1/36
Lecture #12
Name | Mastery | Learn | Test | Matching | Spaced |
|---|
No study sessions yet.
Sexual Reproduction
one of the major ways that organisms have evolved to more predictably incorporate new genetic diversity into their population
major defining characteristic of Eukaryotes
involves the production of gametes with require fertilization to form zygotes
eggs and sperm
what are the more common names for gametes?
for sexual reproduction to work, we need a way to ensure that our resulting zygote has the same number of chromosomes as we did as the parent
Remember: for sexual reproduction to work, we need a way to ensure that our resulting zygote has the same number of chromosomes as we did as the parent
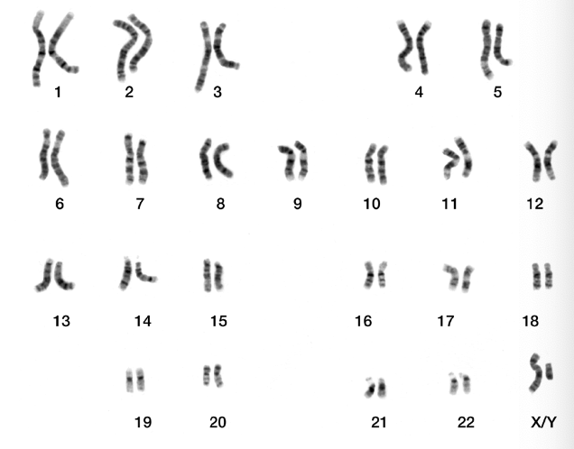
Ploidy
the number of complete sets of chromosomes in a healthy cell
Diploid
2 copies of each chromosome
Human Ploidy : n = 23
humans have 24 types of chromosomes
of which humans have 23 pairs
n = 23 & 2n = 46

Homologous Chromosomes
Definition: chromosomes that are evolutionarily and structurally the same (but not identical)
evolutionarily derived from the same ancestral structure
they code for the same genes but may have different alleles for that gene
humans have at least 22 pairs of these chromosomes
you get 1 of each from your dad, and 1 of each from your mom
these 22 ______ chromosomes are referred to as autosomes bc they are not involved with sex determination

autosomes
the 22 homologous chromosomes that are NOT involved with sex determination
allele
any of the alternative versions of a gene that may produce distinguishable differences in an individuals phenotype
two sex chromosomes
X & X = biological female in mammals
X & X chromosomes are homologous (the same)
Homozygous sex
X & Y = biological male in mammals
X & Y are NOT homologous (diff in origin and structure)
Heterozygous sex
Biological sex
humans have 2 sex chromosomes X & Y
makes 2 karyotypic conditions:
XX: female, homozygous sex
XY: male, heterozygous sex
_______ is more complicated than simply XX or XY chromosomes
Birds:
ZW: female, heterozygous sex
ZZ: male, homozygous sex
Many species don’t have sex chromosomes at all
a crocodiles sex is determined by the temperature of the environment around the egg
Biological sex in humans in more than just XX vs XY, there is an entire spectrum of sex chromosome conditions, each with a very different biological outcome
Remember: Biological sex in humans in more than just XX vs XY, there is an entire spectrum of sex chromosome conditions, each with a very different biological outcome
Sex & the chromosome problem
in order to create zygotes and offspring which match the parents’ ploidy, our gametes need to have fewer chromosome than the rest of our cells
we need specifically 1 of each chromosome
human gametes need to be Haploid
Haploid
humans gametes are _____ because they can only have 1 copy of each chromosome
Meiosis
Definition: a specialized type of cell division that allows for sexual reproduction to occur
two important things occur during _____:
Genetic diversity is generated
Chromosomal reduction takes place
Genetic diversity is generated & Chromosomal reduction takes place
what two important things occur during meiosis?
Genetic diversity is generated
crossing over (recombination)
independent assortment
random combination of gametes
last aspect occurs after meiosis
Chromosomal reduction
Diploid parent cell is reduced to haploid daughter cell
egg or sperm cell
by reducing ploidy in egg and sperm cells:
when these haploid cells combine into a new embryo —> the fused embryo will have the same level of ploidy as the parent organism (diploid)
Meiosis
included 1 interphase & 2 cycles of division:
interphase
meiosis I
meiosis II
genetic recombination occurs:
crossing over (recombination)
independent assortment
mother cell genetically distinct from daughter cells
4 daughter cells are created from the 1 mother cell
daughter cells are haploid gametes
eggs and sperm

interphase, meiosis I & meiosis II
what are the 3 phases of meiosis?
Meiosis - Interphase
G1 phase: cell grows
S phase: DNA duplicates
G2 phase: Centrosome duplicates
G1 (cell grows), S (DNA duplicates), G2 (centrosome duplicates)
what are the 3 phases of Meiosis - Interphase?
Meiosis - Meiosis I
where the majority of genetic variation is created
crossing over (recombination)
independent assortment
cell goes from 2n → n
5 stages of Meiosis I:
prophase I
metaphase I
anaphase I
telophase I & cytokinesis
prophase I, metaphase I, anaphase I, telophase I & cytokinesis
what are the 5 stages of meiosis - meiosis I?
Meiosis I - Prophase I
nuclear membrane dissolves
centrosomes start migration to opposite ends of the cell (centrosomes split apart)
chromatin condenses to form sister chromatids
homologous chromosomes align with each other to form a tetrad
crossing over (recombination): gene swapping between homologous non-sister chromatids

Meiosis I - Metaphase I
centrosomes move to opposite ends of cell
Tetrads line up along the metaphase plate
independent assortment: homologous pairs of chromosomes orient randomly

Meiosis I - Anaphase I
Meiotic spindles pull apart the tetrads
homologous chromosome tetrads separate
sister chromatids still attached by a centromere

Meiosis I - Telophase I
genetic material moves to opposite ends of the cell
cleavage furrow forms
nuclear envelope starts to reform
intact sister chromatids present in daughter cells
sister chromatids are not identical

Meiosis I - Cytokinesis I
single cell splits into two daughter cells
involves the cleavage furrow
two daughter cells are haploid and genetically different from the parent cell
result of crossing over and independent assortment

Meiosis II
similar to mitosis, but with only ½ the number of chromosomes to separate
Meiosis II - Prophase II
DNA chromatin condenses into structures consisting of two sister chromatids
attached in the center by a centromere
sister chromatids are not identical
the centrosomes move to the opposite ends of the cell (being to produce microtubules)
nuclear envelope breaks down and the nucleolus disappears

Meiosis II - Metaphase II
microtubules on either end of the cell attach to the centromeres
pulling force in opposite directions powered by motor proteins
sister chromatids lined up along the metaphase plate dividing line along the cell
sister chromatids are not identical

meiosis II - Anaphase II
motor proteins pull sister chromatids apart at the centromere
the split chromatids begin moving towards the opposite ends of the cell
split chromatids are not identical

meiosis II - Telophase II
start to undo the cellular changes that took place during prophase II:
nuclear membrane re-forms
the chromatids unwind and form chromatin
split starts to form down the center of the cell along the metaphase plate
daughter cells formed are both : haploid & genetically unique from each other

meiosis II - Cytokinesis II
daughter cells produced at the end of meiosis I now split into two other daughter cells of their own
initial diploid parent cell gives rise to 4 unique haploid gamete cells
Fertilization
return to diploidy
random:
ratio btw sperm and eggs can be >500,000,000:1
this results in what is effectively a random fertilization by one of those 500,000,000 totally unique sperm

Meiosis is a vital source of genetic diversity in sexually reproducing organisms
Remember: Meiosis is a vital source of genetic diversity in sexually reproducing organisms