1/44
Looks like no tags are added yet.
Name | Mastery | Learn | Test | Matching | Spaced | Call with Kai |
|---|
No analytics yet
Send a link to your students to track their progress
How did Tulving (1972) dissociate episodic and semantic memory in the context of amnesia?
Episodic: events, metal time-travel, self-referential, fragile/ easily forgotten, affected in amnesia, better when young
Semantic: fact, time/place NOT coded, NOT self-referential, more durable/consolidated, not affected in amnesia, better when old

How does patient KC demonstrate Tulving’s dissociation?
episodic: in addition to inability to remember recent and new events he had very pronounced retrograde amnesia for much of his life (unlike HM) - including when he was a machinist
semantic: retained some concepts gained as a machinist - e.g. key-way shank and feed screw
What kind of dissociation does patient KC’s case demonstrate?
single dissociation
deficit of one domain (episodic memory) with preservation of another (semantic memory)
he couldn’t give details of his accident or remember changing a tyre, yet he could describe the equipment used to change a tyre

What would be required for a double dissociation for separation of semantic/episodic?
need other patients that show impairment of semantic not episodic memory

why is a single dissociation viewed as insufficient to demonstrate separate systems?
episodic memory might be more vulnerable to damage than semantic memory within a single system
Which cases do provide a double dissociation between episodic and semantic mem?
amnesia vs semantic dementia
in amnesia: episodic impaired, semantic preserved
in semantic dementia: semantic impaired, episodic preserved

What is the key deficit in semantic dementia?
poor understanding of words and objects
What are the key aspects of semantic dementia?

subtype of frontotemporal dementia
progressive loss of conceptual knowledge across modalities

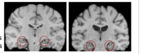
Where is peak atrophy is SD normally located compared to HM?

damage adjacent to hippocampus but still distinct

How do those with semantic dementia perform episodic memory and does it show a dissociation
when recalling events: use very high frequency words , but episodic detail maintained
double dissociation with amnesia: relatively intact memory for recent events and impaired semantic memory

what are the results for identical and non-identical object recognition in semantic dementia patients?

patients shown an item and asked to pick it out later, in non-identical condition a different form of the same object is used
SD patients can recognise objects when they are identical
for non-identical objects, meaning is important and performance is predicted by which items are still understood on semantic tests
if patient still has knowledge/concept of item they are perfect on both
however if concept is lost they perform much more poorly
they have lost what would bind those two pictures into the same concept

How does the research evidence two distinct systems for episodic and semantic memory? the theory of distinct roles in hippocampus and anterior temporal lobe

patient KC and studies of semantic dementia provide a double dissociation between episodic and semantic memory
hippocampus: encodes and recreates unique multimodal experiences of people.places/objects in events (i.e. episodic memory)
ATL: extraction of similarities between multimodal experiences to create concepts (i.e. semantic memory)
separating memories vs merging them

what is the speed of learning in the hippocampus and how is it adaptive?
fast learning in the hippocampus
quickly binds together the elements of episodes
few neurons code for each item, so similar memories can be separated
we want sparse code, perfect for event memory
What is the speed of learning in the neocortex and how is it adaptive?
slower learning in neocortex
similar features shared by multiple experiences are encoded strongly
useful for semantic category learning
this prevents catastrophic interference
aim to capture similarities over time very, integrating over time
what is catastrophic interference?
loss of old memories when new material is learned
How can Tuling and Squire’s theories of episodic and semantic memory be compared?
Tulving: Episodic versus Semantic
Squire: Episodic then Semantic
hippocampus has time-limited role - systems consolidation - transfer to neocortex

What is the result of disrupting synaptic consolidation at different time spans?

inhibition of protein synthesis which allows structural changes at synapse in long-term potentiation
disrupts memory for 1 hour
no effect on memory is protein synthesis disrupted after 1 hour of learning

What is the result of disruption system consolidation at different time frames?

hippocampal lesion disrupts memory for 28 days
if hippocampus is damaged one month after encoding, there is still some memory loss
if hippocampus is damaged two weeks after learning, 50%: some but not all information has been transferred out of hippocampus

What can we conclude from studies of disrupting consolidation?
when hippocampus is damaged after learning has occurred, memories are especially vulnerable if they were only recently acquired.
older memories are more preserved
What are the three points on the gradient of retrograde amnesia?

events that happened well before brain injury are spared
events that happened just before brain injury are impaired
ongoing events that happened after brain injury are severely impaired (this is anterograde amnesia)

What did Graham and Hodges find in amnesia patients when conducting an autobiographical memory interview?

