1/72
Looks like no tags are added yet.
Name | Mastery | Learn | Test | Matching | Spaced |
|---|
No study sessions yet.

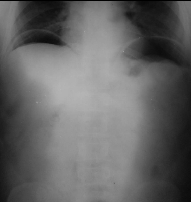
Pneumoperitoneu

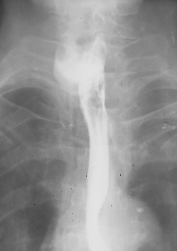
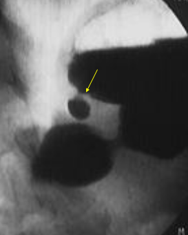
Diverticul Zenker

Diverticul Zenker

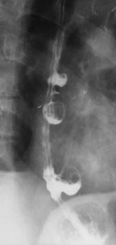
Diverticuli medioesofagieni

Diverticul medioesofagian

Diverticul Zenker

Diverticul medioesofagian complicat cu fistulă

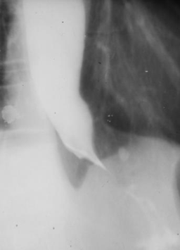
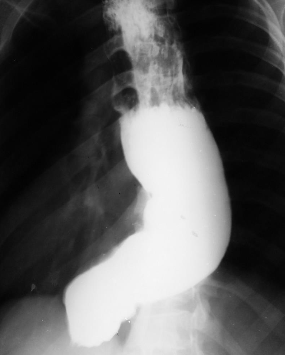
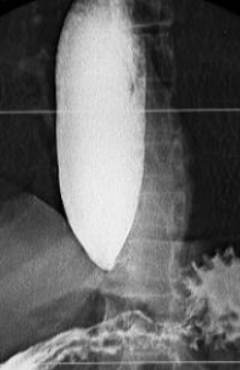
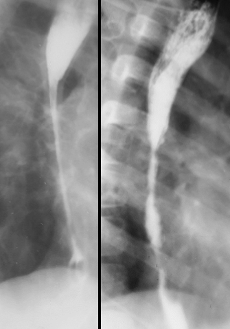
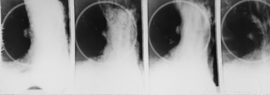
Achalazia cardiei

Achalazia cardiei

Achalazia cardiei

Achalazia cardiei

Achalazia cardiei

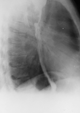
Esofagită peptică

Esofagită postcaustică

Leiomiom esofagian

Tumoră esofagiană

Tumoră esofagiană

Tumoră esofagiană

Tumoră esofagiană

Tumoră esofagiană

Tumoră esofagiană

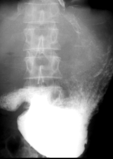
Hernie hiatală

Hernie hiatală

Hernie hiatală prin alunecare

Hernie hiatală prin rostogolire

Hernie hiatală

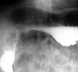
Ulcer gastric

Ulcer gastric

Ulcer gastric

Ulcer gastric

Ulcer gastric

Ulcer gastric

Ulcer gastric

Ulcer piloric

Steoză pilorică

Stenoză mediogastrică

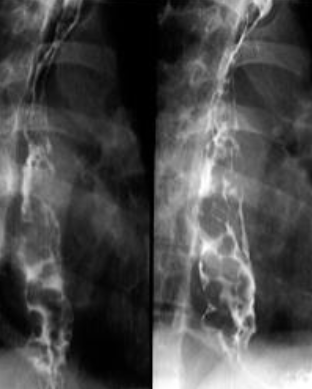
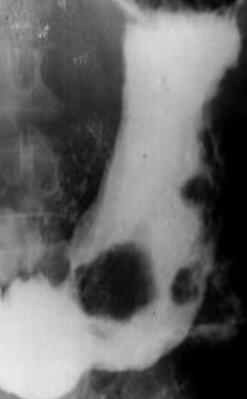
Polipoză gastrică

Polipoză gastrică

Polip gastric

Neoplasm malign gastric vegetant

Neoplasm malign gastric vegetant

Neoplasm malign gastric vegetant

Neoplasm malign gastric infiltrativ

Neoplasm malign gastric infiltrativ

Neoplasm malign gastric ulcerant

Achalazia cardiei

Stenoză esofagiană malignă

Diverticul gastric

Achalazia cardiei

Diverticul medioesofagian complicat cu fistulă esobronșică

Diverticuli medioesofagieni

Achalazia cardiei

Stenoză esofagiană benignă (postcaustică)

Stenoză esofagiană benignă (postcaustică)

Varice esofagiene

Neoplasm esofagian malign infiltrativ

Neoplasm esofagian malign infiltrativ

Neoplasm esofagian malign vegetant

Neoplasm esofagian malign vegetant

Neoplasm faringo-esofagian malign

Neoplasm esofagian malign

Hernie hiatală prin alunecare

Hernie hiatală prin rostogolire

Hernie hiatală - brahiesofag

Volvulus gastric

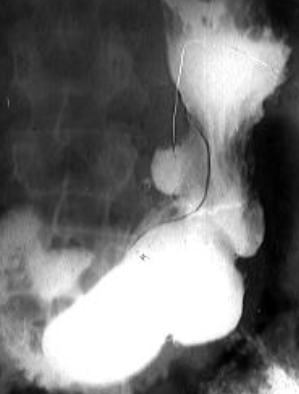
Diverticul gastric

Diverticul gastric

Neoplasm malign gastric vegetant



Neoplasm malign gastric ulcerant

Neoplasm malign gastric ulcerant

Neoplasm malign gastric ulcero-vegetant