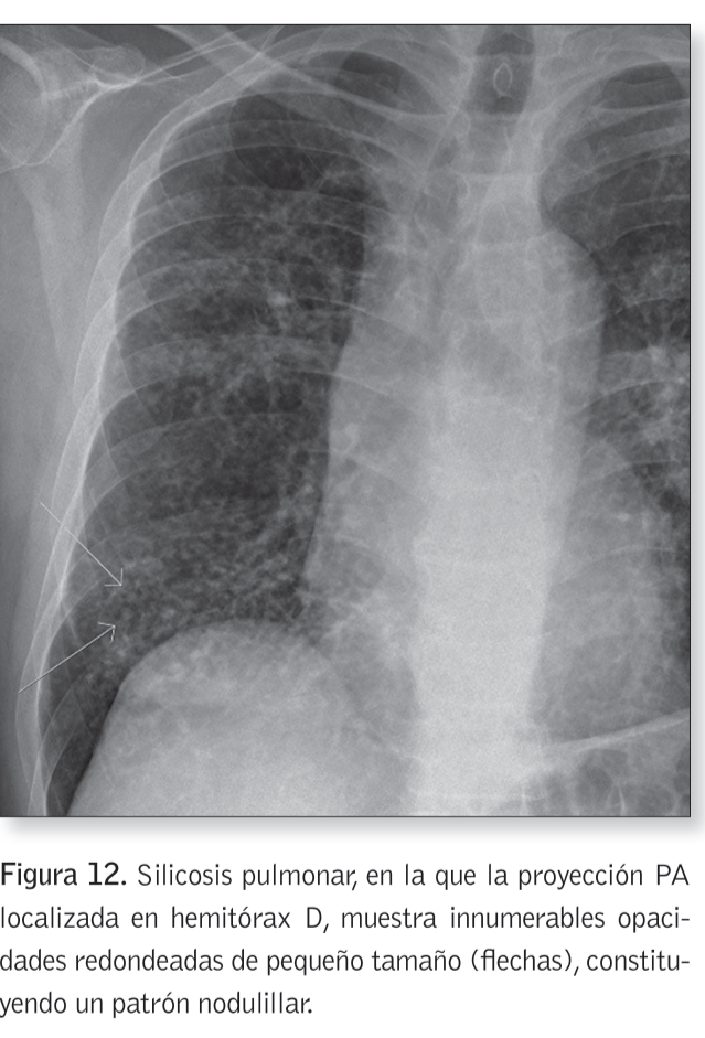
3) Patrón nodulillar o modular
4) Patrón reticulo-nodulillar
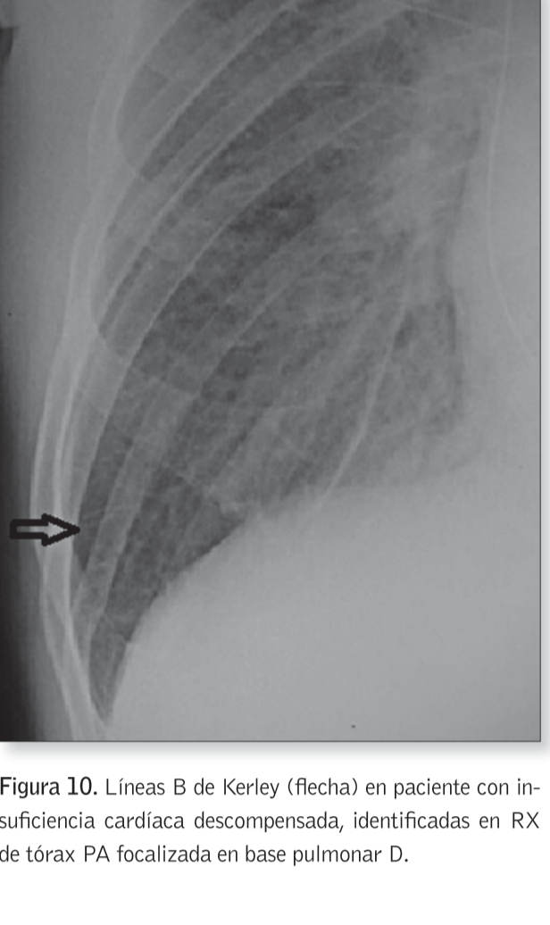
Patrón lineal

Patrón reticular

Patrón nodulillar o nodular

Patrón reticulo-nodulillar

¿Cuándo se presenta el patrón lineal?
Laringitis carcinoma toda
Edema pulmonar
¿Cuándo se presenta el patrón reticular?
Enfermedades infiltrativas difusas
Signo de la silueta