temporal gradient
better preserved childhood memories

What did Graham and Hodges find in semantic dementia patients when conducting an autobiographical memory interview?
reverse temporal gradient
better preserved recent memories (around 4 years)

How can we explain the temporal gradient in amnesia?
older memories have be retrieved more times - this changes their quality (and neural basis); they become more story-like and reliant on semantics
older memories are more reliant on neocortex and less dependent on hippocampus over time, following consolidation
effect of amnesia on encoding
impaired in amnesia - poor learning of new events

effect of amnesia on retrieval before consolidation
impaired in amnesia - poor retrieval of events just prior to brain injury
relying on hippocampal process to get those memories out

effect of amnesia on retrieval after consolidation
NOT impaired - normal retrieval of events from childhood
consolidation occurred, still get the memory even in the absence of hippocampus, no longer dependent on it
What kind of sleep is proposed to be important for declarative memory consolidation?
slow-wave sleep

How did Marshall et al. (2006) provide evidence for sleep and consolidation?
gave electrical stimulation that enhances slow wave rhythm
boosted verbal learning

How did Friedrich et al. (2014) provide evidence for the idea that sleep helps babies generalise word meaning?
measured event-related potentials to words; to look for markers of comprehension
babies aged 9-18 months who napped for 1.5h were better at generalising meaning beyond the exemplar that was learned (compared with babies who stayed awake)
the result correlated with sleep-based electrical activity (‘sleep spindles”)
what was found in rats regarding reactivation during sleep?

neurons that code for route through maze reactivate in that order during slow wave sleep
wilson and mcnaughton 1994

What did Diekelmann et al find regarding reactivation in sleep with humans when learning card location pairings and presenting odours at the same time?

odours re-presented during sleep or wake
then interference learning
better memory with odour cue, and increase hippocampal engagement
smell acts as a cue for the hippocampus to replay the memory and repeat the card locations in sleep

In response to the research, what conclusion can be made regarding the role of sleep in memory?
SWS plays an active role in stabilising memories
during SWS, there may be reactivation of hippocampal-dependent memories
this may promote their consolidation - integration with similar memories
there is still lots to understand: other sleep stages (REM) might be important in a different way
Comparing Tulving (episodic versus semantic) and Squire (episodic then semantic)
there are clearly two dissociable memory stores yet systems consolidation suggests an interdependence
challenge to squire: hippocampus may remain important for some old memories (multiple trace theory)
does acquisition of semantic information depend on episodic memory (as predicted by squire)? those with hippocampal damage wouldn’t be able to learn anything
What is Nadel and Moscivitch (1997) multiple trace theory?
Hippocampus re-encodes during retrieval to create multiple traces and remains important fro any “recollection” experiences (even though most information is transferred to cortex)
hippocampus makes a memory of retrieving that memory
What effects on memory are seen in developmental amnesia?

cases of Jon, Beth and Kate with bilateral hippocampal damage from birth (hypoxia due to complications in labour)
amnesic: poor at verbal and non-verbal learning
IQ, academic attainment, reading comprehension, working memory, semantic memory all developed normally
44% reduction in hippocampus relative to controls

Which areas are spared in developmental amnesia and what might it explain?
entorhinal and perirhinal cortex relatively spared in developmental amnesia - might provide basis for semantic learning
learning occurs in these cortex regions adjacent to hippocampus
entorhinal cortex
gateway between hippocampus and cortex
perirhinal cortex
important for object recognition (typically damaged with hippocampus in dense amnesia)
take home messages

what is an engram
the physical and biochemical changes underlying memory storage in the brain (memory traces)
what differences can be from from storage of animate vs inanimate knowledge?
Animate knowledge deficits are often associated with lesions of the temporal cortex, deficits in inanimate knowledge, with frontoparietal damage
Ability to identify living things depends more on sensory knowledge (stored in temporal cortices), whereas the ability to identify nonliving things depends more on functional knowledge (stored in frontoparietal cortices)
According to the most popular model of declarative memory, what happens during encoding
during encoding, memory traces are stored in the cortical regions that process each type of information; at the same time, the hippocampus stores indices pointing to these cortical locations. During this period of storage, some memories are strengthened (by consolidation) while others are lost.
According to the most popular model of declarative memory, what happens during retrieval and what happens in amnesia
During retrieval, activation of hippocampal index representations leads to the reactivation of cortical traces.
Damage to the hippocampus prevents access to cortical memory traces, producing memory loss (amnesia)
When is the hippocampus no longer needed?
after memories have been consolidated, explaining why amnesia patients like H.M. can often remember remote memories.
Which regions are assumed to mediate control processes during both encoding and retrieval?
prefrontal and parietal