1/7
Looks like no tags are added yet.
Name | Mastery | Learn | Test | Matching | Spaced | Call with Kai |
|---|
No study sessions yet.

This patient is a 72-year-old man. Notice that the pulp and root canal spaces are significantly diminished. What is the cause of this?
attrition and age
floss injury
pulp stones
erosion
erosion

Note the dilacerated premolar root. The condition that affects this sinus is
acute sinusitis
chronic sinusitis
sinus elongation
pneumatization
pneumatization

This tooth has a carious lesion, is broken down, and the dentist is contemplating extraction. Which one factor seen here is MOST likely to complicate the extraction?
ankylosis
large carious lesion
short crown length
apical osteosclerosis
ankylosis

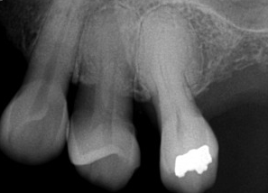
What is the dental anomaly seen in this image?
dilaceration
pneumatization
hypercementosis
cancer
hypercementosis

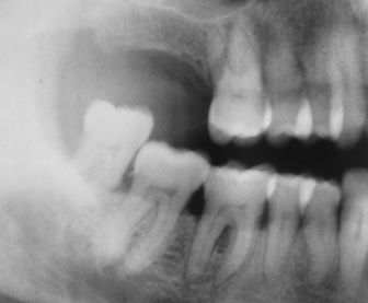
The maxillary 2nd & 3rd molars have been missing for several years. What has happened to the mandibular 3rd molar?
partially extracted
dens evaginatus
supraeruption (extrusion)
floating tooth
supraeruption (extrusion)

which tooth is nonvital
24
23
22
21
22

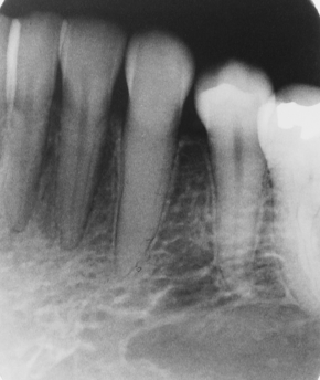
What is seen on the premolars in this image?
toothbrush abrasion
abfractions
cervical caries
cervical restorations
abfractions

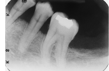
What dental anomaly is seen on this image?
external root resorption
internal root resorptions
dens in dente
external root resorption and dens in dente
external root resorption and dens in dente