1/73
Name | Mastery | Learn | Test | Matching | Spaced | Call with Kai |
|---|
No analytics yet
Send a link to your students to track their progress
Which anatomical term refers to the back of the lower leg?
Sural
Which anatomical term refers to the hand?
Manual

Identify the feature
Mental
True or false. The intestines are superior to the thorax
False

Identify the feature
Brachial
Which plane divides the body into superior and inferior sections?
Transverse
In _______ feedback the stimulus and response are opposite
Negative
Which anatomical term relates to the groin?
Inguinal

Identify the feature
Patella
Which of the following chemical bonds is characterized by a partial sharing of electrons?
Covalent
This cell transport system uses energy
Active Transport
Which cell transport systems is driven by pressure?
Filtration
Which anatomical term refers to the forearm?
Antebrachium

Name the feature
Greater Trochanter
The wavy connection between the epidermis and the dermis is known as the…?
Dermal Papilla

Name the bone
Parietal

Identify letter C
Hypodermis

Name the bone
Phalange

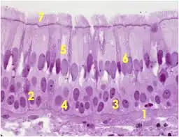
Identify the tissue
Columnar

Name the feature
Hair Follicle
True or false. Rib #5 is a true rib
True

Name the bone
Temporal

Identify the tissue
Bone
What is an example of positive feedback?
Contractions during labor
Which anatomical term is associated with the shoulder?
Acromial
True or false. Pain radiates from the cervical region to the right shoulder and ipsilaterally to the left elbow
False

Identify #2 region
Epigastric
True or false. The shoulder is distal to the elbow
False
Table salt (NaCl) is held together by which type of bond?
Ionic
How does enzymes work?
They work like templates that molecules can fit into
Which organelle packages proteins?
Golgi Apparatus
Which tissue consists of concentric rings and osteocytes?
Bone, compact
Which tissue contains cilia?
Pseudostratified Columnar

Name the bone
Scapula

Name the bone
Occipital

Identify the tissue
Loose connective tissue

Identify the feature
Foramen Magnum

Name the bone
Frontal

Name the tissue
Skeletal Muscle

What is the general category for this tissue?
Epithelial tissue

Name the bone
Humerus
True or false. You can find the lesser trochanter on the humerus
False
What tissue is not a type of epithelium?
Reticular
True or false. The olecranon is a process on the ulna and an anatomical region for the back of the elbow.
True
True or false. The spine is posterior to the heart.
True

Identify region #3
Left Hypochondriac
In this cell transport system lipid soluble substances move from higher to lower areas of concentration.
Diffusion
Which cell transport system allows for the movement of non-lipid soluble substances through transport proteins?
Facilitated Diffusion
If an isotonic red blood cell is placed in a hypertonic solution what will happen?
The RBC will shrivel
Which cell organelle produces ATP?
Mitochondria
What is not found in DNA from a Nitrogen bases?
Uracil
Which tissue has the characteristic chondrocyte in lacunae arrangement?
Hyaline Cartilage
What is not found in the dermis?
Stratified Squamous Epithelium
Which best describes the structure of the cell membrane?
Phospholipid Bilayer

Name this feature
Coracoid Process
Which tissue is the predominant tissue of the dermis?
Loose Connective

Name the bone
Ischium

Name the bone in red
Fibula

Name the bone
Zygomatic Arch

Identify the feature with the letter D
Free Nerve Ending

Name the structure
Sacrum

Name the bone
Clavicle
Name the structure labeled #5
Cribriform Plate

Name the bone
Maxillary
In DNA cytosine pairs with…?
Guanine
Which tissue consists of cells in a matrix?
Loose Connective

Name the structure
Medial Malleolus
Both DNA and RNA consist of strands of interconnected…?
Nucleotides

Name the #7 structure
Cilia

Name the bone
Calcaneus

Name this feature
Capitulum

Name these bones
Metatarsals

Name this tissue
Hyaline Cartilage
True or false. Sweat glands are located in the hypodermis of the skin
False