1/19
Making a collection of the Dose of VetPrep sent out every Monday through Friday!
Name | Mastery | Learn | Test | Matching | Spaced | Call with Kai |
|---|
No analytics yet
Send a link to your students to track their progress
Which of these nerve blocks is used to examine the eyes of a horse?
Corneal nerve block
Oculomotor nerve block
Trigeminal nerve block
Auriculopalpebral nerve block
Auriculopalpebral nerve block

A horse presents to you with a corneal ulcer. You are concerned because it appears to be infected, as shown in this image. You perform cytology and find gram negative rods. What is the most likely organism infecting the corneal ulcer in this horse?
Pasteurella multocida
Staphylococcus spp.
E. coli
Pseudomonas
Pseudomonas
A 10-year old male castrated cat that you have previously diagnosed with hyperthyroidism presents to you for acute onset of blindness. You perform an ophthalmic exam and note retinal hemorrhage. What diagnostic test should you perform first?
Total T4 levels
Coagulation times
Blood pressure
Free T4 levels by equilibrium dialysis
Serum BUN and creatinine
Blood Pressure

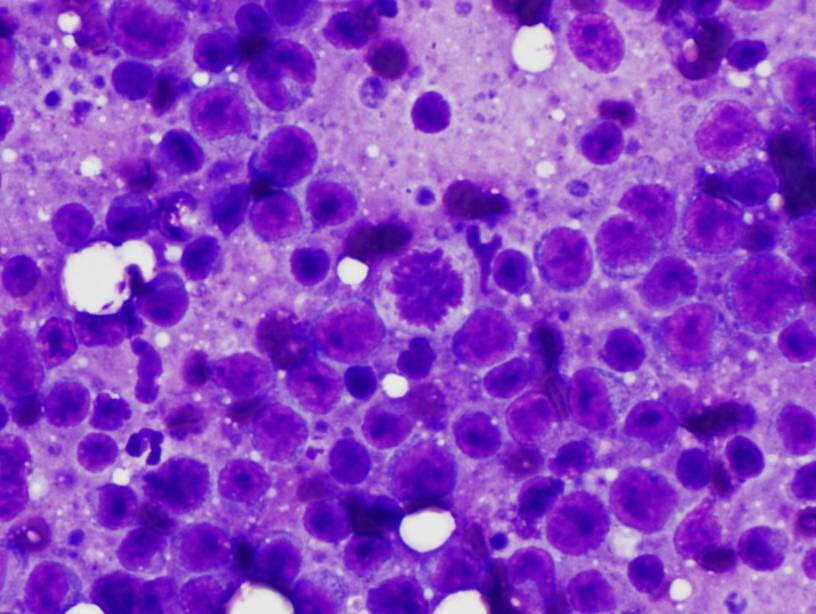
A 7-year old female Lhasa Apso presents to you for lethargy and inappetence. On your exam, you detect mandibular lymphadenopathy and perform a fine needle aspirate. You see the aspirate depicted here. Which of these treatments would be given to this patient as part of a first line therapy?
Prednisone
Doxycycline
Carboplatin
Milbemycin
Itraconazole
Prednisone
Which of these is an adrenergic vasopressor in dogs?
Dopamine
Atropine
Glycopyrrolate
Hydralazine
Dopamine

The cat in the image below presents for lethargy, depression, and weakness. The cat can't seem to lift his head (as seen in this image). You recommend running a chemistry panel on the cat. What potential finding explains can explain the findings?
Low phosphorus
High urea nitrogen
Low calcium
High glucose
Low potassium
Low potassium

