1/19
Looks like no tags are added yet.
Name | Mastery | Learn | Test | Matching | Spaced | Call with Kai |
|---|
No analytics yet
Send a link to your students to track their progress

Can you name these anatomical directions?
Yes

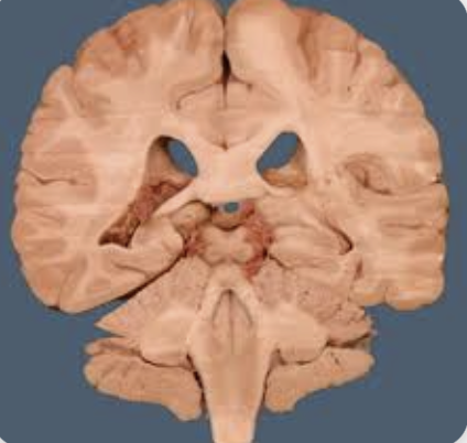
Name this plane
Coronal

Name this plane
Sagittal

Name this plane
horiztontal

Name each component
Done
Number of nerve pairs in each section of spinal cord
Cervical: 8
Thoracic: 12
Lumbar: 5
Sacral: 5
Coccyx: 1
Grey matter contains …
neuronal cell bodies

White matter contains …
axons (usually myelinated)

Name the dorsal vs ventral side
Done
Different terms for axon bundles in CNS and PNS
CNS: tracts
PNS: nerves
A ____ ____ is a population of neurons interconnected by synapses to carry out a specific function when activated
neural circuit
Afferent vs efferent flow
Afferent: aquires (input)
Efferent: exits (output)

4 steps in simple neural circuit (knee jerk reflex)
sensory receptors sense tendon stretching from hammer tap
sensory neuron excites motor neuron and interneuron
extensor muscle contracts and flexor muscle relaxes
leg extends

4 major lobes of the brain and their locations
frontal, parietal, temporal, and occipital lobes
Sulci vs gyri
sulci: valleys
gyri: ridges
Which neurologist correctly states that there are different areas of the brain that correspond to different functions
Brodmann

2 divisions of the diencephalon ( + function)
thalamus: relay info to and from the brain/ spinal cord
hypothalamus & pituitary: regulation of motivation behaviors/ release of endocrine hormones

3 components of the midbrain and hindbrain
mesencephalon: tectum & colliculi (auditory, sensory, and visual processing)
metencephalon: pons (sensory motor relay) and cerebellum (motor coordination)
myelencephalon: medulla (basic life function)
2 main brain systems and function
limbic system: emotion, learning, and memory
basal ganglia: motor function, reward learning
(iClicker Q) 1 billion simple neurons — What percent of the neurons in the human brain does this supercomputer roughly model?
A