¿Cuándo se presenta el signo de la silueta?
Cuándo se pierde la visión de algún contorno, por superposición de 2 estructuras de la misma densidad.
Patología del lóbulo medio DER→ se borra contorno DER del corazón
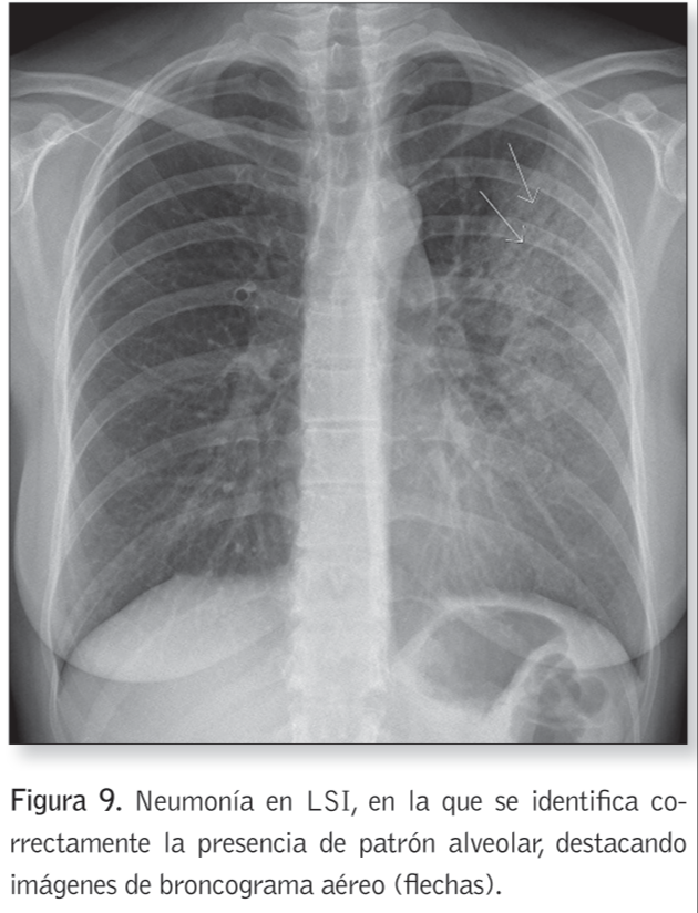
Signo del broncograma aéreo

Signo del seno profundo

Signo del hilio oculto

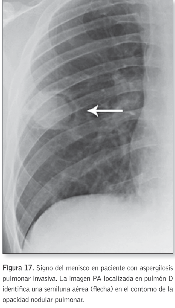
Signo del menisco [aire crescent sign]

Signo del dedo de guante

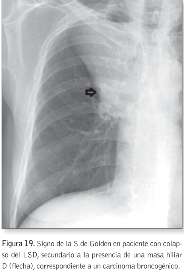
Signo de la S de Golden

Signo cervicotorácico

Signo de la cuña aérea o de Luftsichel

¿Cuándo se da el signo d?
Signo de la Cimitarra

¿Cuándo se presenta el signo de la cimitarra?
En el Sx del pulmón hipogenico (retorno venoso anomal de la v. pulmonar a la hepática)
Signo del Donut

¿Cuándo se da el signo del donut?
Cuando hay adenomegalias mediastinicas
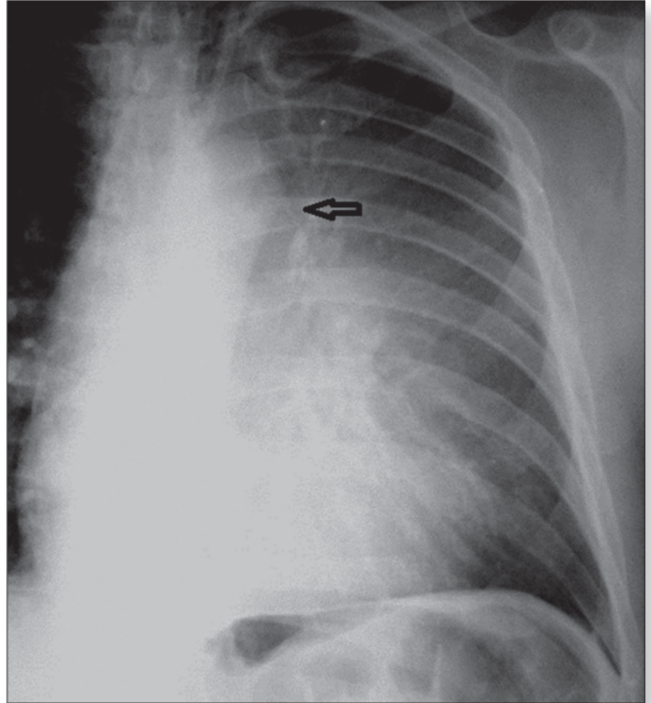
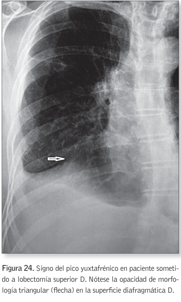
Signo del pico yuxtafrénico

Signo de la embarazada