A 6-year old Friesian cow presents to you with a mass on the left mandible (see image). The farmer reports that the mass has developed over the last several weeks and the cow has recently had some difficulty eating and lost weight. On examination, the mass is firm, immobile, and painful on manipulation. You note a thick discharge with small granular particles. Based on the most likely diagnosis, what should you tell the farmer?
The most effective treatment is oral sodium iodide
Intravenous penicillins are likely to be effective
Treatment with sodium iodide intravenously is likely curative but the cow's milk and meat will not be suitable for human consumption for 120 days
Treatment is unlikely to be successful and the cow should be culled
Treatment is unlikely to be successful and the cow should be culled
What is the most common neoplasia seen in the equine stomach?
Mesothelioma
Gastric adenocarcinoma
Lymphosarcoma
Squamous cell carcinoma
Squamous cell carcinoma
An owner brings her 4-year old female Labrador Retriever to your clinic because she believes she might be pregnant. She does not remember when the dog's last heat cycle was. The dog's abdomen appears fairly distended and you take a lateral abdominal radiograph which is shown below. What would be the earliest time you would expect to be able to see fetal skeletons on abdominal radiographs in the dog?
43 days gestation
33 days gestation
23 days gestation
53 days gestation
43 days gestation
A 7-year old male intact Chesapeake Bay Retriever presents to your clinic with the presenting complaint of an intermittent cough. On exam, the dog is bright and alert with a temperature of 100.5F (38.1 C), heart rate of 110 beats per minute and respiratory rate of 30 breaths per minute. You perform chest radiographs which are shown below. A CBC shows a hematocrit of 39% (35-57%), neutrophil count of 8,659/ul (2,900-12,000/ul), monocyte count of 984/ul (100-1,400/ul) and eosinophil count of 1,980/ul (0-1,300/ul). What is the treatment of choice for the most likely diagnosis?
Terbutaline
Immiticide (Melarsomine)
Furosemide
Pericardiocentesis
Enrofloxacin
Immiticide (Melarsomine)
Which of these drugs has the greatest potential for causing acute renal failure in the horse?
Dexamethasone
Neomycin
Oxytetracycline
Diphenhydramine
Xylazine
Neomycin
A middle aged MN stray cat is left on the doorstep of your clinic. The cat has a large dry crusted area of alopecia over his nose. A skin scraping of the area is negative. The lesion fluoresces under Wood's lamp examination (see image). Which of the following would be the best treatment?
Doxycycline
Lufenuron
Athlete's foot cream (clotrimazole)
Full body lyme sulfur dip, itraconazole
Povidone-iodine scrub
Full body lyme sulfur dip, itraconazole
You are asked to perform a necropsy on a 17-year old Standardbred mare on a large horse ranch. Although not related to the cause of death, you notice the parasite shown in the image within the stomach. You tell the owner that this parasite is also responsible for the eggs that he sees seasonally on the hair of the front legs of his horses. The owner asks what should be done about this. You discuss the importance of promptly cleaning up feces and transporting feces away. In addition, which of the following is the most appropriate recommendation for ongoing control of this parasite?
Administer ivermectin twice annually, once in the early spring and again in the winter
Administer fenbendazole twice annually, once in the early summer and again in late summer
Administer fenbendazole twice annually, once in the early spring and again in the fall
Administer ivermectin twice annually, once in the early summer and again in the fall
There is no need to treat these parasites because they are not associated with disease in horses
Administer ivermectin twice annually, once in the early summer and again in the fall
A 6-year old West Highland White Terrier comes in to see you for the mucopurulent ocular discharge as seen in the photo below. A Schirmer tear test shows no tear production. What is the treatment of choice for chronic canine keratoconjunctivitis sicca?
Systemic antibiotics and corticosteroids
Topical cyclosporine and systemic corticosteroids
Topical cyclosporine and a topical steroid
Systemic cyclosporine and antibiotics
Topical cyclosporine and a topical steroid
A client brings the one-half inch grub shown in the image to you one spring day, telling you it emerged from a hole in the back of one of his prize show cattle. He wants to know what to treat his cattle with and when.
Organophosphates in summer
Thiabendazole in early fall
Ivermectin in early fall
Ivermectin in February
Moxidectin now, in spring
Ivermectin in early fall
A 1.5-year old Quarter Horse gelding is presented to you for symmetric ataxia, weakness, and spasticity of all limbs, but worse in the hind limbs. When walking, the horse frequently drags his toes and the hind limbs frequently interfere with one another. Based on the signalment, history and physical examination findings, which of the following is the most likely cause of these clinical signs?
Equine Protozoal Myeloencephalitis (EPM)
Equine Motor Neuron Disease (EMND)
Cauda Equina Syndrome
Botulism
Equine Degenerative Myeloencephalopathy (EDM)
Equine Degenerative Myeloencephalopathy (EDM)
Suzie-Q, a 6-month old female spayed domestic short hair was recently adopted from the humane society. She has had watery diarrhea since adoption. Her fecal float and Giardia ELISA tests were negative. She was treated with metronidazole with no clinical improvement. You soak a cotton tip swab with saline and swab the rectum. You see elongated motile oval shaped protozoan organisms that do not look like Giardia lamblia. What organism might this be and what is the appropriate therapy?
Tritrichomonas foetus, Ronidazole
Paragonimus kellicotti, Praziquantel
Taenia taeniaformis, Praziquantel
Cryptosporidium, Clindamycin
Enterobius vermicularis, Fenbendazole
Giardia intestinalis, Fenbendazole
Tritrichomonas foetus, Ronidazole
You are examining a 13-year old Standardbred brood mare 5 hours after parturition. You note that the placenta is still present in the reproductive tract of the mare (see image). What is the most appropriate therapy?
Administer penicillin (IM) until the placenta is expelled on its own
Do nothing; the placenta is not considered retained until 12 hours post-parturition and it will likely be expelled by this time
Administer oxytocin (IM or IV) and lavage the uterus to facilitate removal
Place physical traction on the placenta and remove it manually
Administer oxytocin (IM or IV) and lavage the uterus to facilitate removal
You are called out to examine a 4-year old dromedary who was castrated 10-days ago and is now not eating. The groin and prepucial area are extremely swollen. The camel is unable to stand and is drooling. His neck is extended and he appears to be unable to swallow. Which of the following is most likely responsible for these symptoms?
Rabies virus
Trypanosoma evansi
Methicillin-resistant Staphylococcus aureus
Clostridium tetani
Clostridium tetani
A dog presents with acute onset vomiting, hemorrhagic diarrhea and fever. On fecal examination, you find many large fluke eggs. You question the owner and discover that the dog was recently in Oregon on a boating trip. What agent is most likely causing the clinical signs in this dog?
Rickettsia rickettsii
Oxytrema silicula
Nanophyetus salmincola
Neorickettsia helminthoeca
Neorickettsia helminthoeca